¿Estás buscando una manera de enderezar tus dientes sin aparatos? Las carillas dentales pueden ser una excelente opción para ayudarte a conseguir una sonrisa más alineada y bonita. En esta guía completa, te ayudaremos a entender cómo las carillas pueden ayudarte a arreglar los dientes torcidos y a conseguir la sonrisa perfecta que siempre has deseado.

¿Qué son las Carillas Dentales?
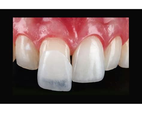
Las carillas dentales son finas láminas de porcelana o materiales compuestos (composite) del color del diente. Están hechas a la medida de tus dientes, por lo que se adaptan perfectamente a tu sonrisa. Las carillas dentales son ideales para personas con imperfecciones dentales moderadas. También son una gran opción para aquellos que desean mejorar la estética de su sonrisa sin grandes alteraciones de los dientes.
Las carillas pueden ayudarte a:
- Arreglar dientes torcidos
- Reparar dientes astillados o rotos
- Cubrir manchas y decoloraciones antiestéticas
- Alargar o ensanchar los dientes (remodelación)
La posición de cada pieza dental influye directamente en la estética dental y es uno de los aspectos esenciales de una sonrisa bonita. Una sonrisa alineada transmite salud y confianza, pero no todas las personas tienen los dientes perfectamente rectos.
Dientes torcidos ¿Ortodoncia o carillas de porcelana?
Beneficios de las Carillas Dentales
Las carillas dentales son uno de los tratamientos de la odontología que más beneficios directos e inmediatos aportan.
- Enderezar dientes torcidos: Las carillas son una forma eficaz y no invasiva de corregir los dientes que están ligeramente torcidos. Suelen utilizarse para corregir los espacios entre los dientes o los que están ligeramente descentrados.
- Reparación de dientes astillados o rotos: Si tienes dientes rotos o astillados, puedes utilizar carillas para repararlos.
- Cubrir manchas antiestéticas y decoloración: Las carillas pueden ser una gran opción si tienes manchas antiestéticas en los dientes o decoloración que deseas cubrir.
- Alargar o ensanchar los dientes: Las carillas pueden utilizarse para alargar o ensanchar los dientes. Esto se denomina remodelación.

Tipos de Carillas Dentales
Existen dos tipos principales de carillas: carillas de composite y carillas de porcelana.
- Carillas de composite: Las carillas de composite están hechas de resina compuesta. Este tipo de carillas requieren menos mantenimiento y son más económicas que las carillas de porcelana. En este caso se utiliza una resina que se aplica sobre el diente en varias capas y que luego se va tallando hasta conseguir la forma y tamaño deseados.
- Carillas de porcelana: Las carillas de porcelana son más resistentes, duraderas y un poco más caras que las carillas de composite. Una vez definida la forma, el tamaño y color, la carilla se fabrica en laboratorio y se adhiere a la superficie dental. Son carillas de un grosor mínimo, en el caso de Lumineers, apenas 0,3 mm.
Como ya hemos comentado, las carillas dentales pueden ser una opción efectiva para corregir dientes torcidos en ciertos casos. Dada la facilidad de colocación se recomienda en pacientes con una estética dental que no requiera mucho cambio.
Tabla Comparativa: Carillas de Composite vs. Carillas de Porcelana
| Característica | Carillas de Composite | Carillas de Porcelana |
|---|---|---|
| Material | Resina compuesta | Porcelana |
| Durabilidad | Menor | Mayor |
| Mantenimiento | Menor | Mayor |
| Precio | Más económicas | Más caras |

Riesgos y Consideraciones
Como todo tratamiento, también existen algunos riesgos a la hora de poner carillas dentales para arreglar los dientes torcidos.
- Dificultad para comer ciertos alimentos: Las carillas pueden hacer que sea más difícil de masticar ciertos alimentos. Si no se tiene cuidado, podrías astillarse o romperse las carillas.
- Dificultad para mantener los dientes limpios: Como las carillas no forman parte de los dientes naturales, puede ser más difícil limpiarlas.
- Riesgo de reacción alérgica: Existe un pequeño riesgo de que se pueda desarrollar una reacción alérgica al material de las carillas. Si notas enrojecimiento, hinchazón o irritación alrededor de las carillas, es posible que tengas una reacción alérgica.
Es importante recordar que la malposición dentaria puede suceder tanto con los dientes de leche como con la dentición permanente. Y es igual de importante, porque puede afectar a la dentición definitiva. Como ya hemos comentado, unos dientes torcidos no son únicamente un problema estético, sino que conlleva múltiples consecuencias negativas para la salud dental y general. Por ello, es importante ponerle solución cuanto antes.
Si tienes los dientes torcidos y eres adulto lo más probable es que tiendas a acumular mayor cantidad de placa y sarro entre los espacios de difícil acceso para el cepillo de dientes.
¿Cómo se colocan las carillas?
Si quieres carillas, tendrás que visitar alguna clínica dental para un examen y una consulta. Durante esta primera visita, el dentista te examinará los dientes y te preguntará por tu historial dental. En primer lugar, el dentista tomará medidas detalladas de sus dientes. A continuación, enviará estas medidas a un laboratorio externo donde se crearán las carillas. Después, las carillas se enviarán de nuevo a su dentista, donde se ajustarán a sus dientes.
- Visitar a su dentista cada seis meses: Después de colocar las carillas, tendrás que visitar a los dentistas cada seis meses para que te hagan una limpieza y te revisen las carillas.
- Tener cuidado al comer: Deberás tener cuidado al comer.
- Limpieza adecuada de las carillas: También necesitarás limpiar tus carillas regularmente.
Preguntas Frecuentes sobre Carillas Dentales
- ¿Las carillas duelen? No, las carillas no duelen.
- ¿Cuánto tiempo se tarda en poner las carillas? Si las carillas son de composite, se puede realizar su colocación en una única visita. En cambio, si las carillas son de porcelana el tratamiento puede durar un par de semanas.
Alternativas a las Carillas Dentales
Siempre hay pacientes que prefieren otro tipo de tratamiento para corregir los dientes torcidos. Cada paciente es un caso y la voluntad de cada uno es respetada.
- Aparatos de ortodoncia: Si los dientes torcidos te causan vergüenza es posible que quieras considerar realizar un tratamiento de ortodoncia para enderezar los dientes. Existe una amplia variedad de aparatología, que incluye diferentes tipos de brackets, férulas y técnicas diversas.
- Coronas: Si tienes dientes dañados que necesitan ser arreglados, puedes considerar la posibilidad de ponerte una corona para reparar tus dientes.
- Rellenos: Si tienes decoloración en los dientes, existe la posibilidad de llenar el área con una resina compuesta blanca.
- Ortodoncia invisible: Son transparentes, funcionales y es la única aparatología 100% invisible a los ojos de los demás. Son unas férulas removibles que se van cambiando cada dos semanas, hechas de material transparente.
Cuando existen malposiciones severas o anomalías en la mordida, la recomendación será iniciar un tratamiento de ortodoncia. Se evitan así las consecuencias que tienen a nivel no solo estético, también funcional.

Conclusión
Las carillas dentales son una opción popular y efectiva para corregir dientes torcidos, ofreciendo resultados rápidos y estéticos. Sin embargo, es crucial consultar a un dentista especializado para determinar si son adecuadas para tu caso específico y para explorar todas las alternativas disponibles.