El sarro dental, también conocido como cálculo dental, es la placa bacteriana endurecida y cristalizada que se adhiere a las superficies de los dientes, especialmente en las áreas linguales.

¿Cómo se Produce el Sarro Dental?
La placa bacteriana se compone de restos de alimentos, bacterias, gérmenes y proteínas retenidas en la cavidad bucal. El sarro dental se forma cuando esta placa se mineraliza con sales minerales de fosfato cálcico.
Estas sales minerales están más concentradas en la zona subgingival, lo que facilita la formación de sarro en esta área. En cambio, en la zona supragingival, estas sales son menos homogéneas, reduciendo la acumulación de sarro.
La cantidad y velocidad con la que aparece el sarro dental varían según factores individuales y hábitos de cada persona. Los factores que influyen en la acumulación de sarro incluyen:
- Dietas alcalinas y consumo de azúcares: Favorecen la cristalización y endurecimiento de la placa bacteriana.
- Niveles de fósforo y calcio en la saliva: Altos niveles de fósforo y calcio, junto con bajos niveles de potasio, aceleran la mineralización del biofilm.
- PH alcalino en la saliva: Las personas con un PH alcalino en la saliva tienen un mayor riesgo de acumulación de sarro.
- Higiene bucal: Una higiene bucal deficiente aumenta el riesgo de formación de sarro.
- Ubicación de los conductos salivales: La proximidad de los conductos salivales a los dientes incrementa el riesgo de aparición de sarro.
Tipos de Sarro Dental: Supragingival vs. Subgingival
Es importante distinguir entre el sarro supragingival y el sarro subgingival:
- Sarro Supragingival: Se forma en la superficie de los dientes por encima de la línea de las encías.
- Sarro Subgingival: Se acumula debajo de la línea de las encías, en las bolsas periodontales.
El sarro subgingival es más difícil de detectar y eliminar debido a su ubicación. A diferencia del sarro supragingival, que es visible a simple vista, el sarro subgingival requiere una evaluación profesional para su identificación y tratamiento.

La Importancia de Eliminar el Sarro Dental
Aunque la mineralización de la placa bacteriana es menos dañina que la placa en sí, la rugosidad del sarro facilita el crecimiento de nuevo biofilm. Este nuevo biofilm puede crecer más cerca del hueso en la zona subgingival, causando patologías como periodontitis o gingivitis.
Estudios demuestran una estrecha relación entre el sarro y las enfermedades periodontales. La bolsa periodontal entre encía y diente se inflama debido al sarro subgingival, lo que profundiza la bolsa y favorece el crecimiento de más biofilm sin mineralizar.
Nº1 REMEDIO CASERO para ELIMINAR la PLACA, el SARRO y PREVENIR la CARIES
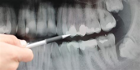
¿Cómo se Detecta el Sarro en una Radiografía Dental?
En las radiografías dentales, el sarro subgingival puede aparecer como pequeñas protuberancias o depósitos irregulares en las raíces de los dientes. Estas imágenes ayudan al dentista a evaluar la extensión del sarro y planificar el tratamiento adecuado.

Además de la radiografía, el dentista puede realizar un examen clínico exhaustivo para detectar la presencia de sarro subgingival y evaluar la salud de las encías.
¿Cómo Combatir el Sarro Dental?
Para eliminar y controlar el sarro, es fundamental controlar la placa bacteriana con una óptima higiene bucal. Una vez que la placa se endurece y mineraliza, es imposible eliminarla con la higiene bucal regular.
Limpieza Profesional: Solo un dentista o higienista puede remover este tipo de sarro de manera segura mediante procedimientos como el raspado y alisado radicular.
Es aquí cuando se debe acudir a la clínica dental para eliminar el sarro. Dependiendo de la ubicación del sarro, se utilizarán técnicas diferentes:
- Zona Subgingival: Se utiliza el raspado y alisado radicular para eliminar el sarro y alisar la superficie radicular, dificultando el nuevo crecimiento de la placa bacteriana.
- Zona Supragingival: Se utilizan curetas e instrumentos de ultrasonido para realizar una limpieza profunda, conocida como detartraje.
El sarro subgingival es un problema serio que requiere atención profesional para su eliminación.
| Tipo de Sarro | Ubicación | Método de Eliminación |
|---|---|---|
| Supragingival | Por encima de la línea de las encías | Curetas, ultrasonidos (detartraje) |
| Subgingival | Debajo de la línea de las encías | Raspado y alisado radicular |
Tratamientos Profesionales para Eliminar el Sarro Dental
Existen varios tratamientos que un profesional dental puede ofrecer para eliminar el sarro de manera efectiva:
- Profilaxis dental o tartrectomía: Este tratamiento se utiliza cuando hay sarro supragingival, es decir, que la placa bacteriana ya se ha calcificado con el paso del tiempo.
- Tratamiento periodontal: Esta limpieza se conoce también como raspado o alisado radicular y se practica en pacientes que presentan acumulación de sarro subgingival y que tienen una enfermedad periodontal activa.
- Mantenimiento periodontal: Este tipo de limpieza evita que la enfermedad progrese manteniendo limpios los dientes y encías y evitando la proliferación de bacterias.
Recomendaciones para Prevenir el Sarro en los Dientes
La acumulación de sarro se debe a una higiene bucodental deficiente, por tanto, la primera recomendación es practicar a diario una buena técnica de cepillado dental e interdental. Es importante utilizar un cepillo interproximal e hilo dental después del cepillado. Si se mantienen estos hábitos será más difícil que se acumule el sarro entre los dientes y bajo las encías.
Otras recomendaciones importantes son:
- Mantener una dieta equilibrada, evitando la ingesta de alimentos y bebidas azucaradas.
- Evitar en la medida de lo posible bebidas como el vino, el café o el té, ya que su consumo continuado provoca la tinción de los dientes.
- Acudir a las revisiones periódicas marcadas por tu dentista de confianza. En personas con una buena salud bucodental, normalmente las profilaxis dentales suelen ser anuales y en personas con algún problema bucodental, cada seis meses.
Una buena higiene bucal es fundamental para mantener la placa bacteriana controlada. Aún así con el tiempo, es normal que el sarro intente o se instale en nuestros dientes. De ahí que tengamos que realizar visitas periódicas con nuestro dentista por lo menos una vez al año. Esto hará que nuestra salud bucodental esté siempre al día.