En la dinámica y cambiante esfera de la moda dental, ciertas características físicas como las pecas, el uso de gafas y, más recientemente, la ortodoncia, han ganado popularidad. Un diastema es la separación entre dos dientes, que no es lo mismo que la ausencia de un diente. El diastema puede presentarse entre cualquiera de los dientes de nuestra boca, entre dos premolares, entre canino e incisivo, entre dos muelas, etc.
El diastema interincisal o de la línea media, es el más frecuente de todos. El diastema es una condición bucodental que se manifiesta como un espacio visible entre dos piezas dentales. Aunque puede aparecer entre cualquier par de dientes, su localización más común es entre los incisivos centrales superiores, lo que popularmente se conoce como “paletas separadas”. Este espacio puede ser más o menos pronunciado, y afecta tanto a adultos como a niños.
Muchas personas con diastema buscan alternativas para cerrar esos espacios, ya sea por motivos estéticos o funcionales. Cuando hablamos con pacientes que acuden a consulta con espacios entre los incisivos, hay alguno de ellos que nos comenta: «es un rasgo que me gusta y me da personalidad».
Sin embargo, profundizando en el tema, rápidamente entendemos que las ‘sexys’ implicaciones de esta perfecta imperfección se remontan mucho más allá de las estrellas del pop de los ochenta. Nada menos que los cuentos de Canterbury, escritos en el siglo XV, ya trazaban cierta relación entre las mujeres con este rasgo físico y su supuesta propensión a la lujuria. En algunos países de África esta moda no es nueva; durante años se ha considerado esta separación de los incisivos como un signo de fertilidad entre las mujeres.
Algunas celebrities y famosos con diastema llevan con orgullo sus dientes separados. Resulta imprescindible evaluar detalladamente a cada paciente, de forma individualizada para determinar si boca es funcional y goza de salud con el diastema.
Pero, ¿esta moda por mucho que defienda esa belleza inclusiva, es peligrosa o arriesgada? Desde Policlínicas Nacar hemos analizado el término diastema, o lo que conocemos coloquialmente como dientes separados, y te mostramos cuáles son sus causas y diferentes soluciones para resolver este problema generado por una anomalía dental.
Diastemas: ¿cómo corregir los dientes separados? | Clínica dental Avodent en Alcobendas
Tipos de Diastema
El diastema no aparece únicamente entre los dientes frontales. Sin embargo, cuando se sitúa entre los incisivos centrales superiores es cuando resulta más notorio, ya que afecta directamente a la estética de la sonrisa. En odontología, también se observan diastemas en otras zonas de la arcada dental. Es posible encontrar separaciones entre premolares, caninos e incluso molares, aunque son menos visibles y, por tanto, menos consultadas desde un punto de vista estético. Además, el diastema puede estar presente en niños en edad de cambio dental. En estos casos, suele desaparecer con la erupción definitiva de los dientes permanentes.

Causas del Diastema
Son variadas y el hueco puede deberse al tamaño de las piezas dentales, la falta de alguna, o problemas relacionados con un frenillo muy grande. Los ortodoncistas llamamos a estos huecos que aparecen entre los dientes “diastemas”.
Causas comunes:
- Tener los dientes pequeños. Los dientes por genética o por naturaleza propia son más pequeños de la cuenta.
- Que el ancho del maxilar sea mayor en relación con el tamaño de los dientes puede provocar diastemas generalizados entre todos los dientes.
- Mala posición dental, si los dientes están torcidos o girados, pueden aparecer diastemas y que al colocarlos rectos esta separación desaparezca.
- Haber perdido un diente, y que los dientes adyacentes se hayan desplazado creando espacios entre ellos. Ausencia de dientes. Dientes que se han perdido una vez erupcionados por caries o por agenesia dental. La agenesia es la falta de algún diente porque no se ha formado. Es habitual encontrar en la consulta de ortodoncia agenesia de incisivos laterales y segundos premolares.
- Hábitos linguales, por ejemplo, empujar con la lengua cada vez que tragas saliva y provoque la separación de éstos. Empuje de la lengua. La interposición de la lengua al tragar puede empujar los dientes hacia adelante. Dejar de usar el retenedor de ortodoncia. Falta de dientes posteriores.
- La pérdida de hueso (enfermedad periodontal) puede provocar la pérdida de encía y hueso, por lo que los dientes se vuelven más estrechos y aparecen diastemas entre ellos. La periodontitis (enfermedad periodontal): provoca la pérdida de encía y hueso, por lo que los dientes se quedan descolgados y más desprendidos de la encía.
- Un frenillo grueso. Cuando el frenillo superior se inserta en una posición más baja de lo habitual, tiende a provocar diastemas en los incisivos centrales. Frenillo labial. Cuando tiene una inserción muy baja, la presencia de fibras del frenillo entre los incisivos centrales genera un diastema entre ellos. Suele observarse en edades tempranas. Sin embargo, cabe recordar que es normal que existan espacios entre los dientes de leche. Que los dientes de leche se encuentren separados no quiere decir que exista un frenillo labial con inserción baja.
Uno de los motivos más comunes por los que se produce un diastema es el desajuste entre el tamaño de los dientes y el crecimiento óseo de la mandíbula o el maxilar superior. Esta desproporción puede ser hereditaria, por lo que es habitual encontrar antecedentes familiares con dientes separados. También influye la forma de los dientes, que puede favorecer o impedir que encajen de forma alineada.
En muchos casos, el crecimiento maxilar desproporcionado no solo genera diastema, sino que también afecta la oclusión (la forma en que encajan los dientes superiores con los inferiores). Además de los factores genéticos, ciertos hábitos infantiles o problemas adquiridos también pueden provocar la separación entre los dientes. Entre los más comunes está el hábito de chuparse el dedo, especialmente si se mantiene más allá de los 3-4 años de edad. Otro hábito frecuente que contribuye al diastema es la interposición lingual o empuje de la lengua contra los dientes anteriores. Por último, la existencia de un frenillo labial superior demasiado grueso o insertado en una posición baja también puede impedir que los incisivos centrales se aproximen.
En la etapa infantil el espacio entre los dientes de leche es un signo positivo y no requiere de ningún tratamiento. Presión de erupción de los colmillos definitivos superiores: al presionar los caninos las raíces de los incisivos pueden ocasionar que las coronas (o parte del diente que se observa en la boca) pudiera separarse durante el momento de la erupción de los colmillos.
Tratamientos para Corregir el Diastema
Para saber cuál es el tratamiento adecuado en pacientes que presentan dientes separados debe hacerse un estudio del caso. En general está indicado corregir los diastemas tanto por un motivo funcional, para colocar los puntos de contacto correctos entre los dientes y a su vez por un tema estético. Alinear correctamente tanto los incisivos como el resto de dientes de la boca garantiza unos mejores contactos entre las superficies de los dientes, mejora la masticación y mantiene los dientes más estables a largo plazo en tu boca, minimizando el riesgo de pérdidas prematuras.
Será tarea del odontólogo el determinar las causas que provocan el diastema, y darle las soluciones más adecuadas entre las que se encuentran estos tratamientos para corregir este problema estético que puede derivar en un problema de salud dental. Los tratamientos de ortodoncia, como brackets o alineadores transparentes, son la solución más eficaz para cerrar diastemas grandes. Conocer las causas y tipos de separación ayuda a elegir el tratamiento más adecuado.
Opciones de tratamiento:
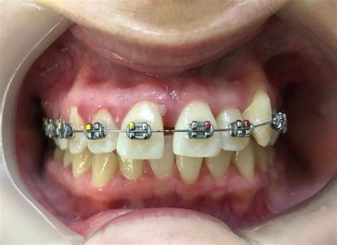
- Tratamiento de ortodoncia. Es el más indicado en el caso de una posición de los dientes hasta lograr juntar los dientes. Existen diversos sistemas, ya sea con brackets convencionales, brackets linguales o invisalign. La ortodoncia es una de las soluciones más efectivas para corregir un diastema, ya que este tratamiento ayudará a colocar tus dientes en el sitio correcto. Por otro lado, puede que no desees realizar un tratamiento de ortodoncia por ser un tratamiento visible y poco estético para algunas personas, por lo que el odontólogo puede indicar una ortodoncia invisible o Invisalign. A continuación se muestra un caso donde el tratamiento se realizó únicamente con ortodoncia. La paciente acudió a nuestra consulta porque se veía los dientes separados. El tratamiento se realizó únicamente con ortodoncia invisible (Invisalign) y se planificó la corrección de la mordida, así como el cierre de los espacios.
- Carillas dentales. Ya sean carillas de composite o carillas de porcelana, cuando el diastema afecta solo a los dientes frontales, los más visibles al sonreír. Conseguiremos así además, la sonrisa perfecta. Las carillas dentales están indicadas en los pacientes que desean una solución rápida e inmediata, por lo que si has descartado el uso de ortodoncia por el tiempo que te llevará corregir el problema, esta puede ser una solución ideal cuando existe una desproporción de tamaño entre el hueso maxilar y los dientes. Para estas situaciones, recomendamos recurrir a las microcarillas dentales de alta estética. Conseguimos cerrar espacios y armonizar tu sonrisa. Para que el resultado de las carillas sea excelente y consigamos el objetivo de satisfacer a nuestros pacientes, realizamos un Diseño Digital de Sonrisa y probamos una maqueta previa (Mock up) sobre la superficie de tus dientes. En aquellos casos en los que el espacio entre los incisivos es muy pequeño o se debe a la fractura de uno de los incisivos podemos optar por realizar unas reconstrucciones de composite de alta estética. La reconstrucción con composite de alta estética consiste en el uso de un biomaterial de resina compuesta, resistente que se adhiere directamente a los dientes, y que al pulirlo brilla y transmite un color muy similar al del esmalte natural.
- Implantes dentales: Cuando el espacio entre dientes se produce por la falta de alguna pieza dental, es recomendable recurrir a los implantes dentales.
- Coronas y puentes: Permiten cubrir la falta de una o varias piezas dentales, obteniendo la forma, el tamaño y la fuerza de cualquier otro diente natural.
- Frenectomía: Cuando el diastema está producido por un frenillo labial demasiado grande se realiza un corte en el frenillo para su posterior reposicionamiento. Otra de las soluciones es que el odontólogo te indique la realización de una frenectomía, la cual consiste en una pequeña cirugía con anestesia local que se indica cuando el frenillo del labio superior es de un tamaño desproporcionado en relación con los incisivos, ocasionando un diastema entre ellos. Tras la cirugía, debes seguir con una ortodoncia que será de gran ayuda para que la corrección tenga éxito. Cuando la causa fundamental de la separación dental es un frenillo labial denso, nuestra Cirujana Bucal, la Dra.
Podemos decir que el tratamiento indicado en la mayor parte de los casos será con ortodoncia, a excepción de aquellos pacientes donde su único problema sea la desproporción de los dientes entre sí y estos dientes se encuentren perfectamente colocados. Es poco habitual encontrar casos donde la única alteración sea solo un tamaño inadecuado de los dientes. Cuando los dientes delanteros están separados es frecuente encontrar otros dientes que se han desplazado provocando una mordida incorrecta, y en ese caso es necesario corregir la mordida. Sólo en aquellos casos donde el paciente tenga los dientes perfectamente colocados y sean un poco más pequeños podría estar indicado el tratamiento único con carillas.
Sería también solo en estos casos cuando el diastema no tendría consecuencias perjudiciales, siempre y cuando el paciente tuviese una correcta higiene bucal. Las carillas son un tratamiento dental que persigue cambiar la forma, tamaño o color del diente.
Si muestras una separación en tus dientes, lo mejor es realizar una evaluación para saber cuál es el tratamiento que se puede adecuar mejor a tus necesidades, dependiendo de sus causas, tu edad y el grado de la afección. En nuestra clínica te recomendamos que asistas siempre a un especialista cada vez que presentes una molestia bucodental.

| Tratamiento | Indicación | Descripción |
|---|---|---|
| Ortodoncia | Posición incorrecta de los dientes | Uso de brackets o alineadores para mover los dientes a la posición correcta. |
| Carillas Dentales | Diastema en dientes frontales, desproporción dental | Colocación de carillas de composite o porcelana para cerrar el espacio y mejorar la estética. |
| Implantes Dentales | Falta de piezas dentales | Reemplazo de dientes perdidos con implantes para cerrar el espacio. |
| Frenectomía | Frenillo labial grande | Cirugía para reposicionar o cortar el frenillo labial y permitir el cierre del diastema. |
Pon tu sonrisa en manos de profesionales y trata tu diastema. Ven a conocernos y consúltanos tu caso, podemos a tu disposición unas modernas instalaciones y contamos con las últimas tecnologías de diagnóstico y tratamiento.