El stripping dental, también conocido como reducción interproximal del esmalte (IPR) o stripping interdental, es un procedimiento dental que consiste en eliminar una pequeña cantidad de esmalte dental entre los dientes para crear más espacio. Este procedimiento se utiliza comúnmente en la ortodoncia para crear espacio para mover los dientes y lograr una alineación dental adecuada. Begg y Murphy detectaron en sus observaciones sobre la dentición de los Aborígenes que estos presentaban una reducción interproximal fisiológica resultando hasta en una pérdida de esmalte de más de 14-15 mm, consecuencia de una dieta no refinada, y además, observaron en estos casos la ausencia de apiñamiento.
Aunque el stripping dental puede ser una opción viable para muchos pacientes, también es importante tener en cuenta sus beneficios y desventajas, y considerar si es la mejor opción para cada caso individual. En la especialidad de Ortodoncia, existen diferentes técnicas que se utilizan para alinear y corregir la posición de los dientes. Una de ellas es el stripping dental, un procedimiento poco conocido pero muy habitual en los tratamientos ortodóncicos.

Tipos de stripping dental
Existen diferentes tipos de stripping dental, entre los que destacan:
- Stripping dental interproximal: También conocido como reducción interproximal del esmalte. Es el tipo de stripping dental más habitual. Se utiliza para eliminar pequeñas cantidades de esmalte a los lados de los dientes, en los espacios interproximales. Se utiliza una lima dental para eliminar pequeñas cantidades de esmalte dental entre los dientes, en los espacios interproximales.
- Stripping dental oclusal: Este tipo de stripping consiste en eliminar pequeñas cantidades de esmalte en la zona oclusal de los dientes (superficies de masticación). Este tipo de stripping dental implica la eliminación de pequeñas cantidades de esmalte dental en la superficie de los dientes.
¿Cuándo se recomienda el stripping dental?
El stripping dental se utiliza de manera común en tratamientos de ortodoncia para crear espacio para mover los dientes y lograr una alineación dental adecuada. El stripping dental no es necesario en todos los tratamientos de ortodoncia. Algunas de las situaciones en las que se puede recomendar son:
- Apiñamiento dental leve o moderado: Esta es la principal razón por la que se hace stripping dental. Esta técnica es especialmente útil en casos de apiñamiento leve o moderado, lo que requiere realizar pequeños ajustes en su ancho para alinear los dientes correctamente. La mayoria de las personas presentan algun grado de apinamiento dental. Con un tratamiento de ortodoncia en Barcelona solucionamos el apinamiento dental. Cuando existe un apinamiento moderado, no falta tanto espacio como para tener que hacer extracciones, porque si se hace una extraccion sobraria espacio.
- Falta de espacio para el movimiento de los dientes: Si en el Escáner 3D de tu boca se identifica que tus dientes no tienen suficiente espacio para moverse, el stripping dental puede ayudar a crearlo. De esta forma se evita la extracción dental.
- Extracciones dentales: En algunos casos, el stripping dental es una alternativa a la extracción de dientes.
- Signos de triángulos negros entre los dientes: Se puede recomendar un stripping dental en ortodoncia para evitar la formación de triángulos negros entre tus dientes. Estos espacios pueden ocurrir cuando los dientes con forma triangular solo se tocan en sus puntas, dejando espacios oscuros cerca de las encías. Con este procedimiento, se pueden remodelar los dientes para que encajen mejor, mejorando la apariencia general de tu sonrisa. Corregir la aparición de triángulos negros, sobre todo tras la alineación de dientes triangulares apiñados donde el punto de contacto es excesivamente vertical y mejorar dichos triángulos negros en paciente periodontales con papilas decapitadas.
- Ampliación de la arcada dental: La función principal de la IPR dental es ganar espacio en la arcada dentaria, cuando sea necesario para alinear tus dientes correctamente. La IPR dental también se utiliza para evitar la extracción y pérdida de dientes. Al reducir el tamaño de los dientes en al menos 0,25 mm, la ortodoncia puede moverlos a sus posiciones correctas sin necesidad de extraer ninguno.
- Protrusión de los incisivos: Si los dientes frontales (incisivos) sobresalen demasiado, este procedimiento puede ayudar a reducir su tamaño, permitiendo así que se muevan a una mejor posición.
- Cambio estético de los dientes: Aquellas personas a las que no les gusta la forma de sus dientes pueden ver este procedimiento como una ventaja. A veces, los dientes tienen bordes ásperos o desiguales que pueden mejorarse con un stripping dental o limado de dientes.

¿Cómo se realiza el stripping dental paso a paso?
El stripping es un procedimiento relativamente sencillo y rápido que se realiza en la consulta del ortodoncista. El proceso puede llevarse a cabo en distintas fases del tratamiento de ortodoncia. Antes de realizar el stripping interdental tu dentista evaluará cuidadosamente tus dientes para asegurarse de que están lo suficientemente sanos. Una cita para una IPR dental dura un máximo de 30 minutos y suele ser generalmente indolora.
Este es el procedimiento:
- Evaluación inicial: La necesidad de realizar stripping se valorará durante el estudio de ortodoncia.
- Preparación: Si lo deseas, te aplicarán un anestésico local al inicio del tratamiento.
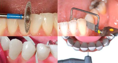
- Desgaste del esmalte: Mediante un instrumental especial, como limas, fresas o discos, el ortodoncista eliminará una fina capa del esmalte de los dientes. El procedimiento inicia con una fresa fina de turbina que abre los puntos de contacto entre los dientes, depende de la cantidad a realizar usaremos una fresa mas fina o mas gruesa. En la imagen se puede ver la primera fresa que usamos, con esta fresa se puede obtener como minimo 0.3mm entre los dientes (por el grosor de la fresa). La siguiente que usamos es una fresa en forma de “seta” concava, con esta fresa redondeamos todos los aspectos de los dientes que hemos tocado. Esta fresa por su forma es facil de usar y ayuda a dejar los dientes con una forma mas anatomica.
- Aplicación del instrumento: Se utiliza una herramienta llamada fresa de diamante para eliminar pequeñas cantidades de esmalte dental de los dientes.
- Pulido y revisión: Una vez que ha realizado el leve limado de los dientes, el ortodoncista verifica que el espacio creado es suficiente. A continuación, vamos a detallarte las técnicas que el ortodoncista puede utilizar para realizar el stripping dental.
- Aplicación de flúor: Después del stripping interdental, tu dentista pulirá tus dientes y aplicará un tratamiento de flúor.
A continuación, vamos a detallarte las técnicas que el ortodoncista puede utilizar para realizar el stripping dental.
- Limas de stripping: Son el método más sencillo y conservador, ya que se usan para los casos más leves, donde tan solo es necesario marcar el espacio interdental. Estas limas se utilizan de manera manual, tienen forma de tiras y cuentan con una superficie de grano fino. Las tiras de stripping son unas cintas con textura de lija que introducimos en el espacio interproximal de dos dientes. Las limas se parecen a las tiras y se usan de la misma manera.
- Discos de stripping: Esta técnica de stripping también es mecánica, pero se encuentra a medio camino entre las dos anteriores.

Una vez que se ha realizado, la reducción interproximal será visible, ya que se podrán observar unos pequeños espacios entre los dientes. Ten la seguridad de que esto es solo temporal. A medida que tu tratamiento progrese, tus dientes se moverán a sus posiciones deseadas y estos espacios se cerrarán al final de tu tratamiento.
Cuidados posteriores al stripping dental
Es importante seguir todas las instrucciones de cuidado posteriores proporcionadas por el dentista u ortodoncista para asegurarse de que los dientes se recuperen adecuadamente después del procedimiento.
- Evita todas las bebidas durante 30 minutos.
- Evita comer durante 1 hora.
- Evita productos con lactosa durante 6 horas para permitir que el tratamiento de flúor haga efecto.
- Pasta de flúor: tu dentista te recetará una pasta con flúor para usar durante dos semanas.
Ventajas y desventajas del stripping dental
Como hemos explicado anteriormente en la introducción de este artículo, el stripping dental tiene distintas aplicaciones.
Ventajas
- Alineación dental: El stripping dental se utiliza a menudo como parte del tratamiento de ortodoncia para crear un espacio adicional entre los dientes y lograr una alineación dental adecuada.
- Espacio para la colocación de retenedores: Después de que se completa el tratamiento de ortodoncia, a menudo se coloca un retenedor dental para ayudar a mantener los dientes en su nueva posición.
- Mejora de la oclusión: La oclusión se refiere a la forma en que los dientes superiores e inferiores se ajustan al morder. Si los dientes no se ajustan correctamente, puede haber un desgaste excesivo en los dientes y la mandíbula, lo que puede conducir a problemas dentales a largo plazo.
- El stripping en ortodoncia es una técnica que permite corregir la alineación dental sin necesidad de extracciones. Es un procedimiento seguro y mínimamente invasivo que se emplea para ganar espacio y mejorar la armonía de la sonrisa. Se trata de una técnica conservadora utilizada en ortodoncia para optimizar la alineación sin recurrir a extracciones. El stripping en ortodoncia se indica en casos específicos donde se requiere un ajuste preciso del espacio dental. El stripping es un procedimiento seguro cuando es realizado por un ortodoncista especializado.
- El “stripping” consiste en la reduccion interproximal del esmalte entre los dientes posteriores y anteriores, para separar los dientes y asi obtener espacio en la para alinear con ortodoncia los dientes apinados. El “stripping” tambien sirve para armonizar tamanos de dientes y discrepancias entre las arcadas dentarias. Es un excelente procedimiento para ganar espacio para alinear los dientes apinados. No siempre es necesario pero se realiza muy a menudo.
Desventajas
- Pérdida de esmalte dental: El stripping dental implica la eliminación del esmalte dental, que es la capa protectora externa de los dientes. En general, se recomienda quitar aproximadamente sólo hasta la mitad del espesor del esmalte total en cada cara proximal.
- Sensibilidad dental: La eliminación del esmalte dental puede causar sensibilidad dental temporal en los dientes tratados.
- No es adecuado para todos los casos: El stripping dental puede no ser adecuado para todos los casos de ortodoncia o problemas de alineación dental.
- Si durante el proceso de nivelar los dientes, estos quedan muy forzados hacia fuera, pueden llegar a tener problemas de encia importantes, porque los podriamos empujar fuera de su hueso. En este caso el stripping dental o la reduccion interproximal del esmalte dental es la solucion.
Es importante tener en cuenta que las ventajas y desventajas del stripping dental pueden variar según el paciente y cada caso debe evaluarse individualmente antes de decidir si es el tratamiento adecuado.
Mitos sobre el stripping dental
- «Debilita los dientes y los hace más propensos a caries» → Falso. La reducción es mínima y no compromete la salud del diente si se siguen las indicaciones del ortodoncista. Los dientes presentan en los puntos de contacto un esmalte bastante grueso, en segundo lugar de grosor despues de las cuspides. Los dientes macrodónticos no tienen porque tener más esmalte que los microdónticos.
- «Es un procedimiento doloroso» → Falso. Una de las preocupaciones más comunes de los pacientes acerca del stripping dental es si duele. Si estás en esta situación, para tu tranquilidad te diremos que el stripping es un procedimiento que no tiene por qué ser doloroso, ya que actúa sobre el esmalte dental, una capa del diente superficial que no presenta sensibilidad. Por tanto, durante el procedimiento, lo que se siente es una ligera presión o vibración. No hay dolor asociado con el tratamiento de IPR. Al limar los dientes, solo se elimina una capa muy delgada del esmalte dental, por lo que algunas personas lo sienten como un pulido dental normal. Otras no sienten nada en absoluto. El esmalte dental es el material que forma la capa exterior de nuestros dientes. No contiene nervios, por lo que no suele ser incómodo. Sin embargo, sí debes saber que puede resultar incómoda en ocasiones, ya que la persona nota cómo le están limando el diente.
Consideraciones adicionales
- El desgaste interproximal debe llevarse a cabo de tal manera que el vértice de la papila interdental y el punto de contacto se mantengan en la misma línea perpendicular al plano de oclusión.
- El stripping debe llevarse a cabo de tal manera que el punto interproximal se mantenga a una distancia de 4,5-5 mm desde el borde superior de la cresta ósea. Esto asegura que no aparezcan triángulos negros gingivales.
Es importante destacar que en muchas ocasiones el stripping que hacemos viene a solucionar varios de estos problemas a la vez.
Si estás en tratamiento ortodóncico y tienes dudas sobre este procedimiento, consulta con un especialista para conocer si es adecuado para tu caso.
¿Por qué le están CORTANDO así los DIENTES? STRIPPING en ORTODONCIA
tags: #como #hacer #stripping #en #ortodoncia