En el ámbito de la odontología, existen profesionales que destacan no solo por su habilidad técnica, sino también por su dedicación y compromiso con sus pacientes. Este es el caso de Clara de Juan, una odontóloga cuya trayectoria está marcada por la excelencia y la pasión por su trabajo.
Clara de Juan forma parte de una saga familiar de dentistas, siguiendo los pasos de su padre, Marcos Zilbermann Morales, y su abuela paterna, quienes también dedicaron su vida a esta profesión. Su hermana, Mercedes, también es odontóloga y continúa la tradición familiar en la clínica de su padre.

Su padre, Marcos Zilbermann Morales, nació en Cádiz en 1947, en una familia con raíces judías originaria de Besarabia y Bohemia. Su abuela paterna estudió odontología en Odessa y fue la iniciadora de la dedicación profesional en la familia. Marcos estudió Medicina en la Facultad de Cádiz y se especializó en Odontología en Madrid. Desde 1975, ejerce la profesión en su clínica de la calle Ancha, donde se ha ganado el cariño y la confianza de sus pacientes.
Marcos Zilbermann es un gaditano cabal, capaz de hacer fácil lo difícil, con esa naturalidad tan suya. Además de su dedicación a la odontología, Marcos es un apasionado del Carnaval de Cádiz, coleccionista de libretos y repertorios, e investigador de su historia.
Clara de Juan, siguiendo el ejemplo de su padre, se ha dedicado a la docencia en Educación Infantil. Es hija de Marcos Zilbermann y María Dolores Remón.
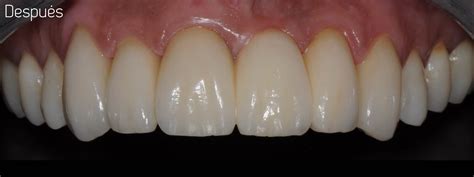
La Importancia de una Sonrisa Saludable
Una sonrisa presentable es imprescindible para nuestra vida cotidiana actual. La sonrisa forma parte de nuestra imagen y de nuestra personalidad e influye en las relaciones con los demás. Poder sonreír sin complejos mejora nuestra autoestima y abre más nuestra comunicación gesticular con los demás.
Para mejorar nuestra sonrisa, existen diferentes tratamientos odontológicos, como la cirugía ortognática, la ortodoncia, las prótesis sobre implantes o las prótesis fijas convencionales.
Cuando queremos mejorar o reconstruir una pieza independiente, se puede recurrir a las Coronas de Porcelana. Una corona es una prótesis que reemplaza totalmente la estructura coronal externa de una pieza dental dañada en su integridad o en su aspecto. La pieza debe conservar su raíz y se forra con un esmalte nuevo, conservando su estructura interna.
Un puente fijo convencional es una prótesis fija cementada a piezas vecinas para reponer una o varias piezas ausentes. Está formado por dos pilares que lo soportan y retienen y un tramo entre pilares, formado por las piezas artificiales que repone a las faltantes.

En el teatro de la Prótesis dental hacen falta como mínimo tres personajes fundamentales: un paciente, un dentista y un técnico de laboratorio dental. El paciente debe ser bien asesorado, informado e instruido por el Dentista. El Dentista debe conseguir la plena confianza y poder de actuación por parte del Paciente. El protésico dental fabrica los dientes de porcelana según las indicaciones y gustos del Dentista. Pero es el Protésico dental el artista que domina el arte de crear dientes bonitos.
La belleza es la armónica distribución del color y la forma. Yo traté de hacer lo posible por armonizar y suavizar.
Algunos ejemplos de tratamientos realizados son:
- Puente fijo de porcelana sobre metal para mejorar la solidez y la estética dental.
- Coronas de porcelana sobre Zirconio para solucionar dientes fracturados y erosionados por ácidos del estómago.
- Cuatro coronas de Zirconio para solucionar dientes rotos y empastes caídos.
En definitiva, Clara de Juan es un ejemplo de profesional dedicada a mejorar la salud y la estética dental de sus pacientes, siguiendo la tradición familiar y apostando por la innovación y la excelencia en su trabajo.