¿Sabías que las carillas dentales permiten mejorar el aspecto de tu sonrisa? Las carillas dentales son una solución eficaz para mejorar la apariencia de la sonrisa, ofreciendo una solución estética a problemas como el desgaste dental, manchas o irregularidades en la forma de los dientes. Si llevas carillas dentales, te recomendamos leer con mucho detalle este artículo.
En esta ocasión queremos informarte sobre cómo puedes mantener tus carillas dentales en las mejores condiciones siguiendo una serie de sencillos pasos. Los buenos cuidados de las carillas dentales son un aspecto muy importante. Por tanto, aunque a muchos pacientes las carillas de disilicato de litio les duren diez años, en otras ocasiones se pueden despegar o romper mucho antes si no se siguen los cuidados adecuados.

Es importante que te mantengas informado sobre las causas del oscurecimiento de las carillas y, en especial, qué puedes y qué no puedes hacer al respecto. Si estás preocupado por la apariencia de las carillas dentales, a continuación encontrarás información muy útil.
Tipos de Carillas Dentales
Existen dos tipos de carillas: de porcelana o de materiales compuestos (composite). Las carillas de porcelana son conocidas por su durabilidad y resistencia a las manchas. Las carillas de compuesto son más susceptibles a las manchas y abrasiones que las de porcelana, pero un cuidado diligente puede maximizar su vida útil.
Las carillas de disilicato de litio (mínimamente invasivas) son las más duraderas y estéticas. Las carillas de composite son más económicas y no requieren tallado dental. No obstante, su duración estimada es considerablemente menor (hasta cinco años aproximadamente). Además, con el paso del tiempo, se pigmentan y desgastan. En cualquier caso, la duración de las carillas depende tanto del material como de los cuidados mantenidos por el paciente.
Cuidados que se deben tener con las Carillas Dentales
Mantenimiento y Limpieza de las Carillas de Porcelana
El mantenimiento de las carillas dentales es fundamental para asegurar su durabilidad y estética a largo plazo. Los dientes con carillas no necesitan un tratamiento especial a nivel de limpieza, pero sí requieren que ésta sea frecuente y a fondo. A continuación, te ofrecemos una guía detallada sobre cómo cuidar tus carillas de porcelana:
1. Mantén una Buena Higiene Oral
Los malos hábitos de higiene dental pueden provocar el acelerado deterioro de las carillas dentales. Mantener una buena higiene bucal mediante una rutina diaria y ser constante, es imprescindible para cuidar tus carillas. Los dientes con carillas no necesitan un tratamiento especial a nivel de limpieza, pero sí requieren que ésta sea frecuente y a fondo. Es importante el cepillado al menos 2 veces al día, siendo indicado y más recomendado después de cada comida.
Cepillarse un mínimo de 2 veces al día, usar hilo dental y realizar enjuagues bucales mantendrá alejada cualquier infección por bacterias y eliminará las posibles manchas que se puedan adherir como resultado de la ingesta de alimentos y bebidas. Al igual que ocurre con los dientes naturales, cuando se llevan carillas hay que cepillarse después de cada comida.
Cómo lavarse los dientes con carillas:
- Cepillo de cerdas suaves o medio: Las cerdas suaves son menos abrasivas y no dañarán la superficie de las carillas.
- Cepillado suave y meticuloso: Aplica una presión ligera, ya que igual que en el esmalte natural de los dientes, se pueden desgastar por un cepillado brusco.
- Pasta dental no abrasiva: Opta por una pasta dental que no sea abrasiva para evitar desgastar la superficie de las carillas.
Tu boca se merece una sonrisa perfecta y sana.

2. Usa el Cepillo Correcto y una Pasta Dental No Abrasiva
Utiliza un cepillo de dientes de cerdas suaves y una pasta dental no abrasiva. Esto es especialmente importante para el cepillado de las carillas de porcelana que, aunque son resistentes a las manchas, pueden rayarse por el uso de productos abrasivos, afectando a su brillo y apariencia.
Lo ideal es utilizar un cepillo de cerdas suaves y una pasta dental no abrasiva. Antes de usar alguna pasta dental o producto de higiene bucal consulta con tu dentista Salamanca si es adecuado para ti.
3. Evita Hábitos Nocivos
Morder objetos duros como el hielo, envoltorios de comida o incluso las uñas puede causar daños en las carillas. Si tienes el hábito de rechinar o apretar los dientes (bruxismo), considera el uso de un protector bucal nocturno para proteger tus carillas y tus dientes.
Hay que tener especial cuidado en no apretar los dientes, en algunas ocasiones lo hacemos de forma involuntaria, pero el hacerlo puede hacer que nuestras carillas se astillen. Si tienes bruxismo o aprietas los dientes, sí. La férula protege las carillas del desgaste nocturno y evita microfracturas.
Con demasiada frecuencia damos un trato inadecuado a los dientes, empleándolos para aplicar fuerza y causando daños en ellos. Morderse las uñas o tratar de abrir algo con la fuerza de los dientes son algunas de estas prácticas, pero no las únicas.
4. Limita el Consumo de Alimentos y Bebidas que Manchan
Aunque las carillas son menos propensas a mancharse que los dientes naturales, ciertos alimentos y bebidas (como el vino tinto, el café y las salsas oscuras) pueden afectar al material del que estén hechas. Por tanto, para conservar el color y el brillo durante más tiempo es recomendable limitar el consumo de los principales alimentos y bebidas que manchan los dientes.
Hablar de cómo cuidar las carilla dentales implica necesariamente hablar de una alimentación correcta. Bebidas o alimentos con alta pigmentación como el café, té, vino tinto, curry, remolacha, cúrcuma, entre otros. Esto es muy importante en las carillas de composite, ya que existe un mayor riesgo que estos alimentos o bebidas puedan teñir las carillas en menor tiempo. Evita morder alimentos duros como hielo, nueces o caramelos con los dientes que tengas carillas, ya que, aunque estas son resistentes existe el riesgo que puedan astillarse o fracturarse al consumir estos alimentos.
Aunque es difícil renunciar a hábitos como el café, conviene no excederse en su consumo, ya que puede acabar ennegreciendo las carillas y otorgando un aspecto desagradable. Y lo mismo se aplica en otros alimentos con capacidad de tintar las carillas, como puede ser el curry, el chocolate negro o algunas salsas, como la de soja.
5. Evita el Tabaco
Por otro lado, aunque las carillas de porcelana no se ven demasiado afectadas por el tabaco, esto sí ocurre con las carillas de composite, que pueden oscurecerse o presentar manchas. Evita el tabaco: Fumar mancha los dientes naturales, así como a las carillas de composite, por eso es muy recomendable reducir el tabaco si tienes este tipo de carillas.
No hay ninguna buena razón para continuar fumando. Además de los potenciales riesgos para la salud, por todos conocidos, ponerse carillas y seguir con el tabaco es un contrasentido. Y es que, al igual que ocurre con los alimentos, el tabaco acaba dando a las carillas un antiestético tono marrón o amarillento. Por tanto, se recomienda no fumar.
6. Ten Cuidado al Comer
Otro de los cuidados que debes tener muy en cuenta es el de restringir el consumo de alimentos muy duros o pegajosos, ya que pueden hacer que las carillas se rompan o astillen. Al comer hay que tener precaución tratando de cortar los alimentos con otros dientes.
7. No Uses los Dientes como Herramientas
Este hábito tan común puede fracturar las carillas dentales o hacer que se despeguen. Y, por supuesto, más “prohibido” aún está el hecho de usar los dientes como herramientas.
8. Visita Regularmente al Dentista
Las revisiones dentales regulares y las limpiezas profesionales resultan imprescindibles para el mantenimiento de tus carillas. Lo más habitual es que las limpiezas sean realizadas una vez al año. Lo recomendable es acudir cada 6 a 12 meses para revisar la adhesión, color, encías y limpieza de las carillas. En estas revisiones el dentista podrá decidir si hace falta una limpieza dental completa para eliminar la placa que se ha podido acumular en los dientes y así mantener las carillas y la salud bucal en óptimas condiciones.
Durante esos controles, el odontólogo podría realizar un pulido suave para eliminar manchas superficiales y restaurar el brillo de las carillas. Este procedimiento es especialmente útil para carillas de composite, que son más susceptibles a manchas.

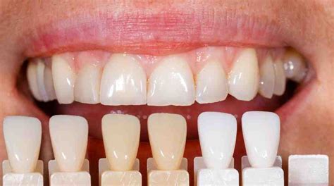
¿Se Pueden Blanquear las Carillas Dentales?
Las carillas dentales pueden perder su brillo original o mancharse, si eso te ha pasado te estarás preguntando si es posible blanquear las carillas dentales. ¡Sigue leyendo y descúbrelo! Es importante tener en cuenta que las carillas, ya sean de porcelana o composite, no responden a los agentes blanqueadores que se usan en los dientes naturales. De hecho, usar productos blanqueadores en carillas puede causar daños en su superficie, haciéndolas más propensas a mancharse en el futuro.
Aunque no es posible blanquear las carillas de la misma manera que los dientes naturales, existen métodos efectivos para mantenerlas libres de manchas y en óptimas condiciones. La clave está en la higiene bucal adecuada, la reducción del consumo de alimentos y bebidas que puedan mancharlas, y las visitas regulares al odontólogo. Con los cuidados adecuados, las carillas pueden mantener su apariencia estética durante muchos años, asegurando una sonrisa blanca y saludable.
Problemas Comunes de las Carillas Dentales
Las carillas dentales ofrecen múltiples beneficios que van más allá de mejorar la estética de tu sonrisa. Pero si no son colocadas correctamente o no se les brinda el cuidado necesario pueden generar algunos problemas como:
- Poco espacio entre los dientes: cuando las carillas no son colocadas por un especialista en estética dental, puede ocurrir que te coloquen un recubrimiento un poco más grande que tus dientes. Esto genera como consecuencia un espacio muy reducido entre las piezas, lo que a su vez aumenta la posibilidad de desarrollar gingivitis, caries y otros problemas de salud bucal.
- Color irregular: Si consumes muchos alimentos con alta pigmentación y no mantienes una buena rutina de higiene dental en poco tiempo tus carillas pueden empezar a mancharse u oscurecerse.
- Rotura: Las carillas dentales pueden romperse por distintos motivos. Algunos de los más comunes son por morder alimentos duros como hielo, contusiones o impactos muy fuertes y como consecuencia del bruxismo. Dependiendo de la gravedad del caso el dentista puede reemplazar la carilla o repararla.
- Sensibilidad: Es muy común que los pacientes presenten mayor sensibilidad después de colocarse las carillas. Esta sensación desaparece después de unos días. En caso de que la sensibilidad continúe, consulta con tu dentista.