La pérdida de dientes es un problema que afecta a millones de personas en todo el mundo y puede deberse a diversos factores como caries, enfermedades periodontales, traumatismos o incluso el envejecimiento natural. La ausencia de dientes no solo impacta la estética de la sonrisa, sino que también puede afectar la funcionalidad al masticar, la salud oral y la autoestima de quienes la padecen. Reemplazar los dientes perdidos es vital para mantener tu salud bucal y bienestar general.

¿Por qué es importante reemplazar un diente perdido?
Perder un diente es más que un asunto estético; afecta tu salud bucal y calidad de vida. La ausencia de un diente puede alterar la alineación de los demás, dificultar la masticación y provocar problemas digestivos. Además, el espacio vacío puede favorecer infecciones, inflamaciones en las encías y la pérdida de hueso dental. Incluso el habla puede verse afectada, influyendo en la confianza y autoestima de la persona.
La ausencia de un diente hace que los dientes vecinos se muevan, causando desalineación, dificultades al masticar y acumulación de placa. Cuando un diente se pierde, el hueso que lo sostenía comienza a deteriorarse debido a la falta de estímulo. Esto debilita la estructura ósea y puede afectar la estabilidad de los dientes vecinos, alterando la mordida y provocando problemas en la masticación y el habla.
Sin la estimulación del diente, el hueso que lo sostenía se deteriora. La ausencia de un diente puede dificultar la masticación adecuada, forzando a los dientes restantes y provocando desgaste desigual o molestias en la mandíbula. Al reemplazar el diente perdido, se mejora la eficiencia al comer, evitando problemas digestivos y garantizando una distribución equilibrada de la fuerza masticatoria. Mantener una dentadura completa es clave para preservar la funcionalidad y bienestar bucal a largo plazo. Cada diente es crucial para masticar bien.
Perder un diente no solo afecta la apariencia, también puede impactar la confianza y la autoestima de manera significativa. La sonrisa es una parte importante de la interacción social, y la ausencia de un diente puede generar inseguridad al hablar o sonreír. Esta pérdida puede afectar cómo una persona se percibe a sí misma y cómo interactúa con los demás.
Implantes Dentales: Una Solución Duradera
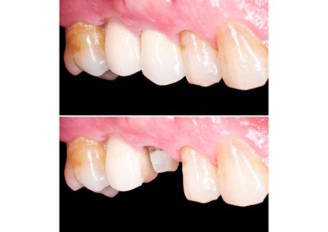
Los implantes dentales son una de las soluciones más eficaces y duraderas para reemplazar dientes perdidos. Estos implantes consisten en tornillos de titanio que se colocan quirúrgicamente en el hueso maxilar o mandibular, actuando como raíces artificiales. Una vez que el implante se ha integrado con el hueso a través de un proceso llamado osteointegración, se puede colocar una prótesis o corona sobre el implante, devolviendo tanto la funcionalidad como la apariencia del diente natural perdido.

Los implantes dentales, que imitan la apariencia y función de los dientes naturales, son la mejor solución, ya que previenen la pérdida ósea, ofrecen una durabilidad muy a largo plazo, y se integran cómodamente sin afectar los dientes adyacentes. Prevenir la pérdida ósea mediante la pronta reposición del diente, como con implantes dentales, es esencial para mantener la salud bucal y evitar complicaciones mayores.
Coronas de Zirconio: Estética y Funcionalidad
En cuanto a la parte visible de la reconstrucción dental, las coronas de zirconio han ganado popularidad como la mejor opción estética y funcional. Estas coronas se fabrican a partir de dióxido de zirconio, un material extremadamente resistente y biocompatible que destaca por su durabilidad y aspecto natural. A diferencia de las coronas de metal o de porcelana sobre metal, las coronas de zirconio no presentan un borde oscuro cerca de las encías, lo que las hace ideales para restauraciones en zonas visibles, como los dientes frontales.

La combinación de implantes dentales y coronas de zirconio ofrece una solución integral para quienes han perdido uno o más dientes. Los implantes proporcionan una base estable y segura, mientras que las coronas de zirconio garantizan una estética impecable y una funcionalidad adecuada.
Ortodoncia Invisible: Una Alternativa Discreta
Además de los implantes y coronas, la ortodoncia invisible es una solución avanzada para alinear tus dientes utilizando férulas transparentes y removibles. Este tratamiento no solo mejora tu sonrisa, sino que lo hace de manera cómoda, discreta y práctica. La ortodoncia invisible endereza tus dientes utilizando alineadores transparentes y extraíbles, diseñados a medida para cada paciente. Estos alineadores prácticamente invisibles garantizan una mayor comodidad y adaptación. A medida que cambias cada juego de alineadores cada dos semanas, tus dientes se moverán gradualmente hasta alcanzar su posición final deseada.
En Centre Dental Abac, son proveedores certificados de Invisalign, la marca líder en alineadores invisibles. Gracias a esta tecnología avanzada, pueden ofrecerte un tratamiento cómodo, discreto y eficaz para alinear tus dientes. También trabajan con Spark Aligners, una marca innovadora en alineadores invisibles diseñada para ofrecer mayor comodidad, transparencia y precisión. Este sistema avanzado utiliza materiales de última generación para garantizar un ajuste perfecto y resultados efectivos en menos tiempo.
Corrige tus dientes de forma cómoda, discreta y efectiva con Invisalign. Los alineadores son transparentes, por lo que nadie notará que llevas puestos estos aligners prácticamente invisibles, lo que hace que se adapten sin problemas a tu estilo de vida y a tu relación diaria con los demás. A diferencia de lo que ocurre con los aparatos fijos metálicos, disfrutarás de la flexibilidad de comer y beber lo que quieras durante el tratamiento con solo quitártelos. También te los puedes quitar para cepillarte los dientes y utilizar hilo dental como harías normalmente para evitar la halitosis y mantener una higiene bucal adecuada. Se recomienda llevar puestos los aligners durante al menos 22 horas al día.
A diferencia de los aparatos fijos tradicionales, no hay brackets metálicos ni alambres. El planificador de tratamiento 3D (Clincheck) esquematiza digitalmente todo el proceso de enderezamiento dental. En algunos casos es posible substituir los aparatos metálicos por alineadores invisibles.
Servicios Adicionales en Clínicas Dentales
Las clínicas dentales ofrecen una amplia gama de servicios para el cuidado de tu salud bucal. Algunos de estos servicios incluyen:
- Limpiezas dentales
- Empastes
- Revisiones completas
- Tratamientos preventivos
- Seguimiento del desarrollo dental
- Educación en higiene bucal
- Implantes dentales para poco hueso
- Prótesis con carga inmediata
- Dentaduras postizas
- Estética dental como carillas, blanqueamiento y diseño digital
También disponen de soluciones avanzadas, como implantes dentales para poco hueso, prótesis con carga inmediata y dentaduras postizas, adaptándose a cada necesidad.
Profesionales Destacados
En Málaga, como dentista, se cuenta con profesionales con amplia formación y experiencia que estudiarán tu caso concreto para encontrar la mejor solución y tratamiento. Con una amplia experiencia y cualificación cuyo trabajo se caracteriza por la calidad, responsabilidad y cercanía. Los profesionales se esfuerzan por ofrecer a los pacientes las mejores soluciones y tratamientos, la mejor atención y también el mejor conocimiento en salud bucodental. Comprender al paciente y que el paciente sepa lo que le ocurre, lo que necesita y quede satisfecho es la prioridad.
El equipo multidisciplinar ofrece un servicio integral en implantología, cirugía, ortodoncia, estética y odontología general. Algunos de los profesionales destacados incluyen:
- Pablo Ramírez García, ortodoncista especializado en estética dental.
- Alejandro Alcedo Olea, Director Médico con más de 15 años de experiencia.
- María Mesa González, especialista en Odontología General, Rehabilitación Oral y Prostodoncia.
- Mª Paz García Susana Domínguez, odontóloga especialista en ortodoncia.
- Carolina Fernández Palomo, Técnico Superior en Higiene Bucodental.
- Carmen Megías Montenegro, Asesora Dental.
- Rocío Rosas, Higienista Dental.
- Susana Domínguez, Encargada de Recepción.
Testimonios de Pacientes Satisfechos
Muchos pacientes han expresado su satisfacción con los tratamientos recibidos en diversas clínicas dentales. Algunos testimonios incluyen:
- "¡Me ha quedado perfecta! El trato impecable. Súper agradables y profesionales."
- "Espectacular el trato de absolutamente todo el equipo. Cercanía y profesionalidad."
- "Muy buena atención. Equipamiento moderno."
- "Increíbles y excelentes profesionales. Cabe destacar lo rápidas fueron, sinceramente no me enteré de nada del proceso."
- "Muy contenta con el trato del equipo."
- "Un equipo maravilloso, hacen que ir al dentista de menos miedo :)"
- "Muy buenos profesionales ,buenos precios y buena gente los recomiendo después de haber visitado varios centros dentales ,este es el mejor, buen trato."
- "Excelente atención, muy atentos y amables me saco una muela y ni cuenta medí cuando me la sacaron, la dentista tiene unas manos de angel 👼 ."
- "Por fin,a mis 61 años, he encontrado mi clínica dental. Entré con una dentadura imposible , una sensibilidad extrema y salgo con una dentadura sana y bellísima."
Estos testimonios reflejan la alta calidad de los servicios y la atención personalizada que ofrecen las clínicas dentales.
Conclusión
La combinación de implantes dentales y coronas de zirconio ofrece una solución integral para quienes han perdido uno o más dientes. Los implantes proporcionan una base estable y segura, mientras que las coronas de zirconio garantizan una estética impecable y una funcionalidad adecuada. Además, la ortodoncia invisible es una excelente opción para corregir la alineación de los dientes de manera discreta y cómoda.
Si deseas explorar la mejor opción para restaurar tu sonrisa y mantener tu salud bucal, te invitamos a ponerte en contacto con un equipo de especialistas para ofrecerte una consulta personalizada y responder a todas tus preguntas. ¡No esperes más para recuperar la confianza en tu sonrisa!