Las carillas dentales son una solución estética eficaz para mejorar la apariencia de los dientes. Se trata de láminas muy delgadas (0,5 a 0,8 mm) que se adhieren a la parte frontal de los dientes para obtener una sonrisa radiante.

¿Qué son las Carillas Dentales?
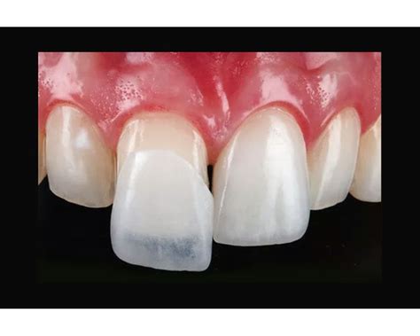
Las carillas dentales son unas finas láminas que se adhieren a la superficie frontal (visible) de los dientes con el objetivo de mejorar su apariencia. Estas láminas pueden estar hechas de diferentes materiales, como la porcelana, el composite o el disilicato de litio, y se diseñan a medida de cada paciente.
¿Para qué sirven las carillas dentales?
Las carillas dentales sirven para corregir pequeños defectos que afectan al color, el tamaño, la forma o la posición de los dientes.
Entre las imperfecciones que pueden solucionar podemos destacar las siguientes:
- Dientes amarillos o con manchas
- Desgastes en el esmalte
- Diastemas (espacios entre los dientes)
- Leves malposiciones dentales
- Fisuras o fracturas
En cualquiera de los casos anteriores es necesario que el odontólogo realice una valoración del paciente para determinar si las alteraciones de sus dientes pueden ser corregidas con carillas.
¿Cuándo es Recomendable Ponerse Carillas en los Dientes?
A continuación, te detallamos los casos concretos en los que puede resultar recomendable ponerse carillas para mejorar la apariencia de la sonrisa:
- Dientes amarillos o con manchas: las carillas se pueden utilizar en pacientes que presentan dientes amarillos, decolorados o con manchas. Esto puede deberse a distintas circunstancias (alimentación, tabaco, envejecimiento, fluorosis, consumo de tetraciclinas…).
- Resistencia al blanqueamiento dental: las carillas son un excelente complemento al blanqueamiento. Cuando las tinciones son muy severas, el blanqueamiento puede no ser capaz de eliminarlas por completo. Por tanto, en muchos casos resulta recomendable ponerse carillas en los dientes después del blanqueamiento.
- Dientes desalineados: las carillas también pueden ofrecer un buen resultado estético a los pacientes que tienen ligeras malposiciones dentales, ya que en ocasiones permiten disimularlas. Eso sí, hay que tener en cuenta que para corregir la mayoría de las maloclusiones dentales es necesario recurrir a la ortodoncia.
- Dientes con formas o tamaños irregulares: las carillas se utilizan para corregir pequeños defectos que afectan a la forma de los dientes. Por ejemplo: unos caninos (colmillos) demasiado puntiagudos, un diente más pequeño de lo normal, etc.
- Diastemas: las carillas también están recomendadas para disimular los diastemas o espacios entre los dientes.
- Dientes desgastados: las carillas se pueden colocar en dientes que presentan desgastes en el esmalte. Esto puede tener su origen en una mordida inadecuada o en el bruxismo. Sin embargo, en estos casos suele ser necesario utilizar ortodoncia o colocar una férula de descarga previamente, dependiendo del caso. De no hacerlo, los desgastes volverán a aparecer.
- Dientes fisurados o fracturados: las carillas también pueden estar indicadas en determinados casos de fisuras o fracturas leves en los dientes.
Tipos de Carillas Dentales
Hoy en día, las carillas pueden fabricarse con distintos materiales, como composite o porcelana (disilicato de litio, feldespáticas…). Aunque todos estos materiales presentan unos buenos estándares de calidad, cada uno de ellos cuenta con sus particularidades en términos de estética, resistencia, durabilidad, necesidad de realizar tallado, etc.
Carillas de Composite
Las carillas de composite, o de resina sintética, son una opción más económica que las de porcelana. Estas carillas están confeccionadas con composite, un tipo de resina que cuenta con tres cualidades: se adhiere al diente, es moldeable y permite imitar una infinidad de tonos.
Las principales ventajas de las carillas de composite son su proceso de colocación sencillo, que no requieren tallar los dientes y su precio. El composite se aplica directamente sobre el diente, normalmente en una única sesión. Son más económicas que las carillas de porcelana o disilicato de litio, pero también suelen durar menos tiempo.
La colocación de las carillas dentales de composite se realiza en una sola sesión en caso de optar por la técnica directa. Mediante esta técnica, el/la dentista diseña la fina lámina directamente sobre la pieza del paciente.
Además, las carillas de composite tienen la ventaja de que son reversibles. El trabajo previo con los dientes es mínimo, por lo que no los altera de forma permanente.
Por otra parte, tienen la desventaja de que no imitan tan bien el esmalte de los dientes como las de porcelana. Además, al ser la resina un material poroso, pueden mancharse y son susceptibles de sufrir astillados o fracturas.
Carillas de Porcelana
Las carillas de porcelana son conocidas por su durabilidad y apariencia natural. Las carillas de porcelana requieren solo dos citas una vez el diseño de sonrisa y estudio están definidos.
Las carillas de porcelana suponen una mejora cualitativa y estética en comparación con las de composite. Las carillas de porcelana son translúcidas, así que dejan pasar la luz, dejando ver el diente real sobre el que van adheridas.
Además, las carillas de porcelana, al utilizar este material, cuentan con la ventaja de que resisten muy bien a las manchas. Además, la porcelana tiene un aspecto muy similar al de los dientes naturales cuando estos están sanos y blancos.
Además, las carillas de porcelana pueden corregir problemas como el desgaste de los dientes, así como cubrir piezas astilladas o rotas.
En determinados casos, incluso es posible colocar este tipo de carillas sin tallado dental.
Las carillas de porcelana tienen una duración mayor que las de composite, pudiendo resistir en perfectas condiciones hasta 15 años, y además no pierden su color ni se tiñen. Esta duración depende en gran medida de que el paciente siga las instrucciones de su odontólogo relativas a mantenimiento y cuidados.
Consejos para cuidar tus carillas dentales | Clínica dental Avodent
Carillas Emax
Las carillas Emax están hechas de disilicato de litio, un material altamente estético y duradero. Estas carillas están fabricadas con disilicato de litio, un material que se caracteriza por su alta calidad, resistencia y naturalidad.

Ventajas de las Carillas Dentales
Las carillas dentales de alta estética ofrecen diversas ventajas y beneficios para todos aquellos que desean mejorar la apariencia de su sonrisa.
- Estética: Las carillas dentales te permiten tener una sonrisa más blanca y uniforme y al mismo tiempo corregir una amplia gama de imperfecciones dentales, como manchas, decoloración, fracturas, astillamientos, desgaste dental y malformaciones.
- Naturalidad: Las carillas de alta estética, especialmente las de cerámica, se diseñan y personalizan para que se vean y se sientan como dientes naturales. Además, tienen propiedades reflectantes de la luz similares al esmalte dental.
- Durabilidad: Las carillas dentales de alta estética son altamente resistentes y duraderas.
- Conservación del tejido dental: Las carillas dentales requieren una mínima eliminación de la estructura dental natural.
- Procedimiento mínimamente invasivo: La colocación de carillas dentales implica un proceso menos invasivo en comparación con otros tratamientos estéticos, como los implantes dentales.
- Resistente a la pigmentación: Las carillas dentales, especialmente las de cerámica, son altamente resistentes a las manchas por lo que no se decoloran fácilmente con el consumo de alimentos y bebidas pigmentadas, como café o vino tinto.
Proceso de Colocación de Carillas Dentales
Es importante tener en cuenta que el proceso de colocación de las carillas dentales puede variar según las necesidades y el caso individual de cada paciente. Dado que existen distintos tipos de carillas dentales, cada una de ellas sigue un protocolo de colocación específico. Sin embargo, todas comparten los principales pasos del proceso.
- Evaluación y planificación: En la primera consulta, se evaluarán las expectativas del paciente, así como su respectiva viabilidad. Se realizará una fotografía de la dentadura y un análisis de los rasgos faciales para comparar con mayor facilidad el antes y el después del tratamiento.
- Carilla provisional para el primer molde: Se fabrica un primer molde de escayola y posteriormente se coloca cera para realizar la corrección dental deseada. A partir de ello se fabrica una carilla provisional de silicona (Mockup) para que el paciente confirme su comodidad y apariencia. *El mock up es una simulación realizada en la boca del paciente. Una simulación real con carillas provisionales en la que no solo puede ver cómo quedará su sonrisa tras el tratamiento, sino que también podrá “sentirla”. Es un proceso que se realiza en un par de sesiones.
- Preparación: El dentista realiza un tallado mínimamente invasivo en los dientes frontales donde se colocarán las carillas. Con algunas carillas hay que realizar una mínima reducción del esmalte dental. Este paso suele ser necesario en las carillas de porcelana, pero no en las de composite.
- Carilla provisional fija: Mientras que las carillas dentales de alta estética están en el laboratorio, se le pondrá al paciente unas carillas provisionales fijas. Las carillas dentales provisionales se utilizan como prueba estética en el paciente.
- Toma de impresiones: tras preparar los dientes, en el caso de que haya que hacerlo, se toman medidas de los mismos para confeccionar las carillas de manera personalizada.
- Fabricación de las carillas: la confección puede realizarse directamente en la clínica dental (en el caso de las de composite) o encargarse al laboratorio (en el caso de las de disilicato de litio). Laboratorio o técnico protésico que realiza las carillas. Los resultados más naturales, las carillas más duraderas y las que consiguen los resultados más bonitos son realizadas en laboratorios donde los técnicos son artistas que consiguen imitar con mucha exactitud el aspecto de los dientes naturales, estos laboratorios siempre tienen costos más elevados.
- Prueba y ajuste: Una vez que las carillas estén listas, se verificará que tengan la forma y color deseados.
- Adhesión de las carillas: Se limpiarán y acondicionarán los dientes preparados para asegurar una buena adhesión de las carillas. Se aplicará un adhesivo dental especial y las carillas se colocarán cuidadosamente sobre los dientes.
- Colocación de las carillas: en función del proceso de confección, la técnica de colocación también varía. Las carillas de composite se crean directamente sobre el diente, en una sesión en la clínica dental. En cambio, las carillas mínimamente invasivas (disilicato de litio) se fabrican en el laboratorio y posteriormente se colocan en la clínica dental.
- Cuidado y seguimiento: El especialista proporcionará instrucciones sobre el cuidado adecuado de las carillas dentales de alta estética.
- Ajuste de la colocación: Para ello, se eliminará cualquier exceso del cemento especial utilizado.
Duración de las Carillas Dentales
La duración de las carillas dentales varía según diversos factores como: el tipo de material, los hábitos de limpieza, cuidados, el desgaste normal, etc. En términos generales, las carillas de cerámica suelen ser más duraderas.
Es importante tener en cuenta que las carillas dentales no son indestructibles y pueden sufrir daños en casos como: morder objetos duros o tener el hábito de apretar o rechinar los dientes (bruxismo).
Adicionalmente, la durabilidad del tratamiento también depende del material con el que están fabricadas las carillas y de la técnica de colocación (directa o indirecta).
¿Cuánto Cuestan las Carillas Dentales?
El precio de las carillas puede variar en función del material, la cantidad de dientes tratados y la complejidad del caso. Sin embargo, no siempre podemos ofrecer la misma respuesta, ya que el precio del tratamiento depende del caso de cada paciente.
En España, el precio de un tratamiento con carillas dentales parte de unos 1.120 euros. Sin embargo, hay que tener en cuenta que el precio del tratamiento varía en función del número de carillas que se necesiten.
Factores que influyen en el precio de las carillas dentales
Como habrás podido comprobar, en el precio de las carillas dentales influyen varios factores:
- El número de carillas que se necesiten
- El material utilizado
- La experiencia y la formación del odontólogo que realiza el tratamiento
- El laboratorio o técnico protésico que realiza las carillas
Dicho esto, sea cual sea la carilla elegida, la visión global y el gusto estético del dentista también determinarán, en gran medida, el éxito del tratamiento.
A continuación, puedes ver los precios de las carillas dentales:
| Número de carillas | Precio | Descripción |
|---|---|---|
| 6 | 1.107€ | Pago único, 1ª cita gratis, estudio de sonrisa sin compromiso, férula de descarga no incluida |
| 8 | 1.396€ | Pago único, 1ª cita gratis, estudio de sonrisa sin compromiso, férula de descarga no incluida |
| 10 | 1.671€ | Pago único, 1ª cita gratis, estudio de sonrisa sin compromiso, férula de descarga no incluida |
Es importante destacar que el uso de carillas dentales de alta estética debe ser evaluado y recomendado por un especialista dental.