En el mundo de la odontología moderna, el zirconio se ha posicionado como uno de los materiales más innovadores y de vanguardia. Los implantes dentales, utilizados para reemplazar dientes perdidos, tradicionalmente eran de titanio, pero ahora exploraremos el zirconio, un material libre de metales, también conocido como implantes blancos, estéticos o de cerámica.

Una corona dental de zirconio es un elemento rehabilitador que protege y fortalece los dientes. Se pueden usar sobre implantes dentales previamente colocados, así como en dientes naturales intervenidos y preparados para la reestructuración. Además, puede ser una estructura de varias piezas soldadas, como un puente dental, donde dos dientes actúan como pilares para soportar una prótesis cementada si faltan una o más piezas entre los dos pilares.
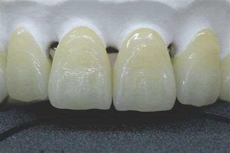
¿Qué es una Corona de Zirconio?
Una corona dental de zirconio es, esencialmente, una "fundita" hecha a medida para cubrir completamente un diente dañado o restaurarlo. Cuando un diente natural está muy debilitado (por caries extensa, fracturas, desgaste, etc.), se talla ligeramente y se cubre con una corona que imita la forma y color del diente original. En otras palabras, la corona de zirconio actúa como un casco protector que envuelve todo el diente, devolviéndole su función (masticar sin molestias) y su estética (volver a lucir como un diente sano).
¿Cuándo se Recomienda una Corona de Zirconio?
- Diente muy dañado o roto: Si un diente se ha fracturado de forma importante o tiene una caries tan grande que un simple empaste no sería suficiente, una corona de zirconio puede salvarlo.
- Mejorar la estética de un diente: Cuando un diente está muy decolorado, desgastado o con una forma anómala, y no se puede arreglar solo con empastes estéticos o carillas, cubrirlo con una corona de zirconio le devuelve un aspecto natural.
- Rehabilitar un diente con un implante: Si perdiste una pieza dental y te han colocado un implante dental, la parte visible que va atornillada encima del implante también suele ser una corona.
En resumen, se recomienda una corona de zirconio cuando se busca durabilidad y estética a la vez.
Siga el proceso de una corona BruxZir® de Principio a Fin
Ventajas de los Implantes y Coronas de Zirconio
El uso del zirconio en el sector de la odontología presenta muchos beneficios que lo han convertido en un material muy atractivo:
- Alta biocompatibilidad: Tanto en encía como en hueso, el zirconio es bien tolerado, resultando en una baja incidencia de mucositis o inflamación de encías alrededor de los implantes.
- Estética visual: Este material se asemeja mucho al tono del esmalte natural de los dientes gracias a su color y translucidez.
- Color blanco: Esto ayuda sobre todo en zonas donde hay un compromiso estético como es el sector anterior, en casos en los que la encía es muy fina y transparenta el color metálico de los implantes de titanio o cuando se produce una pérdida de hueso o recesiones con el paso del tiempo.
- No lleva metal: Ideal para personas alérgicas al titanio.
- Gran dureza y resistencia: Es un material muy fiable en la elaboración de prótesis dentales de alta calidad.
- Estética muy natural: El zirconio es un material blanco y translúcido que imita muy bien al esmalte dental. La corona de zirconio refleja la luz de forma similar a un diente real, logrando que pase desapercibida.
- Alta resistencia y durabilidad: Una corona de zirconio es extremadamente resistente a la fractura y al desgaste, soportando la fuerza de la masticación diaria.
- Versatilidad de uso: Se pueden utilizar coronas de zirconio en casi cualquier situación: restaurar un premolar o molar muy destruido, reemplazar un incisivo central en la zona estética, o sobre un implante dental.
- Tallado conservador del diente: Permite hacer coronas más delgadas que las de porcelana convencional, conservando más estructura dentaria sana.
Desventajas de los Implantes y Coronas de Zirconio
A pesar de sus numerosas ventajas, el zirconio también presenta algunos inconvenientes:
- Son más frágiles: Aunque están apareciendo nuevos materiales cerámicos que parecen ser una versión mejorada.
- No se pueden colocar en espacios estrechos: Inferiores a 3,5mm porque no existen en esa medida, por lo que no se pueden colocar para sustituir los incisivos inferiores.
- No existen estudios a largo plazo: Para comprobar su vida media o cualquier otro parámetro.
- Sólo están hechos de una pieza: No de dos como los de titanio, y la única opción para las prótesis que van sobre estos implantes, es cementada no atornillada.
- Coste económico: El costo es más alto en comparación con las coronas de metal-cerámica o de cerámica pura.
- Requiere equipamiento y técnica especializada: Trabajar con zirconio implica contar con laboratorios o sistemas de fresado modernos y técnicos protésicos especializados.
- Ligeramente menos translúcida que la porcelana pura: Aunque las coronas de zirconio actuales tienen muy buena estética, las coronas 100% de porcelana pueden ofrecer un nivel de translucidez incluso más natural en ciertos casos.
- Dureza: Al ser un material tan duro, existía la preocupación de que una corona de zirconio pudiera desgastar el diente contrario al morder (por fricción).
- Difícil de retirar o ajustar: Si en el futuro hubiera que retirar la corona, el zirconio al ser tan resistente es más difícil de cortar o perforar para el dentista.
Coronas de Zirconio vs. Otros Tipos de Coronas
En el mercado existen diferentes tipos de coronas según su material de fabricación. Cada una tiene sus indicaciones, ventajas y rangos de precio.
| Tipo de Corona | Ventajas | Desventajas | Precio (aproximado) |
|---|---|---|---|
| Metal-Porcelana | Muy resistentes, más económicas | Compromete la estética, puede mostrar borde gris | 250 - 450 € |
| Porcelana Pura | La mejor estética posible | Más frágiles | Variable |
| Metálica | Sumamente duraderas | Estética nula | 100 - 1000 € (dependiendo del metal) |
| Resina o Acrílica | Costo muy bajo, rápida fabricación | Poca resistencia, se desgasta fácilmente | 30 - 50 € |
| Zirconio | Estética, resistencia, biocompatibilidad | Costo más elevado, requiere técnica especializada | 300 - 600 € |
¿Cómo se Coloca una Corona de Zirconio?
Colocar una corona suele requerir dos visitas principales a la clínica (a veces tres, dependiendo de ajustes, o una sola si la clínica dispone de sistemas de coronas en el día).
- Primera visita - Preparación del diente: Se asegura de que el diente esté limpio de caries o infecciones. Se aplica anestesia local y se procede a tallar el diente.
- Toma de impresiones: Se copia la forma exacta del diente tallado y la mordida.
- Colocación de corona temporal: Se prepara una corona provisional de plástico/acrílico y se fija temporalmente al diente.
- Laboratorio dental (fabricación): Con las impresiones y especificaciones, el técnico de laboratorio o la máquina CAD/CAM fabrica tu corona de zirconio.
- Prueba y cementación: Cuando la corona definitiva está lista, se prueba la corona de zirconio encima del diente tallado. Si todo está correcto, se aplica un cemento dental especial dentro de la corona y se asienta sobre tu diente, retirando los excesos.
- Ajustes finales y recomendaciones: Se revisa la mordida y se dan instrucciones de cuidados.
En conclusión, las ventajas de las fundas y carillas de zirconio superan con creces sus desventajas convirtiéndolas en una opción valiosa para quienes buscan restaurar su sonrisa sin comprometer la funcionalidad ni la estética.