La odontología estética se mueve en un ámbito de equilibrio entre la ciencia y el arte. Es preciso fundir en un todo atractivo los baremos matemáticos que se aplican en la clínica odontológica y en el laboratorio protésico.
Sin embargo, estas leyes geométricas no deben aplicarse de forma «refleja», sino que sirven únicamente como hilo conductor para la configuración individual. La belleza no es sólo objetiva. Quien pretenda configurar una sonrisa natural deberá tener en cuenta también el carácter individual y el estilo de vida del paciente.
Sobre esta base, el odontólogo y su equipo deben aplicar sus aptitudes artísticas y sus percepciones subjetivas personales. Las fuerzas creativas que se liberan en este proceso convierten cada caso en una particularidad gratificante y aportan una diversidad beneficiosa en el día a día odontológico.
Dado que no hay dos personas idénticas en cuanto a aspecto y carácter, cada prótesis dental debería confeccionarse a la medida de las necesidades y características específicas del individuo. Esta nota personal es especialmente importante en la zona de los dientes anteriores. En una época en la que los pacientes se interesan cada vez más por la odontología estética, resulta obvio que debemos sondear más a fondo el conjunto de reglas de la estética. El presente artículo ofrece una visión de conjunto de los medios y los métodos con los que podemos ayudar a nuestros pacientes a lucir una sonrisa simpática.
Anatomía de la Sonrisa
La sonrisa está determinada principalmente por los dientes. En consecuencia, unos conocimientos sólidos sobre los distintos dientes, su forma y anatomía, constituyen un requisito fundamental para todo tratamiento. Los dientes están dispuestos en la boca como una unidad; el tejido blando circundante conforma el marco de su aspecto. Para evaluar qué es lo que constituye una sonrisa «bonita» es útil observar los contornos interiores y exteriores de las estructuras implicadas.
Para dibujar, los artistas utilizan un marco definido con contornos aproximados y puntos de orientación imaginarios, de modo que todos los elementos del dibujo presentan tanto una relación interna como una relación con el marco. El mismo principio se aplica a la odontología estética. También nosotros deberíamos orientarnos por «marcos»: los rebordes marginales y las inclinaciones axiales para el diente individual, el margen gingival para la arcada dentaria, los labios para unión dentogingival. El rostro constituye el marco propiamente dicho para la interacción de los dientes naturales o restaurados con los demás elementos mencionados. Es en el rostro donde la sonrisa halla su verdadera expresión.
Además debemos diferenciar entre estructuras anatómicas «estáticas», como los dientes y la encía, y estructuras «dinámicas», como los labios y la musculatura facial. Para el aspecto de la sonrisa debemos orientarnos, además de por determinados puntos de referencia fonéticos, por diversas líneas imaginarias: la línea media dental, la línea media facial, la línea labial, la línea de la comisura y la línea interpupilar. Todas estas líneas se encuentran en una relación determinada entre sí.
Nunca deberían considerarse aisladamente, sino que deben entenderse como expresión integral de la composición conjunta y de la personalidad individual. La sonrisa sólo resulta armoniosa si reinan unas proporciones equilibradas entre estas líneas y estructuras anatómicas. Es posible mejorarla modificando estas proporciones, explotando hábilmente efectos e ilusiones ópticos y optimizando la disposición de los dientes, la encía y los labios. Quien desee comprender perfectamente estos elementos y relaciones debe analizar esmeradamente y con atención al detalle todos los aspectos ópticos que determinan la apariencia de los dientes.
La inclinación de los incisivos centrales se suele determinar mediante la telerradiografía lateral. Son pocos los exámenes clínicos que pueden ayudar al profesional en la evaluación de la estética facial, como la línea de la sonrisa, la relación labiodental, los corredores bucales y las líneas medias dental y facial. Los ortodoncistas actuales no evalúan ya a los pacientes sólo en términos de perfil. La norma generalizada es una evaluación 3D completa de la cara y de la dentición. Se necesitan evaluaciones tanto estáticas como dinámicas y, en muchas consultas, estas últimas se han convertido en exploraciones obligadas.
Qué es el DSD o 'Diseño de Sonrisa Digital' | Dra. Rose Mary Sánchez, Oliver & Alcázar
Orientación Axial de los Dientes
En una sonrisa atractiva, los dientes anteriores están orientados de tal manera que sus ejes longitudinales discurren de forma continua desde la línea media hacia la zona de los dientes posteriores. A su vez, los dientes anteriores superiores están ligeramente inclinados hacia mesial. Finalmente, los labios conforman el marco de la composición estética.
Normalmente, el eje de los incisivos centrales está ligeramente inclinado hacia distal en dirección apical con respecto a la línea media. La orientación labiolingual de los incisivos centrales es ideal desde el punto de vista estético cuando la superficie labial discurre verticalmente o está ligeramente inclinada hacia labial. El recorrido exacto puede variar individualmente en función del tipo esquelético y del perfil facial.

Fig. 1. El eje de los incisivos centrales puede presentar una ligera inclinación apicodistal con respecto a la línea media vertical.

Fig. 2. En el caso de los incisivos laterales, esta inclinación apicodistal es más acusada.
En personas con una sonrisa bonita, los incisivos laterales están dispuestos asimétricamente y pueden presentar diversas inclinaciones axiales. El ángulo del eje centrolateral puede ser distinto en ambos lados. En los incisivos laterales se observa que la inclinación distal en dirección apical se hace más acusada a partir de la mitad del diente. Además, en la mayoría de las personas con una sonrisa naturalmente bonita, la orientación axial mesiodistal y anteroposterior de los incisivos laterales está dispuesta asimétricamente.
Los caninos tienen tendencia a estar aún más inclinados hacia distal, si bien sólo desde la perspectiva facial. Vista desde el lado, su eje longitudinal presenta una orientación desde vertical hasta ligeramente distal en la arcada dentaria. Al evaluar su recorrido axial, lo mejor es orientarse por los rasgos faciales relevantes. En la mayoría de las personas, el eje del canino discurre en paralelo a la línea imaginaria entre la comisura de la boca y el ángulo del ojo al sonreír. Dicho de otro modo, discurre en paralelo al marco vestibular.

Fig. 3. Vistos desde el lado, los caninos y los premolares están orientados verticalmente.
Zonas de Contacto y Puntos de Contacto Interdentales
Se entiende por zona de contacto interdental aquella zona en la que los dientes contiguos parecen tocarse entre sí. En el segmento anterior superior se van acortando desde los incisivos centrales hacia los caninos, idealmente en la proporción 50:40:30 en relación con la longitud de la corona de los incisivos centrales.
En otras palabras, la zona de contacto entre los incisivos centrales es del 50%; entre los incisivos centrales y laterales, del 40%, y entre los incisivos laterales y los caninos, del 30% de la longitud del incisivo central.

Figs. 4 y 5. Las zonas de contacto interdentales en el segmento de los dientes anteriores presentan longitudes distintas.
La zona entre los incisivos centrales es la más larga, mientras que la zona entre el incisivo lateral y el canino es la más corta. El punto de contacto interdental se encuentra allí donde termina la zona de contacto interdental y empieza el espacio interdental incisal. Los puntos de contacto interdentales ascienden apicalmente desde los incisivos centrales hacia la zona de los dientes posteriores.
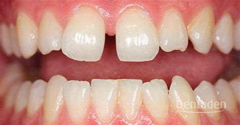
En caso de dientes excesivamente largos, puede ser conveniente alargar la zona de contacto, a fin de reducir en lo posible las distancias (tanto gingivales como incisales). De esta manera, los dientes aparecen en proporción más anchos y por ende también más cortos. Además, si no es posible crear una papila lo suficientemente larga, se puede alargar la zona de contacto hacia apical a fin de cerrar el espacio interdental cervical abierto.

Fig. 6. Si no existe una base ósea adecuada, puede ocurrir que no pueda formarse una nueva papila para cerrar el espacio interdental cervical.

Fig. 7. En estos casos, en su lugar puede desplazarse el contacto interdental hacia apical.
El punto de contacto interdental es el punto de la zona de contacto situado más hacia incisal. Aún más hacia incisal, los contactos mesiodistales se separan y se convierten en los bordes incisales. En caso de forma correcta y disposición estética de los dientes anteriores, los puntos de contacto interdentales ascienden claramente hacia la zona de los dientes posteriores. El punto de contacto entre los incisivos centrales se encuentra -de acuerdo con la relación en ángulo casi recta entre la línea del borde incisal y la línea media- en la posición más hacia incisal.
Entre el incisivo central y el lateral se encuentra más hacia apical, en virtud de los recorridos de borde distoincisales y mesioincisales relativamente redondos. La altura de este punto de contacto en ambos cuadrantes puede ser distinta, debido a la situación y la forma naturalmente asimétricas de los incisivos laterales.
Aún más hacia apical debería situarse el punto de contacto entre el incisivo lateral con su recorrido de borde distoincisal más redondo y el canino con su recorrido de borde mesioincisal casi triangular. La misma regla puede aplicarse también a los premolares.
Espacios Interdentales Incisales
Cuando se abre la boca al hablar o sonreír, se hace visible entre los bordes incisales de ambas arcadas dentarias el espacio negro de la cavidad oral. Este contraste con los dientes mejora el aspecto de los espacios interdentales incisales. La interacción entre luz y sombra a lo largo de la arcada dentaria superior constituye un requisito esencial para una sonrisa bonita y natural. Los espacios interdentales incisales aumentan de tamaño desde la línea media hacia la zona de los dientes posteriores. El espacio interdental incisal es más pequeño y anguloso entre los incisivos centrales.

Fig. 8. El espacio interdental incisal entre los incisivos centrales es el más pequeño y anguloso.

Fig. 9. Los espacios interdentales aumentan de tamaño entre los premolares.
En virtud de la estructura simétrica de estos dos dientes, se crea así un triángulo isósceles con un ángulo vertical apical agudo. El espacio interdental incisal entre el incisivo central y el lateral es mayor y menos agudo. Unos incisivos centrales relativamente simétricos y unos incisivos laterales relativamente asimétricos favorecen el aspecto estético de la sonrisa. El mismo principio es aplicable a los espacios interdentales incisales correspondientes: la forma del triángulo entre el incisivo central y lateral debería variar a ambos lados. El espacio interdental incisal es más grande entre el incisivo lateral y el canino.

Fig. 10. El borde incisal del incisivo lateral se sitúa entre 0,5 y 1 mm más hacia apical con respecto al incisivo central y el canino.
En las mujeres, este triángulo tiende a presentar características distintas a las que se observan en los varones: el recorrido del borde incisodistal de los incisivos laterales discurre más redondeado, de modo que el espacio interdental se ensancha hacia el canino. Los dientes son cada vez más grandes hacia la zona de los dientes posteriores. El ángulo en el punto de contacto alcanza casi los 90 grados entre los caninos y los premolares. Estos puntos de contacto y espacios interdentales incisales constituyen requisitos importantes para una sonrisa de aspecto juvenil. Cuando los bordes incisales se desgastan con la edad, los puntos de contacto desaparecen progresivamente. Este proceso se inicia en los incisivos centrales y continúa por los incisivos laterales. Tarde o temprano se alcanza el punto en el que la sonrisa tiene un aspecto viejo.

Fig. 11. Cuanto más se desgasten los bordes incisales, tanto más se reducen los espacios interdentales incisales.

Fig. 12. A fin de restituir a estos dientes un aspecto juvenil, es preciso alargarlos y restablecer los espacios interdentales incisales.
Los espacios interdentales también pueden influir en la longitud y la anchura percibidas de los dientes y en el aspecto de los bordes incisales. Por medio de modificaciones de las formas de los bordes incisales pueden estrecharse o ensancharse visualmente los dientes. A su vez, los dientes con recorridos de bordes mesioincisales y distoincisales especialmente redondeados parecen más largos de lo que en realidad son. Las arcadas dentarias anteriores con espacios interdentales incisales marcados parecen más estrechas. A la inversa, si el desgaste de los dientes está tan avanzado que faltan los espacios interdentales incisales, se crea la impresión de una línea recta y el segmento de los dientes anteriores parece más ancho.

Fig. 13. Cuando las coronas pierden su longitud, los espacios interdentales incisales disminuyen de tamaño y los propios dientes parecen no sólo más pequeños, sino también más anchos.

Fig. 14. En caso de que no sea posible un alargamiento de las coronas por el lado incisal -debido a la existencia de obstáculos funcionales o porque el paciente no lo desea-, pueden desplazarse más hacia apical los puntos de contacto y los espacios interdentales incisales.

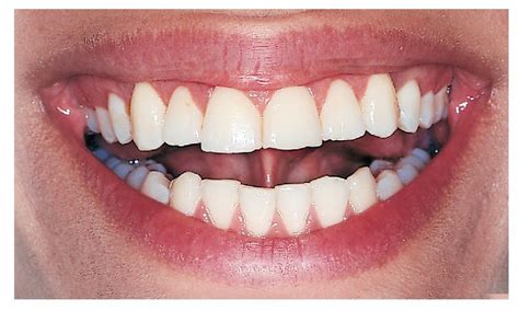
Fig. 15. Una hermosa sonrisa irradia sobre todo el rostro.
Proporciones Dentales
El principal objetivo de toda rehabilitación de la dentición consiste en crear, de conformidad con el paciente, un estado de los dientes lo más natural posible. Los incisivos centrales superiores desempeñan un papel especialmente importante cuando se trata de establecer a partir de la distribución de formas y tamaños la impresión visual del segmento de los dientes anteriores. Las formas desproporcionadas -esto es, cuando los dientes son demasiado largos, cortos, anchos o estrechos con respecto a las proporciones generales- pueden perturbar la armonía facial.
Lo que Domina
Lo que domina es el requisito más importante para la esencia de la composición, que no es otra que la coherencia. A fin de dotar de mayor fuerza a la composición, se refuerzan los elementos dominantes de orden superior mediante elementos dominantes subordinados. Por ejemplo, en rostros agraciados por una sonrisa bonita lo que domina de la boca se sitúa por encima de lo que domina de los ojos.
Modificaciones de Diseño Protésico para Mejorar la Estética en Prótesis Parcial Removible Metálica
Pese al innegable incremento en la utilización de implantes óseo integrados en el tratamiento de la extensa problemática de la desdentación parcial, la confección de prótesis removibles metálicas continua siendo a escala mundial, el principal recurso terapéutico vigente. Sin embargo, desde el punto de vista del paciente, la recuperación de la función estética es su principal falencia.
Se propone extender la utilización del principio de retención friccional inherente a la prótesis fija, mediante la preparación de "facetas retentivas friccionales" en ciertos dientes pilares, generando de este modo artificios protésicos removibles con suficiente retención, sin exhibir elementos metálicos en los sectores anteriores de la cavidad bucal. Se exponen cinco casos clínicos que respaldan la validez nuestra propuesta tras una correcta indicación.
Planos Guía y Retención Friccional
El término plano guía se refiere a dos o más superficies verticales paralelas en los dientes pilares diseñadas para dirigir la prótesis durante su inserción y remoción. Ésta es su principal función. Las superficies de los planos guía deben quedar tan paralelas al eje mayor del diente pilar como sea posible. Los planos guía así elaborados para determinar un eje único de inserción y remoción de la prótesis esquelética o metálica proveen a ésta de cierta retención por fricción, generada por el íntimo o estrecho contacto del elemento metálico de la base en las superficies dentarias de los pilares para aquellos fines paralelizados (planos guía). Este tipo de "retención friccional" (F.R.), que buscamos y utilizamos de manera fundamental en prótesis fija, adquiere en prótesis removible un papel secundario en comparación con la retención entregada por la energía cinética que genera la flexión de un brazo retentivo al flanquear el ecuador protésico.
Se cree que el papel secundario de la R.F. obtenida en los planos guía, pudiese adquirir mayor preponderancia en la retención del aparato protésico removible, si introdujésemos algunas modificaciones que remiten tanto a la extensión en la preparación, como al maxilar y al tipo de desdentación que presenta el caso clínico a tratar (clasificación de Kennedy) De este modo, podríamos lograr una gran ventaja estética en la prótesis puesto que la base metálica así confeccionada, no emplazaría brazos retentivos visibles en vestibular, en los sectores anteriores de la boca. Al extender al máximo el desgaste que efectuamos en la cara cercana al vano, en sentido axial, cérvico-oclusal y vestíbulo palatino o lingual, obtendremos una superficie para fricción mucho mayor que la de un pequeño plano guía, es decir, se constituye en una "Faceta Retentiva Friccional" (F.R.F.).
Diferencias en las Dimensiones de las F.R.F. Comparadas con Planos Guía
Según McCracken, la superficie de los planos guía debe ser parecida a un objeto cilíndrico, lisa, continua y con ángulos redondeados. Como norma general, las superficies guía deben abarcar la mitad de la anchura que existe entre las puntas de las cúspides vestibulares y linguales adyacentes, o un tercio de la distancia vestíbulo lingual del diente. Se deben extender verticalmente unos dos tercios de la longitud del esmalte de la corona desde la cresta marginal, en dirección cervical. Sin embargo, las F.R.F. presentan las siguientes peculiaridades en su preparación:
- En un sentido axial respecto del eje mayor del diente, el desgaste deberá eliminar prácticamente toda la convexidad "natural" del diente intervenido, desgaste no menor de 0,5 mm.
- El desgaste de la F.R.F. en el sentido cérvico oclusal/inciso cervical debe ocupar la máxima dimensión posible desde la cresta marginal, pero manteniendo hacia cervical una distancia mínima de 1 mm respecto de la encía marginal, similar en este punto a lo indicado para un complejo retentivo (C.R.) del tipo R.P.I.
- En sentido vestíbulo palatino o lingual, (o como lo denomina Goodacre, faciolingual), la F.R.F. debe abarcar la máxima extensión posible en la cara sometida a desgaste, teniendo la prudencia de no "intervenir" parte de la cara vestibular, puesto que así disminuiría la ventaja estética que buscamos al no tener elemento metálico a la vista en el diente pilar.
- Al preparar las F.R.F., al igual que con los planos guía, hay que tener especial cuidado en no crear líneas-ángulo, vestíbulo linguales o palatinas, ya que, de entre las muchas razones aducidas, los ángulos lineales agudos crean una sobreconcentración de stress, así como dificultan ciertos procedimientos de laboratorio.
| Característica | Planos Guía | Facetas Retentivas Friccionales (F.R.F.) |
|---|---|---|
| Superficie | Cilíndrica, lisa, continua, ángulos redondeados | Elimina convexidad natural, desgaste mínimo de 0.5 mm |
| Extensión Cérvico-Oclusal | 2/3 de la longitud del esmalte desde la cresta marginal | Máxima dimensión posible desde la cresta marginal, mínimo 1 mm de la encía |
| Extensión Vestíbulo-Lingual | Mitad de la anchura entre cúspides o 1/3 de la distancia vestíbulo-lingual | Máxima extensión posible sin intervenir la cara vestibular |
| Ángulos | Evitar líneas-ángulo agudas | Evitar líneas-ángulo agudas |