Tener una sonrisa bonita y armoniosa es muy importante, especialmente en una sociedad donde el físico es nuestra carta de presentación al mundo. Las claves principales para una sonrisa perfecta son tener los dientes bien alineados, que se puede conseguir mediante un tratamiento de ortodoncia, y que sean más blancos que amarillentos, pues los dientes con manchas o amarillentos envejecen la sonrisa. Esto último podemos lograrlo gracias al blanqueamiento dental, un tratamiento cada vez más solicitado.
Las encías también forman parte de nuestra sonrisa y, aunque su color varía de una persona a otra, lo habitual es que tengan un color rosado. Si se encuentran enrojecidas, inflamadas o retraídas, además de denotar un problema importante de salud bucodental, estropean la sonrisa. Las encías negras o melanosis gingival no tienen por qué suponer necesariamente un problema de salud bucodental, pues en las encías, como en la piel, también tenemos melanocitos, responsables de la pigmentación de nuestra piel y encías.
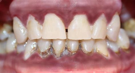
Las manchas negras en las encías, una alteración conocida también con el nombre de melanosis gingival, pueden afectar significativamente a la estética de la sonrisa. En pocas ocasiones, las encías negras suponen un problema de salud. Sin embargo, las manchas negras en las encías también pueden estar asociadas a problemas de salud o la toma de ciertas medicaciones.

Causas de las Encías Negras
Existen varias razones por las cuales las encías pueden volverse oscuras. Al igual que la coloración de la piel, la pigmentación de las encías puede ser influenciada por factores genéticos. Un aumento en la producción de melanina puede causar que las encías se vuelvan más oscuras.
Diversos factores pueden contribuir a la aparición de manchas negras en las encías. Es importante comprender los orígenes de este problema para tomar las medidas adecuadas.
Las encías negras pueden aparecer por melanina, tabaco, medicamentos o enfermedades.
Los motivos de que las encías se vuelvan negras pueden ser de diferente índole.
1. Melanoplaquia
La melanoplaquia es el nombre que recibe la mayor concentración de melanina en algunas personas. Simplemente, hay personas que tienen una mayor cantidad de melanina en las encías, lo que hace que estas sean más oscuras o negras. La melanoplaquia es una causa genética. Generalmente es hereditaria y no suele ser síntoma de problemas de salud.
2. Tabaquismo

Fumar tabaco tiene graves consecuencias para nuestra salud en general y eso incluye la salud de nuestros dientes y encías. El tabaquismo puede estar detrás de diversos problemas de salud oral, como las encías retraídas, caries, gingivitis y periodontitis, etc., dañando la mucosa de la boca por la acción de las toxinas que contiene. El tabaquismo puede causar una condición llamada melanosis del fumador, que surge como resultado de la exposición persistente a ciertas sustancias presentes en los cigarrillos. En estos casos, las tinciones oscuras suelen manifestarse en el sector anterior (delantero) de la encía.

3. Medicamentos
Los medicamentos tienen efectos secundarios y algunos de ellos pueden provocar el cambio de pigmentación de nuestras encías. Algunos medicamentos pueden tener efectos secundarios que incluyen cambios en la coloración de las encías. Determinados fármacos pueden tener como efecto secundario la hiperpigmentación de las encías y la aparición de manchas negras.
Un ejemplo son las pastillas anticonceptivas, que, entre su larga lista de efectos no deseados, se encuentra la modificación del color de las encías, pudiendo volverlas grisáceas o incluso negruzcas. Este efecto también se observa en algunos antipsicóticos, anticancerígenos, antipalúdicos y antibióticos.
4. Enfermedades Periodontales
En el proceso de una gingivitis y, si ésta no se trata y avanza, de una periodontitis, lo más habitual es que las encías se encuentren inflamadas, enrojecidas y con facilidad para el sangrado, pero en ocasiones también pueden volverse negras, debido a la acumulación de sarro en la zona subgingival. La enfermedad periodontal, también conocida como periodontitis, es una infección bacteriana grave que afecta las encías y el hueso que sostiene los dientes.
Las enfermedades periodontales (gingivitis y periodontitis) son otra de las principales causas de encías oscuras. Ante la presencia del agente infeccioso, la encía reacciona, entre otras cosas, inflamándose y sangrando.
5. Amalgama Dental
La amalgama era el material más utilizado hace años para realizar las reconstrucciones dentales, pero a día de hoy se utiliza composite o cerámica, materiales mucho más estéticos y resistentes. La amalgama es una combinación de metales, entre ellos mercurio, plata y cobre, que pueden resultar tóxicos para nuestro organismo y provocar reacciones alérgicas. Además, existe el riesgo de que la amalgama se desplace por accidente hacia el interior de la encía produciendo una mancha negra que se conoce como tatuaje metálico. La amalgama de plata es un material fabricado con una mezcla de metales y que se ha utilizado durante décadas para realizar empastes dentales.
Las obturaciones (empastes) de amalgama son otra de las causas de encías oscuras. La amalgama de plata es un material metálico que, si se filtra desde el diente hasta la encía, puede causar manchas oscuras.
Otras causas
- Enfermedad de Addison: Las personas con enfermedad de Addison, un problema endocrino causado por el ataque del sistema inmunitario a los propios tejidos, pueden desarrollar manchas negras en las mucosas, incluyendo las encías.
- Melanoacantoma oral: El melanoacantoma oral es una afección poco común que hace que se desarrollen manchas oscuras en diferentes partes de la boca, incluidas las encías. Se desconoce la causa del melanoacantoma oral, pero parece estar asociado con lesiones causadas por la masticación o la fricción en la boca.
- Cáncer oral: En caso de que las encías negras se deban a algo mucho más grave, como es el caso del cáncer oral o melanoma maligno. El cáncer dentro de la boca también puede causar encías negras.
- Lesiones: Las encías pueden lesionarse como cualquier otra parte de su cuerpo. Caerse de bruces, comer algo con bordes afilados e incluso cepillarse los dientes o usar hilo dental con demasiada fuerza puede dañar las encías.
- Quistes de erupción: Cuando un diente está a punto de erupcionar, puede crear un quiste lleno de líquido. Ese quiste, a veces puede estar compuesto de sangre mezclada con líquido, lo que puede hacer que se vea morado oscuro o negro.
- Nevus azul: Un nevus azul es un lunar inofensivo que es redondo y plano o ligeramente elevado.
Encías moradas: ¿Qué lo causa y cómo tratarlo? | #PBO Salud - Recomendaciones
Tratamientos para las Encías Negras
El tratamiento para las encías negras depende de su causa. Si el oscurecimiento de las encías es causado por enfermedades de las encías, es fundamental tratar la afección subyacente. Si el cambio en el color de las encías es repentino o preocupante, es importante buscar la opinión de un dentista o periodoncista. Es fundamental acudir a un especialista para identificar la causa exacta y optar por el tratamiento adecuado. No es recomendable intentar eliminar las manchas negras sin la orientación de un profesional.
Fundamentalmente, te hemos explicado los tratamientos más utilizados contra las principales causas de las encías negras (melanoplaquia, tabaco y medicamentos).
Existen diversas opciones para abordar este problema y mantener encías saludables y estéticamente atractivas. Si te preocupa el color de tus encías, no dudes en consultar a los profesionales para recibir la orientación y el tratamiento adecuados.
1. Tratamiento Periodontal
Si las manchas negras son causadas por una enfermedad periodontal, el tratamiento principal será limpiar a fondo las encías para eliminar la placa y el sarro. Esto incluye procedimientos como el raspado y alisado radicular, que ayudan a reducir la inflamación y prevenir la pérdida de encía. El tratamiento periodontal actúa prestando especial atención al estado de los dientes y los huesos maxilares, que son los principales afectados por la periodontitis. Solo tratando este oscurecimiento desde el origen, conseguiremos aclarar las encías y evitar daños mayores.
2. Despigmentación de Encías
En casos más graves de hiperpigmentación, los pacientes pueden optar por un tratamiento estético llamado despigmentación de encías. Este procedimiento implica la eliminación de la capa externa de tejido gingival que está causando la mancha, y se realiza mediante técnicas láser o quirúrgicas. Al igual que la mucoabrasión, la despigmentación consiste en retirar la capa superficial de la encía para eliminar el exceso de pigmentación.
La despigmentación quirúrgica es una pequeña cirugía plástica periodontal. Sirve para eliminar el tejido epitelial. Este tratamiento se puede realizar con electrobisturí o con láser.
3. Cirugía Láser
La cirugía láser es uno de los tratamientos más recomendables contra las encías negras. Al utilizar el láser, la intervención es mínimamente invasiva y tiene una recuperación muy rápida. El láser actúa en el exterior de la encía, en la última capa epitelial, que es donde se encuentra el exceso de melanocitos que producen la coloración, y consigue aclarar las encías en varios tonos.
4. Criocirugía
La criocirugía es uno de los tratamientos más novedosos para eliminar las manchas negras en las encías. Consiste en aplicar nitrógeno líquido directamente sobre las encías para congelar su capa superficial.
5. Microabrasión
Otro de los tratamientos para solucionar las encías negras u oscuras es la microabrasión. Tanto la microabrasión como la despigmentación quirúrgica son tratamientos indicados para la melanosis gingival o para las encías oscuras debido al consumo de determinados fármacos.
Otros tratamientos
- Eliminación de tatuajes de amalgama: Para manchas causadas por partículas de amalgama, podemos realizar un procedimiento para eliminar estas partículas de las encías.
- Cirugía menor: En casos más graves, como un nevus melanocítico sospechoso o melanoma oral, podemos realizar una cirugía menor para extirpar la mancha y enviar una muestra para biopsia.
- Blanqueamiento dental: Para casos de hiperpigmentación superficial, el blanqueamiento dental puede ser efectivo.
Prevención de las Encías Negras
En una gran cantidad de casos, las encías oscuras o negras no se pueden prevenir, ya que están causadas por razones genéticas. El tratamiento preventivo es clave para evitar que las manchas en las encías empeoren.
La prevención es clave para mantener una buena salud bucal y evitar la aparición de manchas negras en las encías.
Consejos para la prevención
- Higiene bucal adecuada: Mantener una buena higiene dental es esencial para prevenir manchas y enfermedades. Asegúrate de cepillarte los dientes y encías al menos dos veces al día, usar hilo dental y realizar enjuagues bucales recomendados por tu dentista.
- Evitar el tabaco: Si hay un vicio o hábito dañino para salud y, concretamente, para la salud oral, ese es el tabaquismo.
- Consultar efectos secundarios de medicamentos: Consultar los efectos secundarios de los medicamentos: de esa manera, sabrás de antemano si pueden causar un perjuicio estético en tu boca. Y, en caso de que así sea, tendrás la oportunidad de preguntar al médico si existe otra opción.

¿Cuándo preocuparse por las encías negras?
En general, las encías negras o muy oscuras no suponen un problema para la salud oral de la persona. Sin embargo, algunas personas piensan que son antiestéticas. Sin embargo, las encías moradas o rojas sí que pueden advertir la existencia de un problema de salud: gingivitis o periodontitis. En estos casos, es preferible acudir al odontólogo cuanto antes.
Aspecto de unas encías sanas
Antes de nada, vamos a explicarte qué aspecto deben tener unas encías sanas. En general, unas encías en buen estado presentan un color rosado uniforme. Una encía sana tiene una textura rugosa, como de piel de naranja y de aspecto rosado. Las encías completamente lisas, por el contrario, suelen ser síntoma de que hay inflamación.
Conclusión
Las encías negras pueden generar preocupación, pero es fundamental entender que tienen diversas causas y soluciones. Desde ajustes en el estilo de vida hasta tratamientos especializados, existen opciones para abordar este problema y mantener encías saludables y estéticamente atractivas.