El diagnóstico de la caries dental es una de las principales tareas del odontólogo, y por regla general el examen inicial de la cavidad oral y de los dientes se lleva a cabo visualmente. En los últimos años se ha incrementado sensiblemente el nivel de exigencia en cuanto a un examen exhaustivo y un diagnóstico fiable, toda vez que la detección precoz de lesiones cariosas ha adquirido últimamente una gran relevancia. Al mismo tiempo se han multiplicado los instrumentos diagnósticos a disposición del odontólogo, y constantemente aparecen aparatos perfeccionados y de nuevo desarrollo.
Además de la identificación visual de lesiones, pueden mencionarse como métodos habituales la transiluminación por fibra óptica mediante una sonda de luz fría, los métodos de fluorescencia y de fluorescencia láser, la medición de la resistencia eléctrica así como la utilización de rayos X.
La evaluación visual de las superficies dentales constituye el método más habitual de exploración odontológica, y por regla general se lleva a cabo antes de aplicar medios diagnósticos adicionales. Actualmente se dispone de numerosos métodos que se antojan adecuados para el diagnóstico de lesiones de tipo carioso. Entre éstos se cuentan el método de fluorescencia, la transiluminación por fibra óptica y la medición de la resistencia eléctrica.
La odontología moderna cuenta con posibilidades de intervención preventivas y mínimamente invasivas consolidadas, que permiten tratar incluso lesiones incipientes. De ahí que para un procedimiento diagnóstico sea determinante la posibilidad de identificar precozmente lesiones iniciales además de las caries dentinarias.
A lo largo de las últimas décadas, en numerosos países de Europa Occidental y también en Alemania se ha observado un considerable retroceso de la caries. En el curso de este descenso generalizado de la caries, el grueso de las lesiones cariosas se concentra a menudo en las superficies oclusales de los dientes. Ocasionalmente se produce un fenómeno en el que dientes que a primera vista parecen clínicamente sanos o dientes con fisuras tincionadas presentan una caries dentinaria socavadora y en algunos casos extendida, conocida como «caries oculta». Sin embargo, un mejor examen visual de los dientes limpios y secos permite identificar más fácilmente tales lesiones «ocultas». En este contexto, tiene sentido buscar lesiones oclusales en radiografías interproximales ya existentes.
Además de la identificación de lesiones oclusales y de las superficies lisas, la detección clínica de lesiones cariosas proximales desempeña un papel destacado, si bien esta medida resulta difícil de adoptar debido a la visibilidad casi siempre insuficiente. Las radiografías interproximales posibilitan el diagnóstico de lesiones proximales clínicamente invisibles o poco visibles y proporcionan información tanto sobre su extensión como sobre su ubicación.
A continuación se presentan métodos actuales que facilitan la detección no invasiva de la caries dental. Esta visión de conjunto se limita a una selección de sistemas que pueden utilizarse en la práctica odontológica cotidiana con unos requisitos razonables en cuanto a aparatos.
Métodos Visuales para la Detección de Caries
Un sistema de detección y evaluación visual acreditado es el «International Caries Detection and Assessment System» (ICDAS). Fue desarrollado en el año 2002 con la participación de científicos internacionales, y algo más tarde fue presentado en una forma modificada como ICDAS-II. El objetivo de esta iniciativa internacional era el desarrollo de un método estandarizado de inspección visual, basado en la evidencia de los mejores procedimientos existentes hasta la fecha y que posibilitara el diagnóstico, el pronóstico así como la decisión sobre el tratamiento clínico de la caries dental tanto a nivel individual como en el ámbito sanitario público.
Mediante la codificación ICDAS pueden clasificarse visualmente las alteraciones cariosas en las superficies oclusales, proximales y lisas de los dientes (tabla 1), así como en las superficies radiculares (tabla 2). En caso de que un diente esté provisto de una restauración, también pueden aplicarse los criterios pertinentes (Caries Associated with Restorations and Sealants - CARS). Como instrumento auxiliar para el examen de lesiones en el esmalte y cavidades se utiliza una sonda redondeada (por ej. sonda CPI o periodontal).
Los estudios sobre la detección de lesiones cariosas oclusales han arrojado para el método ICDAS unos niveles de reproducibilidad intrapersonal e interpersonal buenos a excelentes, así como una sensibilidad y una especificidad cínicamente aceptables. El aprendizaje del método es posible en un tiempo razonable para los odontólogos, independientemente de su grado de experiencia. Los datos sobre la aplicación del método ICDAS en la clínica odontológica demuestran que para el examen en adultos, incluido el secado de los dientes, fue necesario un tiempo promedio de unos cinco minutos, mientras que para los niños se precisaron unos cuatro minutos. Teniendo en cuenta la ventaja diagnóstica resultante de la diferenciación adicional, la inversión de tiempo puede considerarse aceptable.
Desde la introducción del ICDAS se han llevado a cabo algunos estudios clínicos utilizando este sistema, y se puso de manifiesto que la inclusión de lesiones cariosas incipientes facilita en gran medida la determinación de las diferencias en la afectación cariosa. La limpieza de las superficies dentales constituye un importante requisito para una evaluación detallada. Mediante el método ICDAS-II se examinan dientes en estado húmedo y seco, de modo que seguramente son necesarias concesiones en el marco de exámenes en serie.
Además de diferenciar las lesiones cariosas de la sustancia dental sana, otra tarea del diagnóstico de la caries consiste en determinar si una lesión está activa o inactiva. Un sistema visual que lleva a cabo también esta diferenciación en el marco de los puntos empleados lo constituyen los criterios según Nyvad et al. A este respecto puede mencionarse asimismo el Universal Visual Scoring System (UniViSS), el cual también tiene como propósito complementar el diagnóstico de la caries dental incorporando la detección de lesiones no cavitadas.
El principio se basa en el hecho de que las sustancias dentales duras pueden fluorescer en determinadas condiciones. Entre sus exponentes más conocidos se cuentan los aparatos de fluorescencia láser DIAGNOdent y DIAGNOdent pen (empresa KaVo, Biberach, Alemania), la fluorescencia cuantitativa inducida por luz (QLF) así como la cámara de fluorescencia intraoral VistaProof (empresa Dürr Dental, Bietigheim-Bissingen, Alemania).
Aspectos Radiograficos de la Caries Dental
Método de Fluorescencia Láser
Los aparatos de fluorescencia láser ya consolidados DIAGNOdent y DIAGNOdent pen constan de una fuente de luz que emite la luz con una longitud de onda de 655nm, mientras un fotodiodo actúa como detector. Un sistema de filtro de recepción bloqueo la luz de excitación y la radiación dispersa de onda más corta procedente de otras fuentes de radiación, como la luz diurna o la iluminación artificial. El DIAGNOdent pen incorpora además una sonda para la detección de lesiones proximales.
En el momento en que las sustancias dentales duras alteradas son excitadas por la luz emitida, fluorescen en una gama distinta de longitudes de onda. Esta radiación de fluorescencia se indica como valor medido actual así como valor medido máximo (peak). En la aplicación práctica, es importante tener en cuenta los valores umbral correspondientes para la diferenciación entre las lesiones en el esmalte y en la dentina.
Desde el lanzamiento al mercado se han llevado a cabo numerosos estudios in vitro y en vivo con distintos valores umbral. En una categorización actual de los valores de medición, basada en la extensión histológica de lesiones cariosas, los valores superiores a 24 (DIAGNOdent) y a 17 (DIAGNOdent Pen) revelan la existencia de una caries dentinaria. Un estudio demostró que mediante el aparato DIAGNOdent pueden identificarse más del 70% de las lesiones dentinarias detectables radiológicamente.
Un ámbito de aplicación de la medición óptica por fluorescencia mediante láser reside en la comprobación y el control de la evolución («monitorización») de tinciones clínicamente sospechosas. Es importante una limpieza dental exhaustiva antes del examen, a fin de reducir al mínimo la posibilidad de resultados de medición falsamente positivos.

Cámaras Intraorales Basadas en Fluorescencia
El sistema de cámara VistaProof constituye la evolución de una cámara intraoral. Las superficies dentales a evaluar se irradian mediante diodos luminosos, los cuales emiten luz con una longitud de onda de 405nm (luz azul-violeta). Las zonas que presentan alteraciones cariosas fluorescen en la gama espectral roja, y la sustancia dental dura sana posee una fluorescencia propia verde. En el software de evaluación DBSWin se analiza la proporción entre la intensidad de fluorescencia roja y la verde como medida de la contaminación bacteriana, y por consiguiente del grado de destrucción de la sustancia dental dura.
El esmalte sano y las lesiones cariosas se visualizan cromáticamente y mediante números (escala del 0 al 4). Según indicaciones del fabricante, los valores situados entre 1,5 y 1,9 corresponden a una lesión profunda en el esmalte, mientras que los valores a partir de 2 indican una caries dentinaria. Sin embargo, diversos estudios in vitro tan solo han podido confirmar parcialmente esta clasificación. Conforme a los estudios, el valor umbral óptimo para la distinción entre lesiones del esmalte y de la dentina se situaba en torno al valor 1,4. La relevancia clínica de este hecho debería determinarse en estudios en vivo posteriores.
En términos generales, el aparato ofrece buenas cualidades diagnósticas en cuanto a la diferenciación entre sustancia dental dura sana y alterada, así como una elevada correlación con los hallazgos visuales. Alrededor del 80% de las lesiones dentinarias detectables radiológicamente pueden revelarse mediante la cámara de fluorescencia. Al igual que en otros métodos que implican el uso de aparatos, también en este caso se recomienda considerar críticamente los límites establecidos por el fabricante para la diferenciación entre las distintas profundidades de la caries y diseñar una planificación del tratamiento basándose no exclusivamente en los valores medidos, sino incorporando también a la planificación otros parámetros clínicos.
Entre las ventajas de este sistema se cuentan la conexión directa a la base de datos de pacientes digital y la documentación de los hallazgos. El alto grado de reproducibilidad del método por parte de los investigadores posibilita el control de la evolución de las lesiones clínicamente sospechosas a lo largo de un periodo de tiempo prolongado. Con VistaProof se visualiza también la placa dental, sin necesidad de utilizar reveladores de placa adicionales.
Desde abril de 2011, la empresa Dürr Dental ofrece la VistaCam iX. Se trata de una pieza de mano de cámara con dos cabezales intercambiables, que combina en un solo sistema una cámara intraoral con las ventajas de una cámara de fluorescencia. Los primeros estudios revelan un alto grado de correlación de ambas cámaras VistaProof y VistaCam iX entre sí y con respecto a los hallazgos visuales (datos no publicados).
Otro sistema que utiliza la tecnología de fluorescencia (luz con una longitud de onda de 450nm) para el diagnóstico de la caries dental es SoproLife (empresa Acteon Germany, Mettmann, Alemania). Basándose en el denominado concepto LIFE-D.T. (Light Induced Fluorescence Evaluator - Diagnostic and Treatment), el aparato ofrece, además de la detección de la caries dental en el modo de diagnóstico, la diferenciación intraoperativa entre el tejido sano y el carioso en el modo de tratamiento. Actualmente se dispone de pocos datos científicamente validados acerca de la aplicación de este sistema.

Transiluminación por Fibra Óptica
El método de la transiluminación por fibra óptica (FOTI) se utiliza principalmente para la detección de lesiones proximales y se basa en los distintos grados de translucidez de la sustancia dental dura desmineralizada y la sana. Las zonas porosas poseen un índice de refracción distinto al de la sustancia dental dura sana, de modo que la luz experimenta una mayor dispersión en las superficies limítrofes. Como consecuencia se produce una pérdida de intensidad que se manifiesta como una mancha oscura. Al trasluz, el esmalte carioso, pero sobre todo la dentina cariosa, se revela como sombra.
Como fuente de luz se utiliza un aparato con una lámpara halógena o un diodo luminoso (LED), cuya luz es dirigida hasta una sonda por un cable de fibra óptica. A fin de evitar en lo posible la formación de luz dispersa, se rectificó la punta de la sonda de luz fría de modo que puedan aplicarse las ventanas de salida de la luz directamente sobre el esmalte de las superficies proximales (sonda diagnóstica modelo Göttingen, empresa I. C. Lercher, Stockach, Alemania). Los estudios clínicos demuestran que este método permite descubrir más del triple de caries dentales que utilizando el espejo y la sonda. En la comparación entre las imágenes por fibra óptica y las radiografías interproximales se demostró que los exámenes con esta sonda de luz fría revelaban más lesiones dentinarias.
Otra evolución de este método es la transiluminación por fibra óptica digital (DIFOTI). Para ello se aplica desde un lado una fuente de luz blanca sobre el diente y al otro lado del diente se coloca una cámara con un sensor CCD (Charge-coupled Device), el cual está conectado a un ordenador. La cámara CCD recibe la señal luminosa y la transforma en una señal electrónica, la cual se transmite al ordenador y se analiza y se convierte en visible como imagen por medio de un software. Los primeros estudios in-vitro han arrojado buenos valores de sensibilidad y especificidad para la detección de la caries oclusal. Los datos clínicos revelaron que la combinación de DIFOTI y radiografías interproximales constituye un buen método, especialmente para revelar lesiones proximales pequeñas.

Medición de la Resistencia Eléctrica
Otro método para la detección de la caries oclusal consiste en la medición de valores de resistencia eléctrica en los dientes. En una lesión cariosa, el volumen de poros en el esmalte aumenta como consecuencia de la pérdida de calcio y fosfato, con lo cual se incrementa la conductividad eléctrica del esmalte. Si bien este método ha sido descrito con frecuencia en el pasado, ya no están disponibles en el mercado los aparatos correspondientes (por ejemplo, ECM, empresa Lode Diagnostics, Groningen, Países Bajos).
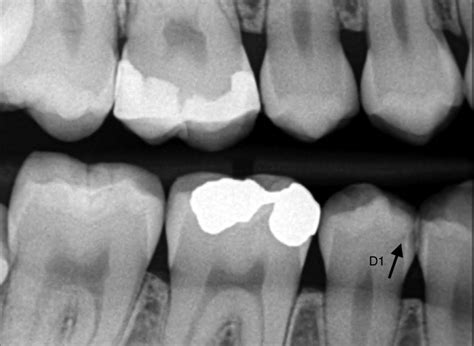
Radiografías Dentales y su Utilidad en el Diagnóstico de Caries
La radiografía dental ayuda a diagnosticar enfermedades y lesiones que en una exploración clínica no son visibles. Las radiografías dentales nos pueden revelar:
- Infecciones (abscesos o quistes).
- Pérdida de hueso.
- Tumores.
- Anomalías del desarrollo.
- Caries dentales interproximales o en zonas no visibles.
- Fracturas.
- Cálculo subgingival.
Cualquier tipo de radiografía no es útil para diagnosticar las caries. Las idóneas para la detección de caries son las radiografías periapicales o las de “aleta de mordida”. Son radiografías de pequeño tamaño y alta sensibilidad que nos muestran con gran detalle las coronas y raíces de los dientes.
La ortopantomografía (radiografía de toda la boca) nos ayudará a determinar el nivel óseo general, presencia de terceros molares (muelas del juicio), lesiones en las raíces de los dientes (granulomas infecciosos), etc.
La desmineralización y destrucción de las capas del diente se observa como una imagen radiolúcida (zona negra alrededor/dentro del diente). En la consulta dental realizamos controles radiográficos periódicos. Se hacen cada 6, 9 o 12 meses, dependiendo del riesgo de caries del paciente, la presencia de múltiples reconstrucciones interproximales (interdentales), etc.
Es importante tener en cuenta que el diagnóstico temprano de las caries repercutirá en un mejor pronóstico del diente. En obturaciones antiguas (empastes/reconstrucciones) controlaremos que los márgenes de las restauraciones estén correctos, ya que en el material artificial no se producirán caries, pero en el tejido dental de alrededor sí podrían aparecer filtraciones.

Prevención de Caries Interproximales
Las caries interproximales (las que están entre diente y diente) podemos prevenirlas utilizando seda dental después del cepillado. Normalmente se forman por la acumulación de restos de alimentos entre los dientes que, después de las comidas, no retiramos de forma adecuada. Esa acumulación es la que provoca los ácidos y la proliferación bacteriana que resultará en un proceso de caries.
Cuando detectamos un brote de caries debemos preguntarnos si hemos llevado a cabo algún cambio de hábito en nuestra dieta, como puede ser la ingesta de fruta entre horas, comer snacks que contengan hidratos de carbono, ingesta de zumos o batidos, etc., ya que todos ellos son alimentos que dejarán azúcares residuales hasta que podamos realizar un cepillado dental.
Tratamiento y Prevención de la Caries Dental
No existe una fórmula común a todos los pacientes para la prevención y el tratamiento de la caries dental, pero su manejo consiste en devolver el equilibrio al medio bucal. Para ello debemos identificar los factores de riesgo individuales de cada paciente y establecer un plan de tratamiento personalizado. Actualmente CAMBRA basa parte del tratamiento en la terapia química, sobre todo en personas mayores de 6 años. Basándose en el riesgo de caries de cada paciente utilizaremos diferentes productos para tratar de inclinar la balanza enfermedad-salud a favor de la salud oral.
La incorporación de flúor a la estructura del esmalte dental resulta en la transformación de hidroxiapatita en fluorapatita sustituyendo los iones hidroxilo en iones de flúor y convirtiéndose así en un compuesto más resistente a las bajadas de pH de la cavidad oral. La explicación a este fenómeno reside en que los iones hidroxilo son más grandes que los iones fluoruro, por lo tanto, no permiten tanta compactación de los fosfatos como estos últimos.
Los geles de flúor se suelen utilizar en pacientes de riesgo moderado de caries. El gel de elección es gel de fluorfosfatoacidulado al 1.23%, el cual contiene 12300 ppm. Los barnices de flúor son la forma de aplicación flúor tópico de elección en pacientes de alto y extremo riesgo de caries ya que, por su consistencia adhesiva, permite establecer mayor tiempo de contacto entre el producto y el esmalte dentario.
La fluorapatita que se forma con estos productos es más estable en el tiempo ya que se ha podido comprobar que las lesiones de aquellos pacientes que utilizan las pastas fluoradas en conjunto con productos con altas concentraciones de flúor aplicados sobre el diente por un profesional han resultado en una mayor remineralización comparados con aquellos pacientes que solo basan su terapia de remineralización en la utilización de pastas fluoradas de 1000 ppm.
En el mercado podemos encontrar también productos remineralizantes que contienen CPP-ACP. Sistema Arginina-Bicarbonato.

Clasificación de Caries
Las caries se clasifican en:
- Clase 1: localizadas en la superficie oclusal del diente (por donde se mastica).
- Clase 2: las caries se sitúan en los molares y los premolares.
- Clase 4: las caries de esta clase sí que afectan del borde incisal.
El mayor riesgo de no tratar la caries a tiempo es que afecte a la dentina pudiendo llegar a dañarla. Por ello, es recomendable acudir periódicamente al dentista para realizarse una revisión, y una limpieza bucal.
La causa principal de una caries es la formación de placa, adherida a los dientes. Esta placa, cuando no se elimina, se convierte en sarro.
Las caries normalmente no producen dolor. Cuando duelen es cuando son muy grandes y afectan a los nervios o fracturan el diente.
Existen diferentes tipos de caries:
- Caries de raíz: se origina en la superficie de las raíces de los dientes.
- Caries en la superficie lisa: esta caries se forma cuando la placa se acumula y las bacterias no se eliminan en la superficie plana de los dientes. Se puede tratar con flúor.
La visita al dentista suele destapar la mayoría de las caries. Para prevenir las caries se recomienda mantener una higiene bucal y dental adecuada. Esta higiene consiste en una limpieza bucal cada 6 meses, cepillarse los dientes al menos 6 veces al día y usar hilo dental habitualmente.
Asimismo, el consumo excesivo de alimentos y bebidas ricos en azúcar y almidón también aumenta el riesgo de producir caries. En sus fases iniciales, el tratamiento puede ayudar a impedir que el daño en el diente sea mayor. En el caso de que exista dolor, se recetan analgésicos para aliviarlo.
tags: #clasificacion #radiografica #de #caries