En el mundo de la odontología estética, las carillas dentales han ganado popularidad como una solución eficaz para mejorar la apariencia de la sonrisa. En este artículo, te explicaremos todo lo que necesitas saber sobre las carillas dentales en Tenerife, desde qué son y qué problemas pueden solucionar hasta los factores que influyen en su precio.

¿Qué son las Carillas Dentales?
Las carillas dentales son láminas delgadas, generalmente inferiores a un milímetro de espesor, que se colocan en la superficie frontal de los dientes con la finalidad de mejorar su aspecto. Estas láminas se fijan sobre la parte visible de uno o varios dientes. Su principal objetivo es mejorar el aspecto de los dientes, ya sea para modificar su tamaño, color, forma o posición. Por tanto, tienen una finalidad puramente estética.
Las carillas dentales son un tratamiento eficaz a la hora de corregir y/o disimular pequeños defectos que afectan negativamente al aspecto de los dientes. Cuando nuestro diente solo necesita ser restaurado o rehabilitado por la cara vestibular, es decir, la parte visible del diente, las carillas son la opción perfecta.
Tipos de Carillas Dentales
Pueden estar hechas de diferentes materiales, pero suelen ser de porcelana o composite. Existen principalmente dos tipos de carillas dentales:
Carillas de Porcelana
Estas carillas están hechas de un material cerámico resistente y duradero. La porcelana es conocida por su capacidad para imitar el aspecto natural del esmalte dental, proporcionando una apariencia muy estética. Las carillas de porcelana son resistentes a las manchas y pueden durar entre 10 y 15 años con el cuidado adecuado. Además, al utilizar este material, cuentan con la ventaja de que resisten muy bien a las manchas. Además, la porcelana tiene un aspecto muy similar al de los dientes naturales cuando estos están sanos y blancos.
Carillas de Resina Compuesta
Por lo general, estas últimas suelen confeccionarse en la propia clínica dental con un material fotocurable, igual que el que se usa para hacer los empastes. Estas carillas están hechas de un material compuesto que se aplica directamente sobre el diente y se moldea para darle forma. Aunque las carillas de resina compuesta son menos costosas que las de porcelana, también son menos duraderas y pueden requerir reemplazos más frecuentes, generalmente cada 5 a 7 años. Las carillas de composite, un material fabricado con varias resinas compuestas, tienen la ventaja de que son reversibles. El trabajo previo con los dientes es mínimo, por lo que no los altera de forma permanente.
A la hora de elegir un tipo de carillas u otro es necesario acudir a la clínica dental y que sea el odontólogo quien aconseje el tipo de carilla más conveniente, en función de las necesidades de cada paciente. Cada tratamiento funciona mejor en determinado paciente. Las que más se ajusten al caso en concreto.

Soluciones que Ofrecen las Carillas Dentales
Las carillas dentales pueden solucionar una variedad de problemas estéticos y funcionales. A continuación, se presentan algunas de las principales ventajas y problemas que pueden corregir:
- Decoloración dental: Los dientes pueden decolorarse debido a diversos factores como el consumo de café, té, vino tinto, tabaco o ciertos medicamentos. Las carillas dentales pueden cubrir estas manchas, proporcionando una sonrisa más blanca y brillante.
- Desgaste dental: Con el tiempo, los dientes pueden desgastarse debido al bruxismo (rechinar de dientes), masticación y otros factores. Las carillas dentales pueden restaurar la longitud y la forma de los dientes desgastados, mejorando tanto su función como su apariencia.
- Astillamientos y fracturas: Los dientes pueden astillarse o fracturarse debido a traumatismos o accidentes. Las carillas dentales pueden cubrir estas imperfecciones, devolviendo la integridad y estética a los dientes dañados.
- Desalineación y espacios entre dientes: Para aquellos con dientes ligeramente desalineados o con espacios entre ellos, las carillas dentales pueden ofrecer una solución rápida y menos invasiva que la ortodoncia. Las carillas pueden cerrar los espacios y crear una sonrisa más uniforme y alineada.
- Forma y tamaño de los dientes: Si no estás satisfecho con la forma o el tamaño de tus dientes, las carillas dentales pueden personalizarse para ajustar estos aspectos según tus preferencias y necesidades estéticas.
- Recupera la forma de tus dientes.
- Sonrisa más blanca.
- Recupera la apariencia natural de tus dientes.
Las carillas permiten solucionar varios problemas coexistentes. Un único tratamiento para varios problemas.
El Proceso de Colocación de las Carillas Dentales
El procedimiento de colocación depende del tipo de carillas que vaya a llevar el paciente (porcelana, composite, disilicato de litio…). El proceso para obtener carillas dentales generalmente incluye varias etapas que se realizan en dos o más visitas al dentista:
1. Consulta Inicial y Planificación
Durante la primera visita, el odontólogo evaluará tus dientes y discutirá tus objetivos estéticos. Se tomarán impresiones de tus dientes y, en algunos casos, se realizarán radiografías para asegurar que las carillas sean la solución adecuada para ti. Durante este proceso, el odontólogo examinará los dientes del paciente para asegurarse de que es apto para recibir el tratamiento y si es más adecuado realizarlo con carillas de porcelana o composite.
2. Preparación del Diente
En la segunda visita, el odontólogo preparará tus dientes para las carillas. Esto implica remover una pequeña cantidad de esmalte dental de la superficie frontal de los dientes para hacer espacio para las carillas. Luego, se tomará una impresión de tus dientes preparados, que se enviará a un laboratorio dental para la fabricación de las carillas. En segundo lugar, se preparará el diente a tratar. Esta preparación consiste en eliminar de la superficie del diente parte del esmalte. En tercer lugar, se tomarán las impresiones.
3. Colocación de las Carillas
Una vez que las carillas están listas, el odontólogo las colocará en tus dientes para asegurarse de que el ajuste y el color sean correctos. Luego, las carillas se cementarán permanentemente en su lugar utilizando un adhesivo dental especial. El odontólogo hará ajustes finales para asegurar que la mordida sea cómoda y que las carillas se vean naturales. El cuarto paso consiste en colocar las impresiones de las carillas ya terminadas. Para poder hacerlo, hay que preparar el diente, en un proceso que consiste en limpiar, pulir y grabar la pieza dental. El quinto y último paso será ajustar esta colocación. Para ello, se eliminará cualquier exceso del cemento especial utilizado.
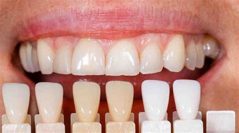
Prueba Pre - Colocacion carillas lumineers
Factores que Influyen en el Costo de las Carillas Dentales
El precio de las carillas varía según el material elegido. Responder a la pregunta «¿Cuánto cuestan las carillas dentales?» puede ser complicado, ya que el costo varía dependiendo de varios factores. Aunque no podemos proporcionar una cifra exacta sin una consulta personalizada, podemos describir algunos de los principales factores que influyen en el precio de las carillas dentales:
- Tipo de material: Como se mencionó anteriormente, las carillas de porcelana tienden a ser más caras que las de resina compuesta debido a su durabilidad y apariencia estética superior.
- Número de carillas: El costo total del tratamiento dependerá del número de carillas que necesites. Algunas personas pueden necesitar solo una o dos carillas, mientras que otras pueden optar por un conjunto completo para lograr una sonrisa uniforme. En este punto, tenemos buenas noticias para tu bolsillo, ya que las carillas no se colocan en todos los dientes de la boca, sino únicamente en el frente estético. Normalmente, se ponen en los seis dientes delanteros superiores, que son los más visibles al sonreír: dos incisivos centrales, dos incisivos laterales y dos colmillos.
- Experiencia del odontólogo: La experiencia y la especialización del odontólogo también pueden influir en el costo. Los odontólogos con más experiencia y una reputación destacada en odontología estética pueden cobrar tarifas más altas. La experiencia y la formación del odontólogo que realiza el tratamiento también desempeña un papel relevante en el precio de las carillas dentales. Dicho esto, hay que tener en cuenta que algunos tipos de carillas, como las de composite estratificado, pueden requerir un trabajo muy manual durante su diseño y colocación. Dicho esto, sea cual sea la carilla elegida, la visión global y el gusto estético del dentista también determinarán, en gran medida, el éxito del tratamiento.
- Ubicación de la clínica: Los precios de los tratamientos dentales pueden variar según la ubicación geográfica de la clínica. En áreas urbanas y de alto costo de vida, los precios tienden a ser más elevados.
- Tratamientos adicionales: A veces, se pueden necesitar tratamientos adicionales antes de la colocación de las carillas, como limpiezas dentales profundas, tratamientos de encías o reparación de caries. Estos tratamientos adicionales pueden aumentar el costo total del procedimiento.
En España, el precio de un tratamiento con carillas dentales parte de unos 1.120 euros. Sin embargo, hay que tener en cuenta que el precio del tratamiento varía en función del número de carillas que se necesiten.
Los importes indicados han sido calculados de forma estimativa en base a un tratamiento completo de acuerdo a los parámetros indicados en la tabla. Incluye; estudio, tratamiento y revisiones durante el tratamiento, por lo que es orientativo teniendo carácter meramente informativo y no contractual. El tratamiento personalizado será estudiado bajo prescripción médica.
Beneficios de las Carillas Dentales
Además de mejorar la apariencia de tu sonrisa, las carillas dentales ofrecen una serie de beneficios adicionales:
- Resultados rápidos: A diferencia de otros tratamientos dentales que pueden llevar meses o incluso años, las carillas dentales pueden transformar tu sonrisa en solo unas pocas visitas al dentista.
- Durabilidad: Con el cuidado adecuado, las carillas dentales, especialmente las de porcelana, pueden durar muchos años, haciendo que sean una inversión a largo plazo en tu salud dental y estética.
- Resistencia a las manchas: Las carillas de porcelana son especialmente resistentes a las manchas, lo que significa que tu sonrisa se mantendrá brillante y blanca con el tiempo, incluso si consumes alimentos y bebidas que suelen manchar los dientes. No, las carillas no se tiñen ni se manchan, puesto que son de materiales cerámicos que permanecen estables en el tiempo.
- Confianza mejorada: Tener una sonrisa de la que te sientas orgulloso puede aumentar significativamente tu autoestima y confianza en ti mismo, impactando positivamente en tu vida social y profesional.
- Tratamiento mínimamente invasivo.
Cuidados y Mantenimiento de las Carillas Dentales
La duración de las carillas dentales está determinada por diversos factores, como los cuidados que siga el paciente en cuanto a higiene oral, alimentación, tabaco, hábitos, revisiones con el dentista, etc. Adicionalmente, la durabilidad del tratamiento también depende del material con el que están fabricadas las carillas y de la técnica de colocación (directa o indirecta). Por ello, no resulta posible determinar de antemano cuánto tiempo duran las carillas dentales. Lo que sí podemos decirte es que, con unos cuidados y unos mantenimientos adecuados, son un tratamiento pensado para durar a largo plazo.
Para asegurar la longevidad y mantener la apariencia de tus carillas dentales, es importante seguir una rutina de cuidado dental adecuada:
- Higiene oral regular: Cepíllate los dientes al menos dos veces al día y usa hilo dental diariamente para mantener tus dientes y encías saludables. Esto también ayudará a evitar problemas debajo de las carillas. Al igual que en la mayoría de tratamientos dentales, es imprescindible que el paciente mantenga una buena higiene dental.
- Evitar alimentos y hábitos dañinos: Evita morder alimentos duros, como hielo o caramelos, que podrían dañar tus carillas. También, si tienes el hábito de rechinar los dientes, consulta a tu dentista sobre una férula nocturna para proteger tus carillas mientras duermes. Dichas indicaciones se centran en cepillarse los dientes después de cada comida, usar la seda dental, evitar el tabaco, utilizar una férula protectora por las noches y acudir al dentista con la regularidad establecida por este (normalmente, entre una y dos veces al año). Adicionalmente, es aconsejable tener ciertas precauciones al comer alimentos muy duros, disminuir el consumo de comidas o bebidas con mucha coloración y tener cuidado con ciertos movimientos al masticar.
- Visitas regulares al dentista: Programa visitas regulares a tu dentista para chequeos y limpiezas profesionales. Esto permitirá detectar y tratar cualquier problema a tiempo, asegurando que tus carillas y dientes naturales se mantengan en óptimas condiciones.

¿Carillas o Coronas? ¿Qué es más Barato?
Cuando se trata de mejorar nuestra sonrisa, a menudo nos encontramos con diferentes opciones de tratamiento dental. Dos de las alternativas más comunes son las carillas y las coronas, y muchas personas se preguntan cuál de ellas es más económica.
Las carillas dentales son finas láminas de material, generalmente de porcelana o resina compuesta, que se colocan en la parte frontal de los dientes. Están diseñadas para mejorar la estética dental, corrigiendo problemas como dientes descoloridos, astillados o desalineados. Este tratamiento es mínimamente invasivo y suele requerir solo una o dos visitas al dentista.
Las coronas dentales, por otro lado, son «fundas» que cubren completamente un diente dañado o debilitado. Se utilizan para restaurar la forma, el tamaño y la funcionalidad del diente. Este tratamiento es ideal para dientes que han sufrido caries extensas, fracturas o que han sido sometidos a tratamientos de conducto. La colocación de coronas suele requerir más tiempo y puede necesitar varias citas.
En general, las carillas suelen ser más económicas que las coronas.
- Carillas: El costo de las carillas puede variar entre 400 y 1.000 euros por diente, dependiendo del material utilizado (resina compuesta o porcelana) y la complejidad del caso.
- Coronas: Las coronas dentales tienen un costo que puede variar entre 600 y 1.200 euros, dependiendo del material (metal, porcelana o una combinación de ambos) y el proceso requerido para su colocación.
Además del costo inicial, es importante considerar la duración y la durabilidad de cada tratamiento:
- Durabilidad de las Carillas: Las carillas pueden durar entre 5 y 15 años, dependiendo de los cuidados que reciban y de la salud dental del paciente.
- Durabilidad de las Coronas: Las coronas, en cambio, pueden durar de 10 a 25 años o más si se cuidan adecuadamente.
La elección entre carillas y coronas no debe basarse únicamente en el costo. Es fundamental considerar tus objetivos estéticos, la salud de tus dientes y la recomendación de tu dentista.
Tabla Comparativa de Costos y Durabilidad
| Tratamiento | Costo Aproximado por Diente | Durabilidad |
|---|---|---|
| Carillas de Resina Compuesta | 400 - 700 euros | 5 - 7 años |
| Carillas de Porcelana | 700 - 1000 euros | 10 - 15 años |
| Coronas Dentales | 600 - 1200 euros | 10 - 25 años |
Nota: Los precios son aproximados y pueden variar según la clínica y la ubicación.