El color de los dientes es una característica individual, tan única como el color de piel, cabello u ojos. Al igual que estos rasgos, el color dental varía entre personas, grupos de dientes e incluso cambia con el tiempo. En este artículo, exploraremos la escala de color de los dientes, los factores que influyen en su tonalidad y las opciones disponibles para lograr una sonrisa más blanca y saludable.

¿Cómo se Forma el Color del Diente?
El color de cada diente es el resultado de la interacción entre dos tejidos duros principales: la dentina y el esmalte.
- Dentina: Es el tejido principal del diente con un tono amarillento debido a su composición rica en componentes orgánicos y menor contenido mineral. La dentina es más blanda que el esmalte debido a su menor volumen de componentes minerales.
- Esmalte: Es considerado el tejido más duro del cuerpo humano, compuesto en un 94% por fosfato cálcico y solo un 4% de masa orgánica. El esmalte forma una capa blanca, fina y muy dura que protege la dentina de estímulos negativos como bacterias y cambios de temperatura.
El desgaste del esmalte dental es otro factor que influye en el color final del diente. Las personas con una capa de esmalte genéticamente más fina tienden a desgastar sus dientes más rápido y a experimentar mayor sensibilidad dental.
Una solución estéticamente apropiada para los pacientes que desgastan sus dientes sería recubrir los dientes con carillas dentales, con diferentes opciones como las de porcelana o coronas de zirconio en función del grado y la intensidad de desgaste que tienen. Las carillas de porcelana devolverían al diente el color blanco natural y la forma bonita, perdidos por el desgaste dental. Las coronas de zirconio también solucionarían el problema de sensibilidad dental puesto que una corona de zirconio recubre la totalidad del diente y lo protege frente a los estímulos externos negativos.
Coronas unitarias o rehabilitaciones completas elaboradas de zirconio, por ser un material protésico altamente estético y de una dureza excepcional, serían una solución perfecta, funcionalmente y estéticamente acertada, en casos de los pacientes bruxistas y aquellos que sufren desgaste dental.
COMO BLANQUEAR los DIENTES 💜 LA MEJOR MANERA 🔥🔥🔥 - BLANQUEAMIENTO DENTAL MIXTO 🔥
Factores que Influyen en el Color de los Dientes
El color dental viene determinado genéticamente y varía de una persona a otra. El color de los dientes puede variar por distintos factores, estos pueden ser tanto internos como externos y afectan a su tonalidad y apariencia a lo largo del paso del tiempo.
Factores Externos
Los factores externos son aquellos que vienen del exterior y que podemos controlar a través de nuestros hábitos diarios y por nuestro estilo de vida.
- Alimentos y bebidas: El consumo de café, té, vino tinto y otros productos con altos niveles de cromógenos puede oscurecer el esmalte dental.
- Tabaco: Fumar o masticar tabaco es una de las causas que más pueden afectar a la hora de cambiar el color de los dientes de blanco esmalte a amarillento y opaco.
- Higiene bucal inadecuada: No realizar el cepillado diario, el uso de hilo dental y las visitas regulares al dentista facilita la acumulación de placa y sarro.
Factores Internos
Además de los factores externos que acabamos de ver, hay factores internos que pueden influir en el color de nuestros dientes.
- Envejecimiento: Con el paso del tiempo, el esmalte dental se va desgastando, haciendo que la dentina subyacente, que es naturalmente amarillenta, sea más visible.
- Genética: Algunas personas nacen con esmalte más fino o con un tono de dentina más intenso.
- Medicamentos y tratamientos médicos: El uso de ciertos medicamentos, como los antibióticos (especialmente la tetraciclina) durante la infancia, puede provocar manchas en los dientes que persisten en la adultez.

Tipos de Coloraciones Dentales
Las coloraciones dentales se pueden dividir en extrínsecas (causadas por factores externos) o intrínsecas (causadas por factores internos).
- Coloraciones Extrínsecas: Causadas por factores externos como el consumo de tabaco y alimentos con alto poder colorante (especias, vino tinto, té negro, café). En muchos casos, estas tinciones se eliminan con una limpieza dental profesional o un blanqueamiento dental.
- Coloraciones Intrínsecas: Causadas por factores internos y no se pueden eliminar con una limpieza dental. Ejemplos incluyen los dientes de tetraciclina, hipoplasia del esmalte o fluorosis dental. También podemos destacar el cambio de color del diente, producido por tratamientos dentales como endodoncias o a causa de la edad, cuando con el paso de los años los dientes se oscurecen de forma natural.
Significado de los Colores Dentales
A lo largo del tiempo, diversos factores pueden hacer que los dientes cambien de tono, desde un blanco brillante hasta tonos amarillos, marrones o incluso grises. Cada color tiene unas causas y unos significados diferentes.
- Color Amarillento: Es uno de los cambios de color más comunes en los dientes y puede ser causado por factores externos o internos. Fumar y sus efectos sobre el esmalte dental: La nicotina y el alquitrán presentes en el tabaco se adhieren al esmalte dental y lo tiñen de un tono amarillento muy característico.
- Tonos Marrones o Grises: Suelen ser indicativos de factores internos más profundos, que no siempre están relacionados con hábitos de vida. Algunos medicamentos, especialmente los antibióticos como la tetraciclina o la doxiciclina, pueden afectar el color de los dientes cuando se toman durante el desarrollo dental en la infancia. Un golpe o traumatismo en los dientes puede dañar la pulpa dental y hacer que el diente adquiera una coloración grisácea o marrón. Algunas enfermedades y condiciones genéticas afectan la estructura y el color de los dientes, haciendo que se vuelvan más oscuros o tengan un aspecto marrón.
- Dientes blancos y brillantes: Son el estándar ideal de estética dental y el color que todo el mundo percibe como color ideal de los dientes, y muchas personas persiguen esta tonalidad, la cual transmite frescura y salud. En estética dental, no existe un «blanco perfecto» universal, sino que el tono debe armonizar con el color natural de la piel y otros factores estéticos.
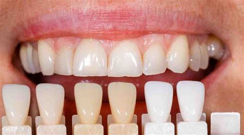
La Escala de Color de los Dientes
La escala o la guía de color es un instrumento esencial para poder determinar el color del diente. Se trata de una gama variada y ordenada de colores en función de las tres dimensiones del color: el valor, la matriz y el croma.
- El valor o luminosidad: Hace referencia a la cantidad de claridad o brillo que existe. En este valor se determina la cantidad de luz reflejada por un color en concreto. Así, pues se obtiene la toma de color de una tonalidad más clara o más oscura.
- La matriz: Se corresponde al color en sí. Los dientes no son blancos sino que tienen tonalidades más amarillentas, grisáceas, rojizas entre otras. Este valor determina la longitud de onda reflejada en el diente.
- Finalmente, el croma: Es definido como el grado de saturación que tiene el diente. Es decir, la cantidad de pigmento o colorante dentro del diente.
Escala VITA Clásica
La escala de tonos dentales más utilizada en la actualidad es la escala VITA clásica. Esta escala clasifica los colores según la matriz en A, B, C o D, y según el valor, su luminosidad, en 1, 2, 3, 4. La letra A corresponde a una tonalidad marrón amarillenta, el B a una tonalidad amarrilla, la letra C a un color más grisáceo y finalmente el D, a un color rojizo suave.
En Ribera Clínica Dental, los dentistas usan estas guías para fijar el color conseguido después de un tratamiento de blanqueamiento dental o cuando se pretende conseguir un color extra blanco para tratamientos estéticos con carillas de porcelana o coronas de zirconio.
Tratamientos para Mejorar el Color de los Dientes
Gracias a los tratamientos de estética dental como el blanqueamiento dental profesional o las rehabilitaciones con carillas dentales de porcelana o coronas de zirconio podemos cambiar el color de los dientes de nuestros pacientes obteniendo un tono uniforme, blanco y luminoso esto se consigue mediante e uso de una escala de color de los dientes.
Blanqueamiento Dental Profesional
El blanqueamiento dental profesional es uno de los tratamientos más populares y demandados para lograr una sonrisa más blanca y brillante. En un tratamiento de blanqueamiento dental, se aplica un gel blanqueador a base de peróxido de hidrógeno o peróxido de carbamida sobre los dientes. Este gel es activado con una luz especial que acelera el proceso, permitiendo que el agente blanqueador penetre en el esmalte y disuelva las manchas en su interior. Cada sesión suele durar entre 45 y 60 minutos, y los resultados son visibles casi de inmediato.
Carillas Dentales
Las carillas dentales son una excelente opción para quienes buscan mejorar el color de los dientes de forma duradera y también que quieren aprovechar para corregir otras imperfecciones de los dientes, como la forma o el tamaño. Las carillas son láminas ultradelgadas que se adhieren al frente de los dientes, cubriendo cualquier decoloración, mancha o irregularidad que pueda afectar la estética dental. Son ideales para quienes tienen manchas resistentes a los blanqueamientos, decoloración debida a medicamentos o daño estructural en el esmalte.
Limpieza Dental Profesional
Una limpieza dental profesional es un tratamiento fundamental para mantener el color natural de los dientes y prevenir la acumulación de manchas superficiales. Durante una limpieza de este tipo nuestros higienistas utilizan herramientas especializadas para eliminar la placa y el sarro que se acumulan en la superficie de los dientes y en las áreas de difícil acceso. Para preservar el color y la salud de los dientes, recomendamos realizar una limpieza profesional al menos cada seis meses.

Consejos Adicionales para Mantener el Color de los Dientes
Mantener una buena salud bucodental no solo ayuda a prevenir problemas dentales comunes como las caries o la gingivitis, sino que también es un hábito muy importante que ayuda a conservar el color natural de los dientes. Estos hábitos saludables, como la correcta higiene bucal y una dieta equilibrada, pueden ayudar a reducir el riesgo de manchas y a mantener los dientes más blancos.
- Higiene Bucodental Diaria: Cepilla tus dientes al menos dos veces al día y utiliza hilo dental o irrigadores para eliminar las partículas de alimento entre los dientes.
- Evitar Alimentos y Bebidas que Manchán: Trata de evitar alimentos y bebidas como el té, el café y entre los alimentos, las bayas, el ruibarbo y el cacao.
- Remedios Caseros: Existen muchos remedios caseros populares para el blanqueamiento dental, como el uso de bicarbonato de sodio o agua oxigenada, pero estos métodos no siempre son seguros ni efectivos. Para obtener resultados seguros y efectivos, es recomendable optar por tratamientos de blanqueamiento profesional.
Conclusión
El color de los dientes es una parte fundamental de tu buena imagen. A muchos de nosotros nos gusta tener una buena apariencia. Nuestra sonrisa es una de las primeras facetas de nuestro rostro que destacan., y el color de los dientes juega un papel muy importante en cómo se percibe. Unos dientes blancos y brillantes suelen relacionarse con buena salud, juventud y cuidado personal, en cambio, los tonos más oscuros o amarillentos pueden provocar inseguridad en quienes los tienen, afectando a la autoestima e incluso a la confianza.
| Factor | Descripción |
|---|---|
| Genética | Determina el color base del esmalte y la dentina. |
| Edad | El esmalte se desgasta con el tiempo, haciendo la dentina más visible. |
| Alimentos y bebidas | Ciertos alimentos y bebidas pueden manchar el esmalte. |
| Higiene bucal | La falta de higiene puede causar acumulación de placa y sarro. |
| Medicamentos | Algunos medicamentos pueden causar manchas intrínsecas. |