Las encías son el tejido blando, firme y rosado que rodea el cuello de tus dientes y recubre su zona radicular. Hablamos de encías retraídas cuando el tejido gingival que rodea tu diente se desplaza en sentido apical, dejando al descubierto parte de la raíz dentaria. Aunque se trata de una condición bastante común, muchas personas no se dan cuenta de que su tejido gingival está retrocediendo.
La retracción gingival, recesión de encías y pérdida de encía son otros nombres con los que se conoce esta afección. Esta condición no solo afecta la apariencia de tu sonrisa, sino que también puede comprometer la protección natural de los dientes, aumentando la sensibilidad y el riesgo de enfermedades. Pero no te alarmes, la retracción de encías tiene solución. Según la severidad del problema existen distintos tratamientos y aquí te los contamos.
Es importante que nos visites en nuestra Clínica Dental para realizar tus revisiones semestrales con regularidad. Igualmente, las encías retraídas pueden ser un síntoma de otras afecciones dentales subyacentes.
👉 𝗘𝗡𝗖𝗜𝗔𝗦 𝗥𝗘𝗧𝗥𝗔𝗜𝗗𝗔𝗦 Solución DEFINITIVA ,¡FIN a la 𝗥𝗘𝗧𝗥𝗔𝗖𝗖𝗜𝗢𝗡 𝗚𝗜𝗡𝗚𝗜𝗩𝗔𝗟 Causas y Tratamiento!
¿Qué son las encías retraídas?
Cuando hablamos de encías retraídas nos referimos a un desplazamiento del tejido gingival que provoca una sobreexposición del diente. Las encías se desplazan hacia arriba en los dientes superiores y hacia abajo en los dientes inferiores dejando al descubierto parte de la raíz dental.
Esto no solo afecta a la estética, sino que también compromete la protección natural de los dientes, aumentando la sensibilidad y el riesgo de enfermedades.

Causas de la retracción de encías
Son varios los motivos que pueden llevar a que tus encías se retraigan, incluso, en algunos casos, es la combinación de varias situaciones lo que provoca la pérdida de tejido gingival.
- Gingivitis: La gingivitis es la inflamación de las encías, asociada a una inadecuada higiene oral, lo que provoca la acumulación de placa bacteriana y la formación de sarro.
- Periodontitis: La periodontitis, también conocida como enfermedad periodontal o piorrea, surge como consecuencia de una gingivitis no tratada. La presencia de bacterias en estas zonas profundas ocasiona un proceso infeccioso e inflamatorio que destruye progresivamente los tejidos que sostienen tus dientes.
- Cepillado agresivo: Si eres de los que se cepilla los dientes con mucha fuerza o con cepillos muy duros, debes saber que esta práctica puede dañar tus encías y provocar su retracción.
- Tratamientos de ortodoncia: Los tratamientos de ortodoncia nos permiten movilizar las piezas dentarias para conseguir una adecuada relación entre las piezas superiores con las inferiores. El movimiento de los dientes con ortodoncia, por sí solo, no provoca la pérdida de encía.
- Tabaquismo: El tabaco es un hábito nocivo que altera la salud oral de muchas maneras. El calor y las sustancias tóxicas del cigarrillo afectan la irrigación y las defensas del tejido gingival.
- Traumatismos: Sufrir un golpe en la boca es otra de las causas que puede provocar la pérdida de encías, dañando los tejidos que los sostienen.
- Bruxismo: En odontología llamamos bruxismo al apretamiento y rechinamiento inconsciente de los dientes, dañan la salud de tus tejidos periodontales.
- Piercings orales: Otra causa de la recesión de encías es la presencia de piercings en la boca. La continua fricción del objeto contra tu tejido gingival hará que tus encías se alejen de la zona donde reciben el trauma.
- Enfermedades sistémicas: enfermedades como la diabetes, el SIDA o cualquier otra que afecte al sistema inmunitario, crean un mayor riesgo de desarrollar infecciones.
- Estrés: es uno de esos factores invisibles que afectan a la salud de nuestras encías.

Síntomas de la retracción de encías
Las encías retraídas pueden afectar a tu salud dental y estética, aprende a identificar las señales. Estos son los principales síntomas de la recesión gingival que te permitirán comprobar si existe algún problema con tus encías que pueda complicarse con el tiempo.
- Dientes más largos: Se notan los dientes más largos respecto a hace algún tiempo.
- Color diferente en la línea de encías: Puedes detectar tonos distintos entre la raíz expuesta y la corona del diente.
- Inflamación de las encías: Tus encías se hinchan y enrojecen, sobre todo en los márgenes.
- Sangre en las encías: Suele aparecer durante el cepillado o cuando se muerden alimentos un poco más duros.
- Excesiva sensibilidad a los alimentos: Se produce un dolor intenso cuando ingieres algún alimento o bebida muy fría o caliente, ácida o dulce.
- Movilidad dental: Podrías notar cómo algún diente se mueve ligeramente.
Remedios caseros para la retracción de encías
El tejido gingival no se regenera por sí mismo ni existen remedios caseros para tratar las encías retraídas. Si bien puedes modificar tus hábitos y cuidar tu salud oral, no hay una solución natural o casera para curar tus encías retraídas. Sin embargo, existen remedios caseros que te pueden ayudar a evitar que este problema aparezca.
- Enjuague bucal con agua salada tibia: El enjuague bucal con agua salada tibia actúa como un antiséptico natural suave. Dissuelve aproximadamente 1 cucharadita de sal de mesa (5 g) en un vaso de agua tibia (200 ml).
- Aplicar frío en la zona: Aplicar frío en la zona es un remedio sencillo para aliviar el dolor, bajar inflamación y potencialmente evitar más daño en caso de un trauma. Toma unos cubitos de hielo envueltos en un paño limpio o usa una bolsa de gel frío.
- Aceite esencial de clavo: El aceite esencial de clavo es un remedio natural muy famoso para el dolor de muelas, pero también nos sirve en casos de diente flojo, sobre todo si hay dolor o infección en la encía.
- Ajo y cebolla: Tanto el ajo como la cebolla son conocidos por sus propiedades antibacterianas y antiinflamatorias. En el contexto de un diente flojo, pueden ayudar a combatir la infección de encías y reducir la inflamación alrededor del diente afectado.
- Cúrcuma y pimienta negra: La cúrcuma es una especia milagrosa en términos antiinflamatorios, y la pimienta negra ayuda a potenciar sus efectos.
- Aceite de mostaza y sal fina: Este es un remedio casero tradicional de la India para fortalecer encías: combinar aceite de mostaza con sal fina.
- Oil pulling (enjuague de aceite): El oil pulling o enjuague de aceite es un antiguo hábito ayurvédico que se ha popularizado en occidente por sus beneficios para la salud bucal. Consiste en enjuagar la boca con aceite vegetal, típicamente aceite de coco orgánico o aceite de sésamo.
- Gel de aloe vera: El gel de aloe vera es otro remedio natural fabuloso para las encías. Es antiinflamatorio, cicatrizante y antibacteriano.
- Milenrama: Sus hojas tienen efectos antiinflamatorios, analgésicos y anticoagulantes. Lo mejor es masticar las hojas o también machacarlas hasta obtener una pasta con la que masajear las encías.
- Té verde: El té verde tiene importantes propiedades antiinflamatorias y antioxidantes que ayudan a rebajar la inflamación de las encías y mejorar la fijación dental.
- Salvia: Para tratar la recesión de encías existe otro tratamiento casero muy útil y fácil de realizar: masticar hojas de salvia.
- Aceite de coco: El aceite de coco posee ácido láurico y un tipo de triglicéridos con propiedades antiinflamatorias y antimicrobianas que te ayudará a tratar y evitar las encías retraídas.
- Aceite de limón: Se obtiene de la cáscara de limón y tiene propiedades antisépticas y antimicrobianas.
- Suplemento de vitamina C: Las frutas y verduras frescas son ricas en vitamina C, sobre todo los kiwis, los tomates, los cítricos, brócoli, pimientos, etc.

Tratamientos profesionales para las encías retraídas
Si el origen es un cepillado agresivo, un piercing o la consecuencia de un tratamiento de ortodoncia, las encías retraídas tienen solución. En cambio, si la retracción gingival se acompaña de un daño periodontal grave, como en la periodontitis, el abordaje es más complicado.
Entonces, lo primero que debemos hacer para curar tus encías retraídas es encontrar la causa que provocó el problema. Te enseñaremos cómo higienizar tu boca y cepillar tus dientes de manera correcta y con cuidado. Te asesoraremos sobre tu dieta.
Además de actuar sobre el origen del problema, muchas veces, serán necesarios algunos procedimientos terapéuticos para recuperar tus encías, disminuir los síntomas o lograr una sonrisa más armónica y bonita. Podemos dividir los tratamientos en técnicas quirúrgicas y no quirúrgicas.
Tratamientos no quirúrgicos
Si tu problema de encías retraídas es leve, podremos mejorar la situación sin cirugías:
- Agentes desensibilizantes y barnices: Utilizaremos estos productos sobre las raíces expuestas.
- Raspado y alisado radicular: Es un procedimiento de limpieza profunda que elimina la placa y el sarro de los dientes y las raíces. Se pueden utilizar antibióticos y colutorios para tratar la enfermedad de las encías y prevenir daños mayores en las encías.
Tratamientos quirúrgicos
Si tus encías no logran reposicionarse por sí solas, recurrimos a algunos procedimientos quirúrgicos que nos ayudan a solucionar el problema:
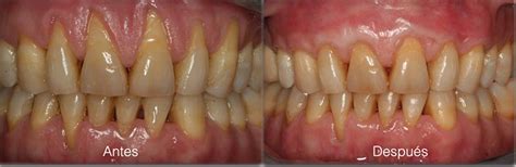
- Cirugía plástica mucogingival o injerto de encía: Con esta técnica tomamos un fragmento de mucosa de tu paladar y lo colocamos sobre el sitio donde has perdido encía, recubriendo las raíces dentarias expuestas. Con esto buscamos regenerar el tejido faltante. Es una cirugía sencilla, rápida y con un postoperatorio leve.
- Estiramiento de encía: Esta técnica, también llamada «colgajo movilizado coronalmente» lo podemos realizar si tienes conservadas tus papilas interdentarias, que son la porción triangular de encía que hay entre diente y diente.
- Cirugías periodontales: Las aplicamos en casos de periodontitis graves y avanzadas. La cirugía de injerto gingival consiste en tomar tejido del paladar o de otra fuente donante y adherirse a la zona afectada. La regeneración consiste en utilizar materiales especiales para regenerar el hueso y los tejidos que soportan los dientes. La cirugía de reducción de bolsas consiste en replegar el tejido gingival y eliminar las bacterias y la placa de la raíz del diente.
Es importante saber que no se pueden recuperar las encías retraídas con remedios caseros, sin embargo, si se pueden prevenir. Modificar la dieta (sin abusar de los cítricos) y tener una buena higiene dental es importante a la hora de prevenir.
Medidas preventivas
Para evitar una mayor recesión de las encías, es importante practicar una buena higiene bucal, que incluye cepillarse los dientes dos veces al día, usar hilo dental a diario y utilizar un enjuague bucal antiséptico.
Además de estos trucos para mantener unos dientes fuertes y sanos, es imprescindible cuidar de las encías, ya que hacen de unión entre el diente y el hueso alveolar, es decir, evitan que el diente se mueva de su sitio.
Algunas recomendaciones son:
- Limita los alimentos y las bebidas azucaradas.
- Come alimentos que protejan el esmalte.
- Evita el cepillado agresivo.
- Usa flúor.
- Cuidado con la boca seca.
| Causa | Remedio/Tratamiento |
|---|---|
| Gingivitis | Higiene oral adecuada, limpiezas profesionales |
| Periodontitis | Raspado y alisado radicular, cirugía periodontal |
| Cepillado agresivo | Técnica de cepillado suave, cepillo de cerdas suaves |
| Traumatismos | Atención dental inmediata |
| Recesión leve | Agentes desensibilizantes, barnices |
| Recesión severa | Injerto de encía, estiramiento de encía |