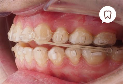
Es probable que hayas visto alguna vez a personas con ortodoncia y unas ligaduras o gomas en los brackets que unen la arcada superior y la inferior. Es común verlas, pero poca gente sabe para qué sirven. En este artículo te explicamos qué son, cómo se ponen, cuánto tiempo hay que llevarlas y para qué sirven estas gomas en los brackets o alineadores.
Elásticos en Ortodoncia 😬 ¿Para qué sirven? ¿Cómo funcionan? - Odontología Láser 🦷
¿Qué son las Gomas Elásticas Intermaxilares?
Las gomas, elásticos o ligaduras intermaxilares son un componente importante durante un tratamiento de ortodoncia y, normalmente, se usan antes o durante el tratamiento. Este tipo de gomas intermaxilares se utilizan para generar fuerzas específicas entre la mandíbula y el maxilar con el fin de corregir desalineaciones dentales o problemas de maloclusión. Su uso es especialmente útil cuando se trata de mejorar la interacción entre la mandíbula y el maxilar y para mejorar estéticamente el perfil facial.
En general, los elásticos intermaxilares desempeñan un papel importante en el tratamiento de ortodoncia, ya que ayudan a conseguir los resultados de manera más rápida y eficaz. Son un complemento importante para acelerar la alineación de los dientes y contribuir a conseguir una sonrisa sana y alineada. Los elásticos en ortodoncia deben cambiarse con regularidad y usarse correctamente para poder conseguir el efecto deseado.

¿Para Qué Sirven las Gomas Intermaxilares en Brackets o Alineadores?
Si también eres de los que se preguntan para qué sirven las gomas intermaxilares de la ortodoncia (brackets o alineadores), estás en el artículo adecuado. La función que desempeñan las ligaduras intermaxilares en ortodoncia depende del diagnóstico de cada caso y de la planificación personalizada del tratamiento, pero os explicaremos los casos más comunes para los que sirven las gomas intermaxilares.
Normalmente, las gomas de los brackets o alineadores sirven para realizar pequeños movimientos en los dientes o cambiar la posición de la mandíbula o el maxilar para conseguir los resultados esperados, tanto a nivel estético como funcional. Cuando se trata de corregir la posición de los huesos, los motivos más comunes para usar elásticos intermaxilares son la corrección de casos de sobremordida o prognatismo. La colocación adecuada de las gomas en la ortodoncia puede desplazar el maxilar o la mandíbula a la posición óptima para conseguir una oclusión adecuada.
Por otro lado, cuando hablamos de movimientos en los dientes, los elásticos intermaxilares también pueden utilizarse para cerrar espacios entre piezas dentales o para mover un diente en concreto, de manera que permite una mejor alineación dental. El efecto de los elásticos en ortodoncia consiste en la aplicación selectiva de una fuerza sobre la mandíbula o el maxilar y los dientes que, gradualmente, provoca movimientos y correcciones planificadas. Es importante llevar las gomas con regularidad y cambiarlas tal y como el ortodoncista indique para alcanzar los resultados en el tiempo esperado.
Tipos de problemas que corrigen los elásticos intermaxilares
Dependiendo de la severidad y el tipo de maloclusión, tu ortodoncista te indicará el uso de elásticos específicos para tratar:
- Sobremordida: donde los dientes superiores cubren excesivamente los dientes inferiores.
- Submordida: donde los dientes inferiores sobresalen más allá de los dientes superiores.
- Mordida cruzada: donde algunos dientes superiores cierran por dentro de los dientes inferiores.
- Mordida abierta: donde los dientes superiores e inferiores no se tocan al morder.
Tipos de Gomas Elásticas Intermaxilares para Ortodoncia
Existen distintos tipos de elásticos intermaxilares para ortodoncia. Dependiendo de las necesidades de cada tratamiento, existen gomas de distinta longitud o resistencia. En cuanto a longitud, existen distintos tamaños de gomas intermaxilares que ayudan a realizar los movimientos necesarios en la estructura ósea o en los dientes.
Por ejemplo, los elásticos intermaxilares más cortos generan fuerzas específicas para corregir pequeñas desalineaciones dentales, mientras que los más largos se usan para movimientos más amplios. A parte de la longitud, existen distintos tipos de gomas elásticas para ortodoncia según la resistencia que ejercen sobre la pieza dental o el hueso. Las gomas intermaxilares más resistentes se usan para correcciones más complejas, mientras que las menos resistentes, se usan para correcciones moderadas.
El ortodoncista seleccionará el tipo de elástico intermaxilar más adecuado para cada caso y dará las indicaciones de uso a cada paciente, para que el elástico ejerza las fuerzas necesarias y se logren los resultados planeados.

¿Cómo se Ponen las Gomas Intermaxilares en Brackets o Alineadores?
Colocar correctamente los elásticos intermaxilares en el dispositivo de ortodoncia es fundamental para conseguir los resultados esperados. Sin embargo, es normal que a veces lleve algo de tiempo y práctica aprender a cómo colocar bien las gomas en la ortodoncia. A continuación, explicamos cómo colocar los elásticos intermaxilares, tanto si estás llevando a cabo un tratamiento de ortodoncia con brackets o con alineadores.
Cómo Ponerse las Gomas Elásticas Intermaxilares Cuando Llevas Brackets
Los pasos clave para ponerse las gomas elásticas intermaxilares en los brackets son los siguientes:
- En primer lugar, asegúrate de lavarte las manos correctamente.
- A continuación, fija un elástico al anclaje de la arcada superior.
- Una vez fijado en la parte superior, estíralo hasta anclarlo en la arcada inferior.
- Repite el proceso en el lado contrario, si es necesario.
Es importante asegurarse de que los elásticos están bien sujetos a los ganchos o soportes correspondientes. Ten en cuenta que si las gomas se rompen fácilmente o se salen, es recomendable sustituirlas por otras e informar al ortodoncista.
Cómo Colocar las Gomas Intermaxilares Cuando Llevas Alineadores
Para colocar las gomas intermaxilares con un tratamiento de ortodoncia con alineadores deberás disponer de dos elementos fundamentales: un alineador con un gancho de sujeción y un botón en la arcada opuesta para facilitar la conexión. Los pasos para su colocación son los siguientes:
- Localiza la ranura: busca el alineador con la ranura para el gancho del elástico. Quítate este alineador.
- Coloca el elástico intermaxilar: coloca la goma en la ranura y fíjalo para llevarlo puesto.
- Ponte el alineador: vuelve a colocarte el alineador y asegúrate que la goma intermaxilar permanece en el gancho.
- Conecta la goma: estira la goma ligeramente y fija un extremo al gancho y otro al botón.

¿Cuánto Tiempo se Deben Usar los Elásticos Intermaxilares?
El tiempo de uso de los elásticos intermaxilares varía en función de cada tratamiento y será el especialista el que determinará cuánto tiempo se deben usar. Suelen llevarse varias semanas o meses para completar los movimientos y en todo momento están supervisados por el ortodoncista, que realizará los ajustes necesarios para obtener los resultados esperados. Para que el tratamiento se complete con éxito, deberán seguir las indicaciones del profesional.
Beneficios Adicionales de Usar Elásticos en Ortodoncia
Además de corregir problemas de mordida, el uso de elásticos en ortodoncia ofrece otros beneficios significativos. Ayudan a mejorar la alineación general de los dientes, promoviendo una sonrisa más equilibrada y estética. También pueden acelerar el progreso del tratamiento ortodóntico, reduciendo el tiempo total necesario para lograr los resultados deseados.
El uso consistente de los elásticos también contribuye a una mejor salud bucal a largo plazo. Al mejorar la mordida y la alineación dental, se facilita la limpieza de los dientes y encías, lo que reduce el riesgo de caries y enfermedades periodontales.
Consejos para el Uso Correcto de los Elásticos
- Usa las gomas tal y como te explicaron en la consulta.
- Hay que ser constante, no sirve de nada usarlos dos días y dejarlos otros dos días. Forzosamente, debe ser diario.
- Debes llevarlos durante la mayor parte del día, y solo retirarlos durante las comidas y para tu higiene bucal.
- Las gomas pierden elasticidad con el uso, por eso es importante que las renueves cada 24 horas para que siempre se encuentren en óptimo estado. Aprovecha para cambiarlas cuando te las quites para comer o lavarte los dientes, así aseguras un resultado óptimo.
- Los elásticos pueden causar ligeras molestias los primeros días de uso. Esto es completamente normal e inevitable, ya que tus dientes se están moviendo.
Lo más importante es que utilices los elásticos correctamente para lograr los resultados esperados en el menor tiempo posible. Con estas pequeñas indicaciones, te asegurarás una hermosa sonrisa y una salud dental envidiable.

En resumen, los elásticos intermaxilares son esenciales en el éxito de los tratamientos de ortodoncia. Su uso correcto y personalizado para cada paciente, junto con un buen compromiso y responsabilidad del paciente, garantizan una sonrisa hermosa y saludable.