Las carillas de zirconio se han posicionado como una excelente alternativa para corregir defectos leves en la sonrisa. Este material destaca por su dureza, resistencia y los resultados estéticos que ofrece. En este artículo, exploraremos a fondo las ventajas y desventajas de las carillas de zirconio, para que puedas tomar una decisión informada sobre este tratamiento.

¿Qué son las Carillas de Zirconio?
Las carillas de zirconio están hechas de un material que ha sido ampliamente utilizado en odontología debido a su resistencia y durabilidad. Este material se ha presentado como uno de los más novedosos y de vanguardia en la odontología moderna desde hace unos años. Al ser un material relativamente reciente, todavía es un gran desconocido para muchos.
El zirconio es un mineral que surge como resultado de la fusión de otros minerales, entre ellos el circón, la fuente más importante de zirconio. Sus múltiples propiedades y cualidades lo han convertido en un material muy recomendable para utilizar en odontología.
Ventajas de las Carillas de Zirconio
Los puntos más positivos de este tipo de carillas están directamente relacionados con las fundas o las coronas, gracias a la enorme estética y durabilidad que aportan. Entre las principales ventajas, destacan:
- Alta Resistencia y Durabilidad: Las carillas de zirconio no solamente son altamente resistentes y permanecen más en el tiempo. Pueden durar entre 5 y 20 años, dependiendo del cuidado bucal y hábitos del paciente.
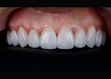
- Excelentes Resultados Estéticos: También proporcionan unos excelentes resultados a nivel estético, logrando una estética impoluta y perfecta. El zirconio es un material blanco y translúcido que imita muy bien al esmalte dental. La corona de zirconio refleja la luz de forma similar a un diente real, logrando que pase desapercibida. En personas exigentes con la estética, esta es una gran ventaja.
- Biocompatibilidad: No causan reacciones alérgicas y son biocompatibles, lo que las hace seguras para la salud bucal. El zirconio es un material biocompatible, lo que significa que es bien tolerado por el organismo. No es metal en el sentido tradicional (es una cerámica especial), por lo que no provoca alergias ni reacciones adversas en personas sensibles a metales.
- Comodidad: Se diseñan a medida para ajustarse perfectamente a tus dientes, ofreciendo una sensación natural en la boca. Tras un breve período de adaptación, podrás masticar y hablar con total normalidad.
- Versatilidad de uso: Podemos utilizar coronas de zirconio en casi cualquier situación: desde restaurar un premolar o molar muy destruido, hasta reemplazar un incisivo central en la zona estética, o sobre un implante dental. En todos estos casos, el zirconio cumple con la función y la apariencia requerida.

Desventajas de las Carillas de Zirconio
A pesar de sus numerosas ventajas, las carillas de zirconio también presentan algunas desventajas que deben ser consideradas:
- Costo: La principal desventaja del zirconio es su coste económico en comparación con otros materiales que pueden usarse para el mismo fin. El precio de una corona de zirconio suele costar aproximadamente entre 300 y 600 euros por diente en España.
- Requiere equipamiento y técnica especializada: Desde el punto de vista profesional, trabajar con zirconio implica contar con laboratorios o sistemas de fresado modernos y técnicos protésicos especializados.
- Ligeramente menos translúcida que la porcelana pura: Aunque las coronas de zirconio actuales tienen muy buena estética, te seré sincero: las coronas 100% de porcelana (por ejemplo, de disilicato de litio tipo e.max) pueden ofrecer un nivel de translucidez incluso más natural en ciertos casos, especialmente en dientes delanteros muy exigentes.
Carillas de Zirconio vs. Otras Opciones
Existen diferentes tipos de carillas y coronas según su material de fabricación. Para ayudarte a comparar, aquí tienes una tabla con las principales opciones:
| Material | Ventajas | Desventajas | Precio Aproximado (€) |
|---|---|---|---|
| Zirconio | Alta resistencia, durabilidad, estética natural, biocompatibilidad | Costo más elevado, requiere técnica especializada | 300 - 600 |
| Metal-Porcelana | Resistente, más económico que el zirconio | Estética comprometida por el metal, posible borde gris en la encía | 250 - 450 |
| Porcelana Pura | Máxima estética, translucidez natural | Más frágil, no recomendada para muelas | Variable |
| Metálica | Muy duradera (especialmente oro), desgasta menos el diente opuesto | Estética nula | 100 - 1000+ (dependiendo del metal) |
| Resina o Acrílica | Costo muy bajo, rápida fabricación | Poca resistencia, se desgasta y pigmenta fácilmente | 30 - 50 |
¿Cómo se colocan las Carillas de Zirconio?
Colocar una corona suele requerir dos visitas principales a la clínica (a veces tres, dependiendo de ajustes, o una sola si la clínica dispone de sistemas de coronas en el día).
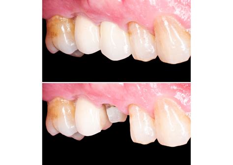
- Primera visita - Preparación del diente: Lo primero es asegurarnos de que el diente esté limpio de caries o infecciones. Después, te aplico anestesia local en la zona y procedo a tallar el diente. Tallar significa reducir un poco su tamaño y darle forma cilíndrica, eliminando la parte dañada, para hacer espacio a la corona.
- Segunda visita - Colocación de la corona definitiva: En la siguiente cita, se retira la corona provisional y se prueba la corona de zirconio definitiva. Si todo encaja bien (ajuste, mordida, estética), se cementa de forma permanente con un adhesivo especial.
BruxZir® Zirconia Para Un Caso De Carillas
Cuidados y Mantenimiento
Para prolongar la vida útil de tus carillas de zirconio, es fundamental:
- Mantener una buena higiene dental.
- Evitar hábitos dañinos como morder objetos duros.
- Si se te rompe una carilla de zirconio, contacta a tu odontólogo de inmediato.
- Evite masticar alimentos duros en la zona afectada.