El sector anterior de la arcada dental es donde la mayoría de los pacientes buscan una mayor estética. Pequeños defectos gingivales pueden alterar la armonía y simetría de la sonrisa, cobrando gran importancia. Por lo tanto, es crucial diagnosticar correctamente para planificar un tratamiento predecible, satisfactorio y duradero de la alteración gingival, considerando los requerimientos estéticos, funcionales y de salud del paciente.
La terapia mucogingival consiste en cualquier tratamiento periodontal destinado a corregir defectos morfológicos, de posición o cantidad de tejidos blandos y soporte óseo subyacente alrededor de dientes e implantes. El término "cirugía mucogingival" fue introducido en la literatura periodontal en la década de 1950, definido como un procedimiento quirúrgico diseñado para preservar la encía, remover el frenillo y/o las inserciones musculares aberrantes, e incrementar la profundidad del vestíbulo.
En 1993, Miller definió la cirugía mucogingival como "procedimientos quirúrgicos realizados para prevenir o corregir los defectos anatómicos, del desarrollo, traumáticos o debido a otras enfermedades de la encía, la mucosa alveolar y el hueso". Esto incluye tratamientos como aumento gingival, recubrimiento radicular, alargamiento coronario y preservación gingival en erupciones ectópicas. También abarca la eliminación de frenillos aberrantes, corrección de defectos mucosos en torno a implantes, prevención del colapso asociado a la extracción dentaria y aumento de tejido en el tramo edéntulo.

Estética del Sector Anterior
El clínico debe tener en cuenta cuatro aspectos para crear una estética natural:
- Estructura facial y muscular del paciente.
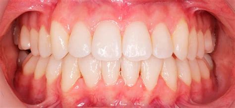
- Salud y estética gingival: La inflamación gingival, la asimetría de los márgenes y la presencia de espacios negros en la zona de las papilas son características que se alejan de una condición estética natural.
- Microestética: Determinada por la anatomía dentaria y la ubicación de los dientes en la arcada.
- Macroestética: Relación entre los dientes y los tejidos blandos faciales del paciente.
Las características morfológicas de la encía están relacionadas con la dimensión del hueso alveolar, la anatomía dentaria, alteraciones durante la erupción y la posición de los dientes en relación con los demás en la arcada. En los años 90, estudios analizaron la relación de los incisivos con el contorno del hueso alveolar en el sector anterosuperior, detectando dos grandes grupos de perfiles óseos denominados "contorneado" y "plano".
De este modo podemos observar:
- Biotipo contorneado: Relacionado con dientes alargados y estrechos, papilas largas, margen gingival delgado y poca cantidad de encía insertada. La cortical ósea alveolar vestibular es fina y el punto de contacto se sitúa en incisal.
- Biotipo plano: Relacionado con dientes cortos y anchos, papila corta y ancha, mayor grosor del margen gingival y de la encía queratinizada. La cortical ósea alveolar vestibular es gruesa y el área de contacto suele estar en una posición apical.
Se ha observado que el tipo de biotipo influye en la aparición de alteraciones mucogingivales, siendo más común la aparición de recesiones vestibulares en el sector anterosuperior cuanto mayor es el contorneado gingival.
Independientemente del biotipo gingival, éste debe ser armónico, teniendo en cuenta la simetría a ambos lados de la línea media en cuanto al tamaño y forma dentaria, color, cantidad de encía queratinizada, nivel de los márgenes gingivales, la convexidad de los márgenes, y su relación con el resto de tejidos y estructuras orofaciales. Esta armonía debe alcanzarse idealmente en los tres ejes del espacio. Finalmente, el análisis estético debe ser estático y dinámico, observando diferentes grados de sonrisa y la cantidad de encía que muestra el paciente.
Objetivos de la Cirugía Mucogingival
El objetivo de la terapia mucogingival es tratar los defectos de los tejidos gingivales, manteniéndolos en salud, con buena función y estética, y reducir el riesgo de progresión de la alteración. La encía está compuesta por tejido conectivo denso rico en colágeno y cubierto por un epitelio queratinizado que se extiende desde el margen gingival a la línea mucogingival, dividido en porción libre y porción insertada.
Los tejidos gingivales y periodontales se relacionan entre sí manteniendo la "anchura biológica". Esta relación entre el epitelio, tejido conectivo y hueso alveolar en torno al diente ha de mantenerse siempre, ya que cualquier alteración en estas dimensiones puede desarrollar una reacción inflamatoria y la destrucción de los propios tejidos periodontales. Por tanto, la cirugía mucogingival mantendrá la estética, la anchura biológica, la salud y la función.

Establecer la Necesidad de Cirugía Plástica Gingival
Establecer la necesidad de tratamiento mucogingival debe basarse en la situación de cada individuo:
- Historia clínica completa para evaluar factores predisponentes.
- Considerar el motivo de consulta del paciente y su punto de vista.
- Exploración completa de los tejidos orales y del periodonto, incluyendo radiografías.
- Análisis de la relación mucogingival de los tejidos para detectar déficit en la mucosa queratinizada, inserciones de frenillo...
- Detectar el factor etiológico de la alteración por su posible interacción con el tratamiento.
Consideraciones del Tratamiento
La selección del procedimiento quirúrgico depende del tipo de defecto, la disponibilidad de zonas donantes y las consideraciones estéticas del paciente. Cada medida realizada en la lesión mucogingival en la primera visita debe registrarse para detectar los cambios tras el tratamiento. Según el diagnóstico de la lesión se necesitará:
- Control de la inflamación eliminando la placa y/o uso de antimicrobianos.
- Aumento gingival.
- Recubrimiento radicular.
- Alargamiento coronario.
- Preservación de alveolo postextracción.
- Regeneración de la papila.
- Exposición de un diente no erupcionado.
- Frenectomía.
- Odontoplastia, movimiento dentario...
Cuando la alteración afecta la profundidad del vestíbulo, se considerarán vestibuloplastias y/o aumento gingival. En el caso del aumento de reborde, se realiza antes del tratamiento protésico o implantológico y puede emplearse diferentes tipos de injertos (tejidos duros y blandos), o regeneración tisular guiada.
Opciones de Tratamiento
Los resultados buscados en un paciente con alteraciones mucogingivales deberían ser: corrección del defecto, cese del avance del defecto, conseguir tejidos libres de inflamación, recuperar la función, salud y confort de los tejidos y conseguir una estética satisfactoria. Nos centraremos en las técnicas de tratamiento mucogingival en defectos que afectan a los dientes: aumento gingival, recubrimiento radicular, reconstrucción de la papila y alargamiento coronario.
Aumento Gingival
Aunque se creía que una adecuada cantidad de encía queratinizada era indispensable para mantener la salud de los tejidos, estudios han comprobado que la salud gingival se puede mantener independientemente de sus dimensiones. Las indicaciones para realizar un aumento gingival serían molestias durante el cepillado o al masticar debido a una encía débil y fina, o para prevenir dehiscencias en áreas donde se vayan a realizar movimientos ortodóncicos dentarios hacia vestíbulo, o proporcionar mayor resistencia a la encía en torno a una restauración subgingival.
Técnicas Quirúrgicas
Las primeras técnicas empleadas consistían en aumentar el fondo de vestíbulo, pero actualmente son más comunes las técnicas basadas en injertos de tejido conectivo, ya que mantienen las características de queratinización y aportan una estética más predecible. Los injertos pueden ser pediculados (unidos a la zona donante) o libres (extraídos del paladar). La elección dependerá de la cantidad de tejido necesaria y de la zona que vaya a recibir el injerto. El injerto siempre se colocará sobre un lecho a espesor parcial, y se sutura a periostio y encía adherida adyacente para inmovilizarlo.
Recubrimiento Radicular
Las indicaciones más comunes para el recubrimiento radicular suelen ser por demanda estética o por sensibilidad radicular, aunque también se realizan para mejorar la topografía gingival y prevenir el acumulo de placa. De hecho, la inflamación gingival por acumulo de placa junto con el trauma por cepillado son las causas más comunes de recesión gingival y exposición radicular.
Miller describió una clasificación de los diferentes tipos de recesión radicular teniendo en cuenta la capacidad recubrimiento:
- Clase I: Recesión de tejido marginal que no se extiende hasta la unión mucogingival; no hay pérdida de hueso ni de tejido blando en el área interdentaria.
- Clase II: Recesión de tejido marginal que se extiende apical a la línea mucogingival; no hay pérdida de tejido interproximal.
- Clase III: Recesión de tejido marginal gingival que se extiende apical a la unión mucogingival, en dientes con pérdida ósea interproximal.
- Clase IV: Recesión de tejido marginal que se extiende apical a la línea mucogingival con pérdida ósea grave y de tejido blando a nivel interproximal.
El recubrimiento completo puede alcanzarse en las recesiones tipo I y II, las recesiones clase III solo pueden aspirar a un recubrimiento parcial y en las de clase IV no es recomendable dicho tratamiento.
Técnicas Quirúrgicas
1. Injertos pediculados:
- Colgajo rotacional: Utiliza un colgajo de la zona de encía queratinizada de los dientes adyacentes y se rota sobre la recesión para cubrirla.
- Colgajo de avance coronal: Una incisión realizada apical a la línea mucogingival permite un reposicionamiento coronal del colgajo debido a la elasticidad de la mucosa alveolar. Puede ser usado para el recubrimiento radicular de uno o varios dientes.
Cual es la diferencia entre la GINGIVOPLASTIA y GINGIVECTOMIA?🤔
Gingivectomía y Gingivoplastia: Remodelando la Encía para una Sonrisa Perfecta
La gingivectomía y la gingivoplastia son dos intervenciones que, aunque similares, tienen propósitos diferentes. Ambas buscan mejorar la estética de la sonrisa, pero actúan de manera distinta sobre el tejido gingival. Es crucial entender las diferencias entre estos procedimientos para determinar cuál es el más adecuado para cada caso.
Gingivectomía: Eliminación del Tejido Gingival Excesivo
La gingivectomía es una cirugía periodontal que se centra en la eliminación de tejido gingival con el propósito de reducir las bolsas periodontales cuando el hueso no se ve afectado. Se realiza la escisión y supresión del tejido gingival lesionado bajo anestesia local.
Procedimiento de la Gingivectomía
- Se aplica anestesia local y se utiliza una sonda para localizar y marcar cada bolsa periodontal, determinando su profundidad.
- Se hace una primera incisión hasta la marca, sin dejar el hueso de soporte al descubierto.
- Se practica una segunda incisión para separar los tejidos enfermos, extrayéndolos cuidadosamente hasta que la raíz quede completamente limpia.
- Se cubre la zona tratada con un cemento periodontal que facilita la cicatrización, generalmente durante una o dos semanas. El tejido se repara completamente en aproximadamente dos meses.
Usos de la Gingivectomía
Esta cirugía se utiliza para tratar pacientes con inflamación en las encías que produce crecimiento de los tejidos y en quienes se han sometido a una endodoncia y presentan agrandamiento de la bolsa periodontal.
Ventajas e Inconvenientes
La gingivectomía es una intervención sencilla con resultados predecibles, buena cicatrización y mejora estética evidente. Sin embargo, la recuperación puede ser dolorosa a corto plazo, los efectos estéticos no son inmediatos y existe riesgo de exposición del hueso, pérdida de encía, sensibilidad dental y sangrado posterior.

Gingivoplastia: Remodelación del Contorno Gingival
La gingivoplastia es una cirugía periodontal similar a la gingivectomía, pero su objetivo es devolver el contorno de la encía cuando se ha perdido la bolsa periodontal. A menudo, se realiza de manera complementaria y simultánea con la gingivectomía.
Procedimiento de la Gingivoplastia
La gingivoplastia se realiza con un bisturí, medios mecánicos o electrodos, según las necesidades del paciente. El primer paso es pulir los bordes de las encías para darles la forma deseada. Luego, se contornean los márgenes para reducir el tamaño de la encía y dejar mayor superficie dental a la vista, con fines estéticos. Finalmente, se da forma a los dientes para que tengan la apariencia deseada.
Efectos de la Gingivoplastia
El objetivo principal de esta operación es estético. El resultado es una sonrisa más bonita debido a la corrección del tamaño de las encías, que a veces se ven demasiado al sonreír. La gingivoplastia consigue dar una mayor luminosidad y un efecto de mayor limpieza a los dientes.
En resumen, la gingivectomía se enfoca en eliminar el exceso de tejido gingival, mientras que la gingivoplastia se centra en remodelar y contornear la encía para mejorar la estética de la sonrisa.
Alargamiento Coronario: Exponiendo Más Diente Natural
El alargamiento coronario es un procedimiento que recontornea el exceso de encías y tejido óseo para exponer más parte del diente natural. Este tratamiento es común para mejorar la estética de las encías en casos de "sonrisa gingival", donde se muestra mucha encía y los dientes parecen cortos. También es útil cuando las caries son profundas y se extienden por debajo de la encía, o cuando un traumatismo dental ha causado pérdida de material dentario.
¿Cuándo es Necesario el Alargamiento Coronario?
- Sonrisa gingival: Para equilibrar la proporción entre dientes y encías.
- Caries profundas: Para acceder a la caries y asegurar un sellado perfecto con materiales de obturación.
- Traumatismos dentales: Para restaurar dientes dañados y mejorar su viabilidad.
- Preparación para coronas dentales: Para asegurar que la corona tenga un soporte adecuado de diente sano y sea lo suficientemente retentiva.
Procedimiento del Alargamiento Coronario
- Anestesia local: Para adormecer la zona de la boca en la que se va a trabajar y evitar molestias durante el procedimiento.
- Recontorneo del tejido: Se elimina el exceso de encía y, si es necesario, se remodela el tejido óseo para exponer más diente natural.
Postoperatorio
Es normal notar ciertas molestias en los días posteriores a la cirugía, que se pueden aliviar con analgésicos y antiinflamatorios.

Injerto de Tejido Conectivo: Tratamiento para la Recesión de la Encía
La enfermedad periodontal provoca la pérdida del hueso que rodea los dientes, lo que puede llevar a la retracción de la encía, conocida como recesión gingival. En estos casos, se pueden utilizar injertos de tejido conectivo para cubrir la raíz expuesta y mejorar la estética de la sonrisa.
Tipos de Injertos de Tejido Conectivo
- Injerto subepitelial: Se obtiene un pequeño trozo de encía del paladar y se injerta en el área previamente preparada donde existe la recesión. Este tejido nuevo es idéntico a las zonas adyacentes.
- Injerto gingival libre: También obtenido del paladar, se traslada a la base de la recesión para crear una banda de encía fuerte que evite la retracción.
- Materiales de injerto alogénicos: Se utilizan materiales de injerto procedentes de animales o humanos en lugar del tejido del propio paciente.
- Colgajo desplazado: Se toma la encía de al lado de la recesión para desplazarla a la zona afectada.
Estos injertos cicatrizan de manera similar al tejido conectivo del propio paciente, proporcionando una solución efectiva para la recesión gingival.