Impulsada por la necesidad creciente de soluciones estéticas mínimamente invasivas para la mejora de la sonrisa, la Odontología estética sigue avanzando y trae con ella nuevas fórmulas que revolucionan el mercado. Las carillas dentales de composite directas son capas finas y cuidadosamente aplicadas de resina compuesta, diseñadas para adherirse directamente sobre la superficie frontal del diente.
Las carillas de composite son una solución estética popular en odontología que permite mejorar la apariencia de los dientes de manera rápida y efectiva. Estas finas capas de resina compuesta se aplican sobre la superficie frontal de los dientes, corrigiendo imperfecciones como manchas, desgastes, espacios entre dientes y pequeñas maloclusiones. A diferencia de las carillas de porcelana, que requieren un proceso de laboratorio, las carillas de composite se pueden moldear y colocar directamente en la consulta dental, lo que las convierte en una opción más accesible y menos invasiva.

Este procedimiento es tan popular en el ámbito de la Odontología estética por algo. La técnica estratificada directa -la cual consiste en aplicar cuidadosamente capas sucesivas de composite, cada una con diferentes grados de translucidez y color- es fundamental para obtener resultados óptimos en la aplicación de carillas de composite. En este artículo te mostraremos cómo se colocan las carillas y microcarillas de composite, un procedimiento que no requiere tocar dientes para mejorar su forma, tamaño y color.
Indicaciones de las Carillas Directas de Composite
Las carillas directas de composite están especialmente recomendadas para:
- Solucionar pigmentaciones dentales severas que no responden al blanqueamiento tradicional.
- Restauraciones antiguas deterioradas o defectuosas.
- Fracturas dentales menores.
- Corregir discretas desviaciones dentales o espacios no deseados entre dientes.
- Modificación y posición de los dientes.
- Corrección estética de efectos estructurales.
- Modificación de color.
- Rehabilitación oclusal.
- Reparación de prótesis.
- Cierres de diastemas.
- Aumento de corona.
- Fractura coronal extensa.

Además, su versatilidad y capacidad para adaptarse al color natural de los dientes hacen que sean una elección atractiva para quienes buscan una sonrisa más brillante y uniforme. Una primera valoración también nos ayuda con los pacientes que sufren de bruxismo. La evolución tecnológica de los materiales dentales ha permitido el desarrollo de composites cuyas propiedades estéticas y de resistencia hacen posible realizar carillas dentales con resultados de gran similitud a la estructura dental natural a un costo menos elevado que las restauraciones más complejas, convirtiéndose en una alternativa más que aceptable.
Diseño de sonrisa con Resinas estéticas - Odontología Láser
Contraindicaciones de las Carillas Directas de Composite
Es importante considerar las contraindicaciones antes de optar por este tratamiento:
- Pérdida estructural con comprometimiento de la resistencia dental.
- Comprometimiento oclusal.
- Dientes con vestibularización severa.
- Disponibilidad de esmalte.
- Pacientes con parafunción oclusal.
Ventajas y Desventajas de las Carillas de Composite
Los composites dentales han ganado popularidad en la confección de carillas por su versatilidad, costo accesible y la posibilidad de realizar tratamientos conservadores y mínimamente invasivos. Tiene la ventaja de ser estéticamente similar al esmalte natural, lo que lo hace ideal para tratamientos que requieren un acabado estético, como las carillas o los empastes.
Ventajas:
- Única sesión.
- Reparación fácil, rápida y eficaz.
- Menor costo.
- Preparación más conservadora que las carillas en porcelana.
- No necesita provisional ni moldaje.
- Procedimientos más rápidos.
Desventajas:
- Tienen menor durabilidad en comparación con las de cerámica y pueden requerir reemplazos más frecuentes.
Sin embargo, el uso de composites para carillas también enfrenta ciertos desafíos que los dentistas deben abordar para garantizar resultados estéticos y funcionales duraderos. En odontología, cada caso es único y requiere una solución personalizada que considere una amplia variedad de factores y riesgos.

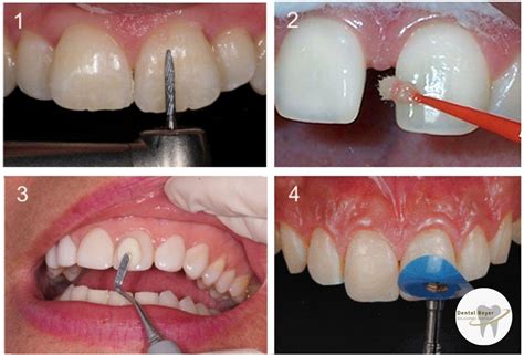
Paso a Paso: Colocación de Carillas Directas de Composite
El tratamiento comienza con una planificación estética detallada basada en la información obtenida de las fotografías clínicas, modelos y estudio radiológico si es preciso. Desde el mock-up inicial el paciente puede previsualizar el resultado final, y si fuera el caso preparar la guía de trabajo. A continuación, se describen los pasos clave:
1. Preparación Dental
Con una limpieza profunda y la remoción de restauraciones previas deterioradas se finaliza la fase de preparación, antes de proceder al acondicionamiento dental. En esta fase, se aplican técnicas adhesivas específicas para asegurar la fijación óptima del composite. En en caso de las carillas directas de composite bastaría con la eliminación de caries, restauraciones antiguas y una ligera capa de esmalte, evitando a ser posible la exposición dentinaria.
2. Uso de la Matriz Unica Proximal
Posteriormente se coloca de manera estratégica la matriz Unica Proximal para estabilizar y facilitar la reconstrucción simultánea de las paredes proximales. Uno de los desafíos habituales en el tratamiento con carillas directas es lograr una reconstrucción anatómica precisa de las áreas proximales. Gracias a su diseño autoestabilizador que prescinde del uso habitual de cuñas adicionales, esta innovadora matriz facilita considerablemente la reconstrucción simultánea de las paredes mesiales y distales.
3. Estratificación del Composite
Para la estratificación del composite, se aplican cuidadosamente las capas con atención a los tonos y al grado de translucidez para conseguir que el efecto sea lo más natural posible.Se debe considerar el perfil de emergencia del diente y pulirlo en tres planos.
Opciones de estratificación:
- Opción 2: Puedes usar dos colores y hacer la restauración un poco más sofisticada, ya que con frecuencia los dientes presentan una gradiente de color y traslucidez que va de cervical a incisal, siendo la zona cervical más rica en cromatismo y opacidad y el tercio incisal menos cromático y más translúcido.
- Opción 3: Esta sería la versión “pro” ya que aplicaría una técnica de estratificación compleja a fin de lograr la máxima naturalidad de los dientes. Esto es aplicable para los los dientes muy caracterizados que suelen tener un halo incisal de color azul, un tércio cervical amarillo y otros gradientes naturales de color.

4. Modelado y Texturización
Crear la anatomía bucal-lingual y la anatomía primaria. Elimine todas las marcas dibujadas. Esto creará crestas y surcos rugosos que pueden ser ásperos. Utilice un disco Sof-Lex de color naranja con movimientos de vaivén.
5. Acabado y Pulido
Con las puntas 2135 F o FF de KG. O las multilaminadas de Brasseler tiras de lija de acero para remover las partículas de esmaltes sobrantes.
Técnicas Directas e Indirectas
La técnica directa es más rápida y se realiza completamente en la boca del paciente. El dentista moldea la carilla directamente sobre el diente afectado utilizando el composite, que se aplica en capas finas.
La técnica indirecta implica la creación de la carilla fuera de la boca del paciente, generalmente en un laboratorio dental. Una vez que la carilla está lista, se cementa sobre el diente del paciente. Esta técnica, aunque requiere más tiempo, es útil cuando se necesita una mayor precisión o cuando las carillas deben cubrir varios dientes o corregir problemas más complejos.
Tipos de Preparación
Las carillas directas de composite están indicadas en múltiples ocasiones en comparación con carillas indirectas de otro tipo de materiales.
- Clase I, no-prep o prep-less: El esmalte remanente es del 95% al 100%.
- Clase II, prep-less modificada: Mínimamente invasiva, con 80 a 95% de esmalte remanente.
- Case IV, carilla completa: Suele ser de porcelana.
Consideraciones Finales
Cuando el daño o desgaste de un diente excede ciertos límites, es recomendable considerar una corona en lugar de una carilla. Sin embargo, siempre que sea posible, optar por una carilla es la mejor opción, ya que es un tratamiento mucho más conservador. Mientras que una corona implica eliminar una cantidad significativa de tejido dental, una carilla solo requiere la eliminación de aproximadamente un cuarto o, como máximo, la mitad de ese tejido.
La excelencia de los resultados inmediatos en el tratamiento con carillas dentales directas de composite suele acompañarse, además, de una gran durabilidad en los resultados. Eso sí, la colaboración del paciente es fundamental en este punto.