El bruxismo es un trastorno donde la persona aprieta o rechina los dientes de forma involuntaria, durante el sueño (bruxismo nocturno) o durante el día (bruxismo diurno). Recientemente, diversos estudios han mostrado el potencial del CBD para abordar una variedad de afecciones, entre ellas el bruxismo. En este artículo, exploraremos en profundidad qué es el bruxismo, sus posibles causas, tratamientos, y cómo el CBD puede ser una herramienta útil para aliviar sus síntomas.

CANNABIS: ¿LA SOLUCIÓN PARA EL BRUXISMO? | EL BONA TV
¿Qué es el Bruxismo?
Normalmente, apretar los dientes cumple una función vital al masticar o morder alimentos. Sin embargo, en el bruxismo, este acto se convierte en un trastorno funcional, una actividad repetitiva que no es útil para nuestro cuerpo. Este trastorno implica una anomalía en las funciones orales, afectando especialmente a los músculos y articulaciones de la cara. El bruxismo no sólo supone un gasto innecesario de energía, sino que también puede causar complicaciones, como el desgaste de los dientes, problemas en la articulación temporomandibular, dolor facial y cervical, además de otros asuntos relacionados con la salud bucal, la postura y el bienestar general.
Si te despiertas por la mañana con la cara tensa o dolorida, la región cervical rígida o con cefalea, es posible que estés experimentando bruxismo. Del mismo modo, si notas que durante el día mantienes los dientes muy cerrados, es posible que estés sufriendo de bruxismo diurno. En ese caso, es importante abordar la causa subyacente.
El bruxismo es un término que quizás no escuchamos a menudo, pero que describe una actividad que muchos de nosotros realizamos sin darnos cuenta. ¿Alguna vez has despertado con dolor en la mandíbula o has notado que aprietas o rechinas los dientes cuando estás estresado o concentrado? Si es así, es posible que estés experimentando bruxismo.
Este fenómeno, que puede ocurrir tanto en estado de vigilia como durante el sueño, se caracteriza por el apretamiento y rechinamiento de los dientes sin un propósito funcional. A veces, las causas del bruxismo son desconocidas, lo que se conoce como bruxismo idiopático o primario. Sin embargo, en otros casos, puede estar asociado a problemas neurológicos, psiquiátricos, del sueño o al uso de drogas, lo que se denomina bruxismo secundario.
Es crucial distinguir entre el bruxismo diurno y el nocturno, ya que este último se suele tratar como una parasomnia. Además, es interesante notar que el bruxismo tiene una alta prevalencia en la infancia, asociada a menudo con el desarrollo dental. A partir de los 15 años, la prevalencia puede aumentar hasta los 25 años y mantenerse estable con una prevalencia alrededor del 15% hasta la edad adulta.
Reconociendo los signos del Bruxismo
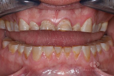
- Erosión y sensibilidad en los dientes: Uno de los primeros signos del bruxismo puede ser el desgaste anormal de tus dientes. Esto puede llevar a una mayor sensibilidad al frío, al calor o a los alimentos dulces.
- Molestias faciales y mandibulares: El bruxismo puede causar dolor e inflamación en la mandíbula. Este dolor puede extenderse a otras áreas de la cara y el cuello.
- Cansancio en los músculos de la mandíbula: Si sientes que tus músculos mandibulares están constantemente cansados o tensos, podría ser un indicativo de bruxismo.
- Deterioro de la articulación temporo-mandibular: El bruxismo puede causar un desgaste excesivo en esta articulación, lo que puede llevar a problemas de movilidad y dolor en la mandíbula.
- Dolores de cabeza frecuentes: Los dolores de cabeza, especialmente al despertar, pueden ser un signo de bruxismo nocturno.
- Trastornos del sueño: El bruxismo puede interrumpir tu sueño, lo que puede llevar a insomnio o somnolencia durante el día.
Causas del Bruxismo
El bruxismo puede tener diferentes causas:
- Puramente psicosomáticas: una respuesta física al estrés emocional o psicológico.
- Únicamente debida a una mala oclusión dental: por la forma cómo crecen los dientes.
- Post-traumáticas: después de un trauma craneal, un latigazo cervical o un golpe en la cara.
- Artrósica: relacionada con el desgaste del cartílago de la articulación temporomandibular.
- Multifactorial: una combinación de dos o más de estas causas.
El bruxismo puede ser el resultado de una variedad de factores que se entrelazan y se potencian mutuamente. Aquí te presentamos algunos de los más comunes:
- Factores morfológicos: Las irregularidades en la estructura de nuestros dientes y mandíbula pueden generar una mordida inadecuada, lo que puede llevar a apretar o rechinar los dientes.
- Factores patofisiológicos: Algunas alteraciones en nuestro sistema nervioso, como las que afectan al sistema dopaminérgico, pueden desencadenar bruxismo. Esto puede ser resultado de ciertas enfermedades o del uso de sustancias que estimulan el sistema nervioso, como la nicotina, el alcohol o la cafeína.
- Factores psicológicos: El estrés y la tensión emocional son grandes desencadenantes del bruxismo. También se ha observado que personas con personalidades agresivas o perfeccionistas son más propensas a desarrollar este hábito.
- Factores nutricionales: Nuestra alimentación también puede influir en la aparición del bruxismo. Una deficiencia de vitamina D, calcio y magnesio puede contribuir a este problema.
Tratamiento del Bruxismo
Cuando una persona que sufre de bruxismo visita mi consulta de osteopatía, siempre considero estos cinco aspectos durante la valoración inicial o anamnesis para identificar la causa subyacente y no limitarme a tratar únicamente el síntoma. Puedo afirmar con certeza que el 90% de las consultas sobre bruxismo que recibo tienen un fuerte componente de estrés. En efecto, la causa más frecuente de bruxismo es la psicosomática, una manifestación física de un estrés emocional o psicológico, y puede ser frecuente en países industrializados, y aún más en las grandes ciudades. Que sea psicosomático no significa que no sea real, o que los síntomas no sean genuinos y requieran de atención. La comprensión de por qué apretamos los dientes en momentos de estrés es esencial.
En estos casos, aunque es una reacción natural a un factor de estrés, el bruxismo puede convertirse en un problema cuando persiste más allá del evento estresante inicial, estableciendo un ciclo de tensión y relajación disfuncional.
En cuanto al tratamiento, no hay una solución única para todos. El bruxismo es un problema multifacético que puede requerir un enfoque de tratamiento diverso. Aquí te presentamos algunas estrategias que pueden ayudarte a manejar y aliviar los síntomas del bruxismo:
- Uso de protectores bucales: Los planos o férulas oclusales pueden ayudar a reducir los síntomas dentales y mandibulares causados por el bruxismo. Estos dispositivos, que se usan durante el sueño, pueden prevenir el daño a los dientes y aliviar la tensión en la mandíbula.
- Técnicas de relajación: La autohipnosis, el biofeedback y otras técnicas de relajación pueden ser útiles para manejar el estrés y la tensión, que a menudo son desencadenantes del bruxismo.
- Ejercicios y masajes: Los ejercicios de estiramiento cervical y los masajes en el cuello, hombros y cara pueden aliviar la tensión muscular asociada con el bruxismo.
- Manejo del estrés: El uso de herramientas para reducir el nivel de estrés diario y/o emocional puede ser beneficioso. Esto puede incluir la meditación, el yoga, la terapia cognitivo-conductual y otras técnicas de manejo del estrés.
- Ayuda profesional para la ansiedad: Si la ansiedad es un factor importante en tu bruxismo, puede ser útil buscar la ayuda de un profesional de la salud mental. La terapia y/o los medicamentos pueden ser opciones efectivas para manejar la ansiedad y, a su vez, reducir el bruxismo.
Tratamiento Convencional
El tratamiento convencional típicamente se centra en aliviar los síntomas y preservar la estructura dental mediante el uso de protectores bucales o férulas dentales, así como a través de inyecciones de toxina botulínica (botox) u otros enfoques físicos.
A pesar de que abordar el componente físico con fisioterapia mandibular y osteopatía puede ofrecer alivio muscular con técnicas no invasivas y prevenir el desgaste dental, es fundamental considerar un enfoque integral que involucre tanto el cuerpo como la mente, especialmente en casos de bruxismo de origen psicosomático.
También es relativamente habitual el bruxismo por endodoncia. En la búsqueda de una estética dental ideal, a veces se recurren a tratamientos que pueden tener repercusiones en la espalda, la postura y, por supuesto, en la tensión mandibular, lo que puede dar lugar al bruxismo de origen mecánico.

Conviene entender que una oclusión dental perfectamente simétrica es poco realista, y los tratamientos forzados pueden causar desequilibrios en la articulación temporomandibular (ATM), afectando los músculos mandibulares y cervicales, lo cual podría llevar al bruxismo de origen mecánico. Cuando la ortodoncia es realmente necesaria para lograr una oclusión funcional y experimentas tensiones en la cara y el cuello, te sorprenderá cuánto pueden ayudarte la osteopatía y el CBD en este proceso.
Cuando el bruxismo es postraumático o artrósico, se pueden emplear técnicas osteopáticas cérvico-cráneo-mandibulares, con el objetivo de restablecer el equilibrio mecánico después de un trauma, o reducir la inflamación en caso de artrosis.
Tratamientos Naturales y Complementarios
Para complementar el tratamiento convencional, existen varios enfoques naturales y complementarios que pueden ayudar a aliviar los síntomas del bruxismo:
- Osteopatía: Romper el ciclo de tensión y contracción mandibular y guiar al paciente en el manejo del bruxismo a través de tratamientos específicos como la osteopatía mandibular. En estos tratamientos se pueden utilizar cremas y aceites de CBD. Además, la osteopatía no sólo se enfoca en la mandíbula, sino también en el sistema nervioso, la respiración y la postura.
- Fisioterapia mandibular: Puede ser de gran ayuda para relajar específicamente los músculos mandibulares. La fisioterapia para el bruxismo se debe complementar con otras terapias físicas y de estilo de vida.
- Actividad física: Cuando estás experimentando un alto nivel de estrés, tu cuerpo necesita liberar esa tensión, y el ejercicio es una excelente opción.
- Educación postural, ejercicios de percepción corporal y respiración: El yoga o el pilates son recursos útiles para conectar profundamente con tu cuerpo.
- Prácticas de relajación: Meditación, leer un libro que te guste, descansar más horas, evitar actividades que no disfrutes, o conectar con algo que te relaje de verdad, todas estas opciones favorecen la producción de dopamina, endorfinas y endocannabinoides, que son relajantes musculares naturales.
- Terapia estratégica conductual: Trabajar con la psicoterapia cognitivo-conductual es una forma efectiva de adquirir herramientas estratégicas para gestionar el estrés en el presente.
Potenciales Beneficios del CBD en el Bruxismo
El CBD o cannabidiol es un componente extraído del cannabis con propiedades analgésicas, antiinflamatorias y ansiolíticas. A diferencia del THC, el compuesto mayoritario de la marihuana, el CBD no tiene efectos psicoactivos. Este componente se ha estudiado por sus propiedades para el dolor neuropático, para mejorar el sueño y para la ansiedad. Las investigaciones sugieren que el CBD resulta interesante para quienes padecen bruxismo nocturno y buscan mejorar su bienestar general.

¿Cómo funciona el CBD en el tratamiento del bruxismo?
Al interactuar con el sistema endocannabinoide del cuerpo, el CBD puede regular diversas funciones fisiológicas, incluyendo la respuesta al estrés, el dolor y la inflamación. Estas propiedades del CBD ofrecen una vía prometedora para reducir la ansiedad y el estrés, factores en el desarrollo del bruxismo psicosomático in primis, pero también del dolor y de otras causas relacionadas con el bruxismo.
Estudio científico sobre el CBD para el bruxismo
En un estudio paralelo y a doble ciego, se observó que el grupo que aplicó un preparado tópico con CBD sobre el músculo masetero experimentó una reducción notable en la actividad muscular involuntaria y una mejora significativa en el dolor miofascial, comúnmente asociado con el bruxismo. Este efecto miorrelajante del CBD es especialmente relevante, ya que el bruxismo a menudo implica un apretamiento y rechinamiento de dientes debido a la tensión en los músculos maseteros. Además, los pacientes reportaron una disminución considerable en la intensidad del dolor, lo que sugiere que el CBD no solo relaja los músculos sino que también alivia eficazmente el dolor relacionado con esta condición. La facilidad de aplicación del tratamiento, dos veces al día durante 14 días, y los resultados positivos obtenidos refuerzan el potencial del CBD como una opción terapéutica prometedora para el tratamiento del bruxismo.
Investigaciones sobre el CBD y su impacto en el Bruxismo
La ciencia ha comenzado a explorar el potencial del cannabidiol (CBD) como una posible solución para el bruxismo. Aunque la investigación aún está en sus primeras etapas, los resultados hasta ahora son prometedores. Aquí te presentamos algunos hallazgos clave:
- Aplicación transdérmica de CBD: Un estudio realizado en 2025 mostró que la aplicación transdérmica de CBD puede ayudar a reducir los movimientos mandibulares en pacientes con dolor miofacial. Esto sugiere que el CBD podría tener un efecto relajante en los músculos de la mandíbula, lo que podría ser beneficioso para las personas con bruxismo.
- CBD y demencia frontotemporal: Un estudio de caso de 2025 describió cómo un paciente con bruxismo severo asociado a demencia frontotemporal experimentó una remisión casi completa después de usar CBD. Este estudio destaca el potencial del CBD para tratar el bruxismo en personas con condiciones neurológicas complejas.
- El sistema endocannabinoide y el sistema musculoesquelético: Una revisión de 2025 destacó la importancia del sistema endocannabinoide en el funcionamiento del sistema musculoesquelético. Según esta revisión, el CBD podría ser una terapia adicional útil para aliviar el dolor, la inflamación, los niveles de estrés y ansiedad, y para mejorar la calidad del sueño.
Fisioterapia Mandibular con CBD
Sea cual sea la causa del bruxismo, es importante romper el ciclo de tensión-contracción-tensión. Además del tratamiento profesional, te recomiendo seguir una pauta de auto-relajación de la mandíbula utilizando crema de CBD o un aceite de masaje con CBD y extractos botánicos calmantes. Las cremas de CBD se aplican directamente sobre la mandíbula o el cuello, y proporcionan una sensación de alivio localizado, al reducir la inflamación y relajar los músculos tensos. Experimentarás una sensación de alivio desde la primera aplicación. Realiza esta rutina ejercicios de 1 a 3 veces al día durante dos semanas.
Dosis de Aceite de CBD para el Bruxismo
No es posible mencionar una dosis de CBD que sirva para tratar el bruxismo. En el estudio mencionado anteriormente, se utilizó un preparado tópico con CBD aplicado durante dos semanas, dos veces diarias, con resultados positivos. En cuanto al uso de gotas de CBD, éstas se han popularizado en los últimos años como una solución natural para problemas de ansiedad o nervios. Mientras que la vía tópica actúa de forma localizada, el efecto del CBD tomado vía oral es más generalizado, actuando en todo el organismo. No obstante, ten en cuenta que el uso oral de productos de CBD actualmente no está regulado en muchos países europeos, incluyendo España.
Antiguamente sí se permitía la venta de aceite de CBD de uso sublingual, pero en 2018 la legislación cambió. Por este motivo, los productos están legalmente destinados a uso externo. El aceite de CBD también se puede utilizar vía externa, aplicando un masaje con las gotas de CBD. En general, se recomienda utilizar aceite de CBD de espectro completo, que conserva todos los componentes de la planta original y sus beneficios. En cuanto a la dosis óptima de CBD, en el uso de cannabis se recomienda “start low and go slow”, que significa empezar con una cantidad baja, e ir aumentando gradualmente, si es necesario. Se ha investigado mucho sobre los usos del aceite de CBD para la ansiedad, y se recomienda la lectura del artículo sobre el CBD para la ansiedad y los beneficios del CBD.
Cómo Incorporar el CBD en tu Rutina de Alivio del Bruxismo
Incorporar el CBD en tu rutina de alivio del bruxismo puede ser un proceso gradual y personalizado. Lo primero y esencial es ponerte en manos de un profesional sanitario para tratar el bruxismo. Coméntale tu intención de utilizar CBD, y permite que supervise el tratamiento. Aquí hay algunas sugerencias para comenzar de manera efectiva:
- Aborda las causas del bruxismo: Es crucial identificar la causa de tu bruxismo. Diversos enfoques pueden ayudar, como la osteopatía, la odontología, la psicoterapia o la dentosofia. Siempre es esencial recurrir a profesionales que adopten un enfoque multidisciplinario.
- Comenzar con dosis de CBD bajas: Cuando introduces el CBD en tu rutina, es aconsejable comenzar con dosis bajas. Esto permite poder observar la reacción de tu cuerpo y te ayuda a identificar la dosis adecuada para tus necesidades. Recuerda que el enfoque holístico, combinando otras terapias, potenciará los efectos beneficiosos del CBD en la reducción del bruxismo.
- Evaluar la frecuencia: La frecuencia de uso dependerá de tus síntomas y objetivos. Algunos pueden preferir tomar CBD diariamente, mientras que otros pueden optar por utilizarlo solo en momentos de mayor estrés o antes de dormir. Experimenta con diferentes horarios y observa cuándo obtienes los mejores resultados.
Referencias de Interés
- (1) Frugone Zambra RE, Adrián Rodríguez C. Bruxismo. Av. Odontoestomatol 2003; 19-3: 123-130.
- (4) Lobbezoo, F., Ahlberg, J., Glaros, A. G., Kato, T., Koyano, K., Lavigne, G. J., de Leeuw, R., Manfredini, D., Svensson, P., & Winocur, E. (2013). Este estudio proporciona una definición y clasificación del bruxismo, basada en un consenso internacional.
- (5) Lal, S. J., & Weber, K. K. (2025). Este recurso ofrece una visión general de las estrategias de manejo del bruxismo.
- (7) Nitecka-Buchta, A., Nowak-Wachol, A., Wachol, K., Walczy?ska-Dragon, K., Olczyk, P., Batoryna, O., Kempa, W., & Baron, S. (2025). Este ensayo clínico aleatorizado y doble ciego examina el efecto miorrelajante de la aplicación transdérmica de CBD en pacientes con trastorno temporomandibular.
- (8) Pina-Escudero, S. D., Okada de Oliveira, M., Snyder, A., & Miller, B. L. (2025). Este estudio de caso describe cómo un paciente con bruxismo severo asociado a demencia frontotemporal experimentó una remisión casi completa después de uutilizar CBD.
- (9) Golanska, P., Saczuk, K., Domarecka, M., Ku?, J., & Lukomska-Szymanska, M. (2025). Esta revisión narrativa destaca la importancia del sistema endocannabinoide en el funcionamiento del sistema musculoesquelético y sugiere que el CBD podría ser una terapia adicional útil para aliviar el dolor, la inflamación, los niveles de estrés y ansiedad, y para mejorar la calidad del sueño.