Las carillas dentales son unas finas láminas de porcelana o composite que se colocan en los dientes para solucionar pequeños defectos y dar a la sonrisa un aspecto más estético y armónico. Las carillas dentales son una fina capa que se fija en la superficie vestibular de los dientes anteriores, fundamentalmente para mejorar sus aspectos estéticos. Poner carillas dentales consiste en cubrir los dientes con unas finas láminas, normalmente de porcelana o de resina, para cambiar su aspecto y lograr una sonrisa más natural y bonita.
En este artículo vamos a contarte cómo es, paso a paso, el proceso para colocar las carillas, tanto de porcelana como de composite. La actual demanda estética ha hecho que terapias estéticas hayan aumentado, las cuales mejoran el aspecto de la sonrisa, pudiendo observar como los pacientes muestran un especial y mayor interés no por solo mejorar el aspecto funcional sino también el estético. ¿Sueñas con tener una sonrisa radiante y perfecta? Las carillas dentales pueden convertir ese sueño en realidad. Tener una sonrisa deslumbrante es el deseo de muchas personas. Las carillas dentales son una solución eficaz para lograr una sonrisa perfecta y radiante cuando el color, la forma o el tamaño de los dientes no son los adecuados.

Carillas de Composite: Proceso paso a paso
En general, podemos afirmar que el proceso de colocación de las carillas de composite es el más sencillo. El proceso de colocación de las carillas de composite es el más sencillo. Normalmente, el proceso de colocación de las carillas de porcelana se lleva a cabo en tres citas. Las carillas dentales de composite, o carillas de resina, son el tratamiento más rápido y sencillo de aplicar.
Carillas de Resina ¿Cómo es un Diseño de Sonrisa BIEN PLANEADO? ¡Caso Real, Paso a Paso!
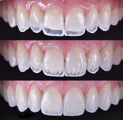
Estudio Inicial
Antes de poner las carillas de composite resulta fundamental realizar un estudio de la boca del paciente, con el objetivo de confirmar que este es apto para dicho tratamiento. El primer paso e imprescindible para realizar las carillas de composite de tipo directo es hacer una historia clínica completa del paciente junto a un examen y unas fotografías clínicas para poder estudiar el caso. Primero se realiza una consulta previa donde se diagnostica al paciente y se determina cuál será el tratamiento o los tratamientos a seguir. Primero se ha de diagnosticar al paciente en la clínica, además de tomar fotografías y un escaneo digital de toda la dentadura y sonrisa. A través de dicho estudio, los dentistas determinarán si el estado de salud oral de la persona es el adecuado. En algunos casos, será necesario llevar a cabo un procedimiento adicional antes de poner las carillas.
Preparación y Adhesión del Composite
En la segunda cita se colocarán las carillas de composite. Inmediatamente antes de poner las carillas, el odontólogo limpia el diente y aplica sobre su cara externa un gel adhesivo, que facilitará la unión del composite al diente. Una vez realizado todo esto, el siguiente paso es hacer impresiones las cuales se vacían y se obtiene el modelo. A continuación, se realiza una llave de silicona sobre el encerado diagnóstico. En la visita sucesiva se realiza la toma el color de los dientes, tras hacer una higiene profesional y un pulido para eliminar el posible cálculo presente o tinciones que puedan existir en la superficie dental.
Aplicación y Modelado del Composite
Después de aplicar el composite, el odontólogo realiza los últimos retoques en las carillas para darles la forma y la apariencia final. Después de tomar el color, se empieza la preparación de los dientes para las carillas de composite, la cual puede ser con tallado o simplemente con un pulido para igualar las superficies donde irán las carillas de composite. Para continuar, se procede a la inserción de la resina compuesta. Habitualmente se estratifica el material con distintas opacidades para proporcional el color perfecto del diente.
Acabado y Pulido
Una vez que el composite se ha endurecido, el dentista pule la superficie de la carilla para que tenga un acabado brillante y natural, así como suave al tacto.

Ventajas de las carillas de composite
- Con las carillas de composite no suele ser necesario tallar el diente.
- Las carillas de composite se confeccionan en la propia clínica dental, directamente sobre la boca del paciente.
Carillas de Porcelana: Proceso paso a paso
El estudio inicial que se lleva a cabo antes de colocar las carillas de porcelana es igual al realizado para las de composite.
Preparación del Diente
En la segunda cita se debe preparar el diente para la colocación de las carillas. De esta manera, la carilla podrá ajustarse correctamente a su superficie y tener un aspecto natural. Una vez realizado el tallado, el dentista tomará una impresión o molde de los dientes. Debido a que, en este punto, la colocación de las carillas de porcelana puede demorarse dos o tres semanas, resulta necesario poner unas carillas provisionales al paciente.
Prueba y Cementación
Una vez que las carillas han sido fabricadas, el odontólogo citará al paciente para hacer una prueba en su boca y asegurarse de que encajan correctamente. Antes de poner las carillas definitivas, el odontólogo retirará las provisionales. Tras esto, aplica un cemento especial en la carilla y la coloca sobre el diente. Luego utiliza una lámpara de polimerización para endurecer los materiales de adhesión y garantizar la fijación de la carilla.

Duración del tratamiento
El tiempo que tardan en ponerse las carillas dentales varía en función del material de fabricación. Por otro lado, las carillas de porcelana precisan, al menos, dos visitas después del estudio inicial. La duración del tratamiento puede variar según la cantidad de carillas que se coloquen. En los casos en los que realizamos carillas sin tallado, no se necesita anestesia. Los efectos de la anestesia desaparecen rápidamente, lo que te permite volver a tu vida normal sin interrupciones.
En González y Casado, estamos comprometidos con la excelencia en alta estética dental pues nuestro anhelo es poder ayudarte a conseguir la sonrisa que siempre has deseado. Confía en González y Casado para transformar tu sonrisa y conseguir los resultados de calidad que te harán sentirte mejor que nunca.
Consideraciones Adicionales
Existen las carillas dentales de cerámica ultrafinas o microcarillas dentales para las que no se requiere realizar el tallado previo, por lo que colocar este tipo de carillas es más rápido y menos invasivo, ofreciendo unos resultados de primera.
Las carillas dentales son láminas delgadas, de porcelana o resina compuesta, que se adhieren a la parte frontal de tus dientes naturales. Llega el momento de la preparación y colocación de las carillas dentales. En algunos casos, es necesario realizar un ligero tallado de la superficie externa de los dientes para asegurar que las carillas se adhieran de manera segura y estén alineadas correctamente. Las carillas dentales, hechas a medida en los mejores laboratorios de alta estética, se adhieren cuidadosamente a la superficie externa de tus dientes.
En mi artículo anterior del blog, en el que respondía a las preguntas más frecuentes que suelo escuchar en el gabinete a la hora de hablar de carillas dentales, escribí que la planificación paso a paso y cita a cita daría para un artículo de blog completo. Coger cita es, necesariamente, el primer paso. En esta primera cita, lo primero que haremos será conocernos. Quizá te suena un poco extraño, tratándose de un tema odontológico, pero es fundamental que hablemos de los aspectos que te preocupan y quieres mejorar de tu sonrisa. Además, resolveremos todas tus dudas, que seguro que las tendrás. En cualquiera de los tres casos, especifica que quieres una consulta conmigo, Diego, porque quieres mejorar tu sonrisa. Este es, de nuevo, un paso crucial. Antes de realizar nada sobre tus dientes, siempre hacemos un escaneado 3D de tu boca y nuestros ceramista diseña digitalmente tu nueva sonrisa, o al menos una primera versión de la misma. Al igual que un arquitecto que presenta por primera vez el plano de obra, este es un punto de partida, no de llegada. Este es el paso que más dudas y controversia genera entre los pacientes, al menos según mi experiencia. Sobre ambos lados hay ejemplos de sobra, y no pretendo extenderme en ello. Baste aclarar un punto, ¿por qué hablo de preparación dental en lugar de tallado? Sé que puede sonar a esas tácticas de marketing que he mencionado con las que no me siento cómodo, pero realmente no son lo mismo. En el caso de las carillas cerámicas, apenas suavizamos la forma del diente, pulimos alguna esquina de esmalte que pueda estar dañada por traumatismo o bruxismo y facilitamos la inserción de las carillas. La fabricación de las carillas cerámicas no se produce en las clínicas dentales, si no en un laboratorio protésico. Los protésicos ceramistas son artistas que, bajo mis indicaciones y tras comentar todo lo hablado con el paciente, crean estas finas láminas de cerámica que maquillan y pulen para un resultado natural y arrebatador. Dos semanas después de la cita de preparación, llega el gran día: cementamos las carillas. Normalmente en una sola cita, de una duración de entre 1 y 2 horas, cementamos las carillas con un adhesivo dental biocompatible. Es el momento más feliz del tratamiento. Las carillas, al igual que los propios dientes, no se nos desgastan comiendo, ya que el contacto entre dientes durante la masticación es mínimo, ya que se interpone la comida entre ellos. En cambio, por las noches, casi todos apretamos los dientes mientras dormimos. Yo mismo lo hago, y teniendo en cuenta que recientes estudios señalan que el 90% de la población lo hace, seguramente tú también. Por este motivo, el mismo día que colocamos las carillas tomamos medidas para una férula de descarga, un dispositivo que previene los daños causados por este apretamiento de dientes nocturno y así proteger nuestras carillas. Durante todo el proceso, hacemos muchas fotos, porque son imprescindibles para hacer un buen diagnóstico y análisis estético, para comunicarnos con nuestro ceramista, y para registrar todos los pequeños detalles relativos al tratamiento. Una vez termines tu tratamiento, programaremos una cita que se llama Mantenimiento. Normalmente se realiza a los 6 meses, y a partir de ahí cada 6 o 12 meses es lo ideal.