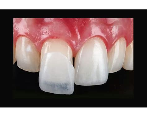
Las carillas dentales son una opción popular para corregir diversos problemas estéticos relacionados con el aspecto de los dientes. Este tratamiento estético consiste en la colocación de láminas realizadas a medida para fijarse en la parte más externa de los dientes anteriores, proporcionando un aspecto natural y atractivo.
El método consiste en colocar una fina lámina de porcelana o composite en la cara frontal del diente. Las carillas pueden ser utilizadas para solucionar varios problemas estéticos relacionados con el aspecto de los dientes:
- Una coloración amarillenta de los dientes.
- Una pequeña rotura o desgaste dental.
- Los dientes pueden sufrir roturas irreversibles como por ejemplo tras un traumatismo.
- Para corregir forma y posición.
Frente a otros tratamientos dentales como las coronas o las ortodoncias, las carillas son una opción más rápida y menos invasiva. Además destacan por su naturalidad.
Las carillas se diseñan en laboratorios específicos una vez que se han obtenido las medidas y seleccionado la forma y color deseados. Paralelamente también se mejora la resistencia del diente y se protege la superficie externa del esmalte de posibles daños. La porcelana repele ciertas sustancias mejor que el esmalte lo que las hace más resistentes frente a muchos tipos de manchas.
Las carillas dentales ofrecen una solución rápida y efectiva para mejorar la apariencia de tu sonrisa. Cuando se cuidan adecuadamente, las carillas dentales pueden durar muchos años. Las carillas de porcelana, en particular, son conocidas por su estabilidad de color y resistencia en comparación a las carillas de composite.
Si estás considerando carillas dentales o necesitas más información, no dudes en contactarnos. ¡Si quieres lucir una sonrisa en condiciones acude a nuestra clínica!
Carillas de Resina y Porcelana: Pros, Contras y Mi Experiencia.
Tipos de Carillas Dentales
El material de estas láminas puede ser de porcelana y composite, pero cuáles son las ventajas e inconvenientes de estas carillas dentales. Existen diferentes tipos de carillas dentales, siguiendo siempre las necesidades de cada paciente.
- Directas: son aquellas que después de realizar la preparación del diente, se colocan directamente en boca en la clínica, sin tener que hacer una fase intermedia de laboratorio.
- Indirectas: son aquellas que después de realizar la preparación de la pieza, se toman medidas para mandar al laboratorio y ellos realizan unas carillas dentales de porcelana o de composite a medida.
Carillas de Porcelana
Las carillas de porcelana son fabricadas por un técnico de laboratorio de prótesis dental y después se adhieren a los dientes mediante adhesivos muy estables. Se realizan mediante una cerámica específica dándole la naturalidad y translucidez del esmalte, consiguiendo así un efecto muy estético y natural. Este se realiza siempre mediante la técnica indirecta a través del trabajo de laboratorio, consiguiendo así un resultado más exacto y estético.
Ventajas de las carillas de porcelana:
- Corrige múltiples defectos. Las carillas de porcelana pueden mejorar la forma, el tamaño y el alineamiento de los dientes, mejorar el color, cerrar diastemas, etc.
- Estética muy elevada. La cerámica empleada permite una transmisión óptima de la luz.
- Preparación dentaria muy conservadora. Es una técnica mínimamente invasiva que conserve la substancia dental.
- Fortalece los dientes y devuelve funcionalidad. Ayudan a fortalecer los dientes fracturados y restaurar la función normal. Se usan para corregir deficiencias oclusales o para restablecer una guía correcta durante movimientos masticatorios.
- Aumento de la autoestima. Una bonita sonrisa es muy importante en el día a día de cualquier persona.
- Poco tiempo de recuperación.
- Resistencia a la tinción. La porcelana resiste las manchas clásicas del café, el té, el tabaco y las bebidas no alcohólicas. La superficie glaseada no permite la incrustación de tinciones, al no presentar microporosidad. Este glaseado permite el mantenimiento del brillo superficial durante todo el tiempo de vida de las carillas.
- Biocompatibilidad local y general. De todos los materiales de recubrimiento dental que poseemos, la cerámica es junto con el oro, el que menos reacciones biológicas desencadena.
- Resistencia al ataque químico. Diferentes sustancias químicas, como ácidos (cítrico y otros), disolventes (alcohol), medicaciones (antibióticos) y cosméticos (colutorios) pueden producir alteraciones tanto en el esmalte dentario como en las carillas de composite.
Desventajas de las carillas de porcelana:
- El coste elevado.
- Posible sensibilidad dental.
- El número de sesiones. El número de sesiones es mayor porque las carillas se fabrican en laboratorio dental. Además, antes de colocar las carillas definitivas es necesario colocar las carillas provisionales.
- Tratamiento irreversible. El color o la forma no se pueden alterar una vez que han sido cementado en su lugar.
- La principal desventaja de las carillas de porcelana es que, al ser de materiales muy buenos y duraderos, tienen un coste más elevado con respecto, por ejemplo, a las carillas de composites.
Carillas de Composite
Las carillas de composite se fabrican por el odontólogo en el consultorio directamente en boca y se utiliza resina muy estética para su confección. Suele ser el mismo material que con el que se realizan los empastes dentales, o también puede ser uno especializado en este tratamiento. Se suele realizar mediante la técnica directa y como hemos comentado no son tan exactos estéticamente como los de porcelana.
Ventajas de las carillas de composite:
- Se recomienda para modificaciones leves. Por ejemplo, cuando se trata de un solo diente o es necesario retocar alguna pequeña parte del diente.
- Tratamiento más rápido.
- El coste más bajo.
- Fácil reparación.
- Alta estética.
- Invasión mínima. No es un tratamiento agresivo.
Desventajas de las carillas de composite:
- Menor durabilidad. Las carillas de composite son menos duraderas que otro tipo de carillas.
- Menor resistencia a la tinción.
- Uso limitado.
Lumineers
Las Lumineers son una marca de carillas ultrafinas (0,3 mm) y translúcidas estadounidense. Replican la forma y el color del esmalte dental natural. Y solo los odontólogos certificados por Lumineers tienen la posibilidad de trabajar con este tipo de carillas.
Las carillas Lumineers nacieron en 1985 bajo el nombre de Cerinate y fue en 2004 cuando se renombraron como Lumineers. A lo largo de los años han evolucionado y han adquirido las mejoras que ofrecen los materiales más actuales de estética dental. De esta manera, estas carillas ofrecen a día de hoy una resistencia de 216 MPa mediante porcelana feldespática prensada. Esto es lo que las hace tremendamente estéticas a la vez que finas y resistentes.
La resistencia de las carillas Lumineers Actualmente las carillas Lumineers son un 30% más resistentes que las Cerinate y las porcelanas iniciales Cerinate cuentan con estudios de más de 30 años de evolución.
Las carillas dentales cerámicas Lumineers comparten todas las ventajas de las carillas prep-less o non-prep de cerámica ultrafinas:
Las carillas Lumineers mejoran la sonrisa sin comprometer el aspecto natural del paciente. Si tiene un diente agrietado, un diente astillado, problemas de espacio o dientes de tamaño desigual, esta solución dental tiene muchas posibilidades de ser muy eficaz. Sin embargo, sus dientes no parecerán artificiales cuando abra la boca para comer, reír, masticar, etc. Por lo tanto, no se sentirá cohibido. Se verá y se sentirá como de costumbre.
La aplicación de Lumineers es sorprendentemente rápida. No es necesario llevar ningún tipo de provisional antes de colocar los Lumineers. Tampoco hay necesidad de anestesia ni de inyecciones. La Lumineers siempre se estudian desde el punto de vista prep-less o non-prep por lo que se necesita muy poca o ninguna preparación de los dientes. Esto permite que el paciente conserve el máximo o toda su estructura dental natural.
Si no le gustan los resultados, no se preocupe. El dentista puede retirar las carillas de sus dientes con facilidad. Así que no asuma que las Lumineers son permanentes. Si las Lumineers le resultan incómodas o cree que no son tan efectivas como se promocionan, retírelas y pase a la siguiente solución potencial de salud bucal. Es tan fácil como eso.
Muchos profesionales de la salud bucodental darán testimonio de la durabilidad de los Lumineers. Las carillas Lumineers suelen durar tanto como las carillas de porcelana normales. Además, pueden llegar a costar menos que otras carillas de porcelana.

Colocación de Carillas Dentales: Proceso Detallado
El procedimiento para colocar carillas dentales generalmente implica varias etapas:
- Consulta inicial y planificación: en la primera cita, evaluaremos tu salud bucal y hablaremos sobre tus objetivos estéticos.
- Hacer modelos de estudio: tomando unas medidas previas de tu boca, sobre los modelos se realiza en cera un modelo de cómo será el resultado de tu tratamiento.
- Tallado: debemos reducir mediante un tallado tus piezas dentales, para conseguir el espacio adecuado para colocar encima la carilla dental. Se debe hacer una reducción por la parte externa del diente, de uno 0.5mm y una reducción por los lados del diente, al igual que de altura, por el borde incisal del diente. Esto se realiza en la clínica mediante unas fresas especializadas.
- Preparación de los dientes: antes de colocar las carillas, puede que sea necesario preparar ligeramente la superficie de los dientes. Con las técnicas mínimamente invasivas, la preparación del diente es mínima. Esto significa que solo una pequeña cantidad de esmalte se elimina para permitir que las carillas se adhieran correctamente. Las carillas de porcelana ultrafinas, como las que utilizamos en Clínica Barbieri Gijón, requieren aún menos preparación del diente.
- Colocación de las carillas: una vez preparados los dientes, las carillas se colocan siguiendo un protocolo de cementado muy meticuloso. Nos encargaremos de ajustar cuidadosamente cada carilla para asegurar que encaje perfectamente y se vea natural.
- Colocación precisa: Las carillas se fabrican de manera personalizada y se colocan con precisión utilizando guías especiales. Este método asegura un ajuste perfecto y minimiza la necesidad de ajustes adicionales.
- Cementado: una vez tenemos las carillas de porcelana definitivas mandadas por el laboratorio, tenemos que pegarlas a los dientes ya tallados mediante un cemento especial. Una vez colocadas las carillas de porcelana no se deben despegar, pero si debes recordar que debes tener cuidado ya que como hemos comentado son frágiles. Por ello debes seguir unas recomendaciones, como son seguir una correcta higiene oral y evitar morder cosas duras por esa zona.
- Evaluación y ajuste: después de la colocación inicial, realizaremos pequeños ajustes según sea necesario.
Tras la preparación dental y toma de medidas, se colocan unas carillas provisionales, que mejoran ya de forma drástica la estética, y evitan cualquier tipo de sensibilidad.
Mantenimiento y Cuidado de las Carillas Dentales
El tratamiento con carillas requiere un cuidado adecuado para asegurar que duren y se mantengan en perfecto estado.
- Mantén una buena higiene bucal: Cepíllate los dientes al menos dos veces al día con un cepillo suave y pasta dental no abrasiva.
- El mantenimiento de las carillas de porcelana es muy simple: Cuidarlas como debes hacer con tus dientes originales, con un cepillado 3 veces al día y utilizando hilo dental.
- El mantenimiento de las carillas es fácil y sencillo, y se refiere a una rutina de higiene oral común, haciendo uso del cepillo de dientes y la seda dental.
- Después de un tratamiento con carillas, es importante ser cauteloso con lo que comes para garantizar que las carillas se mantengan intactas y que tus dientes se adapten correctamente.
Casi todos los pacientes que llevan carillas se definen como satisfechos con su elección.
Preguntas Frecuentes sobre Carillas Dentales
Las preguntas más frecuentes sobre el tratamiento con carillas dentales suelen abarcar temas sobre su proceso, mantenimiento y duración.
1- ¿Las carillas dentales duelen?
El tratamiento de carillas no suele ser doloroso. Durante el procedimiento, utilizamos anestesia local si es necesario, para que te sientas completamente cómodo.
2- ¿Necesito anestesia para colocarme las carillas?
En la mayoría de los casos, el tratamiento con carillas no requiere anestesia, ya que el proceso es generalmente rápido y no invasivo.
3- ¿Cuál es la diferencia entre carillas y coronas?
La principal diferencia entre carillas y coronas radica en la cantidad de diente que se cubre y el objetivo del tratamiento.
- Carillas: Son láminas finas que se colocan en la parte frontal del diente para mejorar su estética.
- Coronas: Cubren todo el diente como un “capuchón” y se usan cuando hay daños significativos, como caries extensas, fracturas o después de un tratamiento de endodoncia.
4- ¿Las carillas pueden cambiar de color con el tiempo?
Sin embargo, los dientes naturales que rodean las carillas sí pueden oscurecerse si no se cuidan adecuadamente.
5- ¿Puedo colocarme carillas si tengo problemas de encías?
Antes de colocar carillas, es fundamental que las encías estén sanas. Las encías sanas no solo aseguran una mejor adaptación de las carillas, sino que también contribuyen a que el resultado sea más duradero y estético.
6- ¿Puedo usar blanqueadores dentales en mis carillas?
No, los blanqueadores dentales no tienen efecto sobre las carillas, ya que están hechas de materiales como porcelana o composite que no cambian de color con estos tratamientos. Si tienes carillas y notas diferencias de color entre ellas y tus dientes naturales, lo ideal es realizar un blanqueamiento previo a colocarlas para que todo quede uniforme.
7- ¿Son las carillas una solución para dientes torcidos?
Las carillas pueden ayudar a disimular pequeñas irregularidades en los dientes, pero no son una solución para corregir dientes torcidos. En nuestra clínica, siempre recomendamos un tratamiento de ortodoncia cuando hay problemas de alineación, apiñamiento o maloclusión.
8- ¿Cómo se verá mi sonrisa antes de colocar las carillas definitivas?
Durante el proceso, utilizamos carillas provisionales o maquetas (mock-ups) que te permiten ver cómo lucirán antes de finalizar el tratamiento. Si después de colocarlas definitivas sientes que algo no está como deseas, puedes hablar con nosotros.
9- ¿Qué debo hacer antes de colocarme las carillas?
¡Claro que sí! Durante la consulta, revisaremos el estado de tus dientes y los tratamientos existentes para asegurarnos de que todo esté en condiciones óptimas.

tags: #carillas #provisionales #son #horrendas