La sonrisa es nuestra carta de presentación y, en ella, las encías juegan un papel crucial. Sin embargo, la retracción gingival, comúnmente conocida como encías retraídas, puede afectar a la estética de nuestra sonrisa. Las encías retraídas son un problema dental común que no solo afecta la estética de nuestra sonrisa, sino también a nuestra salud bucal.

Esta retracción de las encías puede crear problemas estéticos, sensibilidad dental, una mayor tendencia a la pérdida de encía y en casos extremos movilidad dental y/o pérdida dental. Comprender las causas y cómo se puede prevenir es crucial, por lo que no dejes de adoptar prácticas de higiene dental adecuadas, evita malos hábitos y visita regularmente a un dentista especializado.
¿Qué es la Periodontitis y cómo afecta las encías?
La periodontitis, a menudo denominada enfermedad de las encías, es una afección dental que va más allá de la inflamación ocasional de las encías. La periodontitis, una afección común pero a menudo subestimada, va más allá de las encías inflamadas; puede impactar directamente en la apariencia de nuestros dientes y, en consecuencia, en nuestra autoestima. Esta condición generalmente se desarrolla como resultado de una acumulación de placa bacteriana, una película pegajosa de bacterias que se forma constantemente en los dientes. Factores como la genética, el tabaquismo, la diabetes y otros problemas de salud pueden aumentar la susceptibilidad de una persona a la periodontitis.

La periodontitis, en sus etapas avanzadas, puede causar daño significativo a los tejidos que soportan los dientes. Las encías comienzan a retroceder, formándose bolsas entre los dientes y las encías. Además de los problemas físicos, la periodontitis puede tener un impacto en la calidad de vida de una persona. El sangrado de las encías, la halitosis persistente y la movilidad dental pueden afectar la confianza y la comodidad al interactuar socialmente.
Efectos de la Periodontitis en la Estética Dental
- Encías retráctiles: La periodontitis provoca la retracción de las encías, exponiendo partes del diente que normalmente deberían estar cubiertas.
- Pérdida de tejido gingival: La inflamación crónica causada por la periodontitis puede llevar a la pérdida de tejido gingival.
- Espacios entre los dientes: La formación de bolsas entre los dientes y las encías debido a la periodontitis puede provocar la separación de los dientes, creando espacios no deseados.
- Manchas y decoloración: La acumulación de placa y sarro asociada con la periodontitis puede causar manchas y decoloración en los dientes.
Carillas Dentales: Una solución para restaurar la sonrisa
Cuando la periodontitis ha dejado su huella en la estética de tu sonrisa, las carillas dentales emergen como una solución innovadora y eficaz para restaurar la apariencia natural y la confianza en tu expresión. Cuando la periodontitis ha dejado su marca en la estética dental, las carillas dentales se presentan como una opción destacada para restaurar la salud y la belleza de tu sonrisa.

¿Enseñas MUCHA ENCÍA cuando sonríes? Cómo solucionar la SONRISA GINGIVAL con brackets #shorts
Las carillas dentales actúan como una cubierta protectora que se adhiere a la superficie de los dientes visibles. Estas carillas están diseñadas para corregir una variedad de problemas estéticos, desde decoloración y manchas hasta irregularidades en la forma y el tamaño de los dientes.
Beneficios de las Carillas Dentales
- Restauración estética completa: Las carillas dentales ofrecen una solución completa para mejorar la apariencia de los dientes afectados por la periodontitis.
- Corrección de irregularidades dentales: Las carillas son excepcionalmente eficaces para corregir irregularidades en la alineación y la forma de los dientes.
- Mejora de la autoestima: La estética dental desempeña un papel crucial en la autoestima y la confianza.
- Minimización de daño adicional: Dado que las carillas dentales implican una preparación mínima del esmalte dental existente, se minimiza el daño adicional a los dientes afectados por la periodontitis.
- Resultados duraderos y resistentes: Las carillas dentales están fabricadas con materiales de alta calidad y son resistentes al desgaste diario.
- Proceso de aplicación eficiente: El proceso de aplicación de carillas dentales es eficiente y relativamente rápido.
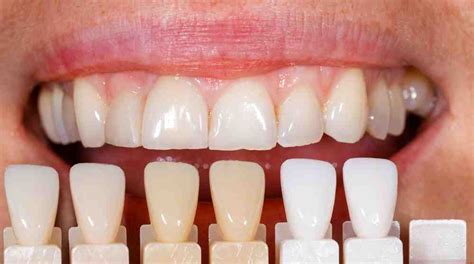
Tipos de Carillas Dentales
Hay dos tipos principales de carillas dentales: de composite y de cerámica.
- Carillas de composite: Esta técnica se realiza directamente sobre el diente mediante un sistema de composites altamente estéticos. La luminosidad, opacidad, transparencias y diferentes tonalidades del diente pueden ser reproducidas dotando a la sonrisa de la naturalidad deseada, y haciendo que el esmalte parezca tan joven como deseemos.
- Carillas de porcelana: En los casos de defectos del esmalte o coloración de dientes, podemos obtener excelentes resultados mediante la colocación de carillas de porcelana. La ventaja de las carillas de porcelana frente a las de composite es que tienen menos mantenimiento y son más duraderas.
Prevención de la Retracción de Encías
Antes de adentrarnos en el tratamiento de las encías retraídas cabe destacar que es una patología que se puede prevenir en la mayoría de casos.
- Cepillado adecuado: utiliza un cepillo de dientes de cerdas suaves y aplica técnicas suaves, evitando la presión excesiva.
- Higiene dental regular: incluir, además del cepillado, el uso de hilo dental y enjuagues bucales es clave para mantener las encías saludables.
Otros Tratamientos para Encías Retraídas
Además de las carillas dentales, existen otros tratamientos para abordar las encías retraídas:
- Injerto de encía: Este procedimiento consiste en tomar tejido de otra parte de la boca, como el paladar, y trasplantarlo a la zona afectada. Mediante esta técnica, es posible revestir la ‘raíz’ del diente que ha quedado excesivamente expuesta. En este caso es necesario tomar una parte de tejido blando donate (generalmente procedente del paladar) para reparar la zona receptora.
- Estiramiento de la encía: Cuando el paciente conserva las papilas interdentarias, se puede realizar un estiramiento de la encía. De esta manera, se vuelve a cubrir la raíz de las piezas dentales afectadas. En estos casos, el profesional, mediante una mínima incisión, puede tomar tejido del paladar del paciente. Con él, se recubren las zonas en las que se ha producido la retracción gingival.
Corrección de Encías: Gingivectomía
La corrección de las encías es un procedimiento quirúrgico en las encías, también conocido como gingivectomía. Con esta intervención se pueden corregir malformaciones de la encía, como cuellos dentales expuestos, encías excesivas o desiguales y encías retraídas.
Corrección de Encías con Láser
Actualmente, para la corrección de encías no necesariamente se requiere una intervención quirúrgica, sino que, algunos problemas de encías, pueden resolverse a través de la tecnología láser. Con un procedimiento láser el tejido sobrante de una encía se elimina de forma muy suave, sin causar dolor. Corregir encías con láser, es un procedimiento mínimamente invasivo con un gran efecto en la sonrisa y, en última instancia, en la autoestima del paciente.