Cuando de repente descubres unas marcas rojas tras morder una jugosa manzana, te sobresaltas: te sangran las encías. Podría significar que estás en la etapa inicial de una enfermedad de las encías conocida como gingivitis (otros síntomas pueden incluir encías de color rojo oscuro, blandas o sensibles y mal aliento). La gingivitis es una enfermedad reversible.

El término técnico para la inflamación de las encías es gingivitis. Se trata de una infección de las encías por gérmenes de la cavidad bucal. La gingivitis se define como la “inflamación de la encía”. Está causada por la placa bacteriana, que se deposita sobre las superficies dentales, generando la inflamación y el sangrado de encías. Se puede presentar a cualquier edad y en cualquier localización.
Causas de la Gingivitis
En la mayoría de los casos, la inflamación de las encías se debe a una falta de higiene bucal. La principal causa de la gingivitis es la acumulación de placa bacteriana. La gingivitis es provocada por toxinas encontradas en la placa que causan una infección bacteriana. Esa placa se forma por la presencia de bacterias que se van depositando en forma de película pegajosa y sin color, que, si no se elimina, acaba endureciéndose, formando unos depósitos llamados sarro o tártaro.
Así es como se desarrolla normalmente la inflamación de las encías: Si los dientes y los espacios interdentales no se limpian a fondo y con regularidad, se acumula placa, sobre todo en la línea de las encías. Las bacterias y otros gérmenes pueden propagarse y multiplicarse maravillosamente en esta placa. A continuación, atacan las encías.
Otros factores que pueden contribuir a la gingivitis incluyen:
- Mala higiene bucal
- Odontología defectuosa
- Mala posición dentaria
- Heridas en las encías
- Ciertos medicamentos
- Infecciones virales o fúngicas
- Enfermedades como la leucemia
- Cambios hormonales (embarazo, pubertad, menopausia)
- Fumar
- Estrés
- Boca seca
Síntomas de la Gingivitis
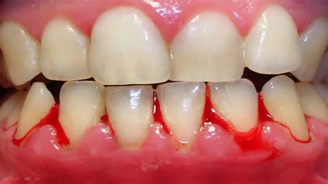
El primer signo suele ser el sangrado de las encías: Cuando te cepillas los dientes, la pasta que escupes no es blanca, sino de color rojizo. Morder una manzana deja un regusto metálico y marcas rojas. Y cuando te limpias entre los dientes, te sale sangre aunque no hayas apretado fuerte con el cepillo interdental ni te hayas resbalado con la seda dental. Si luego observas la zona sangrante, verás que las encías están rojas e inflamadas.
Otros síntomas incluyen:
- Encías rojas, hinchadas y sensibles
- Mal aliento
- Sensación de picor en las encías
Cómo Prevenir la Gingivitis
Para prevenir la gingivitis es indispensable una buena y correcta higiene bucal. La limpieza de nuestros dientes debe ocupar un puesto primordial en nuestra higiene diaria. Aquí hay algunos consejos para mantener una buena higiene bucal:
- Cepillado dental adecuado: Cepíllate los dientes como de costumbre dos veces al día durante unos tres minutos, idealmente después del desayuno y justo antes de acostarte. Utilice un cepillo de dientes de filamentos suaves, lo suficientemente pequeños como para alcanzar las zonas con mayor dificultad de acceso. Coloque el cepillo en un ángulo de 45 grados respecto a la línea gingival y realice movimientos suaves de atrás hacia adelante en cada diente, de modo que el tiempo de cepillado sea al menos de dos minutos en total. Cepille la superficie exterior de los dientes superiores y después, la de los dientes inferiores. A continuación, limpie la superficie interior de los dientes superiores y haga lo propio con los inferiores. No te olvides de las superficies de masticación también.
- Uso del hilo dental: El hilo dental limpia la placa de las zonas a las que el cepillo no puede llegar, como son las zonas interdentales y la zona del margen gingival de las encías. Utilice el hilo dental una vez al día, preferiblemente antes de acostarse, cuando ya haya ingerido todas las comidas del día.
- Cepillos interdentales: A la placa dental le gusta especialmente acumularse entre los dientes. Es el caldo de cultivo ideal para las bacterias, que también atacan desde allí a las encías. Se ha demostrado científicamente que los cepillos interdentales limpian mejor los espacios interdentales que la seda dental.
- Enjuague bucal: El enjuague bucal es una forma estupenda de reducir la placa y mantener las encías sanas. Busca un enjuague bucal diseñado específicamente para el dolor y la inflamación de las encías. Además, intenta utilizar un enjuague bucal que contenga flúor, ya que puede ayudar a proteger tus dientes de las caries.
- Limpieza Profesional: Para que la inflamación de las encías se cure lo antes posible, un dentista debe eliminar la placa dura como una roca que alberga bacterias utilizando un equipo especial. Las limpiezas profesionales son el mejor método de eliminar el sarro de los dientes y, si su gingivitis no ha ido a más, estas limpiezas podrán revertirla.

Hay que dejar claro que, aunque sigamos una higiene estricta, la acumulación de placa es menor, pero inevitable.
Tratamiento de la Gingivitis
La gingivitis aguda no es peligrosa y suele curarse al cabo de unos días. Con una higiene bucal completa, la gingivitis aguda se cura en pocos días. Un tratamiento inmediato puede revertir los síntomas leves de la gingivitis, además de prevenir su evolución a enfermedades más graves.
El tratamiento de la gingivitis es de suma importancia cuando ve por primera vez que aparecen los síntomas en la boca. En caso de gingivitis, lo más importante es un cuidado dental exhaustivo. Aunque sea desagradable e incluso pueda sangrar, una limpieza dental a fondo es una prioridad absoluta y el mejor remedio contra la gingivitis bacteriana. La inflamación aguda de las encías desaparecerá por sí sola.
Si su gingivitis no mejora, debe acudir al dentista al cabo de una semana como máximo para que la revise y prevenir posibles daños consecuentes causados por la periodontitis.
El dentista puede solicitar otros exámenes:
- Una radiografía de la mandíbula muestra si el hueso ya se ha roto por la periodontitis.
- Un análisis de saliva proporcionará información sobre el tipo de bacterias que causan la inflamación de las encías.

Productos Recomendados
- Cepillos de dientes suaves: Si sus encías ya están inflamadas e irritadas, debería utilizar un cepillo especialmente suave. Los profesionales dentales recomiendan cepillos con filamentos finos y suaves. El cepillo de dientes Curaprox CS 5460 se llama así porque contiene 5.460 filamentos Curen® finos y suaves (en lugar de nylon convencional) con un diámetro de 0,1 mm.
- Dentífricos suaves: Evite los dentífricos con agentes blanqueadores agresivos, abrasivos para el esmalte e ingredientes como el SLS (laurilsulfato sódico). En el caso concreto de la gingivitis, el dentífrico debe favorecer la cicatrización de las encías y no irritar aún más la zona inflamada.
- Colutorios con clorhexidina: El estándar de oro para tratar la inflamación de la boca es el principio activo clorhexidina, que en términos sencillos mata todas las bacterias de la cavidad bucal. La clorhexidina está disponible en forma de colutorios, pomadas o geles, que le recomendará su dentista.
Remedios Caseros
Si te duelen las encías, puedes probar algunos remedios caseros para aliviar las molestias antes de acudir a algunas de nuestras clínicas dentales.
- Enjuagues de agua salada: Son una forma estupenda de reducir la inflamación y ayudar a limpiar la boca. Mezcla un cuarto de cucharadita de sal en una taza de agua tibia y haz buches con la mezcla durante 30 segundos.
- Pasta de bicarbonato y agua: Mezcla los dos ingredientes hasta obtener una pasta consistente y aplícala en la zona afectada. Déjala actuar unos minutos y enjuágate la boca con agua tibia.
- Aceites esenciales: Los aceites esenciales como el aceite de árbol de té, el aceite de menta y el aceite de eucalipto se pueden utilizar para ayudar a aliviar el dolor de encías. Diluye unas gotas de aceite esencial en una taza de agua tibia y úsalo como enjuague.
Cuidar de tus encías es esencial para disfrutar de una mejor salud bucodental, lo que a su vez beneficia a todo tu cuerpo.
