La parte visible del diente en la boca es conocida como corona. Como se utiliza para comer es indispensable que sea fuerte y dura. Es común que pensemos que el diente es una unidad completa. Dependiendo del caso, puede ser natural o artificial. Esta última, que se coloca sobre un diente o implante dental, es ideal para aquellas personas que presentan problemas en algunas de sus piezas dentales.
Y es que, juegan un papel importante en los procesos de recuperación estética y le devuelve al paciente la máxima funcionalidad en los procesos de masticación. En este artículo te explicamos cuáles son sus tipos para que, en caso de necesitar alguna, puedas elegir junto al dentista, la más idónea.
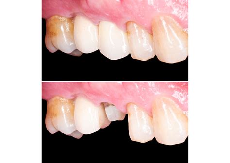
Antes de conocer su clasificación, es importante que tengas en cuenta que, este procedimiento se desarrolla sobre los molares y premolares, ya que son las piezas que más desgaste sufren con el paso de los años. Algunos pacientes no se sienten satisfechos con la forma, el color o la posición de sus piezas dentales.
Estas son necesarias en casos como los siguientes:
- Cuando un diente tenga exceso de material de reconstrucción y poco tejido dentario sano remanente.
- En dientes desgatados, débiles, rotos o con coloraciones muy oscuras.
- Cuando se requiera de una exigencia estética, en cuanto a forma y tamaño.
- Al colocar un implante.

Tipos de Coronas Dentales Artificiales
Las coronas artificiales se diferencian, principalmente, por los materiales con las que han sido fabricadas. Los diferentes materiales para coronas dentales tienen ventajas y limitaciones: desde las tradicionales coronas metálicas hasta las más modernas de disilicato de litio. A la hora de elegir el tipo de corona dental más adecuado para cada paciente, hay varios factores a tener en cuenta. Cada tipo de corona tiene características específicas que pueden hacerla más o menos adecuada dependiendo de las necesidades individuales del paciente.
Coronas de Metal-Porcelana
Están fabricadas de metal (parte interior) y recubiertas de porcelana (parte exterior). Este tipo de coronas combina la resistencia del metal con la naturalidad de la porcelana. Este material combina la estética necesaria en los dientes visibles con la resistencia imprescindible en los posteriores. Se suelen colocar en dientes posteriores, para evitar que el metal pueda verse a través de las encías. Su principal ventaja es que son resistentes. Toleran muy bien la presión de la mordida al masticar, por lo que resultan ideales para reemplazar dientes posteriores (muelas y premolares).
El punto débil de las metal-porcelana está en la estética a largo plazo: con los años, si las encías se retraen un poco, puede asomarse una fina línea oscura del metal en la base de la encía, resultando algo antiestético en la sonrisa. Por eso, hoy en día en los dientes delanteros (sonrisa) preferimos evitar el metal subyacente, usando coronas totalmente cerámicas o de zirconio.
Coronas de Circonio

Al ser un material capaz de soportar el desgaste diario, son resistentes. Asimismo, ligeras y estéticas, ya que son translúcidas y reflejan la luz de la misma manera que un diente natural. Como hemos comentado en el caso de la ortodoncia con brackets estéticos, el zirconio es un material muy resistente, traslúcido y con una gran adaptabilidad al color de la dentadura del paciente. Es una opción excelente para aquellos pacientes que puedan desarrollar alergias o reacciones adversas. Estas coronas se pueden usar tanto en dientes frontales como en muelas, ya que su resistencia a la fractura es de las más altas. De hecho, el zirconio ha reemplazado en muchos casos a las antiguas coronas totalmente metálicas, permitiendo tener fuerza y estética a la vez.
En mi experiencia, las coronas de zirconio son una excelente opción para molares o premolares que requieren mucha resistencia, o para pacientes que aprietan los dientes, ya que aguantan muy bien el desgaste. También las empleo en dientes anteriores cuando el paciente quiere la máxima durabilidad junto con estética. En Dental Corbella apostamos firmemente por este material porque lo consideramos la mejor elección para la mayoría de los pacientes: resistente, biocompatible y con una estética muy natural.
Coronas de Metal
Son fabricadas de oro, paladio, níquel o cromo. Aunque son de larga duración, hoy en día no suelen utilizarse. Las coronas metálicas de acero u otros metales base se usan poco en adultos actualmente, porque su apariencia plateada u oscura no es estética. Antiguamente eran comunes por su extrema durabilidad - prácticamente no se fracturan nunca y pueden durar décadas - pero hoy se reservan sobre todo para dientes temporales (molares de leche) en niños o como provisionales. Su ventaja es el bajo precio del material y la resistencia. Sin embargo, visualmente son muy llamativas (color metálico) y pueden generar problemas estéticos y hasta leves sensibilidades galvánicas.
El oro es un material excelente en odontología: muy biocompatible, no provoca alergias, altamente resistente al desgaste y se adapta con precisión. Algunas personas aún solicitan coronas de oro en molares por su durabilidad y porque el oro sufre menos desgaste contra dientes opuestos. Sin embargo, son muy caras(debido al precio del oro) y estéticamente llamativas por su color dorado. Por eso, su uso es minoritario hoy en día. En resumen, una corona metálica simple puede ser la opción más barata y duradera, pero menos estética.
Coronas de Porcelana

Se emplean para restaurar la estética de los dientes anteriores, ya que proporcionan la mejor combinación de colores naturales. La corona de porcelana es fuerte, no genera alergias y dispone de un conjunto de tonalidades amplio que le otorga naturalidad. Son las coronas más estéticas, ya que imitan muy bien el color, el brillo y la translucidez de un diente natural. Por eso suelen emplearse en los dientes anteriores (incisivos y caninos) que se ven al sonreír.
No obstante, son más frágiles que las de metal-porcelana o circonio, por ejemplo. Como desventaja, la porcelana pura es algo menos resistente a la fractura comparada con otros materiales más duros. No se recomienda usar solo porcelana en zonas de carga extrema (por ejemplo, en muelas muy comprometidas) porque podría llegar a fracturarse ante fuerzas masticatorias intensas.
Coronas de Resina
Al ser un material blando, se suelen utilizar de forma provisional. Las coronas de resina están hechas de resina acrílica o composite. Son coronas temporales que utilizamos de forma provisional mientras se fabrica la corona definitiva de mejor material. Sus ventajas son el precio muy bajo y la rapidez de fabricación (incluso se pueden hacer directamente en clínica). Sin embargo, no son muy resistentes ni duraderas: la resina puede fracturarse o desgastarse en pocos meses y con el tiempo tiende a decolorarse o mancharse.
En mi práctica, siempre coloco una corona de resina provisional tras tallar el diente, para protegerlo mientras el laboratorio hace la corona definitiva de porcelana, zirconio, etc.
Las coronas de disilicato de litio están compuestas por cerámica y vidrio.
Factores a Considerar al Elegir una Corona Dental
- Ubicación del diente: Los dientes posteriores requieren coronas fuertes y resistentes, mientras que los dientes visibles requieren coronas estéticamente agradables.
- Durabilidad: Necesitarás una corona que sea capaz de resistir el desgaste a largo plazo, especialmente en dientes que experimentan mucha presión masticatoria.
- Estética: Si estás buscando una restauración que se vea completamente natural, las coronas de porcelana pura o las coronas de zirconio son las mejores opciones.
- Costo: Las coronas de porcelana pura y zirconio suelen ser las opciones más caras.
- Tiempo: Algunas coronas, como las de porcelana pura o zirconio, requieren más tiempo para ser fabricadas y personalizadas.
- Biocompatibilidad: Es importante considerar si tienes una sensibilidad conocida a ciertos materiales.
- Cuidado: Las coronas de porcelana y zirconio requieren cuidados similares a los dientes naturales.
Precios Aproximados de Coronas Dentales en España (2024-2025)
El precio de una corona dental puede variar ampliamente según varios factores. Principalmente depende del material del que esté hecha, pero también influyen la técnica empleada, la ciudad y clínica donde te atiendas, y la complejidad de tu caso. Por ejemplo, coronas realizadas con materiales avanzados suelen ser más caras, y en grandes ciudades los honorarios pueden ser algo mayores.
A continuación, se presenta una tabla con los precios aproximados por tipo de corona:
| Tipo de Corona | Material | Precio Aproximado (€) |
|---|---|---|
| Metal-Porcelana | Metal recubierto de porcelana | 250 - 600 |
| Zirconio | Dióxido de zirconio | 350 - 800 |
| Porcelana | Cerámica de alta calidad | 300 - 700 |
| Metal | Oro, paladio, níquel o cromo | 400 - 900 (oro) |
| Resina | Resina acrílica o composite | 50 - 200 (provisional) |
Nota: Estos precios son orientativos por unidad (por cada corona sobre un diente natural). Pueden variar según la clínica y la ubicación geográfica, pero reflejan los rangos habituales en España en 2024-2025.
Tratamientos previos: Si el diente requiere una reconstrucción, una endodoncia (desvitalizar el nervio) o cirugía de implante antes de colocar la corona, estos procedimientos se cobran aparte del precio de la corona. Por ejemplo, una corona sobre implante suele ser más cara porque implica el coste del implante en sí, el pilar (abutment) y la cirugía de colocación del implante.
Tipo de clínica o seguro dental: En clínicas de alto prestigio o especialistas muy experimentados, el precio puede ser algo mayor (aunque a cambio ofrecen gran calidad y garantías). Por otro lado, algunas aseguradoras dentales o franquicias ofrecen coronas a precios más reducidos para sus socios.
Como ves, la diferencia de precio entre una corona básica y una de gama alta puede ser importante. No obstante, elegir bien el material de la corona es vital: una corona de calidad te durará muchos años más, evitando retratamientos. Mi consejo profesional es priorizar la calidad y la biocompatibilidad del material en la medida de tu presupuesto.
Incrustación vs Corona Dental ¿Cuál te conviene más? | (Cuando está indicada)
¿Cómo se Coloca una Corona Dental?
El procedimiento para colocar una corona dental suele requerir dos visitas al dentista (salvo que se utilice tecnología CAD/CAM para hacer la corona en el día).
- Preparación del diente: En la primera cita, se anestesia localmente la zona. El dentista talla el diente reduciendo su tamaño alrededor, de modo que haya espacio suficiente para alojar la corona encima. Si había caries o empastes antiguos, se eliminan. Quedará un “pilar” de diente sano preparado para ser cubierto.
- Impresiones o escaneo: Se toma el registro de la forma del diente preparado y de la mordida. Esto puede hacerse con una impresión de silicona o mediante un escáner intraoral 3D, dependiendo de la clínica.
- Colocación de corona provisional: Antes de terminar la primera visita, normalmente te colocamos una corona provisional de resina sobre el diente tallado. Esta funda temporal protege el diente y te permite hacer vida normal (masticar con cuidado) durante el intervalo.
- Cementado de la corona definitiva: En la segunda visita (una vez la corona final está lista), se retira la provisional y se prueba la corona definitiva. El dentista comprueba que el ajuste, el contacto con los dientes vecinos y la oclusión (mordida) sean perfectos. Si todo es correcto y estéticamente te ves bien, se fija la corona permanente con un cemento dental especial. Este adhesivo asegura la corona firmemente al diente tallado. Finalmente, se limpian los excesos de cemento y ¡listo!
En la mayoría de los casos, poner una corona es un procedimiento indoloro porque se realiza con anestesia. Tras el cementado, puedes notar el diente un poco «extraño» o con leve sensibilidad al frío los primeros días, pero esto desaparece rápido. Es importante que la corona no quede alta ni incómoda; si sientes que “chocas” prematuramente al morder, avisa a tu dentista para que la ajuste ligeramente.
(Como detalle, algunas clínicas con sistemas CAD/CAM pueden hacer todo en una sola visita: escanean el diente tallado y fresan la corona en el momento, eliminando la necesidad de provisionales.
Duración y Cuidado de las Coronas Dentales
Una corona dental, una vez colocada, se comporta como un diente más en tu boca. En términos generales, la vida útil de una corona bien hecha es de 10 a 15 años de media, pudiendo durar incluso 20 años o más con buenos cuidados. Hay casos documentados de coronas que siguen en boca después de 25-30 años, especialmente las de oro o las de porcelana/zirconio en pacientes muy cuidadosos.
¿Cómo cuidar tus coronas dentales para que duren más? Muy sencillo: igual que cuidas tus dientes naturales.
- Higiene oral escrupulosa: Cepilla tus dientes (y coronas) al menos 2-3 veces al día con una pasta fluorada, llegando hasta la unión de la corona con la encía. Usa hilo dental o cepillos interdentales diariamente para limpiar los bordes de la corona donde puede acumularse placa.
- Evita hábitos perjudiciales: No uses tus dientes (con corona o sin ella) para abrir envases, morder objetos duros (huesos, hielo, cáscaras) o cortar cosas que no sean comida. Tampoco mastiques alimentos extremadamente duros en el lado de una corona nueva.
- Visitas periódicas al dentista: Programa revisiones e higienes dentales profesionales al menos una vez al año. En la limpieza profesional eliminaremos el sarro acumulado alrededor de tus coronas y dientes (lo que previene la gingivitis y la periodontitis).
En las revisiones, el odontólogo controlará el estado de la corona, de la encía y del diente soporte. Si detectamos a tiempo un pequeño problema (como filtración marginal o una caries incipiente en el diente bajo la corona), podremos solucionarlo antes de que comprometa la corona. Piensa que, aunque la corona no se carie, el diente debajo sí puede enfermar si no se cuida; por ejemplo, una caries debajo de la corona podría aflojarla o hacer que se desprenda.
Siguiendo estos consejos, tus coronas se mantendrán en perfecto estado por muchos años. En caso de que notes algo fuera de lo común - por ejemplo, sensibilidad persistente, movilidad en la corona, inflamación en la encía circundante o mal olor - acude a consulta.
Por último, ten la tranquilidad de que las coronas no se manchan fácilmente con café, té o tabaco (especialmente las de porcelana y zirconio, que son muy lisas). Mantendrán su color en el tiempo mejor que un diente natural.
Coronas Dentales vs. Carillas Dentales
A muchos pacientes les surge la duda entre coronas dentales y carillas dentales. La corona dental (funda) cubre todo el contorno del diente (360 grados). Requiere tallar el diente por todos sus lados y la corona actúa como un casquete que aporta estructura y protección. La carilla dental es una lámina fina de porcelana o composite que solo cubre la cara frontal del diente. Se usa principalmente con fines estéticos, por ejemplo para camuflar el color, forma o posición levemente irregular de un diente anterior.
Si el diente está sano y solo buscas mejorar su apariencia (color, forma leve), probablemente con carillas logres el objetivo de forma más conservadora. Pero si el diente está muy restaurado o debilitado, una carilla no sería suficiente (podría despegarse o el diente podría fracturarse por detrás); en ese caso necesitas una corona que lo recubra completamente y le devuelva la resistencia.
Ambos tratamientos pueden lograr una sonrisa hermosa, pero la decisión corona vs. carilla depende del estado del diente. Tu odontólogo evaluará si el diente tiene soporte suficiente para una carilla o si es más seguro colocar una funda. (Nota: También existe el término “funda dental”, que como ya comentamos, es sinónimo de corona.
Corona sobre Diente Natural vs. Corona sobre Implante
Esta comparación en realidad es un poco engañosa, porque corona e implante no son tratamientos excluyentes, sino complementarios. Un implante dental es un tornillo de titanio que sustituye la raíz de un diente perdido, y sobre él siempre se coloca una corona (artificial) como parte visible. La verdadera disyuntiva se da cuando tenemos un diente propio dañado: ¿es mejor intentar salvarlo con una corona o extraerlo y poner un implante?.
Si el diente es recuperable, aunque esté muy dañado, solemos preferir conservar el diente natural y protegerlo con una corona. Nada supera a tu propio diente en cuanto a la integración con tu organismo (tiene ligamento periodontal, mantiene el hueso alrededor, etc.). Mientras el radicular esté sano (no tenga fracturas radiculares ni enfermedad periodontal severa), se intenta salvar con endodoncia, perno, corona, etc.
Si el diente no es viable (por ejemplo, raíz fracturada irreparable, caries muy profunda bajo encía, o infección que no puede solucionarse), entonces la extracción seguida de un implante es lo indicado. El implante osteointegrará en el hueso y luego colocaremos una corona sobre implante que reemplace al diente.
Si tienes el diente, primero evaluamos salvarlo con una corona; si ya no hay diente (o hubo que extraerlo), la corona irá sobre un implante. Desde el punto de vista del paciente, una vez terminado el tratamiento, funcional y estéticamente una corona sobre diente natural y una corona sobre implante se ven igual.
Las coronas sobre implantes dentales representan una solución innovadora y eficaz en el campo de la odontología restauradora. El implante, generalmente hecho de titanio, se inserta en el hueso alveolar del maxilar o mandíbula, actuando como una raíz artificial para el diente. Hay que esperar un tiempo medio de 8-12 semanas para que cicatricen los tejidos blandos y se produzca lo que se conoce como osteointegración. Para no privar al paciente de la funcionalidad y la estética dental mientras se cura, existe el llamado implante de carga inmediata. Este tratamiento consiste en colocar el implante y una corona provisional en la misma sesión.
Los implantes dentales ayudan a prevenir la pérdida ósea que normalmente acompaña a la pérdida de dientes, manteniendo la integridad estructural del maxilar. Hay personas que buscan mejorar la estética de su sonrisa debido a que tienen los dientes amarillentos, manchas dentales, piezas dañadas o ausentes.