El sarro en los dientes no es solo un problema estético, sino también un enemigo formidable de la salud bucodental. Como dentistas especializados en salud y prevención bucodental, en este artículo profundizaremos en qué es exactamente el sarro, cómo se forma, y qué impacto tiene en nuestra salud dental.
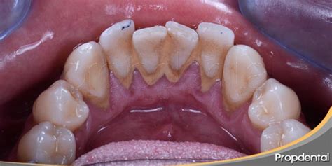
El sarro, también conocido como cálculo y tártaro dental, es la acumulación de calcio y fósforo sobre los dientes. Lo más frecuente es que el sarro aparezca en aquellos lugares del diente donde es más difícil limpiarse bien.
Nº1 REMEDIO CASERO para ELIMINAR la PLACA, el SARRO y PREVENIR la CARIES
¿Qué es el sarro y cómo se forma?
El sarro, conocido científicamente como cálculo dental, es una acumulación endurecida de placa bacteriana en los dientes. La placa es una mezcla pegajosa de bacterias, saliva y restos de alimentos que, si no se elimina adecuadamente, se mineraliza convirtiéndose en sarro. Este proceso se ve acelerado por sustancias en la saliva que facilitan la cristalización de los minerales.

Causas de la aparición del sarro en los dientes
Hay otro factor muy influyente en la formación del sarro. Las personas que tienen saliva con un pH más ácido son más propensas a las caries porque contribuye a debilitar el esmalte. Como hemos mencionado, el sarro es el endurecimiento de la placa dental, esta es una película incolora y pegajosa, formada por bacterias, proteínas y azúcares que se forma y adhiere sobre los dientes y muelas.
Higiene bucal inadecuada
La base de la formación de sarro es una higiene bucal deficiente. Cuando los dientes no se cepillan adecuadamente o no se utiliza hilo dental regularmente, la placa bacteriana se acumula en los dientes y, con el tiempo, se endurece formando sarro. Especialmente crítico es el cepillado antes de dormir, ya que durante la noche la producción de saliva disminuye, lo que facilita la acumulación de placa.
Dieta rica en azúcares y almidones
La alimentación juega un papel crucial en la formación de sarro. Los alimentos y bebidas ricos en azúcares y almidones contribuyen a la formación de ácidos en la boca. Estos ácidos favorecen la proliferación de bacterias y, por lo tanto, la formación de placa que eventualmente se convierte en sarro. Snacks frecuentes y bebidas azucaradas son particularmente perjudiciales.
Genética y factores individuales
Las características individuales, como la composición química de la saliva, pueden afectar a la formación del sarro. Algunas personas producen saliva que favorece la acumulación de minerales en la placa, acelerando la formación de sarro. Además, ciertos factores genéticos pueden predisponer a las personas a una mayor formación de sarro.
Fumar
El tabaquismo es otro factor significativo en la formación de sarro. Los productos del tabaco no solo manchan los dientes, sino que también afectan la saliva, facilitando la acumulación de placa y su posterior mineralización en sarro.
Edad
La probabilidad de desarrollo de sarro aumenta con la edad. Con el tiempo, la acumulación de placa se vuelve más probable, y la eficacia de las técnicas de higiene bucal puede disminuir, especialmente si hay problemas de movilidad o destreza manual.
Secado de boca y medicamentos
Ciertos medicamentos y condiciones que reducen la producción de saliva pueden contribuir a la formación de sarro. La saliva juega un papel crucial en la limpieza natural de la boca, y su disminución puede acelerar la formación de placa y sarro.

Prevención y tratamiento del sarro
La prevención del sarro es una parte crucial del cuidado bucodental. A continuación, se detallan estrategias efectivas para prevenir la formación de sarro y mantener una salud oral óptima:
Si bien el sarro no se elimina con una buena higiene mental, sí se previene con esta. Es imprescindible realizar un buen cepillado de los dientes, al menos durante un tiempo de 5 minutos. Los cepillos eléctricos tienen mayor efectividad de limpieza que los cepillos manuales. Asimismo, se aconseja el uso del hilo dental o cepillos interproximales, así como un enjuague bucal para reforzar la eficacia de la limpieza oral.
- Cepillado efectivo: Utilizar una técnica de cepillado adecuada es fundamental. Se recomienda cepillar los dientes al menos dos veces al día, durante dos minutos cada vez, utilizando una pasta dental con fluoruro. Prestar especial atención a los molares posteriores y a las áreas cerca de la línea de las encías, donde el sarro tiende a acumularse más.
- Usar hilo dental: El hilo dental no solo elimina los restos de comida entre los dientes, sino que también ayuda a eliminar la placa que se forma en áreas que el cepillo no puede alcanzar. El uso diario del hilo dental es esencial para prevenir la formación de sarro.
- Enjuagues bucales antisépticos: Los enjuagues con agentes antisépticos pueden ayudar a reducir la cantidad de bacterias en la boca, disminuyendo la formación de placa y sarro.
- Dieta y nutrición: Reducir el consumo de alimentos y bebidas con alto contenido de azúcares y almidones puede disminuir significativamente la formación de placa. Además, una dieta rica en frutas, verduras y agua ayuda a promover una buena salud bucodental. Aumentar el consumo de manzanas y otras frutas y verduras también contribuye a reducir la aparición de sarro.
- Dejar de fumar: Dado que fumar es un factor de riesgo significativo para la formación de sarro, dejar de fumar puede reducir drásticamente la acumulación de sarro y mejorar la salud bucal general.
- Visitas regulares al dentista: Las limpiezas dentales profesionales son esenciales para eliminar cualquier sarro que se haya formado y para revisar la salud bucal general. Se recomienda visitar al dentista al menos una vez cada seis meses para realizar un mantenimiento y comprobar que todo marcha bien.
- Productos de higiene específicos: Considera el uso de pastas dentales y enjuagues bucales diseñados para controlar la placa y prevenir el sarro. Algunos productos contienen ingredientes específicos que pueden ayudar a prevenir la mineralización de la placa.
A diferencia de la placa bacteriana, el sarro dental no puede eliminarse con un buen cepillado, ya que siempre quedan restos. En primer lugar, el dentista hará uso de la punta de ultrasonidos para eliminar los depósitos de cálculo. Posteriormente, el higienista empleará la seda dental, pasándola por todas las superficies de las piezas. Además, aplicará tiras de pulir y la pasta de profilaxis, que eliminarán cualquier mancha superficial. Si el paciente presentase más resistencias, el odontólogo utilizará un aeropulidor con spray de bicarbonato. La profilaxis es un proceso totalmente indoloro para el paciente, que no requiere de anestesia. No obstante, en ocasiones, una profilaxis puede no ser suficiente para eliminar todo el sarro dental, especialmente si se acumula debajo de la línea de la encía. En estos casos, la persona podría padecer periodontitis.
Lo recomendable es acudir al dentista al menos una o dos veces al año para hacerse una limpieza completa de los dientes y un examen oral. Estos son algunos de los consejos para prevenir el sarro dental. Cada vez hay más estudios y profesionales que demuestran lo que expone Brendborg. Ya sabes, prevenir el sarro no solo contribuye a mejorar tu salud, ¡sino a aumentar tu vida!
Impacto del sarro en los dientes
Además de problemas estéticos, que pueden ocasionar baja autoestima por tener los dientes amarillentos, la acumulación de sarro dental provoca problemas de salud bucodental a medio y largo plazo.
- Enfermedades de las encías: El sarro en los dientes proporciona una superficie rugosa que facilita la acumulación de más placa, lo que puede conducir a gingivitis y, potencialmente, a periodontitis. La gingivitis es una enfermedad en la que se irritan e inflaman las encías, causando un gran daño a los tejidos blandos dentro de la cavidad bucal. Además, produce una gran sensibilidad que dificulta llevar a cabo actividades tan rutinarias como comer o beber. Podría considerarse la periodontitis como una de las peores consecuencias de la acumulación de sarro. Esta enfermedad pone en peligro la salud de la boca en general. Puede causar el aflojamiento de los dientes.
- Mal aliento: El sarro alberga bacterias que pueden causar mal aliento o halitosis. Un síntoma que ayuda a saber si tienes sarro en tus dientes, incluso si no está en la parte visible, es la halitosis o mal aliento.
- Caries: Son una de las consecuencias más comunes de la acumulación de sarro. El problema de las caries es que pueden ser muy perjudiciales si no se tratan enseguida.
- Decoloración y daño dental: El sarro puede manchar los dientes y, a largo plazo, contribuir a la erosión del esmalte dental.

| Problema | Descripción |
|---|---|
| Gingivitis | Inflamación e irritación de las encías. |
| Periodontitis | Enfermedad grave que puede llevar a la pérdida de dientes. |
| Caries | Daño en el esmalte dental causado por ácidos. |
| Halitosis | Mal aliento persistente. |
| Decoloración dental | Manchas en los dientes. |
El sarro en los dientes es un problema común pero manejable. Con una buena rutina de higiene oral, una dieta adecuada y visitas periódicas al dentista, puedes proteger tus dientes y encías de sus efectos negativos.