El diagnóstico y tratamiento de las piezas retenidas se hace necesario con el fin de evitar complicaciones posteriores que comprometan la integridad del arco dental.
Para tal fin se plantea un trabajo multidisciplinario que abarque desde la evaluación temprana de la pieza hasta que ésta se encuentre en perfecta alineación en el arco, utilizando los servicios de ortodoncia y cirugía.
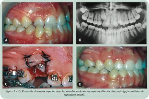
La tracción ortodóntica posterior a la exposición quirúrgica puede ser única o proponerse como la primera parte de un tratamiento más complejo de acuerdo con las necesidades de cada paciente.

Canino retenido en el paladar.
Introducción a los Caninos Retenidos
Las piezas dentarias incluidas pueden ocasionar lesiones en los dientes vecinos, infecciones o quistes y representan un problema delicado por sus implicaciones funcionales y estéticas.
El ortodoncista dispone de varias posibilidades terapéuticas, pero para lograr el éxito es indispensable diagnosticar la impactación dentaria de forma precoz.
Es aquel canino que llegada la época de su normal erupción 11 a 13 años para el superior, 10 a 11 años para el inferior; y habiendo alcanzado su desarrollo pleno (diente formado), queda incluido o encerrado en el maxilar manteniendo integro su saco pericoronario.
Esta retención puede ser intraósea (cubierto por hueso) o submucosa (cubierto por encía). Es más común en el canino superior que en el inferior.
Los dientes que se encuentran más frecuentemente incluidos son los terceros molares inferiores y superiores, luego le siguen los segundos premolares inferiores, los caninos superiores, los incisivos centrales superiores, etcétera.
Se habla de una incidencia de 0.9-2% hasta un 7% en individuos mayores de 11 años. Por lo tanto, los caninos ectópicos representan los terceros dientes más frecuentemente incluidos y retenidos.
Éstos se localizan en el 60% de los casos en el paladar, en el 30% hacia vestibular y en el 10% en posición intermedia. Ocurre más comúnmente en mujeres (1.17%) que en hombres (0.51%).
Cuando la cirugía es necesaria se descubre la corona del canino con reposición apical del colgajo cuando se encuentra por vestibular o simplemente liberando la corona del hueso y mucosa cuando está por palatino, respetando siempre la unión cemento-esmalte.
Las opciones del manejo dependen del tipo de retención (bucal o palatino), la severidad de la misma y de la edad.
La mayoría requiere de una intervención quirúrgica, remoción, exposición o trasplante; con o sin la tracción ortodóncica para lograr su alineamiento cuando la exodoncia temprana del canino deciduo no tuvo éxito.
La mejor opción es una exposición quirúrgica del diente y tracción para su adecuada ubicación. Este tratamiento debe ser realizado tempranamente con el objetivo de prevenir daño a los dientes adyacentes, además de poder realizar la verticalización del canino cuando todavía se encuentra alto en el surco en caso de retenciones labiales.
El pronóstico para mover dientes retenidos depende de una variedad de factores, como posición del diente retenido en relación con los dientes adyacentes, angulación, distancia que el diente debe ser movido, dilaceración radicular y posible presencia de anquilosis o reabsorción radicular.
En general, los caninos retenidos horizontalmente, anquilosados, cercanos a incisivos (plano horizontal) o ubicados más apicalmente, son los más difíciles de manejar o los de pronóstico más pobre, y por tanto, estos dientes pueden requerir extracción; así mismo, a mayor edad del paciente menores probabilidades de éxito.
Te ENSEÑO como sacar un 𝗖𝗢𝗟𝗠𝗜𝗟𝗟𝗢 𝗗𝗘𝗟 𝗣𝗔𝗟𝗔𝗗𝗔𝗥 💊Tratamiento para CANINOS INCLUIDOS en ortodoncia
La aparatología fija completa ofrece una alternativa comúnmente utilizada con la tracción aplicada por medio de una cadena elástica o hilo elástico o un arco rígido, esta técnica asegura un buen sistema de control.
Presentación del Caso Clínico
Paciente femenina de 13 años de edad, originaria del Distrito Federal, la cual acude a la Clínica de Ortodoncia de la División de Estudios de Postgrado e Investigación de la Universidad Nacional Autónoma de México, refiriendo que su queja principal es «no me gustan mis dientes porque están chuecos».
Paciente mesofacial, presenta perfil recto con mentón ligeramente retrusivo y ligera proquelia del labio inferior, ángulo nasolabial de 90°. Se observa ligera hipertonicidad del mentón.
En la exploración clínica intraoral, la paciente presenta ausencia de canino superior derecho, la arcada superior de forma triangular y la inferior de forma cuadrada.
Se observa apiñamiento severo en ambas arcadas y presenta incisivos laterales superiores en mordida cruzada. La sobremordida horizontal de 4mm y vertical 2mm.
Línea media dental inferior ligeramente desviada a la izquierda. Presenta clase I molar en ambos lados y clase canina no valorable en ambos lados.
Examen Radiográfico
En la radiografía panorámica observamos canino superior derecho retenido, segundos molares permanentes superiores e inferiores en vía de erupción y terceros molares inferiores incluidos.
Los análisis cefalométricos revelaron que es una paciente clase II esqueletal por retrusión mandibular, con crecimiento vertical, protrusión y proinclinación dental inferior, vías aéreas estrechas.
Diagnóstico
- Paciente femenino de 13 años de edad.
- Clase II esqueletal, por mandíbula retrusiva.
- Perfil recto con hipertonicidad del mentón.
- Incisivos laterales superiores en mordida cruzada.
- Canino superior derecho retenido.
- Clase I molar ambos lados.
- Clase canina no valorable en ambos lados.
- Sobremordida horizontal 4mm y vertical 2mm.
- Línea media dental inferior ligeramente desviada a la izquierda.
- Apiñamiento severo en ambas arcadas, arcada superior de forma triangular y la arcada inferior de forma cuadrada.
- Crecimiento vertical CW.
- Protrusión y proinclinación dental inferior.

Tratamiento de ortodoncia para canino retenido.
Objetivos Específicos
- Mejorar el perfil
- Conservar clase I molar en ambos lados
- Conseguir clase I canina en ambos lados
- Corregir sobremordida horizontal y vertical
- Corregir línea media dental
- Mejorar forma de arcadas
- Mejorar eje axial de incisivos
Plan de Tratamiento
- Colocación de tornillo de expansión tipo Hyrax.
- Extracciones de primeros premolares superiores e inferiores.
- Colocación de aparatología fija Edgewise.
Fases del Tratamiento
- Alineación y nivelación
- Arco trenzado .0175
- Arco 0.14” Niti
- Arco 0.16” Niti
- Arco .016” SS
- Cierre de espacios
- Arco .016 x .016” SS con loops de cierre superior e inferior.
- Arco Ideal .016 x .022” SS superior e inferior.
- Terminado
- Ligas de asentamiento en caja posterior ¼ Heavy, durante dos semanas.
Retención
Colocación de retenedor fijo de 3-3 inferior y circunferencial superior.
Desarrollo del Tratamiento
Se colocó tornillo de expansión tipo Hyrax para mejorar un poco la forma de la arcada superior; se activó ¼ de vuelta en el día y otro en la noche por 12 días.
Una vez lograda la disyunción, se fijó el tornillo con ligadura metálica y se dejó como retención por un periodo de 3 meses.
Posteriormente se remitió a la paciente a cirugía para el abordaje quirúrgico del canino superior derecho y colocación del botón para iniciar la tracción del mismo.
Se retira el Hyrax y se remite a cirugía para la extracción de los primeros premolares superiores e inferiores.
Se colocó aparatología ortodóntica fija Edgewise, bandas en primeros molares superiores e inferiores, con tubos dobles superiores y sencillos inferiores.
Se colocó arco trenzado .0175 superior e inferior y se inicia tracción de canino superior con ligadura metálica; se liga en aproximación con hilo elástico el diente #22. Se inicia a distalizar caninos #23, 33 y 43 con lace back pasivos.
Se distalizaron caninos con cadena elástica, se retiró el botón y se colocó brackets de canino superior derecho y se continúa nivelación con arcos .014” Niti, .016” Niti .016 acero inoxidable (SS).
Posteriormente se colocaron arcos de cierre de espacios .016×.016” SS con loops de cierre. Colocación de arcos ideales .016×.022” SS cinchado y cadena elástica de 5-5 superior e inferior.
Se decide retirar aparatología fija y colocación de retenedores fijo 3-3 inferior y circunferencial superior.
Resultados Obtenidos
Con este tratamiento se logró traccionar exitosamente el canino y llevarlo a su posición adecuada dentro de la arcada maxilar, obteniendo a su vez:
- Perfil recto
- Clase I molar y canina en ambos lados
- Salud periodontal
- Línea media dental centrada
- Sobremordida horizontal y vertical adecuada
- Forma de arcadas paraboloide
Discusión
El tratamiento de un canino maxilar retenido no se completa nada más con su alineamiento ortodóntico; la salud periodontal final es una clave fundamental para evaluar el éxito de la terapia de caninos maxilares retenidos.
Se han propuesto estrategias de tratamiento interceptivo para el canino desplazado, mientras que en el caso de la impactación se necesita un abordaje quirúrgico-ortodóncico.
En publicaciones previas, se ha propuesto un abordaje combinado quirúrgico (colgajo) y ortodóntico (tracción directa hacia el centro del reborde) con el propósito de simular un patrón fisiológico de erupción del canino.
Esta técnica está dirigida a permitir que el canino reposicionado quede rodeado por una cantidad fisiológica de encía al final del tratamiento ortodóncico.

Representación esquemática de la tracción de caninos retenidos.
tags: #cinchado #de #arco #ortodoncia