¿Tienes preguntas sobre cómo limar los dientes para poner carillas? ¿Quieres conocer los beneficios de una correcta limadura de dientes antes de colocar carillas? Si estás buscando una excelente opción para cambiar la apariencia de los dientes y mejorar tu salud dental, las carillas dentales son una buena solución; pero, ¿Es necesario limar los dientes para ponerlas?
La limadura dental es un procedimiento clínico importante para preparar el diente antes de la colocación de carillas. El objetivo es asegurarse de que la superficie del diente está limpia y libre de impurezas antes de aplicar las carillas.
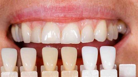
Poner carillas dentales es una excelente manera de mejorar la estética de tu sonrisa. Las carillas dentales son una forma de restaurar la dentadura, mediante la aplicación de láminas de porcelana sobre el esmalte del diente. Estas carillas se utilizan para mejorar la apariencia estética de los dientes, y también para protegerlos contra daños adicionales. Para garantizar su durabilidad, la carilla está fabricada con materiales de alta calidad resistente a la erosión y los cambios en la temperatura.
Si te preguntas si es necesario limar los dientes para colocar carillas, la respuesta es que no siempre. Existen técnicas avanzadas para asegurar que las carillas se ajusten correctamente sin dañar los dientes. Cuando las carillas son demasiado gruesas, algunos dentistas recurren a limar los dientes para permitir el encaje adecuado de las mismas sin comprometer la salud bucal.
La respuesta depende de las ventajas y desventajas que tenga colocar carillas sin limar los dientes. Pero esta forma de colocación no siempre es adecuada para todos los pacientes, porque algunos problemas en la estructura dental requieren limar para obtener un resultado óptimo. La decisión final sobre si se liman o no los dientes para colocar carillas depende del perfil del paciente y del diagnóstico realizado por un profesional odontólogo calificado.

Carillas dentales pueden mejorar la estética de tu sonrisa.
Stripping Dental: ¿Qué es y Cuándo se Utiliza?
El stripping dental, también conocido como limado de dientes, es un procedimiento que consiste en reducir el tamaño del diente para ganar un mínimo de espacio durante el tratamiento de ortodoncia. El stripping dental es una técnica muy común en ortodoncia que también es conocida como la reducción interproximal del esmalte, aunque no en todos los casos se utiliza este método.
Los pacientes que requieren limado en sus dientes son solo los que sufren un grado de apiñamiento dental moderado, ya que aplicando este tratamiento se encuentra el espacio necesario para iniciar la alineación de todos los dientes con la ortodoncia.
¿Para qué se utiliza el stripping en los dientes? La reducción de esmalte interproximal o IPR, (interproximal reduction), tiene diferentes funciones dentro de la ortodoncia:
Ampliación de la Arcada
La función principal de la técnica de stripping en ortodoncia es ganar espacio dentro de las arcadas dentales. En casos en los que se requiere un espacio mínimo para posicionar correctamente un diente que se encuentra fuera de la línea dental, es cuando se usa el stripping dental. Para los pacientes que sufren de apiñamiento dental medio es una buena opción para encontrar el espacio necesario sin tener que deshacerse de alguna pieza dental.
Protrusión de los Incisivos
El IPR también es usado para reducir la protrusión de los incisivos, que es cuando los incisivos superiores, al cerrar la mandíbula, encajan por delante de los incisivos inferiores. La opción más recomendable es reducir el tamaño de los incisivos laterales superiores cuando se presenta una desproporción con los incisivos laterales inferiores con la técnica de stripping dental. Esta afección dental se conoce también como el problema en el índice de Bolton.
Extracción de Piezas Dentales
Por último, el stripping dental se usa para evitar la extracción y pérdida de piezas dentales, ya que es otra forma usada para ganar el espacio necesario para alinear los dientes. Con reducir el tamaño de los dientes al menos unos 0,25 milímetros el ortodoncista puede ganar el espacio necesario para que la arcada se mueva hasta posicionar la pieza dental que se encuentra fuera de ella. La extracción de piezas dentales se usan en casos de ortodoncia más complejos con apiñamientos dentales bastante severos.
Stripping Dental: Todo lo que Necesitas Saber | Técnica Paso a Paso
¿Cuándo se Realiza el Stripping?
La reducción de esmalte interproximal se realiza en determinados dientes con el objetivo de tener un resultado estético armónico, además de ser un método menos invasivo para el paciente, aunque todo irá de acuerdo al estado o las características de su dentadura. En resumen, la reducción interproximal se realiza cuando:
- Se presenta la discrepancia de Bolton, que es cuando el incisivo superior se posiciona fuera del incisivo inferior
- Se quiere simular el desgaste fisiológico de los dientes
- Se presenta alguna deformidad esquelética
- Se quiere obtener espacio para posicionar los dientes dentro de la línea dental estética
¿Para Quién es Aconsejable Este Tratamiento?
El uso del stripping dental o IPR es solo recomendado y aplicado para pacientes que requieren ganar un mínimo de espacio en la estructura dental. Por ejemplo, los pacientes con apiñamiento moderado pueden resolver el problema de espacio con el stripping dental, ya que se presenta como una solución más sencilla y práctica que la extracción.
Es un tratamiento muy habitual en pacientes adultos que llevan ortodoncia, independiente del tipo, con un apiñamiento dental medio.

El stripping dental permite ganar espacio para alinear los dientes.
Stripping Dental: Desventajas y Consecuencias
El tratamiento de stripping dental, en términos generales, no conlleva ningún problema para el paciente, siempre y cuando el tratamiento lo aplique un profesional cualificado. El proceso suele ser muy conservador y eficiente para resolver los problemas de espacio que pueden tener los pacientes con apiñamiento dental medio.
Sin embargo, si se acude a un dentista u ortodoncista que no tenga los conocimientos necesarios para aplicar el stripping dental y haga una eliminación excesiva del esmalte, el paciente puede tener problemas futuros. Evítalos acudiendo a un especialista con experiencia en el procedimiento de stripping.
Una de las consecuencias del stripping dental es el aumento de la sensibilidad en los dientes expuestos al tratamiento de reducción. Los pacientes también podrían sufrir la pérdida de capas sanas o eliminación de estructura dental durante la búsqueda del espacio para la reposición de los dientes.
Limar Dientes Antes y Después
Antes de realizar un tratamiento de stripping dental para ortodoncia es necesario que el especialista tome algunas consideraciones y realice una serie de evaluaciones para conocer el estado de cada diente en particular, ya que no todos los dientes cuentan con la misma cantidad de esmalte. Después de realizar el stripping dental, el especialista debe pulir las áreas rugosas para evitar la acumulación de caries.
Se debe tener en cuenta que después del tratamiento de stripping los dientes pueden aumentar su sensibilidad a los cambios de temperatura, es por ello que los dentistas recomiendan pastas dentales especiales y no consumir bebidas frías para evitar molestias.
Stripping Dental y Ortodoncia
Stripping dental y ortodoncia son dos tratamientos que a menudo van unidos. El stripping dental, también llamado IPR o reducción interproximal, es una técnica odontológica que sirve para reducir levemente el ancho de los dientes. Todos los tipos de ortodoncia (brackets, alineadores invisibles, ataches, etc.) son compatibles con el stripping, al que podemos recurrir siempre que no necesitemos conseguir mucho espacio.
Dentro de un tratamiento de ortodoncia, el stripping puede solucionar distintos problemas concretos. En ocasiones, nos encontramos con que no hay bastante espacio en una o ambas arcadas para que todas las piezas dentales quepan en ellas correctamente alineadas, por lo que se apiñan. Con discrepancia de Bolton nos referimos a una relación desigual entre los dientes de la arcada superior y los de la arcada inferior. Las troneras son pequeños espacios triangulares que se crean entre la encía y dos dientes contiguos que no contactan en su parte superior (sí más abajo). Hay personas con dientes que, por lo que respecta a su tamaño, son muy diferentes entre ellos.
Las tiras de stripping son unas cintas con textura de lija que introducimos en el espacio interproximal de dos dientes. Las limas se parecen a las tiras y se usan de la misma manera.
Dientes Limados para Carillas: Ventajas de Hacerlo
Los dientes limados para carillas es una técnica que, a diferencia de lo que se puede pensar, no modifica la estructura del diente en exceso. Depende mucho del tipo de carilla que queramos utilizar, en las de composite, por ejemplo, no suele ser necesario el limado previo.
Además, el avance en el diseño de las carillas ha reducido su grosor y actualmente podemos encontrar carillas de unos 0.3 mm. Por este motivo, el grosor de la superficie a limar se ha reducido sustancialmente y se produce una alteración más leve de la estructura del diente.
Después del limado y antes de la implantación de la carilla dental definitiva, es necesario seguir una serie de recomendaciones. Primero se debe mantener una buena higiene bucal, incluyendo siempre el enjuague bucodental. Comer alimentos templados para que no se vea afectado por la sensibilidad dental derivada de alimentos muy calientes o muy fríos. También es importante intentar no masticar con los dientes recién limados para evitar daño mecánico.
A continuación vamos a explicar algunas ventajas en el limado previo a la colocación de carillas que describimos a continuación.
Conseguir Algunos Milímetros por Falta de Espacio
En las carillas de composite, si el diente está un poco descolocado o prominente, sí será necesario limar el diente antes de poner la carilla. En las de porcelana, limaremos el diente en el espacio con la encía para que no queden espacios entre carilla y encía donde se acumulen bacterias.
Mejora la Forma de los Dientes
Además de hacer más bonita la forma de nuestro diente, pulir los bordes de la pieza dental y darles una forma más redondeada, los dientes limados para carillas nos ayudarán a evitar fracturas de la carilla en el futuro.
Armonizar el Tamaño de los Dientes
Esta técnica nos permite igualar el tamaño y forma de nuestros dientes, mejorando el aspecto y simetría de estos, lo que aporta belleza.
Requisitos para Someterse al Tratamiento de Carillas Dentales
Las carillas dentales son un tratamiento estético muy demandado que se colocan en las partes visibles del diente y que ofrece excelentes resultados. Sin embargo, no todas las dentaduras son aptas para este tipo de tratamiento y se deben cumplir una serie de requisitos, entre ellos contar con suficiente esmalte dental y una buena salud bucodental.
Contar con Suficiente Esmalte Dental
El esmalte dental es la parte más dura del cuerpo humano y cubre la capa externa de cada diente y también la más visible. Está compuesto de minerales, principalmente de hidroxiapatita y es semitranslúcido, por lo que es parcialmente responsable del color que tienen nuestros dientes. A la hora de someterse a un tratamiento de carillas dentales, es imprescindible contar con suficiente esmalte dental ya que, de lo contrario, la mascarilla no se fijará bien y no contará con una buena retención. Esta es una de las principales condiciones para poder someterse a este tratamiento, ya que de lo contrario se pondría en riesgo la estructura del diente.
Disponer de una Buena Salud Bucodental
En caso de existencia de caries, gingivitis y otras enfermedades bucodentales deben corregirse primero estos problemas antes de poner las carillas. En el caso de la forma y disposición de los dientes, si la desviación del diente es leve no habrá ningún problema, pero si existen apiñamientos pronunciados, lo mejor es tratarlo con ortodoncia antes de poner las carillas.
Tener una Buena Higiene Dental
Es preciso contar con unos dientes y encías saludables. Se necesita de higiene estricta y completa ya que las carillas no protegen de afecciones como las caries. Una vez que ya se han colocado las carillas, se debe continuar con una higiene rigurosa, haciendo uso de un buen cepillo y seda dental y acudiendo a revisiones periódicas al centro de estética dental.
Limar los Dientes o Stripping Dental en Ortodoncia
Como expertos en ortodoncia en Barcelona es habitual encontrarnos con casos en los que es necesario reducir el ancho de algunas piezas dentales para solucionar problemas de espacio. Para ello existe la técnica que se conoce por stripping dental en ortodoncia y que consiste, simplificadamente hablando, en limar los dientes para igualarlos.
El stripping dental es una técnica utilizada en ortodoncia que se basa en la reducción interproximal del esmalte de los dientes. El stripping dental, comúnmente limar los dientes, tiene varias indicaciones en la ortodoncia. La más común, como ya hemos comentado, es la de conseguir algunos milímetros en casos en los que no es posible alinear todos los dientes correctamente por falta de espacio. También está indicado para mejorar la forma de algunos dientes. Por ejemplo, premolares muy redondos o incisivos muy triangulares que crean espacios negros entre el punto de contacto y la papila dental. En esos casos, al aplanar la anatomía del incisivo y hacerlo más rectangular, conseguimos que el punto de contacto se sitúe más a gingival de forma que la papila pueda rellenar el espacio negro.
Otro ejemplo de uso del stripping en ortodoncia es la armonización de los tamaños de los dientes. Para que los dientes encajen correctamente entre ellos, el tamaño de los dientes superiores debe de estar en proporción con los inferiores.
Técnicas para Limar los Dientes
Existen diferentes técnicas para llevar a cabo el stripping dental:
- Tiras de limado: Es el método más sencillo que existe. Se trata de unas tiras de limado las cuales se manipulan manualmente. Se utilizan en casos en los que solamente necesitamos romper el punto de contacto entre los dientes sin necesidad de conseguir mucha reducción.
- Limas: El mecanismo de acción es el mismo que el de las tiras, pero en este caso, las limas están activadas mecánicamente con un contra-ángulo, lo que hace que la técnica sea más delicada.
- Discos: Son el método con el que más espacio se puede conseguir.
Ante casos con falta de espacio, el ortodoncista deberá valorar cuál es el mejor procedimiento para la ganancia de espacio. Ante una importante falta de espacio, seguramente no será suficiente con limar los dientes. Por tanto, no se puede considerar el stripping como mejor o peor método para la ganancia de espacio.
El procedimiento de limar dientes para igualarlos es totalmente indoloro y no requiere de anestesia previa para llevarlo a cabo. La cantidad de material dentario que se reduce no suele superar los 0,5mm entre diente y diente, lo que hace que se limite solamente a esmalte. No obstante, la sensación mientras se está llevando a cabo puede ser algo incómoda.
Tras la reducción, se aplicará un barniz de flúor que ayuda a la remineralización del esmalte.
Stripping Dental: ¿Es Seguro y Efectivo?
La seguridad y eficacia del stripping dental se manifiestan en casos específicos, respaldando su aplicación en situaciones de apiñamiento moderado. Sin embargo, como cualquier intervención, presenta desventajas notables, como la pérdida de esmalte dental, la capa protectora externa de los dientes.
Se ha demostrado que el stripping dental es un procedimiento seguro y efectivo, especialmente cuando se aplica en casos seleccionados. En el ámbito de la ortodoncia, el stripping dental se convierte en una herramienta estratégica para ganar espacio entre los dientes y facilitar su alineamiento. Esta técnica resulta especialmente útil en casos de apiñamiento moderado, donde el espacio adicional es esencial para lograr una corrección efectiva.
Cabe destacar que la evaluación individual de cada caso por un profesional dental experimentado es crucial para determinar la idoneidad de este procedimiento.
Mitos y Realidades del Limado Dental
Cada cierto tiempo, las redes sociales popularizan un nuevo episodio de “malas prácticas para la salud dental”. En el caso de la salud oral, en los últimos años han proliferado multitud de sistemas para corregir determinados aspectos de los dientes. Los dientes están formados por el esmalte (la capa exterior), la dentina (la capa intermedia) y el núcleo, que contiene los nervios y vasos sanguíneos. Por ejemplo, al limar tus dientes estás provocando una agresión en el esmalte, la capa protectora del diente.
Si quieres que tu sonrisa luzca atractiva y armoniosa, no necesitas recurrir a peligrosos métodos caseros. Para ello, en la clínica dental primero realizan un diagnóstico para determinar el estado de salud de los dientes del paciente. El contorneado dental nos permite corregir pequeñas alteraciones e irregularidades para igualar los dientes. Los daños en el esmalte dental son para toda la vida, ya que esta capa no se regenera.
Consideraciones Finales
Es importante recordar que, aunque el stripping dental y el limado para carillas pueden ser beneficiosos, siempre deben ser realizados por un profesional cualificado. Además, mantener una buena higiene bucal y seguir las recomendaciones del dentista son cruciales para el éxito a largo plazo de cualquier tratamiento dental.

Mantener una buena higiene bucal es crucial para la salud dental.