Las carillas dentales son el tratamiento de estética dental por excelencia y cada vez es un tratamiento más común entre la población. Seguro que has oído hablar de las carillas dentales, pero ¿sabes exactamente qué son? Las carillas dentales son un tratamiento estético que consiste en aplicar un material sobre la capa más superficial del diente, el esmalte. Se utilizan para corregir problemas como dientes descoloridos, fracturados, desalineados o con espacios entre ellos. Las carillas dentales tienen sus ventajas y son una opción popular para mejorar la apariencia de los dientes.

Tipos de Carillas Dentales
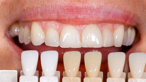
Principalmente existen dos tipos de carillas dentales: las carillas de composite o resina y las carillas de cerámica o porcelana.
Carillas de Composite o Resina
Las carillas dentales de composite son de resina y se realizan a mano alzada sobre el propio diente. Las carillas dentales de composite o resina son más económicas, por las limitaciones que presenta el propio material y porque son realizadas a mano alzada sobre el diente del paciente, sin tener un diseño exclusivo ni fabricación personalizada.La colocación de las carillas dentales de composite se realiza en una sola sesión en caso de optar por la técnica directa. Mediante esta técnica, el/la dentista diseña la fina lámina directamente sobre la pieza del paciente.
Carillas de Cerámica o Porcelana
La cerámica es el material más estético que existe y estas carillas se realizan a medida para cada paciente en el laboratorio. Las carillas de cerámica se consideran el tratamiento más estético del mercado porque la cerámica es el material más parecido al esmalte dental. Las carillas de porcelana suponen una mejora cualitativa y estética en comparación con las de composite. Las carillas de porcelana son translúcidas, así que dejan pasar la luz, dejando ver el diente real sobre el que van adheridas. En determinados casos, incluso es posible colocar este tipo de carillas sin tallado dental.
Materiales Utilizados en las Carillas Dentales
El material utilizado para las carillas dentales puede tener un impacto significativo en su precio. La porcelana es conocida por su durabilidad y resistencia a las manchas, con una apariencia natural similar a los dientes reales, aunque es más costosa. El composite es uno de los materiales más usados en odontología ya que permite imitar muy fielmente el tono real de los dientes.
Duración de las Carillas Dentales
No se puede garantizar una duración exacta del tratamiento con carillas dentales, ni de ningún tratamiento dental. En términos generales, las carillas de cerámica, si se cuidan bien, se consideran un tratamiento definitivo que debería durar de manera indefinida. Las carillas de composite, en cambio, al sufrir un desgaste con el paso del tiempo, la duración esperable es de unos años. No obstante, hay varios factores que influirán en la duración del tratamiento y la mayoría de estos factores dependerán del propio paciente. Las carillas de porcelana suelen durar entre 10 y 15 años, siempre y cuando se les brinde un buen mantenimiento y se eviten hábitos perjudiciales para la salud bucal. La duración de las carillas dentales de composite es de un máximo de cinco años aproximadamente.

Precio de las Carillas Dentales
Si estás interesado en este tratamiento, es importante conocer su precio y otros aspectos importantes. El precio promedio de las carillas dentales puede variar según la ubicación geográfica y el prestigio del dentista o clínica dental. En general, el costo de las carillas dentales puede oscilar entre 500 € y 2.500 € por diente. El precio de las carillas dentales estéticas puede parecer dispar si comparas entre diferentes opciones.
Precio de las Carillas de Cerámica
El material cerámico es más caro que la resina o composite, porque es un material que tiene mayor resistencia, mayor estética y que se considera definitivo. Además, estas carillas se diseñan a medida para cada paciente y se realizan en exclusiva para él, en el laboratorio dental. El precio de las carillas dentales de cerámica es de aproximadamente 450€.
Precio de las Carillas de Composite
Las carillas dentales de composite o resina son más económicas, por las limitaciones que presenta el propio material y porque son realizadas a mano alzada sobre el diente del paciente, sin tener un diseño exclusivo ni fabricación personalizada. El precio promedio de una carilla dental de composite puede oscilar entre 450 € y 1500 € por diente.
Factores que Influyen en el Precio Final
Existen varios factores que pueden influir en el precio final de las carillas dentales de porcelana:
- Calidad del material: La calidad de la porcelana utilizada puede afectar significativamente el costo.
- Experiencia del dentista: Los honorarios del dentista también pueden influir en el precio total.
- Técnica utilizada: La técnica utilizada para aplicar las carillas dentales de composite puede variar según el dentista.
- Número de dientes tratados: El número de dientes que necesitan ser tratados con carillas dentales de composite también afectará el precio final.
- Necesidad de procedimientos adicionales: En algunos casos, puede ser necesario realizar procedimientos adicionales antes o durante la colocación de las carillas dentales de composite, como limpieza dental o tratamiento previo del esmalte.
El tamaño de las carillas dentales puede influir en el precio final del tratamiento. Las carillas más grandes requieren más material para su fabricación, lo que aumenta los costos. La forma de las carillas dentales también puede tener un impacto en su precio. Las carillas personalizadas o con formas especiales pueden requerir una mayor habilidad y tiempo por parte del dentista y el técnico dental para fabricarlas. La ubicación de los dientes a tratar con carillas también puede influir en su precio. Por ejemplo, las carillas para los dientes frontales visibles tienden a ser más costosas que las que se colocan en los dientes posteriores menos visibles. El número de dientes que se van a tratar con carillas también afectará el costo total del tratamiento. Cuantos más dientes necesiten ser cubiertos con carillas, mayor será la cantidad de material necesario y el tiempo requerido para completar el procedimiento.
Las carillas dentales en la parte frontal de la boca suelen ser más costosas que las colocadas en la parte posterior debido a las diferencias en los procedimientos involucrados. Esto implica un trabajo más detallado por parte del dentista y puede requerir técnicas avanzadas, como tallado mínimo o incluso carillas sin tallado. En contraste, las carillas posteriores no están tan expuestas a la vista y no requieren el mismo nivel de perfección estética. Además, debido al posicionamiento de los dientes posteriores, puede haber menos necesidad de realizar ajustes cosméticos significativos. Por ejemplo, las carillas frontales suelen estar hechas de materiales más estéticos y duraderos, como la porcelana, que son más costosos en comparación con las carillas posteriores que pueden ser de resina compuesta. Además, el número de carillas necesarias también puede afectar el precio total del tratamiento.
En resumen, la diferencia de precio entre las carillas dentales en la parte frontal y posterior de la boca se debe a una combinación de factores. Esto incluye el nivel de complejidad del procedimiento, la precisión estética requerida y los materiales utilizados.
Importancia de la Consulta Inicial y Controles Posteriores
La inclusión de la consulta inicial en el precio de las carillas dentales es fundamental para garantizar un adecuado diagnóstico y planificación del tratamiento. Durante esta consulta, el dentista evaluará la salud bucal del paciente, realizará radiografías y estudios necesarios, y discutirá las expectativas y opciones de tratamiento. Esta etapa es crucial para determinar si el paciente es un candidato adecuado para las carillas dentales y para establecer un plan personalizado.
Los controles posteriores son igualmente importantes en el proceso de colocación de carillas dentales. Estos controles permiten al dentista evaluar la adaptación de las carillas, verificar su funcionalidad y realizar ajustes si es necesario. Durante los controles posteriores, el dentista puede realizar limpiezas profesionales, examinar la integridad de las carillas y proporcionar recomendaciones sobre cuidados adicionales.
Beneficios de la consulta inicial y controles posteriores:
- Mayor precisión en el diagnóstico: La consulta inicial permite al dentista evaluar correctamente la situación bucal del paciente antes de proceder con las carillas dentales.
- Mejor seguimiento post-tratamiento: Los controles posteriores aseguran que las carillas dentales se mantengan en óptimas condiciones y funcionen correctamente a largo plazo.
- Mayor satisfacción del paciente: La inclusión de consulta inicial y controles posteriores en el precio brinda una atención integral al paciente, lo que genera confianza y satisfacción.
Descuentos y Promociones Especiales
Existen clínicas y consultorios dentales que ofrecen descuentos especiales en tratamientos de carillas dentales. Estas ofertas pueden incluir precios reducidos, paquetes promocionales o descuentos por referir a nuevos pacientes. Al aprovechar estos descuentos, los pacientes pueden obtener un ahorro significativo en el costo total del tratamiento.
Ejemplo de promoción: «Sonrisa perfecta a mitad de precio». Una clínica dental reconocida está ofreciendo una promoción especial llamada «Sonrisa perfecta a mitad de precio». Esta oferta incluye un descuento del 50% en el coste total del tratamiento de carillas dentales. Además, ofrece financiación sin intereses para facilitar el pago del tratamiento.
Algunas clínicas dentales también ofrecen promociones especiales durante ciertas temporadas o eventos específicos. Por ejemplo, durante un mes específico ofrecen descuentos en tratamientos estéticos, incluyendo carillas dentales, como parte de una celebración estival. Una clínica dental está ofreciendo una promoción especial llamada «Sonrisa radiante para el Día de San Valentín». Durante todo el mes de febrero, los pacientes pueden disfrutar de un descuento del 20% en el coste total del tratamiento de carillas dentales. Además, se ofrece una consulta gratuita para evaluar la elegibilidad y planificar el tratamiento personalizado.
En resumen, existen varias opciones disponibles para obtener descuentos o promociones especiales en tratamientos de carillas dentales. Tanto los descuentos generales como las promociones por temporada o eventos especiales pueden ayudar a reducir significativamente el coste total del tratamiento.
Cobertura de Seguros Médicos
La cobertura de los seguros médicos para las carillas dentales puede variar dependiendo del plan y la compañía aseguradora. Algunos planes de seguro dental pueden cubrir parcialmente el costo de las carillas dentales, mientras que otros pueden ofrecer una cobertura total. Es importante tener en cuenta que algunos planes de seguro dental pueden tener exclusiones específicas relacionadas con las carillas dentales.
Consulta con tu seguro si tienes, no pierdes nada. Para resumir: el precio no debe ser un freno para conseguir tu sonrisa deseada. Hoy en día es más fácil que nunca: podrás pagar a plazos cómodos sin sobrecostes excesivos.
Opciones de Financiación
Una de las ventajas más destacadas al momento de optar por carillas dentales es la posibilidad de financiar el pago a través de planes o créditos especiales. Muchas clínicas y consultorios odontológicos ofrecen opciones flexibles de financiación para que los pacientes puedan acceder a este tratamiento sin tener que pagar la totalidad del costo inicialmente. La financiación brinda diversas ventajas tanto para los pacientes como para los profesionales odontólogos. Además, al poder dividir el pago en cuotas, se puede ajustar el presupuesto mensual y realizar un seguimiento más cómodo de los gastos. Algunas clínicas también ofrecen opciones de financiación sin intereses o con tasas preferenciales, lo que resulta aún más beneficioso para los pacientes.
Lo habitual en clínicas dentales es colaborar con entidades financieras que conceden financiación al paciente directamente en la clínica, de forma muy sencilla, casi como comprar un electrodoméstico a plazos. Lo habitual en clínicas dentales es colaborar con entidades financieras que conceden financiación al paciente directamente en la clínica, de forma muy sencilla, casi como comprar un electrodoméstico a plazos.
Plazos sin intereses (0% TAE): Por lo general, se ofrecen 6, 12 o 24 meses sin intereses. Esto significa que puedes fraccionar el pago de tu tratamiento en 1 o 2 años sin pagar más de lo que cuesta el tratamiento. Por ejemplo, si tu tratamiento de carillas cuesta 2.400 €, podrías pagarlo en 12 cuotas mensuales de 200 € sin intereses.
Financiación inmediata en clínica: En la primera visita, tras evaluarte, nuestro equipo realiza el presupuesto y, si decides financiar, te asistimos con la solicitud. Suelen pedir documentación básica (DNI, justificante ingreso) y la aprobación es rápida. Así, no tienes que ir al banco; hacemos el trámite por ti en la consulta.
Adaptado a tu capacidad mensual: Podemos personalizar el plan. Si prefieres pagar en 6 meses porque no quieres alargar la deuda, genial. Si necesitas 18 meses para que la cuota sea más baja, lo gestionamos (a veces 18 o 24 meses pueden conllevar un pequeño interés, pero sigue siendo muy ventajoso). Nuestro objetivo es que el pago sea cómodo y no un impedimento.
Sin entrada (normalmente): La mayoría de financiaciones de tratamientos dentales se hacen al 100% del importe, sin necesidad de dar un pago inicial (aunque si quieres dar una entrada para que la cuota sea menor, también es posible).
Flexibilidad y seguridad: En Cleardent trabajamos con financieras especializadas en salud, que ofrecen garantías.
Cuidados y Mantenimiento
Las carillas dentales son una solución estética duradera para mejorar la apariencia de los dientes. Sin embargo, su duración puede variar según varios factores, como el cuidado y mantenimiento adecuados. Un buen cuidado bucal es fundamental para mantener las carillas dentales en buen estado durante más tiempo. Es necesario cepillar los dientes al menos dos veces al día con un cepillo de cerdas suaves y utilizar hilo dental diariamente. Algunos alimentos y bebidas pueden causar daños o decoloraciones en las carillas dentales. Es recomendable evitar consumir alimentos muy duros, como nueces o caramelos pegajosos, ya que pueden provocar fracturas en las carillas.
La duración estimada antes de reemplazar o realizar mantenimiento adicional a las carillas dentales puede variar según el material utilizado y los cuidados proporcionados. Las carillas de porcelana suelen durar entre 10 y 15 años, siempre y cuando se les brinde un buen mantenimiento y se eviten hábitos perjudiciales para la salud bucal. Es importante tener en cuenta que estos valores son estimaciones generales y que cada caso puede ser diferente.
Higiene oral escrupulosa: cepíllate los dientes (y carillas) al menos dos veces al día con pasta fluorada, y usa hilo dental diariamente. Las carillas de porcelana no cogen caries, pero el diente que está detrás sí puede si se acumula placa en los márgenes. Además, la encía alrededor debe mantenerse sana. Un higiene deficiente puede provocar encías inflamadas o recesión que arruine el aspecto.
Evitar alimentos o hábitos muy pigmentantes (especialmente para carillas de composite): café, té, vino, curry, tabaco… no es que no puedas tomarlos nunca, pero modera su consumo y cepilla después si es posible.
Cuidado con los alimentos duros: morder hielo, huesos, caramelos duros o abrir botellas con los dientes está prohibido, tengas carillas o no. Un mal gesto puede astillar una carilla (igual que astillaría un diente natural).
Protección nocturna si bruxas: Si tienes hábito de rechinar o apretar los dientes (bruxismo), es muy recomendable usar una férula de descarga nocturna para proteger tanto tus dientes como tus carillas. El bruxismo es una de las pocas cosas que puede fracturar una carilla de porcelana con el tiempo debido a la presión excesiva constante.
Visitas de revisión periódicas: al menos una vez al año, que el dentista revise tus carillas. En las visitas profesionales podemos pulir las carillas de composite para devolverles brillo y eliminar manchas superficiales (quedarán como nuevas tras una sesión de pulido). En las de porcelana, revisamos que los bordes estén bien, reforzamos la unión si hiciera falta, y limpiamos encías.
Siguiendo estas pautas, tus carillas se verán bien y durarán el máximo tiempo posible.
Otros Tratamientos Necesarios
Además de la remoción de empastes antiguos, es importante considerar otros tratamientos necesarios al calcular el coste total del tratamiento dental. Al incluir estos tratamientos adicionales en el costo inicial, se evitan sorpresas financieras y se garantiza que todos los aspectos del problema dental sean abordados adecuadamente.
Alternativas Más Económicas
Una opción más económica a considerar si el precio de las carillas dentales de porcelana está fuera del presupuesto personal es optar por carillas de resina. Las carillas de resina son menos costosas que las de porcelana y pueden ofrecer resultados estéticos satisfactorios. Otra opción más económica para considerar es optar por carillas compuestas en lugar de carillas individuales. Las carillas compuestas son una alternativa más accesible, ya que se aplican directamente sobre los dientes sin la necesidad de fabricación personalizada en un laboratorio dental.
Riesgos de Elegir Opciones Más Económicas
Cuando se elige una opción más económica para las carillas dentales, es probable que los materiales utilizados sean de baja calidad. Esto puede resultar en carillas menos duraderas y propensas a dañarse o desprenderse fácilmente.
Al optar por una opción más económica, es posible que se esté eligiendo un dentista con habilidades y experiencia limitadas en la colocación de carillas dentales. Un dentista sin suficiente experiencia puede cometer errores durante el proceso, lo que podría afectar negativamente el resultado final.
En resumen, al elegir una opción más económica para las carillas dentales, se corre el riesgo de obtener materiales de baja calidad y de ser tratado por un dentista con habilidades y experiencia limitadas. Estos riesgos pueden afectar tanto la durabilidad como la apariencia estética de las carillas, lo que podría resultar en resultados insatisfactorios.
¿Dónde Adquirir las Carillas Dentales?
Las carillas dentales deben adquirirse a través de clínicas y consultorios dentales con profesionales calificados.
Tabla Comparativa de Tipos de Carillas
| Característica | Carillas de Composite | Carillas de Porcelana |
|---|---|---|
| Precio | Más económico | Más costoso |
| Durabilidad | Menor (5-7 años) | Mayor (10-15 años o más) |
| Estética | Buena | Excelente |
| Resistencia a manchas | Menor | Mayor |
| Mantenimiento | Requiere más pulido y retoques | Menor mantenimiento |
| Proceso | Una sola sesión | Varias sesiones (laboratorio) |