Los brackets de zafiro han ganado popularidad en los últimos años, tanto en pacientes adultos como en niños, gracias a su estética y eficacia. Son una excelente alternativa a los brackets metálicos tradicionales, ofreciendo una solución discreta para corregir problemas de alineación dental.

¿Qué Son los Brackets de Zafiro?
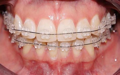
Los brackets de zafiro son un tipo de brackets fabricados con cristal de zafiro monocristalino, un mineral transparente y de gran dureza. Este material no se tiñe con el tiempo, manteniendo su estética a lo largo del tratamiento. Están dentro de la categoría de brackets estéticos. Este mineral no se tiñe con el tabaco, vino o café.
¿Cómo Funcionan los Brackets de Zafiro?
Los brackets de zafiro funcionan de manera similar a los brackets metálicos tradicionales. El sistema de desplazamiento de los dientes es el mismo. La ortodoncia con brackets de zafiro está formada por piezas pequeñas que se fijan en cada diente mediante un cemento dental, unidos por un arco metálico sujetos con un elástico en cada uno de los brackets. A continuación, se describe el proceso:
- Brackets: Los brackets de zafiro se adhieren a la superficie frontal de los dientes mediante un adhesivo especial, lo suficientemente fuerte como para mantenerlos en su lugar durante el tratamiento.
- Arco: Una vez adheridos los brackets, se coloca un alambre metálico (arco) a través de ellos. El arco permite aplicar fuerza a los brackets, facilitando los movimientos dentales necesarios. El arco se ajusta a lo largo del tratamiento para aplicar presión a los dientes.
- Ligaduras: Las ligaduras son gomas elásticas que conectan los brackets con el arco, permitiendo que la fuerza se transmita de manera efectiva.
Esta presión provoca una reacción en los ligamentos periodontales y el hueso alrededor del diente, permitiendo que las piezas dentales se muevan hasta alcanzar la posición correcta.

Componentes Clave de los Brackets de Zafiro
- Brackets: Elementos transparentes que se adhieren a cada diente.
- Arcos: Alambre metálico que conecta los brackets y aplica la fuerza necesaria para el movimiento dental.
- Ligaduras: Gomas elásticas que unen los brackets al arco.
- Elásticos Intermaxilares: Gomas utilizadas para corregir discrepancias entre los huesos maxilares (no siempre necesarias).
Ventajas de los Brackets de Zafiro
Los brackets de zafiro ofrecen una serie de beneficios que los hacen una opción atractiva:
- Estética: Son prácticamente invisibles, mezclándose con el color natural de los dientes. Su transparencia hace que sean mucho menos visibles que los brackets tradicionales.
- Resistencia: El cristal de zafiro es un material muy resistente y duradero, igualando casi su resistencia a las ortodoncias metálicas.
- Comodidad: Se caracterizan por ser especialmente cómodos. Su superficie suave y bordes redondeados reducen la fricción con los tejidos bucales, disminuyendo las posibilidades de irritación y molestias.
- No se Tiñen: El zafiro es un material muy resistente, no solo en dureza sino también con su color. Este mineral no se tiñe con el tabaco, vino o café. Al contrario de lo que ocurre con los brackets de porcelana o de plástico, los brackets de zafiro no se vuelven amarillos con el paso del tiempo.
- Adherencia: El cristal de zafiro se adhiere mejor al diente que la porcelana o el plástico, por lo que es más difícil que se despegue o se caiga.
- Biocompatibilidad: Son conocidos por ser biocompatibles, lo que significa que son menos propensos a causar alergias o reacciones adversas en la boca.
Desventajas de los Brackets de Zafiro
A pesar de sus numerosas ventajas, también es importante considerar las desventajas:
- Precio: El precio de los brackets de zafiro es superior al de otros tipos de ortodoncia, debido a la calidad del material. En general, el precio de los brackets de zafiro oscila en torno a los 2.500-4.000 euros, aproximadamente. Sin embargo, el precio de los brackets de zafiro en España oscila entre los 3.000 y 5.000 euros.
- No son 100% Invisibles: Aunque los brackets de zafiro son muy discretos, no llegan a ser 100% invisibles. Si el paciente desea un tratamiento de ortodoncia completamente invisible es necesario que se decante por los brackets linguales, que se colocan en la cara interna del diente.
- Ligaduras Pueden Teñirse: Aunque los brackets de zafiro no se tiñen, las ligaduras sí pueden mancharse con ciertos alimentos, bebidas o tabaco.
- Mayor riesgo en actividades deportivas: No son recomendables para pacientes que practiquen deportes de impacto.
- Tiempo de Tratamiento: En algunos casos el tratamiento de ortodoncia con brackets de zafiro sugiere un periodo un poco más largo, ya que el alambre que se posiciona en las arcadas hace mayor fricción entre los dientes sugiriendo un movimiento más lento, a diferencia de otros tratamientos con brackets.
🔴Diferentes 𝗧𝗜𝗣𝗢𝗦 𝗗𝗘 𝗕𝗥𝗔𝗖𝗞𝗘𝗧𝗦 -¿Cual es mejor? (Metálicos, Autoligables, Esteticos y MUCHOS MAS)
Proceso de Colocación de los Brackets de Zafiro
La colocación de los brackets de zafiro sigue un proceso detallado para asegurar su efectividad:
- Evaluación y Planificación: Se realiza una evaluación exhaustiva de la salud bucal del paciente y se discuten sus objetivos y expectativas. Se utilizan radiografías y escaneo intraoral para planificar el tratamiento adecuado.
- Preparación de los Dientes: Incluye una limpieza dental completa para asegurar que tus dientes estén libres de placa y residuos.
- Colocación de los Brackets: Los brackets de zafiro se colocan en cada diente utilizando un adhesivo especial. Este proceso requiere precisión para asegurar que queden en la posición correcta. La colocación de los brackets puede hacerse mediante un cementado directo (uno a uno) o un cementado indirecto.
- Colocación del Arco y Ligaduras: Una vez que los brackets están en su lugar, se inserta un arco metálico a través de ellos. A su vez, cada uno de estos brackets se une al arco con unas ligaduras.
- Ajustes y Seguimiento: Durante el tratamiento, tendrás que visitar la clínica regularmente para ajustes. Estos ajustes son necesarios para asegurar que los dientes se muevan de acuerdo con el plan de tratamiento.
Cuidados y Mantenimiento
La ortodoncia con brackets de zafiro no requiere ningún cuidado especial más allá de los necesarios para cuidar cualquier ortodoncia. Es muy importante mantener una buena higiene bucal:
- Higiene Bucodental: Los brackets favorecen la acumulación de comida a su alrededor. Es muy importante realizar una higiene rigurosa después de cada comida (cepillado de dientes, limpieza con cepillo interproximal, hilo dental y colutorio).
- Alimentación: Durante el tratamiento, el paciente puede continuar con su dieta habitual. Es importante evitar alimentos duros, pegajosos y crujientes que puedan dañar los brackets o desprenderlos.
- Revisiones con el Ortodoncista: Cuando se lleva una ortodoncia hay que tener especial cuidado de no saltarse las visitas y revisiones al ortodoncista.
Duración del Tratamiento
El tiempo que una persona necesita llevar los brackets de zafiro depende, sobre todo, de la edad y la complejidad de la maloclusión que sea necesario tratar. La duración del tratamiento con brackets de zafiro varía según la complejidad de cada caso, pero generalmente dura entre 18 y 24 meses. Además, hay determinados tipos de problemas, como el apiñamiento leve, que pueden corregirse en un período corto.
Precio de los Brackets de Zafiro
El precio de los brackets de zafiro puede variar dependiendo del caso y de la clínica dental. En general, el precio de los brackets de zafiro oscila en torno a los 2.500-4.000 euros, aproximadamente. Sin embargo, el precio de los brackets de zafiro en España oscila entre los 3.000 y 5.000 euros.
Alternativas a los Brackets de Zafiro
Existen otras opciones de ortodoncia estética, como:
- Brackets Linguales: Se colocan en la cara interna del diente, siendo completamente invisibles.
- Alineadores Invisibles (Invisalign): Férulas transparentes removibles que se cambian periódicamente.
- Brackets de Cerámica: Estos, al igual que los de cerámica, no son transparentes como los de zafiro, pero se mimetizan bien con el diente gracias a que su color es similar al del esmalte dental.
- Brackets Metálicos: La principal diferencia entre los brackets metálicos y de zafiro o blancos es que los metálicos, como su nombre indica, están hechos de metal, por lo que son menos resistentes a los golpes y menos discretos a la vista.
La elección del tratamiento adecuado depende de las necesidades y preferencias del paciente. Es fundamental consultar con un ortodoncista para evaluar el caso y determinar la mejor opción.
Tabla Comparativa de Brackets
| Tipo de Bracket | Estética | Resistencia | Precio | Duración del Tratamiento |
|---|---|---|---|---|
| Zafiro | Alta (Transparente) | Alta | Alto | 18-24 meses |
| Metálicos | Baja (Visible) | Alta | Bajo | 12-24 meses |
| Cerámicos | Alta (Se mimetizan con el diente) | Media | Medio | 18-24 meses |
| Linguales | Muy Alta (Invisible) | Alta | Muy Alto | 18-36 meses |
| Invisalign | Muy Alta (Invisible) | Media | Alto | 12-18 meses |
Conclusión
Los brackets de zafiro representan una excelente opción para aquellos que buscan una ortodoncia discreta y efectiva. Su estética superior, combinada con su resistencia y comodidad, los convierte en una alternativa popular a los brackets tradicionales.