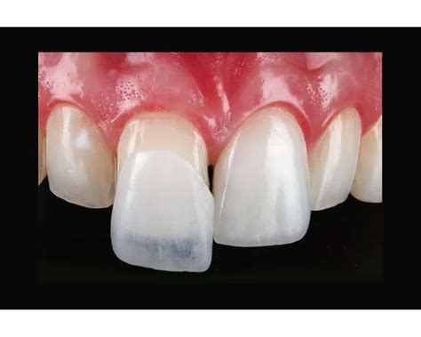
Las carillas dentales son una solución estética popular para mejorar la apariencia de los dientes. Se trata de láminas muy finas que se colocan en la superficie frontal de los dientes con el objetivo de corregir problemas estéticos como fracturas leves, cambios de color, o incluso para modificar el tamaño, la forma o la posición de los dientes.

Hoy en día, las carillas pueden fabricarse con distintos materiales, como composite o porcelana (disilicato de litio, feldespáticas…). Aunque todos estos materiales presentan unos buenos estándares de calidad, cada uno de ellos cuenta con sus particularidades en términos de estética, resistencia, durabilidad, necesidad de realizar tallado, etc.
¿Quién puede llevar carillas dentales y cuándo se recomiendan?
El procedimiento de colocación depende del tipo de carillas que vaya a llevar el paciente (porcelana, composite, disilicato de litio…). A la hora de elegir un tipo de carillas u otro es necesario acudir a la clínica dental y que sea el odontólogo quien aconseje el tipo de carilla más conveniente, en función de las necesidades de cada paciente.
Materiales de las Carillas Dentales
El material utilizado en las carillas dentales juega un papel crucial en su precio. Los materiales más comunes utilizados son el composite, la porcelana y el zirconio. Además del material, existen diferentes tipos de carillas dentales que también afectan a su precio.
Carillas de Composite
Las carillas dentales de composite son una opción más económica y versátil. Se fabrican directamente sobre el diente, aplicando capas de material similar a la resina y dándole forma y brillo. Son una solución rápida y efectiva para problemas estéticos leves. Una de las ventajas de este material es que es el más económico. Su aplicación es rápida y el material se puede modelar sobre el diente.
Carillas de Porcelana
Las carillas de porcelana o cerámica son traslúcidas, lo que permite imitar la apariencia del esmalte. Están hechas de cerámica resistente y duradera, ofreciendo un resultado muy natural y armonioso. Este material es más resistente y duradero que la resina, a diferencia de esta no se mancha, por lo que su apariencia dura más tiempo. Su coste es más elevado, pero son muy resistentes a las manchas y al desgaste.
Carillas Emax
Las carillas Emax están hechas de disilicato de litio, un material altamente estético y duradero. El desilicato de litio es el resultado de una combinación de cerámica y vidrio, consiguiendo de esta forma carillas altamente resistentes y flexibles gracias a la tecnología CAD/CAM.
Carillas de Zirconio
Las carillas dentales de zirconio son una opción de alta calidad y estética. Este material ofrece una apariencia extremadamente natural y una gran resistencia. Son fabricadas con precisión utilizando tecnología avanzada.

Precio de las Carillas Dentales
El precio de las carillas dentales es un tema de interés para quienes desean mejorar su sonrisa. El coste varía según el material y tipo de carilla dental. En España, el precio de un tratamiento con carillas dentales parte de unos 1.120 euros.
El precio de las carillas dentales para la boca completa puede variar según el material y la clínica dental. Es importante tener en cuenta que el precio de las carillas dentales para toda la boca dependerá del tipo de material utilizado, como el composite, la porcelana o el zirconio.
El coste de las carillas dentales en Madrid puede variar significativamente dependiendo del material, la cantidad de piezas y la técnica empleada. Oscila entre 250 € y 1200 € por unidad.
En la Clínica Dental Dobleese, los precios de las carillas dentales varían según el tipo de material y la complejidad del tratamiento.
¿Qué tipo de carillas dentales es mejor para ti: porcelana o composite? - Clínica Ruiz de Gopegui
Factores que influyen en el precio
- Tipo de material utilizado: los materiales que se utilizan para fabricar las carillas son la resina compuesta y la porcelana. Las de porcelana, por su parte, son las más costosas debido a su alta resistencia, durabilidad y estética natural.
- Número de dientes tratados: el precio del tratamiento se calcula según el número de dientes que se vayan a tratar. De modo que mientras más carillas se necesiten, será más costoso.
- Tecnología y equipamiento utilizados: la tecnología que se utiliza durante todo el tratamiento influye en el resultado final.
- Laboratorio o técnico protésico: Los resultados más naturales, las carillas más duraderas y las que consiguen los resultados más bonitos son realizadas en laboratorios donde los técnicos son artistas que consiguen imitar con mucha exactitud el aspecto de los dientes naturales, estos laboratorios siempre tienen costos más elevados.
Normalmente, se ponen en los seis dientes delanteros superiores, que son los más visibles al sonreír: dos incisivos centrales, dos incisivos laterales y dos colmillos. No obstante, en algunos casos se pueden llegar a colocar carillas en los premolares, por lo que habría que poner diez carillas en total en la arcada superior.
Ejemplos de precios
- Carillas dentales de composite: su precio es de 220€ por carilla.
- Carillas dentales de porcelana: tienen un precio aproximado de 350 a 600 euros por carilla.
En el caso de qué fueran necesarias 16 unidades, a 450€/ unidad, el coste sería de 7.200 € + provisionales…unos 8.500€ en total. Aunque insistimos en que cada caso tendrá sus necesidades concretas y este es sólo unejemplo de 16 unidades de desilicato de litio.
Durabilidad de las Carillas Dentales
La duración de las carillas dentales está determinada por diversos factores, como los cuidados que siga el paciente en cuanto a higiene oral, alimentación, tabaco, hábitos, revisiones con el dentista, etc. Adicionalmente, la durabilidad del tratamiento también depende del material con el que están fabricadas las carillas y de la técnica de colocación (directa o indirecta). Por ello, no resulta posible determinar de antemano cuánto tiempo duran las carillas dentales. Lo que sí podemos decirte es que, con unos cuidados y unos mantenimientos adecuados, son un tratamiento pensado para durar a largo plazo.
Las carillas dentales de porcelana tienen una duración mayor que las de composite, pudiendo resistir en perfectas condiciones hasta 15 años, y además no pierden su color ni se tiñen. Esta duración depende en gran medida de que el paciente siga las instrucciones de su odontólogo relativas a mantenimiento y cuidados.
En contraposición, la duración de las carillas dentales de composite es de un máximo de cinco años aproximadamente. Para llegar a este plazo, es necesario acudir a revisiones de mantenimiento y que el dentista realice el pulido de las carillas dentales. Además, será más fácil que las carillas dentales duren cinco años en buen estado si el paciente sigue unos buenos hábitos en cuanto a higiene y dieta.
Es importante cuidar las carillas tal y como lo harías con tus dientes naturales. De este modo mantendrán su funcionalidad a largo plazo. Esto incluye una rutina de higiene meticulosa, cepillándote los dientes dos veces al día con un cepillo de cerdas suaves y pasta dental con flúor.
Para mantener tus carillas dentales en óptimas condiciones, es fundamental realizar revisiones periódicas con tu dentista de confianza.
Cuidados Posteriores y Mantenimiento
Dichas indicaciones se centran en cepillarse los dientes después de cada comida, usar la seda dental, evitar el tabaco, utilizar una férula protectora por las noches y acudir al dentista con la regularidad establecida por este (normalmente, entre una y dos veces al año).
Adicionalmente, es aconsejable tener ciertas precauciones al comer alimentos muy duros, disminuir el consumo de comidas o bebidas con mucha coloración y tener cuidado con ciertos movimientos al masticar.
Evita el consumo de alimentos y bebidas que manchen. Utiliza un protector bucal si practicas deportes de contacto; evita morder objetos duros como hielo, caramelos o lápices, ya que esto puede dañar tus carillas, y si sufres de bruxismo habla con tu odontólogo para que te proporcione un protector.
Ventajas y Desventajas de las Carillas Dentales
El tratamiento de carillas dentales ofrece una serie de beneficios que hemos ido desgranando en este artículo. A grandes rasgos, podemos decir que lo mejor de las carillas es que ofrecen una mejora estética de la sonrisa a corto plazo.
Ventajas:
- Mejora estética de la sonrisa.
- Resultados duraderos (especialmente con porcelana y zirconio).
- Corrección de manchas, decoloraciones y pequeñas imperfecciones.
- Procedimiento indoloro.
Desventajas:
- Costo puede ser elevado.
- Requiere un mantenimiento adecuado para prolongar su durabilidad.
- El proceso es irreversible.
- Puede estar contraindicado en casos de bruxismo severo o mala higiene bucal.
El proceso de colocación de carillas es irreversible porque requiere tallar el esmalte dental. Una vez colocadas, los dientes siempre necesitarán algún tipo de restauración (nuevas carillas o coronas).
La siguiente cita se preparan los dientes para colocar las carillas. En algunos casos esto implica desgastar un poco el esmalte. El tallado es fundamental para que las carillas se integren naturalmente sin parecer voluminosas.
No, el procedimiento de colocación de carillas no es doloroso. Se realiza bajo anestesia local, por lo que no sentirás molestias durante el tallado ni la cementación. Después del tratamiento, puede haber sensibilidad dental leve durante los primeros días, especialmente a temperaturas frías o calientes, pero esta sensibilidad suele desaparecer en una o dos semanas.
Antes de colocar las carillas definitivas, se suelen utilizar carillas provisionales. Estas carillas temporales permiten al paciente tener una idea de cómo lucirá su sonrisa con las carillas definitivas y realizar cualquier ajuste necesario.
Financiación de Carillas Dentales
En la Clínica Dental Dobleese, entendemos que el costo de las carillas dentales puede ser significativo. Por ello, ofrecemos opciones de financiación del tratamiento dental para facilitar su acceso.
Sabemos lo importante que es para nuestros pacientes mejorar la estética de su sonrisa. Por eso, ofrecemos la posibilidad de financiar tus carillas dentales en hasta 12 meses sin intereses. También puedes optar por 24, 36 o 48 meses con intereses y un plan que se ajuste a tus necesidades.
Trabajamos en colaboración con entidades financieras de confianza que ofrecen planes de financiación a medida, con plazos flexibles y tasas de interés competitivas. Nuestro equipo de especialistas en estética dental te guiará en el proceso de solicitud de financiación, brindándote toda la información necesaria y asesorándote en la elección del plan que mejor se adapte a tu situación económica. No dejes que la falta de recursos económicos te impida obtener la sonrisa de tus sueños.
¿Son las Carillas Dentales Adecuadas para Ti?
Si aun crees que las carillas están contraindicadas o pueden resultar un problema para ti, lo más adecuado es que acudas a un dentista especializado en Estética Dental avanzada. De esta manera, podrás saber con certeza cuál es el tratamiento que más se adapta a tus necesidades.
La forma más sencilla de saber si este es el tratamiento indicado para ti es conociendo la opinión de nuestros pacientes con carillas dentales.
Tabla Comparativa de Tipos de Carillas Dentales
| Tipo de Carilla | Material | Durabilidad | Estética | Precio (aprox. por unidad) |
|---|---|---|---|---|
| Composite | Resina compuesta | Hasta 5 años | Buena | 220€ |
| Porcelana | Cerámica | Hasta 15 años | Excelente | 350-600€ |
| Emax | Disilicato de litio | Hasta 15 años | Excelente | 450-700€ |
| Zirconio | Zirconio | Más de 15 años | Excelente | 600-1200€ |
Nota: Los precios son aproximados y pueden variar según la clínica dental y la ubicación geográfica.