La búsqueda de métodos caseros y económicos para la limpieza del hogar y el cuidado personal es una tendencia en alza. Entre estos métodos, ha surgido la idea de utilizar Coca-Cola para la limpieza dental y la eliminación del sarro. Aunque pueda sonar sorprendente, la Coca-Cola, combinada con otros ingredientes, ha ganado popularidad como un limpiador casero versátil.

¿Cómo Funciona la Coca-Cola como Limpiador?
La Coca-Cola contiene ácido fosfórico, que ayuda a disolver el sarro y la suciedad. Al combinarla con otros ingredientes como bicarbonato de sodio y vinagre blanco, se crea un limpiador con propiedades abrasivas suaves y desinfectantes. Una receta viral del canal de YouTube La Huerta Forestal de Jaime propone este método para diversas tareas de limpieza.
Receta Casera con Coca-Cola para la Limpieza
Para preparar este limpiador casero, necesitarás:
- 1 litro de agua
- 1 limón cortado en cuatro partes
- Media taza de Coca-Cola
- 1 cucharada de bicarbonato de sodio
- Media taza de vinagre blanco
- Media taza de detergente líquido para lavadora
Preparación:
- Hervir el agua con el limón.
- Añadir bicarbonato, Coca-Cola y vinagre blanco.
- Reducir el fuego y añadir detergente líquido.
- Colar la mezcla y verterla en un pulverizador.
Este limpiador puede ser utilizado para limpiar grasa, eliminar sarro, deshacerte del óxido, quitar suciedad incrustada, blanquear azulejos, limpiar muebles de madera, e incluso como friegasuelos y limpiacristales casero.

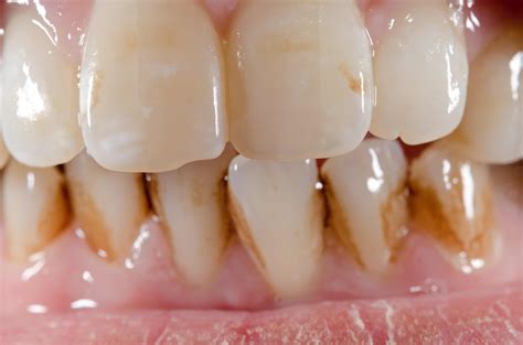
Manchas en los Dientes: Causas y Tipos
Las manchas en los dientes son una preocupación estética común. Estas pueden ser de diferentes tipos y tener diversas causas:
- Manchas superficiales: Son las más comunes, generalmente marrones o amarillentas, causadas por el consumo de tabaco y una higiene bucal deficiente, lo que lleva a la acumulación de placa bacteriana y sarro.
- Manchas intrínsecas: Aparecen desde el interior del diente, ya sea durante la exfoliación dental (aparición del diente permanente) o debido a traumatismos o endodoncias.
- Manchas por tetraciclina: Este antibiótico, utilizado en el pasado, puede causar manchas características con tonos amarillos, marrones o grises en forma de franjas horizontales.
- Caries dental: Las bacterias productoras de caries generan manchas negras, grisáceas o amarillas que pueden destruir el tejido dental si no se tratan.
- Fluorosis: El exceso de flúor puede causar manchas en el esmalte dental.
- Envejecimiento y bruxismo: El bruxismo puede generar capas secundarias y terciarias de dentina, resultando en un color amarillento en los dientes.

Tratamientos Profesionales para Eliminar Manchas y Sarro
Afortunadamente, existen diversos tratamientos para eliminar las manchas dentales, dependiendo del tipo y la causa de la mancha:
- Limpieza bucodental profesional (Profilaxis): Realizada por un especialista en higiene bucodental, elimina la placa y el sarro acumulados. Se recomienda realizarla al menos una vez al año para prevenir enfermedades orales como la gingivitis y la caries.
- Tratamiento para manchas de fluorosis: Se utilizan pastas especiales para pulir suavemente la superficie de los dientes y eliminar las manchas de manera mínimamente invasiva.
- Blanqueamiento dental: Se aplica un gel blanqueador sobre la superficie de los dientes y se utiliza una luz LED para potenciar su efecto.
- Carillas dentales: Son láminas de porcelana que se adhieren a la superficie de los dientes para modificar su color y posición, ofreciendo una alta estética.

Blanqueamiento Dental Profesional
El tratamiento de blanqueamiento dental es muy demandado para rejuvenecer la sonrisa. Los dientes blancos se asocian con una mayor salud, una mejor limpieza y un aspecto más juvenil. Aquí respondemos algunas dudas comunes sobre este tratamiento:
- ¿Cuánto dura el tratamiento de blanqueado dental? Los resultados pueden durar años si se siguen las recomendaciones del doctor. Se recomienda realizar limpiezas dentales cada seis meses y sesiones de recuerdo de blanqueamiento cada uno o dos años.
- ¿Qué puedo comer durante el tratamiento de blanqueado dental? Se deben evitar alimentos y bebidas que manchen los dientes, como café, vino tinto, Coca-Cola, vinagre y tabaco.
- ¿El tratamiento de blanqueado dental produce sensibilidad? Es normal experimentar un aumento de la sensibilidad dental debido a la apertura del poro del esmalte. Esta sensibilidad desaparece al finalizar el tratamiento.
En muchas clínicas, el tratamiento de blanqueamiento dental se realiza en dos fases: una sesión en clínica con aplicaciones de producto blanqueador activado con luz ultravioleta, seguida de la aplicación en casa de un producto blanqueador durante algunas semanas.
Recomendaciones Después de una Limpieza Dental
Después de una limpieza dental profesional, es importante seguir ciertas recomendaciones para garantizar su mantenimiento y efectividad:
- Esperar entre 30 y 45 minutos antes de comer o beber.
- Evitar comidas y bebidas muy calientes o frías durante las primeras 4 horas.
- Cepillarse los dientes suavemente antes de acostarse.
- Avisar al dentista si se produce sangrado por más de 24 horas.
- Evitar el consumo de tabaco y bebidas que manchen los dientes, como el café.
- Prescindir de alimentos y bebidas muy ácidas o pegajosas.
- No realizar enjuagues bucales durante las primeras 24 horas.
Conozca los beneficios y consecuencias de un blanqueamiento dental [Noticias] - Telemedellín

Mantener una buena higiene dental diaria y seguir las recomendaciones del especialista son clave para conservar una sonrisa sana y estética.