La clínica Carlos Saiz Smile, reconocida como la número uno en carillas dentales en España, ofrece un servicio excepcional y un enfoque innovador en estética dental y diseño de sonrisa. Ubicada en Barcelona, esta clínica ha ganado renombre gracias a la experiencia del Dr. Carlos Saiz y su equipo de profesionales altamente cualificados.

Servicios y Tratamientos
Carlos Saiz Smile ofrece una amplia gama de servicios y tratamientos dentales, entre los que destacan:
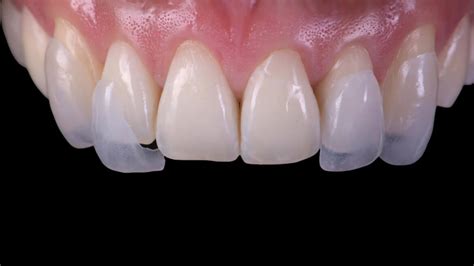
- Carillas dentales: Especialistas en carillas sin tallado, una técnica innovadora y menos invasiva.
- Implantes dentales: Soluciones para la reposición de piezas dentales perdidas.
- TAC y Radiografía dental: Diagnóstico preciso gracias a tecnología avanzada.
- Urgencias dentales: Atención rápida y eficaz para cualquier emergencia dental.
- Blanqueamiento dental: Tratamientos para conseguir una sonrisa más blanca y brillante.
Opiniones de los Pacientes
La clínica Carlos Saiz Smile ha recibido numerosas reseñas, tanto positivas como negativas, que reflejan la experiencia de los pacientes. A continuación, se resumen los aspectos más destacados:
Aspectos Positivos
- Carillas sin tallado: Muchos usuarios han elogiado el método que no requiere modificar el diente, lo que asegura una experiencia menos dolorosa y más natural.
- Calidad humana: El trato del equipo es descrito como cálido y profesional, haciendo que los pacientes se sientan cómodos y bien atendidos.
- Resultados sobresalientes: La mayoría de las opiniones resaltan que los resultados superan las expectativas, con sonrisas que transforman la autoestima de las personas.
- Atención personalizada: Muchos pacientes han mencionado el seguimiento constante y la dedicación del equipo en el desarrollo de un plan adaptado a sus necesidades.
Aspectos a Mejorar
- Algunas críticas sugieren que el servicio al cliente en la recepción puede mejorar.
A pesar de las numerosas reseñas positivas, algunas críticas sugieren que el servicio al cliente en la recepción puede mejorar, sin embargo, la mayoría de los pacientes vuelven a confiar en la experiencia del Dr. Carlos Saiz y su equipo.
Algunos pacientes han expresado su satisfacción con el trato recibido y los resultados obtenidos. Por ejemplo, un paciente comentó: "Experiencia muy positiva con todo el personal y sobretodo con la Doctora Patricia, muy amable, profesional y atenta en los pequeños detalles que son los que luego marcan la diferencia."
Otro paciente destacó: "Encantado con mi nueva sonrisa, muchas gracias a todo el equipo de Carlos Saiz el trato a sido inmejorable, transmiten simpatía, confianza y te dedican el tiempo que sea necesario. Las carillas quedan preciosas con un color muy natural, habéis logrado que aprenda de nuevo a sonreír."
Carillas dentales: todo lo que debes saber antes de ponértelas
La Innovadora Técnica de Carillas sin Tallado
El Dr. Carlos Saiz es pionero en Europa con su innovadora técnica de carillas sin tallado, que ha implementado durante más de 15 años. Esta técnica ha llevado a la clínica a ser un referente en su campo y a rodearse de un equipo de trabajo que prioriza la calidad y el cuidado por sus pacientes.
El Dr. Carlos Saiz , y su innovadora técnica de carillas sin tallado, pionera en Europa hace más de 15 años , le ha llevado a ser un referente en su campo, a ser la clínica que más carillas sin tallado realiza en España y a rodearse de un equipo de trabajo que solo rema en un sentido , la calidad y el cuidado por sus pacientes .

¿Cómo es una sonrisa bonita en una mujer y en un hombre?
A grandes rasgos, las mujeres tienen dientes más redondeados acordes con su óvalo facial y los hombres unos dientes más rectos, porque, normalmente, poseen una mandíbula más marcada y cuadrada. En la sonrisa femenina, la encía idealmente debe mostrarse 2-3 mm.
¿Qué solución puede haber para pacientes con piezas dentales muy pequeñas?
Enseñar mucha encía al sonreir es llamado sonrisa gingival y es algo que acompleja a muchas personas. Actualmente, hay diferentes técnicas para lucir unos dientes más grandes y bonitos. Una de ellas es ganar diente por arriba, con una delicada cirugía plástica de la encía. Consiste en eliminar la encía sobrante para dejar a la vista el diente que estaba cubierto. Otra técnica es ganar diente por su parte inferior, añadiendo composites estéticos o colocando unas microcarillas más largas.
¿Qué tipo de blanqueamiento desaconsejaría?
El láser para blanqueamiento dental está en desuso, aunque tiene otras utilidades en odontología, como la limpieza de caries o la realización de incisiones quirúrgicas.
¿En qué consiste la técnica de las carillas dentales y a quién se las recomendaría?
Las microcarillas dentales son lo último en estética dental y permiten tener la sonrisa soñada sin dañar nuestros dientes. Se trata de unas finísimas capas de cerámica hechas a medida para cada paciente por laboratorios exclusivos. Estas microcarillas son fijadas al diente proporcionando el color y la forma deseados. No son necesarios pinchazos ni dolorosas sesiones. Se los recomendaria a cualquier persona que desee tener una sonrisa perfecta en un tiempo récord de dos semanas.