Si estás buscando maneras de mejorar la estética de tu sonrisa, las carillas dentales se han convertido en una alternativa muy popular en los últimos años. Dentro de las opciones disponibles, las carillas de composite destacan por ser una de las alternativas más económicas en el mercado. En este artículo, te explicaremos qué son, cuánto duran y los cuidados necesarios para que puedas elegir la opción más conveniente.

¿Qué son las Carillas de Composite?
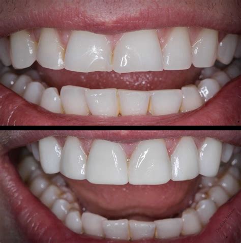
Las carillas de composite son un tipo de tratamiento estético diseñado para restaurar dientes dañados, manchados, astillados o desgastados. Este procedimiento consiste en colocar directamente una capa delgada de material sobre los dientes, imitando la forma y el color de los dientes naturales, para diseñar una sonrisa con una apariencia renovada y hermosa. Es un procedimiento personalizado, mínimamente invasivo y por lo general no requiere del uso de anestesia.
Materiales Utilizados
Las carillas de composite están elaboradas con resina compuesta que se moldea sobre el diente. Es un material parecido al que se utiliza para los empastes dentales. Se trata de una mezcla de resina de plástico y partículas de cerámica, que le confiere propiedades como la maleabilidad y la resistencia.
Principales Usos en Estética Dental
Las carillas de composite son efectivas para mejorar la apariencia de la sonrisa, sirven para:
- Eliminar manchas producidas tanto por medicamentos, problemas con el esmalte dental o causadas por la alimentación.
- Cerrar pequeños espacios entre los dientes.
- Mejorar el color de los dientes y darle un aspecto más natural.
- Mejorar el aspecto de dientes dañados, astillados o fracturados.
- Corregir apiñamiento leve o dientes ligeramente torcidos.
- Mejorar la apariencia de dientes muy pequeños, o muy grandes, o con una forma irregular.

Duración de las Carillas de Composite
Las carillas dentales de composite representan una alternativa efectiva para quienes desean tener una sonrisa hermosa sin una inversión tan elevada. Pero en vista que son más económicas que otros tipos de carillas, creemos indispensable que conozcas algunos aspectos que pueden influir en su durabilidad.
Factores que Influyen en la Durabilidad
- La calidad de la resina con la que estén elaboradas.
- La experiencia y técnica aplicada por el dentista especialista en cosmetología dental.
- El grosor de la carilla. Mientras más gruesa resultan más duraderas, pero ello también implica que el diente necesita mayor preparación.
- Una rutina de cuidado dental adecuada y cumplir con las visitas para las revisiones periódicas con el dentista.
- Los hábitos alimenticios.
Carillas Dentales Vs Diseño de Sonrisa | Lo que tienes que saber antes de decidir
Comparativa con Otros Tipos de Carillas
Las carillas de composite son la opción más barata entre los tipos de carillas, mientras que las de porcelana son las de mayor precio. En cuanto a la durabilidad, las de porcelana resultan más resistentes y pueden llegar a durar entre 15 y 20 años, mientras que las de composite tienen una duración menor, que va entre 5 y 10 años.
Las carillas de porcelana requieren de varias sesiones para completar el proceso de colocación, mientras que en una sola consulta puedes salir con una sonrisa nueva si eliges las carillas de composite. Como ya mencionamos, las carillas de composite son menos duraderas que las de porcelana, pero si se daña o se agrieta alguna pieza de composite se puede reparar, a diferencia de la porcelana que necesitará ser reemplazada.
En cuanto al aspecto, aunque ambas opciones lucen bien, definitivamente las carillas de porcelana se parecen mucho más a los dientes naturales en forma y color.
Duración Estimada en Condiciones Óptimas
Los factores que mencionamos antes, como el material, el método de colocación y los hábitos del paciente, influyen directamente en la duración de las carillas de composite. Si cumples con los cuidados e indicaciones del dentista, las carillas de composite pueden durar hasta 10 años.
Cómo Cuidar las Carillas de Composite
El material utilizado para las carillas dentales suele ser bastante resistente, pero si no se mantiene una buena higiene bucodental, estas piezas no se conservarán en buen estado. Las carillas dentales requieren una inversión económica, por lo que es importante cuidarlas adecuadamente para prolongar su vida útil. Si llevas carillas dentales, te recomendamos leer con mucho detalle este artículo.
Higiene Bucal para Prolongar su Duración
Una rutina de higiene dental es esencial para cuidar las carillas de composite. Cepillarse al menos dos veces al día, con una técnica y un cepillo de dientes adecuado ayudará a mantener en mejor estado las carillas a largo plazo. Complementar el cepillado con hilo dental, evita la acumulación de comida entre los dientes. Además, se debe evitar el uso de pasta de dientes abrasiva.

Hábitos Alimenticios y su Impacto
Para mantener tus carillas en óptimo estado no abuses del café, vino tinto, té, refrescos, frutos rojos, el chocolate y las salsas. Los alimentos duros, pegajosos o crujientes pueden dañar las carillas. También debes evitar morder o cortar objetos con los dientes y rechinarlos. Mucha precaución con los alimentos difíciles de masticar.
En palabras de nuestra especialista, la Dra. Eugenia Cervantes, las carillas o microcarillas de composite no son para nada compatibles con el tabaco. Si el paciente es fumador las carillas de composite tendrán menor duración. El consumo excesivo de café, vino tinto, té, refrescos, salsa de soja, curry, frutos rojos no favorece a la resistencia de tus microcarillas.
Recomendaciones para Evitar Manchas
Ciertos hábitos como fumar pueden provocar manchas en las carillas. Además, el consumo en exceso de bebidas como el café, el té, refrescos oscuros y otros alimentos con colorantes, como la salsa de tomate o la mostaza.
Frecuencia de las Revisiones Dentales
Es importante pasar una revisión anual con el dentista. Es importante que tu odontólogo revise el estado de tus carillas y de tu boca en general por lo menos 1 vez al año. Acudir a la consulta de revisión de acuerdo a lo recomendado por el especialista, es importante para controlar la evolución del tratamiento, así como hacerse limpiezas dentales profesionales, que eviten la acumulación de placa alrededor de las carillas.
Otros Cuidados Importantes
- Evitar apretar los dientes: Ya que esto puede provocar astillamientos y fracturas en las carillas.
- Evitar morder objetos duros o las uñas: Ya que esto puede dañar tanto las carillas como los dientes naturales.
- Usar tus dientes como una herramienta: Puede ser perjudicial para tus carillas. Evita morderte las uñas, morder hielo, morder los bolis, abrir bolsas, envolturas y objetos con la boca.
Ventajas y Desventajas de las Carillas de Composite
Aunque es un procedimiento efectivo y que ofrece resultados exitosos, antes de elegir las carillas de composite, es necesario saber sus beneficios y limitaciones, así estarás seguro de que son la opción adecuada para ti.
Beneficios en Estética y Accesibilidad
Las carillas de composite ofrecen una apariencia similar a los dientes naturales, a un precio más accesible que otros tipos. Además, se trata de un procedimiento rápido, que requiere poco tiempo de recuperación y menor preparación de los dientes reales.
Limitaciones y Posibles Problemas
Las carillas de composite son más susceptibles a romperse o astillarse. Por otra parte, pueden sufrir daños por efectos de la masticación o por mucha fricción, en pacientes con bruxismo, por ejemplo. También, se pueden manchar más fácilmente por efectos de bebidas y comidas de color oscuro o con colorantes.
Tabla Resumen de Cuidados y Duración
| Aspecto | Carillas de Composite |
|---|---|
| Duración | 5-10 años |
| Higiene Bucal | Cepillado regular, hilo dental, evitar pastas abrasivas |
| Alimentos a Evitar | Duros, pegajosos, con colorantes fuertes |
| Revisiones Dentales | Cada 6-12 meses |
| Hábitos | Evitar fumar, morder objetos, usar dientes como herramientas |
Antes de decidir si las carillas de composite son lo que necesitas, no dejes de tener en cuenta toda la información que te hemos suministrado en este artículo, desde saber qué son, hasta cuánto duran y cuidados necesarios. Todo esto te permitirá tomar la mejor decisión, sabiendo que son una opción económica que ofrece resultados estéticos óptimos.