¿Vas a pasar por un proceso de regeneración de encías o tienes complicaciones? El injerto de encía es un procedimiento odontológico crucial para corregir problemas de recesión gingival y restaurar la salud periodontal. En este artículo, exploraremos en detalle las etapas de evolución, los cuidados postoperatorios y las posibles complicaciones que pueden surgir durante la cicatrización de un injerto de encía.
La recesión gingival se produce cuando el tejido de las encías se debilita y empieza a reducirse en volumen, dejando expuesta una mayor cantidad de la raíz del diente, lo que da lugar a un incremento de la sensibilidad dental y, a veces, puede suponer incluso un problema estético.
En estos casos, la solución pasa por realizar un injerto de encía. Un procedimiento que implica extraer una pequeña cantidad del tejido del paladar del propio paciente y colocarlo en la zona donde está la encía afectada por la recesión.
Una vez cicatrizado, la recesión debería quedar cubierta de encía queratinizada y podremos ver el cambio de las encías retraídas antes y después.
Cirugía INJERTO GINGIVAL👅Parte1 Indicaciones Post quirúrgicas y Dieta #cucharadademipropiochocolate
Tipos de Injertos de Encía
Los injertos de encía, se clasifican en tres grupos según la fase de la recesión gingival:
- Injerto de tejido conectivo: Es el más común en odontología. Se realiza practicando una incisión en el paladar y extrayendo únicamente la capa de conectivo que está debajo del epitelio palatino.
- Injerto de tejido blando: Implica tomar tejido blando del paladar del propio paciente y se coloca en la zona donde se necesita corrección. A diferencia del injerto de tejido conectivo, el injerto libre está formado por epitelio y conectivo, por lo que la herida del paladar queda abierta y el post-operatorio suele ser un poco más molesto.
- Injerto pediculado: Se trata la recesión gingival de un diente tomando encía del diente contiguo, siempre que esta sea suficientemente gruesa y el diente donante no quede perjudicado.
Etapas de Evolución de un Injerto de Encía
Estas son las fases del postoperatorio:
1) Cirugía
La primera fase es la operación en sí misma. Es minimamente invasiva y se realiza bajo anestesia local, por lo que el paciente no va a sentir ninguna molestia. Además, se lleva a cabo de una forma rápida y, tras la intervención, el especialista te explicará como debes cuidar la zona en las siguientes semanas.
2) Primeros Días
En el injerto de encía, a los 5 -7 días podemos apreciar que la recuperación avanza a buen ritmo. Antes de llegar a ese momento, es normal sentir un poco de inflamación en la zona tratada y algo de molestia, pues la herida del paladar es la primera que cicatriza.
A partir del día siguiente de la intervención, hay que procurar que la higiene de la boca sea correcta, cepillando las partes donde no se ha realizado la cirugía, pues la herida no puede cepillarse, aproximadamente, durante un mes aprox. Así, se realizan limpiezas de la herida cada semana en la clínica, aplicando spry o gel de clorhexidina durante 15 días.
Por otro lado, es habitual que aparezcan molestias al hablar, al comer e, incluso, al lavarse los dientes. Por ello, hay que ser especialmente cuidadosos. En este sentido, debemos seguir una serie de prescripciones para evitar dolor y garantizar que el injerto cure bien:
- Aplicar hielo: Si en los primeros días aparece hinchazón, se pueden reducir las molestias colocando un poco de hielo en la zona. Sin exceder de cinco o 10 minutos en cada aplicación.
- Enjuague bucal: Se aplica solo si el especialista lo recomienda. En la mayoría de los casos, se puede recomendar un colutorio a base de clorhexidina.
- Dieta blanda: Hasta que el injerto cicatrice, hay que evitar comer alimentos que sean duros y puedan arrastrar el injerto. Se aconseja tomar alimentos blandos y fáciles de masticar. Preferentemente, que no estén ni muy fríos ni muy calientes.
- No fumar: El tabaco puede retrasar el proceso de cicatrización, por lo que se recomienda no fumar en la primera semana tras la intervención. No es aconsejable recurrir a los vapeadores, ya que contienen sustancias tóxicas.
Es fundamental que descanses el día de la cirugía y limites la actividad física durante los primeros días. Opta por alimentos blandos y fríos como yogur, purés y helados para minimizar la irritación en el área tratada. El hielo es el mejor antiinflamatorio local. La nicotina y el alcohol son irritantes locales que dificultan la cicatrización correcta y aumentan el riesgo de infecciones y complicaciones como pérdida del injerto. En algunos casos, pueden combinarse los antiinflamatorios con analgésicos si el caso lo requiere. Usa enjuagues bucales con clorhexidina a partir de 24h para mantener la boca limpia y evitar que las zonas tratadas puedan infectarse.
3) Recuperación Tras un Injerto de Encía
La cicatrización del injerto de encía tarda unos 3 meses. Pero lo habitual es que las molestias más importantes desaparezcan tras cinco o siete días, y que luego comience a formarse una nueva encía a partir del injerto.
Pasados entre dos y tres meses, la nueva encía tendrá una consistencia totalmente normal y se dará el procedimiento de regeneración de encía por finalizado. Pero, hasta que llegue ese momento, es importante tener en cuenta que en el injerto de encía la recuperación y complicaciones pueden ir de la mano si no se aplican los cuidados adecuados.
La complicación más importante que puede darse es que el tejido se necrose por falta de vascularización. Es decir, no recibir el suficiente riego sanguíneo.
Precisamente por ello, es tan importante no fumar y tratar la zona con mucho cuidado para que ningún traumatismo pueda causar un desprendimiento del injerto.
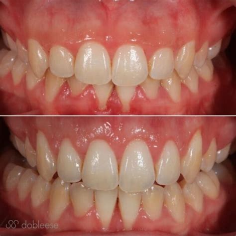
Injerto de Encías: Antes y Después
Aplicando las prescripciones indicadas por el especialista, la mejoría es notoria. En una o dos semanas desaparecen las principales molestias y se retiran los puntos y, en el plazo de dos a tres meses, la zona está totalmente curada y la nueva encía tiene una apariencia sana.

Necesito un Injerto de Encías: ¿Y si hay Complicaciones?
Como hemos señalado antes, la clave para evitar las complicaciones es que apliques un buen cuidado de la zona tratada, especialmente durante los primeros días.
Para garantizar que todo va bien en la evolución de un injerto de encía, prioriza el cuidado bucal después de la intervención y sigue cuidando la salud de tu boca después. Además, acude a todas las revisiones con tu dentista para asegurarse que la evolución es la adecuada.
Unas encías sanas son la clave para que nuestra salud bucal esté en las mejores condiciones, así como su estética.
Tiempos de Cicatrización de un Injerto de Encía
Como la mayoría de las heridas de la boca, los injertos de encía tardan poco tiempo en cicatrizar, aunque todo depende de la cantidad de tejido intervenido y de las condiciones bucodentales del propio paciente.
Por lo general, un injerto de encía tarda en cicatrizar entre una y dos semanas, que es cuando disminuye la inflamación y se quitan los puntos. Para que el tejido tome la consistencia normal de una encía sana hará falta más tiempo, entre uno y dos meses.
Aun así, el tiempo que tarda en cicatrizar un injerto de encía puede variar según sea la calidad del tejido oral del paciente.
Injerto de Encías: Cuidados Postoperatorios
Es importante que durante el periodo que dura la cicatrización de un injerto de encía se lleven a cabo una serie de cuidados en casa para evitar que el postoperatorio se alargue.
Estas son las recomendaciones de los expertos:
- No tomes alimentos calientes: Durante el postoperatorio, opta por alimentos fríos o templados para desinflamar la zona y evitar el sangrado.
- Limpia tus dientes con un cepillo quirúrgico: Después de cada comida, es fundamental que cepilles tus dientes y tus encías con un cepillo de cerdas suaves para no dañar los tejidos.
- Utiliza colutorio y enjuagues bucales: Es fundamental que la boca esté perfectamente limpia y no queden restos de comida para evitar infecciones cuando la herida todavía no ha cicatrizado.
- Evita el tabaco durante la cicatrización: El tabaco contiene sustancias muy nocivas que influyen negativamente en la curación de las heridas, todavía más cuando se trata de la boca.
Después de un injerto de encía, se recomienda seguir una dieta blanda y suave que no ponga en riesgo la zona tratada. Esto incluye alimentos como purés, sopas, yogures, compotas de frutas, huevos revueltos, pescado suave y carne picada.

Posibles Complicaciones y Cómo Manejarlas
La recuperación de un injerto de encía suele transcurrir sin complicaciones. Sin embargo, es importante estar atento a posibles problemas:
- Inflamación excesiva: Algo de hinchazón es normal y debe disminuir con el tiempo.
- Sangrado excesivo: Se caracteriza por no detenerse aunque se presione.
Es importante asistir a todas las citas de seguimiento programadas con tu especialista.
¿Duele un Injerto de Encía?
El nivel de dolor asociado con un injerto de encía puede variar de una persona a otra y depende de varios factores, como la sensibilidad individual, la extensión del procedimiento y la habilidad del cirujano. Pero, por lo general, el injerto de encías no duele, dado que se realiza bajo anestesia local.
Tabla Resumen de Cuidados Postoperatorios
| Cuidado | Descripción |
|---|---|
| Dieta | Blanda y fría durante los primeros días. Evitar alimentos duros y calientes. |
| Higiene | Cepillado suave con cepillo quirúrgico en áreas no afectadas. Enjuagues con clorhexidina según indicación del especialista. |
| Tabaco y Alcohol | Evitar completamente durante la primera semana para no interferir con la cicatrización. |
| Actividad Física | Limitar la actividad física intensa durante los primeros días. |
| Hielo | Aplicar hielo en la zona afectada para reducir la inflamación. |
tags: #cicatrizacion #injerto #de #encia