El color de las encías es un indicativo de salud muy importante. Las encías son la mucosa que se encarga de proteger nuestros dientes y sus raíces. Unas encías saludables deben tener un color rosado y cualquier cambio en su pigmentación es motivo de alerta. Es crucial entender que la salud de todo el organismo está estrechamente relacionada con el estado de la boca.

Comparación entre encías sanas y encías con gingivitis.
¿Por qué es importante cuidar nuestras encías?
Las encías cumplen la importante función de proteger los dientes y el tejido óseo de agentes infecciosos. Aunque forman parte del tejido blando de la mucosa de la boca, las encías deben permanecer firmes, cubriendo toda la raíz de los dientes.
Color de las Encías y su Significado
El significado del color de las encías va mucho más allá de un simple rasgo estético; en realidad, las encías actúan como un “termómetro” de nuestra salud bucal. El color de las encías, por tanto, funciona como un indicador temprano de posibles desequilibrios en la salud oral o general. Desde las clínicas dentales se insiste en la importancia de revisar periódicamente el color de tus encías frente al espejo.
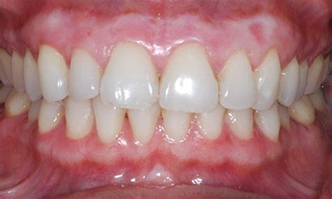
Encías Rosadas
Cuando hablamos del significado del color de las encías, el tono rosado es, sin duda, el que más se asocia a una buena salud bucal. Este color es el reflejo de unas encías sanas, bien irrigadas y libres de inflamación o infecciones. Las encías sanas presentan un color rosado claro y uniforme, sin manchas, zonas más oscuras ni áreas blanquecinas. Al presionarlas suavemente, no deben sangrar ni doler, y al cepillarnos o usar hilo dental tampoco deberían sangrar ni presentar sensibilidad anormal.
Encías Rojas
Si bien las encías sanas deben ser rosadas, un cambio hacia un tono rojo más intenso o una apariencia inflamada puede ser señal de alerta. Una de las causas más comunes del enrojecimiento de las encías es la gingivitis, una inflamación superficial provocada por la acumulación de placa bacteriana. Las encías rojas suelen presentar un aspecto inflamado y gran sensibilidad. Este es un síntoma inequívoco de enfermedad periodontal, provocada por la actividad de las bacterias que conforman el biofilm bucodental.
Este biofilm irrita el tejido gingival, generando enrojecimiento, hinchazón y, en muchos casos, sangrado al cepillarse. La gingivitis es reversible si se trata a tiempo mediante una correcta higiene oral y una limpieza profesional. Cuando la gingivitis no se controla, puede evolucionar hacia la periodontitis, una enfermedad más profunda que afecta también el hueso que sostiene los dientes. En la periodontitis, las encías no solo están rojas e inflamadas, sino que también pueden retraerse, formar bolsas periodontales y presentar movilidad dental.
Las encías rojas e inflamadas no suelen aparecer solas. Es importante entender que el enrojecimiento de las encías no es normal ni “algo que pasará solo”. Es un síntoma que nos indica que las encías están reaccionando ante una agresión, ya sea bacteriana, mecánica o inflamatoria.
Encías Pálidas o Blancas
Aunque solemos asociar unas encías saludables con un tono rosado claro y uniforme, hay casos en los que las encías adquieren un color pálido. Esto puede ser un indicio de diversas condiciones que merecen atención. Las encías pálidas pueden indicar una disminución en el flujo sanguíneo en los tejidos gingivales o de una alteración en la producción de hemoglobina.
Que las encías se pongan pálidas, incluso con manchas blanquecinas o inflamaciones, puede deberse a causas muy distintas:
- Anemia: Cuando el flujo sanguíneo sufre de alguna carencia como la disminución de glóbulos rojos, puede derivar en encías blancas. Ocurre cuando hay un descenso de glóbulos rojos y hierro en la sangre. Además de las encías blancas, el enfermo sufre cansancio, mareos o presión arterial baja.
- Mala higiene dental: El exceso de placa bacteriana puede causar manchas blancas en las encías e inflamación en las mismas.
- Candidiasis oral: Una infección por hongos en la boca, también conocida como candidiasis oral, puede causar manchas blancas en las encías. Infección provocada por el virus Candida Albicans. Suele ir acompañada de dolores al tragar o sangrado.
- Leucoplasia oral: Esta es una condición en la que se forman parches blancos en las encías debido al crecimiento excesivo de células.
- Llagas o úlceras: Las manchas blancas en la encía en forma de parches pueden estar provocadas por llagas u aftas bucales. Las llagas pueden aparecer por estrés, cambios hormonales, defensas bajas, déficit de vitaminas, por el roce de una prótesis, o como resultado de una lesión precancerosa.
- Liquen plano oral: Enfermedad con origen desconocido, aunque puede estar relacionada con una reacción alérgica o inmunitaria.
- Cáncer de boca.
Además del cambio de color, es importante prestar atención a otros síntomas, como sangrado, dolor, úlceras o sensación de ardor. Ante encías muy pálidas o blanquecinas, no se debe normalizar el cambio de color ni postergar la consulta profesional. Acudir al odontólogo es fundamental para una evaluación, ya que el especialista determinará si se trata de una alteración localizada o si requiere derivación médica.

Infografía sobre las posibles causas de las encías blancas.
Por qué la ANEMIA es más IMPORTANTE de lo que CREES
Encías Oscuras
En algunos casos, es normal que las encías tengan un tono más oscuro, debido a características genéticas. La hiperpigmentación fisiológica de las encías está causada por un mayor depósito de melanina en el tejido gingival. Los motivos de tener las encías oscuras, incluso en algunas ocasiones llegando a parecer negras, totalmente o por placas, son:
- Melanosis fisiológica: La melanina es un pigmento del cuerpo que determina el color de los ojos, piel o cabello, por ejemplo.
- Sarro: Es el depósito de calcificaciones que se queda en la superficie de los dientes por una mala higiene. Puede ser blanco, amarillo, verde, marrón o negro. Si se forma debajo de la encía, la translucidez puede provocar el efecto de que la encía sea negra.
- Tabaco: La nicotina del tabaco estimula la producción de melanina.
- Melanoma.
- Argirosis focal: Provocada por el contacto de una restauración dental hecha con amalgama.
- Medicación.
- Coronas dentales para fijar prótesis.
Encías Moradas
Si notas que tus encías adquieren un color morado, azul o negro de manera repentina o localizada, debes consultar a un profesional:
- Problemas de circulación o hipoxia: una encía de color azulado o violáceo puede indicar una disminución del oxígeno en la sangre o una alteración en la circulación local.
- Hematomas o traumatismos: un golpe directo en la encía o una lesión puede provocar sangrado interno y acumulación de sangre bajo el tejido gingival; lo que genera una mancha violácea o azulada.
- Gingivitis.
- Periodontitis.
- Falta de vitaminas y minerales. Si se sufre un déficit nutricional, las encías pueden enfermar.
- Ortodoncia.
- Productos de higiene bucal fuertes. Como pastas de dientes o enjuagues.
¿Cuándo hay que acudir al odontólogo por un cambio significativo en las encías?
Ante cualquier cambio en la coloración de las encías, es recomendable acudir al dentista para poder detectar a tiempo un problema de salud. Si además notas sangrado durante el cepillado, molestias, inflamación, dolor, o encías retraídas, no lo pienses, y actúa cuanto antes.
Tratamientos para las Encías Despigmentadas
En cuanto a los tratamientos frente a esta alteración del color de las encías, lo principal es determinar la causa que la provoca. Los tratamientos para sanar esta dolencia y hacer que vuelvan a su color natural dependen de qué está causando dicha despigmentación.
Higiene Oral
Mantener una buena higiene bucal es crucial. Es fácil de evitar con una higiene adecuada: cepillado correcto, uso de hilo dental o cepillos interproximales, etc.
Tratamientos para la Leucoplasia
Dejar de fumar y reducir el consumo de alcohol pueden ayudar a reducir las manchas blancas causadas por la leucoplasia.
Remedios Caseros
Algunos remedios caseros pueden ayudar a aliviar las encías blancas, como enjuagues con agua salada, aplicar gel de aloe vera o usar aceite de coco como enjuague bucal.
¿Es normal tener encías blancas después de una extracción dental?
Sí, es común que la encía se vea blanca después de una extracción debido a la respuesta inflamatoria y la formación de una capa protectora sobre la herida. Después de una extracción dental, es común que la encía alrededor del área afectada se vea blanca. Esto se debe a la formación de una capa protectora sobre la herida y la respuesta inflamatoria del cuerpo.
Tabla Resumen del Color de las Encías y sus Posibles Causas
| Color de las Encías | Posibles Causas |
|---|---|
| Rosado Claro | Saludable, bien irrigadas |
| Rojo Intenso | Gingivitis, inflamación |
| Pálido o Blanco | Anemia, candidiasis, leucoplasia |
| Oscuro (Morado, Azul, Negro) | Hiperpigmentación, problemas circulatorios, hematomas, tabaquismo |
Tabla resumen de los colores de encías y sus posibles causas.
Recomendaciones Finales
Mantener una buena higiene oral, visitar regularmente al dentista y llevar un estilo de vida saludable son claves para prevenir y tratar las manchas blancas en las encías. Si llevas más de dos semanas observando que tienes las encías blancas, llama a tu odontólogo y pide una cita. Además, es aconsejable realizarse una limpieza bucal profesional al menos una vez al año, ya que el odontólogo cuenta con los recursos y conocimientos pertinentes para hacer una limpieza profunda.