La salud bucodental es un aspecto esencial en el bienestar general. Entre las afecciones que pueden alterarla, podemos encontrar enfermedades como la periodontitis. Esta patología, conocida también como enfermedad periodontal, puede variar en severidad y tipo. Sea como sea, es crucial reconocerla a tiempo y aplicar el tratamiento más oportuno.
👉 PERIODONTITIS o PIORREA: Tratamiento eficaz para CURAR tus ENCÍAS 👄

Tipos de Periodontitis o Enfermedad Periodontal
Antes de nada, es conveniente hacer una breve aclaración sobre qué es la periodontitis:
La periodontitis es una infección específica que daña los tejidos blandos y el hueso que sostiene los dientes. Y su presencia no solo afecta la salud bucodental, sino que también puede tener implicaciones en la salud general. Dicho esto, los tipos de periodontitis principales son la periodontitis crónica, la periodontitis agresiva y la enfermedad periodontal necrosante.
Veamos en qué consisten y cuáles son los síntomas más comunes de cada una de ellas.
Periodontitis Crónica
La periodontitis crónica es el tipo más común de enfermedad periodontal y, generalmente, se desarrolla debido a la acumulación de placa y sarro a lo largo del tiempo. Por otro lado, afecta principalmente a adultos, aunque también puede presentarse en adolescentes y jóvenes. Depende de la profundidad que haya alcanzado y la cantidad de hueso que haya destruido, la periodontitis crónica puede encontrarse en una etapa leve, moderada o avanzada. En este sentido, sus síntomas incluyen:
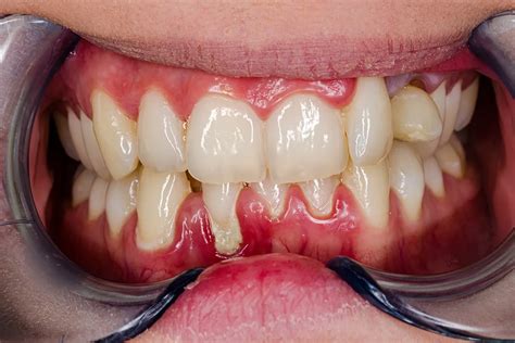
- Sangrado de encías: El primer de los síntomas a mencionar es el sangrado. Y es que se puede observar fácilmente al cepillarse o usar hilo dental.
- Encías inflamadas y rojas: Cuando hablamos de tipos de enfermedad periodontal como esta, las encías se muestran hinchadas y de un color rojo más intenso de lo normal.
- Retracción gingival: Por otro lado, cuando esta enfermedad aparece, las encías se retraen, exponiendo una mayor superficie del diente y, en ocasiones, la raíz.
- Mal aliento persistente: Debido a la acumulación de bacterias, los diferentes tipos de periodontitis crónica derivan en mal aliento.
- Sensibilidad dental: Por último, quien sufre esta enfermedad puede experimentar sensibilidad dental. Esta se manifiesta especialmente al consumir alimentos fríos o calientes.
Es importante recalcar que, este tipo de enfermedad periodontal, se desarrolla lentamente en el tiempo y puede mejorar si es tratada por un profesional de forma mantenida en el tiempo.

Periodontitis Agresiva
La periodontitis agresiva se caracteriza por una pérdida rápida del tejido del soporte óseo. Y, aunque es menos común que la periodontitis crónica, es más severa.
Este tipo de periodontitis está asociada a factores genéticos, enfermedades que afectan a la inmunidad y a factores sistémicos modificantes como la diabetes. Así, sus síntomas incluyen:
- Pérdida rápida de soporte óseo: Este síntoma normalmente se detecta a través de radiografías dentales.
- Movilidad dental: En este tipo de periodontitis los dientes pueden comenzar a moverse o separarse. Es uno de los síntomas más evidentes.
- Encías que no sangran: A diferencia de otros tipos de periodontitis o tipos de enfermedad periodontal, puede haber poca inflamación y sangrado.
- Formación de bolsas periodontales profundas: Otro síntoma suele ser la aparición de espacios entre la encía y el diente que se infectan.
- Pus entre los dientes y las encías: Por último, si surgen brotes de pus, es otro indicativo de infección. Probablemente se trata de periodontitis agresiva.
Enfermedad Periodontal Necrosante
De todos los tipos de gingivitis y periodontitis, este es el menos común y se caracteriza por la necrosis de los tejidos gingivales, del ligamento periodontal y del hueso alveolar. Es más frecuente en personas con sistemas inmunológicos débiles, como aquellos con VIH o desnutrición. Y sus síntomas son:
- Necrosis de tejidos: Como decíamos, los tipos de periodontitis agresiva provocan la muerte de encías, ligamento periodontal y hueso alveolar. Siendo este uno de los síntomas más importantes.
- Dolor severo: Sin duda, a la pregunta qué tipo de periodontitis puede producir dolor, la respuesta es la necrosante. Suele ser más dolorosa que otros tipos de periodontitis.
- Sangrado espontáneo de encías: Otro de los síntomas más llamativos es el sangrado. A diferencia del anterior, quienes padecen esta enfermedad sí sufren sangrado.
- Mal aliento severo: Debido a la necrosis y la infección, de nuevo hablamos de mal aliento.
- Puede presentarse con úlceras en la encía: Por último, y a diferencia de otros tipos de periodontitis, pueden aparecer úlceras necróticas en las encías.

Tratamientos para la Periodontitis
El objetivo principal del tratamiento es controlar la infección. La cantidad y los tipos de tratamientos pueden variar dependiendo de hasta donde se ha extendido la enfermedad de las encías. Cualquiera de las opciones requiere que el paciente continúe con un buen cuidado diario de los dientes en su casa. Entre los tratamientos destaca un método de limpieza profunda llamado raspado y alisado de las raíces.
El raspado consiste en remover el sarro que se ha depositado por encima y por debajo de la línea de las encías. El alisado de la raíz elimina las áreas ásperas que pueda tener la raíz del diente donde se acumulan los gérmenes, ayudando a quitar las bacterias que favorecen la enfermedad. En casos más avanzados y en manos expertas, se debe recurrir a la cirugía, necesaria cuando todavía tiene inflamación y bolsas profundas, a pesar de haber recibido tratamiento con limpieza profunda y medicamentos.
Para solucionar los problemas en nuestras encías siempre debemos consultar con un especialista en periodoncia. Ten en cuenta que la Periodoncia es una especialidad de odontología que trata las enfermedades que afectan a la encía y a los tejidos que dan soporte a los dientes, pudiendo llegar a afectar al hueso y poniendo en peligro nuestra dentadura.
A continuación, se presenta una tabla que resume los tipos de periodontitis y sus síntomas:
| Tipo de Periodontitis | Síntomas Comunes |
|---|---|
| Crónica | Sangrado de encías, inflamación, retracción gingival, mal aliento, sensibilidad dental. |
| Agresiva | Pérdida rápida de soporte óseo, movilidad dental, posibles brotes de pus, encías que no sangran. |
| Necrosante | Necrosis de tejidos, dolor severo, sangrado espontáneo, mal aliento severo, úlceras en la encía. |
tags: #como #detectar #periodontitis