La estética dental está en auge, y las carillas dentales se han convertido en el tratamiento restaurador de moda para lograr una sonrisa de ensueño. Este procedimiento permite corregir imperfecciones dentales con un enfoque mínimamente invasivo y totalmente reversible.

¿Qué son las Carillas Dentales?
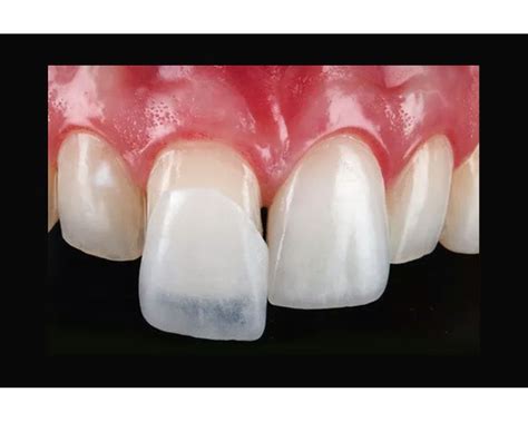
Las carillas dentales son finas láminas que se adhieren a la superficie frontal de los dientes mediante técnicas adhesivas. Estas láminas pueden estar hechas de diferentes materiales, como composite, porcelana (disilicato de litio, feldespáticas), o disilicato de litio, y se diseñan a medida para cada paciente.
Para crear la sonrisa deseada, es crucial estudiar las proporciones faciales del paciente y otras características para diseñar carillas que se adapten de manera individualizada. En una primera sesión, se toman registros necesarios para diseñar digitalmente la sonrisa ideal, incluyendo impresiones de los maxilares y fotografías.
En una segunda sesión, se muestra al paciente una simulación del diseño realizado en ordenador con un programa específico para ello. Además, se realiza un "mock up", una simulación física del diseño que se coloca en la boca del paciente para que pueda verse y mostrarlo a familiares y amigos durante una semana. Esto permite evaluar el diseño desde el punto de vista estético y funcional, realizando los ajustes necesarios directamente en la boca del paciente.
🚩 Carillas dentales: ¿Negocio o Salud?
Ventajas de las Carillas Dentales
Las carillas dentales ofrecen numerosas ventajas, entre las que destacan:
- Mejora estética: Permiten modificar la forma y el color de los dientes, mejorando su apariencia.
- Procedimiento no invasivo: No es necesario desgastar los dientes, especialmente con las carillas Top Smile, lo que hace que el proceso sea reversible.
- Estabilidad a largo plazo: Ofrecen una buena estabilidad a largo plazo, similar a la de una corona o funda.
- Sonrisa más atractiva: La dentición se verá más recta, sin espacios entre los dientes, más blanca y luminosa.
Tras este tratamiento, la dentición se verá más recta, sin espacios entre los dientes, más blanca y luminosa. En definitiva, mucho más bonita. Si lo que deseas es tener una sonrisa de anuncio y aun no sabes que tienes que hacer para conseguirla, las carillas son lo que buscas para no parar de sonreír, porque dicen que un día sin risa es un día perdido.

Tipos de Carillas Dentales
Hoy en día, las carillas pueden fabricarse con distintos materiales, como composite o porcelana (disilicato de litio, feldespáticas…). Aunque todos estos materiales presentan unos buenos estándares de calidad, cada uno de ellos cuenta con sus particularidades en términos de estética, resistencia, durabilidad, necesidad de realizar tallado, etc.
Existen diferentes tipos de carillas dentales en función del material y la técnica empleados en su confección. Cada una de ellas tiene sus ventajas, y la elección dependerá del caso concreto y las necesidades del paciente.
Carillas de Composite
Las carillas de composite son una alternativa demandada entre nuestros pacientes en Madrid. Su ventaja principal es que se colocan en una sola sesión y permiten mejorar pequeñas imperfecciones sin modificar en exceso el diente original.
Las principales ventajas de las carillas de composite son su proceso de colocación sencillo, que no requieren tallar los dientes y su precio. El composite se aplica directamente sobre el diente, normalmente en una única sesión. Son más económicas que las carillas de porcelana o disilicato de litio, pero también suelen durar menos tiempo.
Carillas de Porcelana
Las carillas de porcelana simbolizan la excelencia en estética dental. En nuestra clínica colaboramos con laboratorios de prestigio para diseñar piezas totalmente individualizadas. Su resistencia y similitud con el diente natural las convierten en la opción ideal para quienes desean una sonrisa armónica y de larga duración.
Su proceso de fabricación incluye la selección de tonalidades, simulaciones digitales y un tallado preciso, garantizando un resultado estético superior. Aunque su inversión es mayor, su durabilidad y naturalidad respaldan el coste.
Carillas Top Smile
Entre las opciones más avanzadas, destacan las carillas Top Smile, conocidas por su mínimo grosor de tan solo 0,2 mm. Esta técnica requiere una alta formación y planificación, y ofrece resultados estéticos excepcionales.
Esta es una técnica muy compleja de realizar, por lo que hace falta mucha formación y planificación, en Herrera & Cores nos hemos tenido que formar mucho en esto, tanto es así, que nos hemos ido al lugar en el que las han creado. De hecho hoy día, todos los casos de carillas que nos llegan a nuestra clínica, los planificamos conjuntamente con ellos.
¿Cuánto Cuestan las Carillas Dentales?
El precio de las carillas dentales varía según el material, el número de carillas necesarias y la complejidad del caso. En España, el precio de un tratamiento con carillas dentales parte de unos 1.120 euros. Sin embargo, hay que tener en cuenta que el precio del tratamiento varía en función del número de carillas que se necesiten.
Como es lógico, no todas las personas necesitan el mismo número de carillas, ya que esto dependerá de cuáles sean los defectos que se quieran corregir o disimular con el tratamiento. Asimismo, dado que las carillas dentales se colocan en los dientes más visibles, el número que habrá que colocar también dependerá de la amplitud de sonrisa de cada persona.
Normalmente, se ponen en los seis dientes delanteros superiores, que son los más visibles al sonreír: dos incisivos centrales, dos incisivos laterales y dos colmillos. No obstante, en algunos casos se pueden llegar a colocar carillas en los premolares, por lo que habría que poner diez carillas en total en la arcada superior.
Para tener una idea más clara, aquí te presentamos un rango de precios promedio en clínicas de nivel medio-alto en España (valores de referencia para 2024-2025):
| Tratamiento | Precio Promedio |
|---|---|
| Carillas de porcelana | 600€ - 1.000€ por diente |
| Carillas de composite | 250€ - 400€ por diente |
| Blanqueamiento dental profesional | 200€ - 400€ |
| Implante dental unitario (con corona) | 1.000€ - 1.500€ total por pieza |
Duración de las Carillas Dentales
La durabilidad de las carillas dentales depende del material y los cuidados del paciente. Las carillas de porcelana pueden durar hasta 15 años, mientras que las de composite tienen una duración máxima de cinco años. Para prolongar la vida útil de las carillas, es fundamental seguir las indicaciones del odontólogo, incluyendo una higiene bucodental adecuada, revisiones periódicas y el uso de una férula protectora por las noches.
Mantenimiento de las Carillas Dentales
Dichas indicaciones se centran en cepillarse los dientes después de cada comida, usar la seda dental, evitar el tabaco, utilizar una férula protectora por las noches y acudir al dentista con la regularidad establecida por este (normalmente, entre una y dos veces al año).
Adicionalmente, es aconsejable tener ciertas precauciones al comer alimentos muy duros, disminuir el consumo de comidas o bebidas con mucha coloración y tener cuidado con ciertos movimientos al masticar.
