¿Está buscando una manera de enderezar tus dientes sin aparatos? Las carillas pueden ser una excelente opción para ayudarte a conseguir una sonrisa más alineada y bonita. En este artículo te explicaremos todo lo que necesitas saber antes de tomar una decisión. Con esta guía, podrás tomar una decisión informada sobre si las carillas son o no la solución adecuada para ti.

¿Qué son las Carillas Dentales?
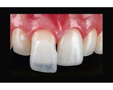
Las carillas dentales son finas láminas de porcelana o materiales compuestos (composite) del color del diente. Están hechas a la medida de sus dientes, por lo que se adaptan perfectamente a tu sonrisa. Las carillas dentales son ideales para personas con imperfecciones dentales moderadas.
También son una gran opción para aquellos que desean mejorar la estética de su sonrisa sin grandes alteraciones de los dientes. Las carillas pueden ayudarte a arreglar dientes torcidos, reparar dientes astillados o rotos, o cubrir manchas y decoloraciones antiestéticas.
Las carillas dentales son uno de los tratamientos de la odontología que más beneficios directos e inmediatos aportan a los pacientes.

Beneficios de las Carillas Dentales
- Enderezar dientes torcidos: Las carillas son una forma eficaz y no invasiva de corregir los dientes que están ligeramente torcidos. Suelen utilizarse para corregir los espacios entre los dientes o los que están ligeramente descentrados.
- Reparación de dientes astillados o rotos: Si tienes dientes rotos o astillados, puedes utilizar carillas para repararlos.
- Cubrir manchas antiestéticas y decoloración: Las carillas pueden ser una gran opción si tienes manchas antiestéticas en los dientes o decoloración que deseas cubrir.
- Alargar o ensanchar los dientes: Las carillas pueden utilizarse para alargar o ensanchar los dientes. Esto se denomina remodelación.
Tipos de Carillas Dentales
Existen dos tipos principales de carillas: carillas del color del diente (composite) y carillas de porcelana. Las carillas de porcelana son más populares, pero las carillas de composite también son una opción viable.
Carillas de Composite
Las carillas de composite están hechas de resina compuesta (de ahí el nombre). Este tipo de carillas requieren menos mantenimiento y son más económicas que las carillas de porcelana.
Carillas de Porcelana
Las carillas de porcelana son más resistentes, duraderas y un poco más caras que las carillas de color del diente.

Riesgos de las Carillas Dentales
Como todo tratamiento, también existen algunos riesgos a la hora de poner carillas dentales para arreglar los dientes torcidos:
- Puede ser difícil para usted comer ciertos alimentos: Las carillas pueden hacer que sea más difícil de masticar ciertos alimentos. Si no se tiene cuidado, podría astillarse o romperse las carillas.
- Puede ser difícil mantener los dientes limpios: Como las carillas no forman parte de los dientes naturales, puede ser más difícil limpiarlas.
- Puede haber riesgo de reacción alérgica: Existe un pequeño riesgo de que se pueda desarrollar una reacción alérgica al material de las carillas. Si notas enrojecimiento, hinchazón o irritación alrededor de las carillas, es posible que tengas una reacción alérgica.
Sin embargo, si tienes los dientes con caries o débiles, las carillas de composite pueden ser la mejor opción.
Carillas Dentales Vs Diseño de Sonrisa | Lo que tienes que saber antes de decidir
¿Cómo se Colocan las Carillas Dentales?
Si quieres carillas, tendrás que visitar alguna clínica dental para un examen y una consulta. Durante esta primera visita, el dentista te examinará los dientes y te preguntará por tu historial dental si es que no eres ya un paciente habitual.
Si las carillas son de composite, se puede realizar su colocación en una única visita. En cambio, si las carillas son de porcelana el tratamiento puede durar un par de semanas. En primer lugar, el dentista tomará medidas detalladas de sus dientes. A continuación, enviará estas medidas a un laboratorio externo donde se crearán las carillas. Después, las carillas se enviarán de nuevo a su dentista, donde se ajustarán a sus dientes.
Después de colocar las carillas, tendrás que visitar a los dentistas cada seis meses para que te hagan una limpieza y te revisen las carillas. Deberás tener cuidado al comer y limpiar tus carillas regularmente.
Alternativas a las Carillas Dentales
Siempre hay pacientes que prefieren otro tipo de tratamiento para corregir los dientes torcidos. Cada paciente es un caso y la voluntad de cada uno es respetada.
- Aparatos de ortodoncia: Si los dientes torcidos te causan vergüenza es posible que quieras considerar realizar un tratamiento de ortodoncia para enderezar los dientes.
- Coronas: Si tienes dientes dañados que necesitan ser arreglados, puedes considerar la posibilidad de ponerte una corona para reparar tus dientes.
- Rellenos: Si tienes decoloración en los dientes, existe la posibilidad de llenar el área con una resina compuesta blanca.
Arreglar los dientes apiñados sin recurrir a un tratamiento de ortodoncia puede ser complicado, ya que esta es la solución más común y eficaz para corregir los problemas relativos al alineamiento y la mordida de los dientes. Sin embargo, existen otras opciones:
Alineadores invisibles
La ortodoncia invisible está basada en una serie de alineadores transparentes y removibles que se cambian cada 7-14 días y permiten realizar micromovimientos graduales en los dientes hasta llevarlos a la posición deseada. Aunque, técnicamente, estos alineadores sean una forma de ortodoncia, son una alternativa menos visible y más cómoda que los brackets tradicionales.
Disyuntores de paladar
El disyuntor de paladar es un aparato que se utiliza para expandir el maxilar superior en pacientes que presentan un paladar estrecho y abovedado. Su objetivo es ensancharlo y crear el espacio necesario para que los dientes puedan alinearse correctamente.
Preguntas Frecuentes
¿Las carillas duelen?
No, las carillas no duelen.
¿Qué ocurre si pierdo un diente después de ponerme carillas?
Siempre hay pacientes que prefieren otro tipo de tratamiento para corregir los dientes torcidos. Cada paciente es un caso y la voluntad de cada uno es respetada.
Conclusión
Si necesitas más información sobre cómo las carillas dentales pueden ayudarte a conseguir enderezar tus dientes o quieres conocer más detalles sobre los tratamientos alternativos que ofrecemos para ello, no dudes en ponerte en contacto con un especialista para que pueda valorar tu caso.