La ortodoncia se encarga de la corrección de los dientes y huesos mal posicionados para mejorar la mordida. Existen diversos tratamientos para corregir estos problemas, lo que hace que surja la inquietud entre escoger los brackets metálicos o brackets de zafiro. Por eso, es importante que conozcas las características de cada uno para tomar la mejor decisión.

¿Qué son los brackets metálicos?
Los brackets metálicos son la opción más tradicional y lo que nos viene a la mente cuando pensamos en tratamientos de ortodoncia. Están hechos de acero inoxidable, se unen con alambres y bandas elásticas. Los brackets de metal modernos son más pequeños y menos llamativos que como solían ser en el pasado, y siguen siendo la opción más común en tratamientos de ortodoncia.
Este tipo de ortodoncia sirve para alinear los dientes o acomodar dientes torcidos, también para corregir la mordida, entre otros problemas. El ortodoncista cementará o pegará los brackets de metal directamente a tus dientes, colocando sobre estos un alambre flexible que los conecta todos juntos. Se usan ligas para mantener el alambre en su lugar.
Características de los brackets metálicos
- Tienen gran durabilidad y capacidad de adhesión.
- Debido a su composición metálica son más visibles que los demás tipos de ortodoncia.
- Si las piezas se caen o se rompen son fáciles de reponer.
- Son muy resistentes y eficaces, en especial cuando se trata de problemas graves.
- Para mejorar la estética se pueden colocar ligas de colores, lo que llama mucho la atención de niños y adolescentes.
- Son más económicos que los brackets estéticos.
¿Qué son los brackets de zafiro?
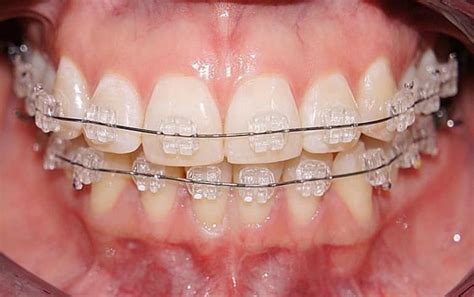
Los brackets de zafiro son similares a los que conocemos tradicionalmente de metal, pero hechos de zafiro sintético. Tiene la misma estructura química y composición que el mineral natural, por lo que son muy resistentes, tan resistente como el diamante.
La ortodoncia con brackets de zafiro son pequeñas piezas que se pegan al diente con pegamento dental. Estas son mantenidas en su lugar por un arco metálico que se asegura con una banda estética a cada brácket. Los brackets de zafiro ofrecen a los pacientes la ventaja de que son mucho más estéticos que los tradicionales, ya que son de un todo claro, por lo que pueden pasar mucho más inadvertidos que los tradicionales de metal.
Este tipo de brackets funciona igual que los tradicionales. La función de estos es enderezar los dientes ejerciendo una pequeña fuerza controlada en los dientes del paciente. Pueden solucionar una serie de problemas orales como la maloclusión, dientes desviados, espacios entre los dientes, mordida abierta, mordida cruzada, entre otros.
Características de los brackets de zafiro
- Son casi imperceptibles a la vista, por lo que son la solución más estética en el mercado.
- Su precio es elevado y no son accesibles para todos.
- Los brackets de zafiro son cómodos y producen menos molestias que los metálicos.
- Aunque son resistentes y su color no se altera, requieren más cuidado debido a que la suciedad se nota más en los colores de los brackets.
Brackets metálicos vs. Brackets de zafiro: Comparativa
Si requieres un tratamiento de ortodoncia se entiende que quieras tomar la mejor decisión, enfrentándote al dilema entre las distintas opciones de tratamientos. Por eso, es importante comparar los brackets metálicos y los de zafiro, hablando de las diferencias principales que existen entre ellos.
Desde el punto de vista de su función, los brackets de zafiro y los brackets metálicos cumplen el mismo objetivo. En este sentido no tienen ninguna diferencia, ya que están diseñados para servir como soportes y movilizar las piezas dentales. Pero para saber cuáles son los mejores brackets para un paciente hay que evaluar sus necesidades individuales.
En este sentido, hay que tomar en cuenta el precio, la estética, la duración del tratamiento, el mantenimiento, entre otros aspectos. Por ejemplo, los brackets metálicos son los más visibles, menos discretos, pero son más económicos y resistentes que otras opciones. En algunos casos, estos podrían acortar el tiempo de tratamiento. En cambio, la ortodoncia de zafiro es más estética, si tu apariencia es importante en el día a día, esta alternativa puede ser la mejor. El problema que tiene es su precio más elevado.
El ortodoncista debe evaluar junto al paciente cuál es la mejor opción y ayudarle a decidir. Para que te familiarices más con las diferencias entre los brackets metálicos y los de zafiro describiremos cada uno de estos factores.
Estética y Apariencia
La apariencia de ambas alternativas es muy diferente debido a que están fabricados de distintos materiales. Los brackets metálicos se pueden ver a simple vista por el color plata que los caracteriza. Mientras que los brackets transparentes de zafiro son menos visibles y más estéticos.
Los brackets metálicos, en la mayoría de los casos, los utilizan adolescentes o adultos en quienes su apariencia no tenga algún impacto en su trabajo. Además, estos tienen la opción de combinarse con gomas de colores, haciendo que el tratamiento sea divertido. En cambio, los brackets de zafiro son destinados a las personas que cuiden su imagen y quieran tener un perfil neutro, pero igual requieren un tratamiento dental como este.
Precio de la ortodoncia
Su costo también es diferente, puesto que los brackets metálicos -al ser los más antiguos y básicos- son más económicos. La ortodoncia de zafiro, al ser de un material costoso como lo es el cristal de zafiro, no son tan accesibles y pueden ser considerados como un lujo.
Higiene
Desde el punto de vista de la higiene, los brackets metálicos son los más adecuados debido a que los cuidados son más sencillos. Los de zafiro requieren mayor dedicación, debido a que por su transparencia cualquier resto de comida queda visible.
Los dentistas recomiendan usar dentífricos especiales y un cepillo de cerdas suaves, así como hilo dental. En cualquier caso, es clave mantener los mejores hábitos de higiene para cuidar la salud de los dientes.
Adhesión y Durabilidad
La durabilidad de ambos tipos de ortodoncia es similar, aunque la de los metálicos es un poco superior. En cuanto a la adherencia, los metálicos son más resistentes. Por este motivo, una recomendación frecuente es colocar estos en los molares y los estéticos en el resto de los dientes.
Duración del tratamiento
La duración del tratamiento de ortodoncia con brackets de zafiro o metálicos depende de diferentes factores. Por ejemplo, la calidad del material que usó el especialista, cuán involucrado está el paciente en el tratamiento, la complejidad del caso y la experiencia del ortodoncista.
En general, los tratamientos de ortodoncia duran alrededor de 18 meses, aunque hay casos más complejos que pueden alargarse a dos años, incluso tres.
Otros tipos de ortodoncia disponibles
Existen diferentes tipos de brackets, pero sea cuál sea el que escoja el paciente su función será la misma. El objetivo de este tratamiento es llevar las piezas dentales a la posición correcta y corregir la maloclusión. Unos dientes mal posicionados afectan la apariencia del paciente, pero también pueden incidir en su salud debido a que provocan molestias y, en algunos casos, heridas en la boca.
Este tipo de tratamiento ha avanzado mucho a través de los años. Hace unas décadas solo estaban disponibles las ortodoncias metálicas. Sin embargo, las necesidades de los usuarios ha hecho que evolucione, apareciendo así nuevos materiales y métodos.
Cuando vayas al ortodoncista te darás cuenta de que no solo tienes que elegir entre brackets metálicos o brackets de zafiro. También hay otras alternativas disponibles en el mercado. Los brackets cerámicos son unos de ellos. Igual que los de zafiro son más discretos que los metálicos. Son de un tono marfil que son casi imperceptibles a la vista. Sin embargo, son una opción más económica que los de zafiro, por lo que su uso ha aumentado los últimos años.
También están los brackets de resina y de policarbonato que, aunque son económicos, su estética cambia a los pocos meses. Tienden a mancharse con las comidas, por lo que no siempre son favorables. Los brackets damon también son otra opción.
Por otro lado, hay opciones de ortodoncia invisible, como Invisalign y ortodoncia impress.
No se puede dejar pasar por alto que no se trata solo de un tema estético, sino de salud bucal. Ya que con el tratamiento de ortodoncia con brackets adecuado se obtendrá la correcta posición de las piezas dentales, evitando así la aparición de diversas enfermedades. Una sonrisa de aspecto agradable y dientes con mayores probabilidades de perdurar sanamente durante muchos años.
Tipos de Brackets
Podemos clasificar los tipos de brackets de la siguiente forma:
- Metálicos: Son los mas populares y económicos.
- Brackets transparentes: En esta categoría se encuentran los de cerámica, zafiro y de policarbonato.
- Autoligables: A diferencia del diseño convencional, este no requiere de gomas elásticas para unir el arco con los brackets.
- Linguales: Su funcionamiento es igual a los convencionales, solo que estos se colocan por la parte posterior o interior de los dientes.
Aunque también existen otras alternativas muy estéticas entre los tipos de ortodoncia, como la ortodoncia Invisalign o invisible. Esta no requiere de brakets sino de férulas removibles.
2 Opciones de BRACEKTS ESTETICOS:cerámicos y de zafiro
Tabla Comparativa: Brackets Metálicos vs. Zafiro
| Característica | Brackets Metálicos | Brackets de Zafiro |
|---|---|---|
| Estética | Menos discretos, color plata visible. | Más estéticos, casi invisibles. |
| Precio | Más económicos. | Más caros. |
| Higiene | Cuidado más sencillo. | Requieren mayor dedicación. |
| Durabilidad | Alta durabilidad. | Similar a los metálicos. |
| Adhesión | Mayor resistencia. | Buena resistencia. |

Es importante tener en cuenta que el uso de brackets es solo una parte del tratamiento de la ortodoncia. La combinación de brackets con otros tratamientos, como la extracción de dientes o la cirugía, puede ayudar a garantizar resultados duraderos.
El cuidado e higiene dental con brackets
Es fundamental para mantener una buena salud bucal durante el tratamiento de ortodoncia. Es importante cepillar los dientes después de cada comida, prestando especial atención a los brackets y alrededor de ellos. El uso de cepillos interdentales y enjuague bucal también es recomendable para eliminar restos de alimentos y mantener una correcta higiene.