El tabaco es uno de los principales responsables del deterioro de la estética dental. Uno de los problemas más comunes entre los fumadores es la aparición de manchas en los dientes por tabaco, que no solo afectan la apariencia de la sonrisa, sino que también pueden ser indicativos de problemas de salud bucal. Esas manchas amarillentas no solo afectan la estética, sino también nuestra confianza al sonreír. En este artículo, te contamos cómo prevenir, tratar y eliminar estas manchas, ofreciéndote soluciones profesionales y consejos prácticos para mantener una sonrisa brillante y saludable.

¿Por qué aparecen las manchas en los dientes por tabaco?
Las manchas en los dientes por tabaco se originan por la acumulación de nicotina y alquitrán, dos sustancias presentes en los cigarrillos que se adhieren a la superficie del esmalte dental. La nicotina, aunque es incolora, adquiere un tono amarillento al entrar en contacto con el oxígeno, mientras que el alquitrán contribuye a la formación de manchas más oscuras.
Estas manchas pueden variar en intensidad, desde un amarillo claro hasta un marrón oscuro, dependiendo de la frecuencia del consumo de tabaco y de la higiene bucal del fumador. Además, estas sustancias penetran en los poros del esmalte dental, lo que hace que las manchas sean difíciles de eliminar con métodos caseros convencionales.
Cómo prevenir las manchas de tabaco en los dientes
Aunque la mejor forma de prevenir las manchas en dientes de tabaco es abandonar el hábito de fumar, hay algunas medidas que pueden minimizar su aparición. Si bien estas medidas pueden retrasar la aparición de las manchas en los dientes por tabaco, es importante recordar que ninguna solución será completamente eficaz si el tabaquismo continúa. Por ello, mantener una rutina constante de cuidado bucal y considerar opciones para abandonar el hábito son pasos esenciales para preservar tanto la estética como la salud dental.
Aquí te ofrecemos algunos consejos clave:
- Higiene bucal rigurosa: Buenos hábitos de higiene dental contribuyen a eliminar los residuos que las sustancias del tabaco dejan en la superficie de los dientes. Cepillar los dientes al menos dos veces al día, utilizando una pasta dental con fluoruro y un cepillo de cerdas suaves. Usar hilo dental diariamente para eliminar la placa y las bacterias entre los dientes. Enjuagarse con un colutorio antibacteriano después de cepillarse los dientes.
- Visitas regulares al dentista: Las visitas regulares al dentista son otro componente clave para prevenir la acumulación de manchas. Realizar limpiezas dentales al menos una vez al año, no solo elimina las manchas superficiales, sino que también permite detectar y tratar problemas dentales asociados al tabaquismo antes de que se agraven.
- Evitar alimentos y bebidas que manchen los dientes: Evitar alimentos y bebidas que puedan manchar los dientes, como el café, el té, el vino tinto y los refrescos de cola.
¿Los fumadores pueden hacer blanqueamiento dental?
Opciones de tratamiento profesional
Si las manchas ya se han establecido, es necesario recurrir a tratamientos profesionales para eliminarlas. Lo fundamental para devolver la blancura a la dentadura de un fumador es acudir de forma periódica a la consulta del dentista. Los odontólogos estudiarán cada caso de forma particular ofreciendo las soluciones más adecuadas para revertir los efectos del tabaco en sus dientes.
1. Limpieza dental profesional
Una limpieza dental profesional es el primer paso para combatir las manchas en los dientes por tabaco. Durante este procedimiento, el odontólogo elimina el sarro y las manchas superficiales mejorando considerablemente el aspecto de los dientes. Las limpiezas dentales eliminan y reducen la placa bacteriana y el sarro de los dientes. Este tratamiento es mucho más efectivo si el paciente deja el tabaco ya que al dejar de fumar se blanquean los dientes.

2. Blanqueamiento dental
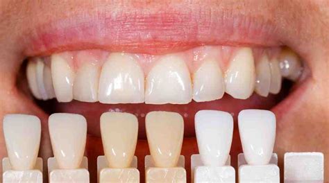
El blanqueamiento dental es una opción fantástica para quienes desean revertir los efectos del tabaco en sus dientes. El blanqueamiento dental es uno de los tratamientos más populares para tratar las manchas en los dientes por tabaco. Este procedimiento consiste en aplicar un gel blanqueador a base de peróxido de hidrógeno o peróxido de carbamida, que penetra en el esmalte dental y descompone las moléculas que causan las manchas.
Además de mejorar visualmente tu sonrisa, también puede tener un impacto positivo en tu salud bucal general. En el blanqueamiento dental para fumadores aplicamos un proceso especializado donde buscamos eliminar las manchas que el tabaco deja en los dientes. Este tratamiento se adapta específicamente a las necesidades de quienes fuman, considerando los daños adicionales que el tabaco puede causar en el esmalte y las encías.
Tipos de blanqueamiento dental:
- Blanqueamiento en clínica: El blanqueamiento dental en consulta emplea peróxido de hidrógeno de mayor concentración, con aislamiento de encías y dientes bien secos. En fumadores, primero realizamos profilaxis para retirar biofilm y pigmentos del tabaco; así el gel actúa donde importa. La sesión suele durar 45-60 minutos con aplicaciones sucesivas y monitorización de la sensibilidad.
- Blanqueamiento con férulas en casa: El uso de férulas a medida con peróxido de carbamida o hidrógeno a baja/mediana concentración permite un aclarado progresivo, cómodo y seguro. Para quien sigue fumando o está reduciendo, esta modalidad ofrece control del ritmo, menos picos de sensibilidad y la posibilidad de “tocar color” sin volver a empezar de cero.
- Enfoque mixto: Un arranque potente en clínica seguido de días/semanas con férulas en casa es, a día de hoy, la estrategia más sólida para el blanqueamiento dental en fumadores. Se logra un “empujón” inicial y luego se consolida el tono con dosis moderadas que reducen sensibilidad y estabilizan el resultado.
3. Carillas dentales
Cuando las manchas son persistentes y no responden a otros tratamientos, las carillas dentales son una excelente solución. Las carillas dentales son láminas de porcelana o composite que recubren la cara visible o vestibular del diente afectado.
Estas finas láminas de porcelana o composite se colocan sobre la superficie de los dientes, ocultando las manchas en los dientes por tabaco. Además de corregir las manchas, las carillas dentales pueden mejorar la forma, el tamaño y la alineación de los dientes. En Clínica RiosDent recomendamos para este tipo de casos la colocación de carillas de porcelana, puesto que los pacientes que acuden con esta problemática ya tienen la dentadura formada. Existen dos tipos de carillas dentales de porcelana: ultrafinas o de porcelana zirconio.

Remedios caseros para manchas leves
Los remedios caseros y naturales pueden ser muy efectivos si las manchas de nicotina no son demasiado profundas. Para evitar posibles daños y obtener los mejores resultados, siempre es recomendable buscar el asesoramiento de un profesional.
- Bicarbonato de sodio: Mezclar dos cucharadas de bicarbonato de sodio, dos cucharadas de jugo de limón y dos cucharadas de sal marina en un bol. Aplicar en los dientes como si se estuvieran cepillando con ella.
- Agua oxigenada: Verter un poco de agua oxigenada en un vaso y sumergir en ella un bastoncillo de algodón. Con el bastoncillo, frotar la superficie de los dientes. Con el tiempo, los dientes irán adquiriendo un color más blanco.
- Limón: Exprimir el jugo de un limón y mezclarlo con agua. Luego, utilizar esta mezcla para enjuagar la boca. Se recomienda realizar este procedimiento cada noche para blanquear los dientes.
- Cáscara de naranja: Frotar la parte interior de la cáscara de naranja sobre los dientes para ayudar a aclarar y eliminar la suciedad.
- Polvo de cúrcuma: Utilizar cúrcuma en polvo antes de acostarse, ya que puede manchar la lengua durante unos minutos después del cepillado.
- Fresas: Triturar unas fresas y mezclarlas con bicarbonato de sodio para aprovechar las enzimas málicas que pueden eliminar las manchas.
El tabaco y la salud bucodental: Más allá de las manchas
No todos los problemas bucodentales asociados al consumo de tabaco son visibles, como los dientes amarillentos o las encías oscuras. Fumar deja las encías expuestas a un ataque bacteriano, por lo que las infecciones son mayores en los fumadores que en los no fumadores. Tanto es así que hasta un 40% de los casos de periodontitis crónica se pueden relacionar con el consumo de tabaco. Otra de las transformaciones visibles que sufren las encías es su oscurecimiento, por eso es probable que muchas personas tengan las encías oscuras por fumar. Esto es un efecto vasoconstrictor que se produce por la falta de riego sanguíneo y oxígeno en la zona, aumentando la resistencia de las bacterias en la cavidad bucal y la posible destrucción de tejido gingival.
Otros problemas incluyen:
- Periimplantitis
- Mal aliento
- Aumento de posibilidades de padecer cáncer oral
- Caries por tabaquismo

Recomendaciones post-tratamiento de blanqueamiento dental
Las primeras 48-72 horas tras el blanqueamiento dental marcan la diferencia. El esmalte está más susceptible a captar pigmentos, así que conviene optar por “dieta blanca” y aparcar temporalmente café, té, vino tinto, salsas oscuras y cítricos. En fumadores, ese mismo margen es crítico: evitar el tabaco reduce el “rebote” de color. Arroz, pasta clara, pollo, pescado blanco, lácteos y agua son apuestas seguras.
Otros consejos importantes:
- Si “necesitas” café, toma uno pequeño, frío y con pajita, y enjuaga con agua después.
- Evita enjuagues con colorantes y bebidas muy ácidas porque favorecen la captación de pigmentos.
- Lo ideal es no fumar en esas 72 h; si no es posible, retrasa el primer cigarrillo del día, reduce cantidad y enjuaga con agua tras cada exposición.
- Más saliva = más defensa: hidrátate bien y mastica chicles con xilitol tras comidas pigmentadas.
- Pasta con nitrato potásico dos veces al día, gel de fluoruro en férula 10-15 minutos y, si hace falta, alternar días de uso del gel aclarador.
- Cepillado suave con filamentos blandos, nada de colutorios alcohólicos, evita contrastes térmicos “de golpe y porrazo” y usa agua templada.
- Cepilla 2-3 veces/día con técnica delicada, limpia los espacios con hilo o interdentales y elige pastas de baja-moderada abrasividad (RDA contenido) para no “lijar” un esmalte recién aclarado.
- Colutorios sin colorantes y, si procede, geles remineralizantes con calcio/fosfato o fluoruro ayudan a sellar la superficie y a bajar la sensibilidad.
Mantenimiento a largo plazo
Tras alcanzar el color objetivo, los “top-ups” (Las sesiones de mantenimiento) con férulas 1-2 noches/mes y limpiezas periódicas mantienen la ganancia, especialmente si el paciente sigue fumando o está en transición. Los “top‑ups” mensuales con férulas (1-2 noches con gel suave), sumados a limpiezas profesionales y pulidos, mantienen el resultado y evitan empezar de cero cada año.
Recomendaciones adicionales:
- Limpia la férula con agua fría y jabón neutro, nada de calor (se deforma) ni pastas abrasivas. Sécala y guárdala en caja ventilada.
- El gel, siempre refrigerado y bien cerrado para preservar potencia. Aplica una “lágrima” fina por diente; si rebosa a encía, sobra producto.
- Cada cigarrillo menos ayuda a tu blanqueamiento dental y a tu salud. Si lo ves cuesta arriba, podemos derivarte a programas de cesación, ajustar mantenimientos más frecuentes y usar colutorios neutros para la “ansiedad oral”.
Factores que influyen en el precio del blanqueamiento dental para fumadores
El precio se puede evaluar en la primera visita, antes solo puede ser orientativo. En fumadores, suele ser necesaria una profilaxis completa (ultrasonidos, pulido o aeropulido) para retirar pigmento de tabaco y cálculo antes del blanqueamiento dental. Más placa y más tinción implican más tiempo de sillón y material, y eso suma en la partida final. No pesa igual un manchado superficial que años de nicotina y alquitrán infiltrados en microfisuras. Cuanto más profunda y extensa es la pigmentación, más aplicaciones en clínica o más noches de férula habrá que programar y, por tanto, el precio sube.
El precio final dependerá de cinco ejes:
- Severidad de mancha por tabaco
- Modalidad (clínica, férulas o combinado)
- Sesiones/tiempo
- Materiales y protecciones
- Necesidades de mantenimiento/recambio estético
Empastes, carillas o coronas no aclaran con peróxidos. Si tras el blanqueamiento dental el diente natural queda más claro, quizá toque recambiar restauraciones visibles para igualar el tono. Esa armonización se presupuesta aparte y se planifica cuando el color ya está estable (criterio de Sturdevant).