Un retenedor dental fijo despegado puede ser una preocupación, pero existen soluciones efectivas para abordar este problema. Sinceramente, los retenedores rotos son molestos y no cualquier persona tolera esta situación. Este es un problema frecuente por el que han llegado a pasar muchísimas personas. Así pues, si este es tu caso y necesitas saber cómo arreglar un retenedor roto, ¡No te preocupes! Como todo en la vida, esto también tiene solución.
Un retenedor fijo en odontología es una herramienta esencial para mantener la alineación de los dientes después de un tratamiento de ortodoncia. Si acabas de terminar un tratamiento de ortodoncia o estás pensando en ello, es importante que sepas qué son los retenedores dentales y por qué son fundamentales para mantener tu sonrisa alineada. Descubre en este artículo todo lo que necesitas saber sobre ellos: tipos, usos y consejos para cuidarlos.

¿Qué es un Retenedor Dental?
Un retenedor dental es un dispositivo que tiene como objetivo mantener la posición correcta de los dientes después de un tratamiento de ortodoncia. Su función principal es evitar que los dientes vuelvan a su posición original, algo que puede ocurrir debido a la memoria de los tejidos dentales y a la tendencia natural de los dientes a volver a sus posiciones originales. Los retenedores son indispensables para conservar los resultados mantenidos por cualquier tipo de ortodoncia.
Funciones principales:
- Mantener los dientes en su nueva posición.
- Prevenir la recidiva, es decir, la vuelta de los dientes hacia su posición anterior.
Cuanto ⌛️TIEMPO se debe usar los RETENEDORES DENTALES -Tipos de RETENEDORES despues de los Brackets!
Tipos de Retenedores Dentales
Existen diferentes tipos de retenedores dentales, diseñados para adaptarse a las necesidades concretas de cada paciente. Los más comunes son los retenedores fijos (finos alambres que se fijan a los dientes) y los retenedores removibles tipo Essix, que son unas férulas transparentes que deben usarse un número mínimo de horas al día.
- Este tipo de retenedor está hecho de metal y acrílico.
- El retenedor removible (tipo Essix) está hecho de plástico transparente y, a simple vista, es como un alineador transparente. De hecho, muchos pacientes lo prefieren porque es menos visible que un retenedor Hawley.
- Son invisibles, por lo que no pueden ser vistos por otras personas. Requieren una higiene bucal más exhaustiva. Al principio, pueden molestar en la lengua.
Removibles: el ortodoncista toma una impresión de la boca para fabricar el retenedor a medida.
Fijos: estos retenedores no son personalizados.
Retenedores removibles: en la fase inicial, durante el primer o los primeros meses, suelen llevarse todo el día, excepto para comer y cepillarse los dientes.
Retenedores fijos: permanecen en la boca de manera permanente.
El uso de los retenedores debe ser personalizado, ya que cada paciente tiene unas necesidades concretas.

Diferencias entre Retenedores Fijos y Removibles
Las diferencias entre retenedores fijos y removibles son fundamentales en el campo de la ortodoncia y pueden influir en el éxito a largo plazo del tratamiento.
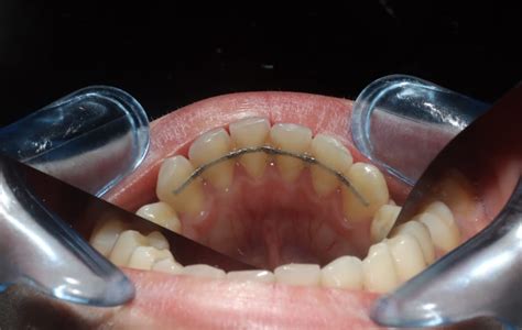
Retenedores Fijos
Los retenedores fijos, como su nombre indica, están permanentemente adheridos a la parte posterior de los dientes y son invisibles a simple vista. Su principal ventaja es que no dependen de la responsabilidad del paciente, ya que no se pueden quitar y olvidar.
Retenedores Removibles
Por otro lado, los retenedores removibles son dispositivos que el paciente puede quitar y poner. Estos son visibles y generalmente se usan durante períodos específicos del día o la noche. La ventaja de los retenedores removibles es que son más cómodos y fáciles de limpiar.
¿Qué Hacer si se Despega o Rompe un Retenedor?
El manejo de un retenedor fijo roto es una preocupación común para quienes han pasado por un tratamiento de ortodoncia. Que se despegue un retenedor dental fijo es una de las urgencias de ortodoncia más comunes que nos podemos encontrar. Que un retenedor fijo se despegue puede ser un problema, pero no necesariamente peligroso si se actúa rápidamente. Este tipo de retenedor, colocado detrás de los dientes para mantener su posición tras un tratamiento de ortodoncia, puede perder su adhesión debido al desgaste natural o malos hábitos, como morder objetos duros.
Pasos a seguir:
- Mantén la calma. Es importante no entrar en pánico.
- Contacta a tu ortodoncista de inmediato. Cuando te encuentres en esta situación, lo primero que debes hacer es programar una cita con tu ortodoncista o dentista de inmediato. El profesional evaluará la extensión del daño y determinará si es posible una reparación. Además, si tu caso es de urgencia debes acudir en el menor tiempo posible para así ser atendido en la mayor brevedad.
- Evita tocar el retenedor.
Si se ha descementado en algunos de los dientes, además de las consecuencias descritas, podrías sufrir heridas en tejidos blandos como la lengua o el labio por el fragmento de alambre despegado.
Si la reparación es viable, el dentista utilizará adhesivos dentales especiales para volver a fijar el retenedor a tus dientes. Si el retenedor está severamente dañado y la reparación no es una opción, se confeccionará un nuevo retenedor. En situaciones en las que la reparación no sea posible, se realizará la confección de un nuevo retenedor.
¿Se puede reparar un retenedor en casa?
Reparar un retenedor fijo en casa no es recomendable debido a su delicadeza. Pegar un retenedor fijo en casa no es la opción más recomendada, ya que se necesita la experiencia y el equipo adecuado para hacerlo de manera segura y efectiva.
En caso de rotura grave:
- Si la rotura es grave, se podría considerar un nuevo retenedor temporal mientras se espera la solución definitiva.
- No intentes quitar un retenedor fijo en casa. Esto debe ser realizado exclusivamente por un profesional dental para evitar daños o problemas de alineación.
¿Qué hacer si el retenedor removible se rompe?
Ante una rotura de un retenedor removible, no intentes arreglarlo tú mismo. Contacta a tu ortodoncista o dentista inmediatamente. El profesional evaluará si es reparable y, en caso afirmativo, lo hará con los materiales adecuados.
Primeros Auxilios en Caso de Rotura
Primeramente, debes revisar el estado en el que se encuentran los alambres de tu bracket roto. Después, si se encuentran muy mal corta con un cortaúñas el área con el que pueda lastimarte tus encías o boca. 👨⚕️ Ante este punto, debemos decir que es lo más sensato que puedes hacer.
Riesgos de un Retenedor Roto o Despegado
- Desplazamiento dental. Los dientes siempre intentan recuperar su posición original después del tratamiento.
- Daño a los tejidos blandos. Si se ha descementado en algunos de los dientes, además de las consecuencias descritas, podrías sufrir heridas en tejidos blandos como la lengua o el labio por el fragmento de alambre despegado.
- Higiene oral.
- Movimiento dental. Tus dientes son más vulnerables al movimiento justo después de haber terminado el tratamiento de ortodoncia, ya sea con brackets o con alineadores transparentes.
- Molestias o dolor.
- Alambre suelto.
Cuidado y Mantenimiento de los Retenedores
Mantener el retenedor en buen estado es crucial para garantizar que los resultados del tratamiento de ortodoncia se mantengan a largo plazo.
Medidas preventivas:
- Revisiones periódicas. Es muy importante realizar revisiones periódicas cuando se ha llevado aparato, ya que los dientes después de moverlos tienen una tendencia natural a volver a su situación anterior.
- Evita alimentos duros. Así que, debes evitar en lo posible los alimentos que sean duros. En el caso de los retenedores fijos es recomendable evitar alimentos duros que podrían provocar su rotura.
- Si practicas deportes de contacto, considera el uso de un protector bucal para evitar daños al retenedor y los dientes.
- Limpieza diaria. Lava tu retenedor removible diariamente con un cepillo suave y agua tibia. Tanto la placa Hawley como los retenedores tipo Essix se pueden retirar para la limpieza diaria. Asegúrate de limpiar el retenedor tan pronto como te lo quites de la boca, mientras sigue húmedo. Utiliza un cepillo de cerdas blandas, diferente a tu cepillo de dientes, para cepillar suavemente el retenedor con agua tibia después de cada comida. No utilices pastas dentales porque son abrasivas y pueden rayar la superficie del retenedor. Usa un cepillo especial para limpiar prótesis dentales. Si notas que hay restos en el retenedor que no se desprenden, llévalo a tu dentista.
- Almacenamiento adecuado.
Asegúrate de que tus dientes estén limpios y secos. Examina cuidadosamente el retenedor en busca de roturas, grietas o partes sueltas. Si el retenedor parece estar en buenas condiciones, podrías aplicar un poco de adhesivo dental que puedes adquirir en una farmacia. Coloca el retenedor en su lugar adecuado, siguiendo las indicaciones de tu ortodoncista.
Un retenedor dental puede despegarse debido desgaste natural, mordida incorrecta, manipulación indebida, alimentos duros o mal cuidado bucal.

Fase de Retención en Ortodoncia
La fase de retención es la última fase de la ortodoncia, y se inicia cuando se han retirado los aparatos. Para mantener los dientes en la posición correcta se utilizan unos retenedores especiales. Es la fase que viene justo después del tratamiento activo de ortodoncia. Y es tan importante, o más, que el tratamiento en sí mismo, porque es en esta fase en la que se estabilizarán los resultados que hemos conseguido con tanto esfuerzo.
Es muy importante realizar revisiones periódicas cuando se ha llevado aparato, ya que los dientes después de moverlos tienen una tendencia natural a volver a su situación anterior. Ésta situación la controlamos llevando los aparatos de retención por las noches, al menos durante el primer año sin brackets.
Los aparatos que se suelen utilizar en la fase de retención pueden ser fijos o removibles. La diferencia es que los fijos van como su término indica no se pueden quitar, mientras que los removibles se pueden quitar y poner.
| Tipo de Retenedor | Descripción | Ventajas | Desventajas |
|---|---|---|---|
| Retenedor Hawley | Aparato de resina y alambre con paladar. | Usado en niños con dentición mixta y adultos con férula de descarga. | Puede ser voluminoso y visible. |
| Férula o Essix | Aparato transparente, sin paladar. | Casi imperceptible a la vista, cómodo. | Requiere limpieza y cuidado regular. |
| Retenedor Fijo | Alambre delgado pegado en la parte interna de los dientes. | Invisible, no depende del paciente. | Requiere evitar alimentos duros y cuidado al usar hilo dental. |
Otras Urgencias de Ortodoncia
Aunque el retenedor dental fijo despegado es una de las urgencias de ortodoncia más generalizadas, también hay muchas otras sobre las que te queremos informar para que sepas qué hacer exactamente en cada caso.
- Bracket despegado: Al igual que el retenedor dental fijo, el bracket también se puede despegar si comes algo duro o si te das un golpe. Guarda el bracket y pide cita con nuestro dentista.
- Llagas por el roce de los brackets: Es bastante común que al ponerte brackets te aparezcan heridas y llagas en el interior de la boca. Para evitarlo usa cera dental sobre los brackets que te está molestando y así suavizará su superficie.
- Sangrado de encías: Con el aparato o el retenedor dental fijo las encías no deben sangrar. Si lo hacen es porque están inflamadas por la acumulación de placa bacteriana, y la solución es llevar una mejor higiene dental y utilizar cepillos adaptados a tu tratamiento.
- Los alineadores invisibles se han roto o se han perdido: Si se te ha dañado o perdido un alineador invisible, pide cita para valorar tu caso.
Sea cual sea la urgencia que tengas con tu retenedor dental fijo despegado o con tu ortodoncia en general, acude siempre a un profesional dental.