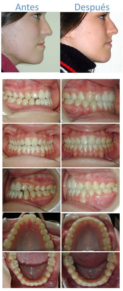
A nuestros pacientes les encanta ver sus fotografías del antes y después de sus tratamientos de ortodoncia. Este tipo de tratamientos dentales ofrecen resultados muy satisfactorios y que duran toda la vida, proporcionando a los pacientes calidad en su mordida y en la colocación de los dientes. Además de un tratamiento estético, muchas personas recurren a la ortodoncia por problemas de salud.
Aunque con fotos de casos reales de ortodoncia es fácil apreciar las diferencias antes y después de ponerse brackets, solo un especialista podrá asesorarnos sobre el tratamiento de ortodoncia que mejor resultados ofrecerá a nuestros dientes.
Tipos de Brackets y sus Resultados
Existen diferentes tipos de brackets, cada uno con sus propias características y resultados. A continuación, exploraremos algunos de los más comunes:
Brackets Metálicos Antes y Después

El tratamiento de brackets metálicos es el más visible de todos, pero además cuenta con la ventaja de que su precio es inferior. Sirven para solucionar prácticamente todo tipo de problemas en la mordida, rotaciones de dientes, apiñamiento y separación entre dientes.
Brackets Estéticos Antes y Después

La ortodoncia estética ofrece la opción de escoger entre dos materiales: de zafiro y de porcelana. Son de las opciones más estéticas ya que son transparentes y los escogen pacientes que quieren obtener un aspecto estético durante el proceso de ortodoncia.
Resultados Ortodoncia Cerámica

Los resultados antes y después de la ortodoncia cerámica, hacen de ella una de las opciones estéticas más escogidas por adultos. Además las abrazaderas usadas en esta ortodoncia son del mismo color que el diente, por lo que la ortodoncia pasa desapercibida. Entre las opciones de ortodoncia estética son los que tienen un precio menor.
Resultados Ortodoncia Invisalign®

La ortodoncia invisible o Invisalign® es un procedimiento dental con férulas transparentes es imperceptible a los demás, por lo que es el método de ortodoncia con un resultado más estético de todos los actuales. Dos de sus ventajas son que el propio paciente puede retirar la férula en casa y limpiar sus dientes de forma habitual. Estas férulas mueven las piezas dentales gradualmente en la boca de pacientes que presentan apiñamiento y sus dientes se colocan en las arcadas de forma correcta.
Corrección de Maloclusiones con Ortodoncia
La ortodoncia corrige diferentes problemas bucodentales como el apiñamiento, la mordida cruzada, bruxismo, sonrisa gingival, dolores temporomandibulares y problemas esqueléticos. En este artículo profundizaremos en diferentes malposiciones y maloclusiones dentales (diastema o dientes separados, el apiñamiento, la agenesia, la sobremordida o la mordida cruzada) y veremos cómo se solucionan con ortodoncia (con brackets o alineadores invisibles).
Diastema Antes y Después de Usar Ortodoncia

Se le llama diastema al espacio o hueco que hay entre dos dientes (normalmente los incisivos centrales superiores, también conocidos como “paletas”). Si los diastemas no se tratan, pueden conllevar caries, desalineamiento de la mandíbula, problemas de encías, etcétera. Los dientes separados antes y después del uso de ortodoncia invisible o brackets cambian muchísimo, ya que se consiguen juntar sin problema. Es por eso que, aplicar una ligera presión en los dientes con ortodoncia en dientes separados, es una buena opción.
Dientes Apiñados Antes y Después de Usar Ortodoncia

El apiñamiento dental es una malposición en la que los dientes se han solapado por falta de espacio. Afortunadamente, la ortodoncia antes y después del apiñamiento dental se nota muchísimo. Gracias a los brackets o a los alineadores invisibles, se puede corregir fácilmente este problema que puede derivar en gingivitis, periodontitis, pérdida del hueso dental o dificultad para hablar, entre otros.
Mordida Abierta Antes y Después de Usar Ortodoncia

Una mordida abierta es un tipo de maloclusión o una desalineación en los dientes que hace que el arco dental superior y el inferior no hagan contacto al cerrar la boca. En los casos más complejos de mordida abierta se requiere cirugía. Sin embargo, en la mayoría de casos,la diferencia entre los brackets antes y después de la mordida abierta, es más que notable.
Sobremordida Antes y Después de su Corrección

La sobremordida es una malposición en la que el arco dental superior cubre el arco inferior en exceso o casi por completo. Si la sobremordida (o sobremordida profunda) se origina en los huesos, tendremos que llevar a cabo una operación para poder ver los cambios del antes y después. Si, por el contrario, el problema solo está en los dientes y necesitan ser reposicionados, con un tratamiento ortodóntico ya se puede solucionar. Es decir, que en este caso, el solo uso de brackets o de alineadores podría solucionarla.
El Prognatismo Antes y Después de Usar Alineadores o Brackets

El prognatismo es una maloclusión dental, igual que la sobremordida, pero a la inversa. Es decir, que la mandíbula inferior sobresale de la superior cubriendo parcialmente los dientes superiores. En la infancia, antes de que los dientes estén totalmente desarrollados, es posible tratar el prognatismo con dispositivos de ortodoncia tradicionales como brackets o con ortodoncia invisible (alineadores transparentes). En adultos (después de que los dientes ya estén totalmente desarrollados), será mucho más probable tener que recurrir a una cirugía. Sin embargo, siempre dependerá de la gravedad del caso.
Overjet Antes y Después de Usar Ortodoncia Invisible o Brackets

Decimos que una dentadura tiene overjet cuando los incisivos superiores tienen una ligera protuberancia respecto a los dientes de abajo y, además, crean un ángulo hacia fuera. Como en el caso de la sobremordida o del prognatismo, las principales consecuencias son problemas al masticar y el cambio en la forma de la cara. Depende de la gravedad del caso, se usará cirugía u ortodoncia para remediar este tipo de maloclusión.
Agenesia Dental Antes y Después

Uno de los problemas dentales más desconocidos es la agenesia o ausencia dental. Este tipo de anomalía se refiere a, como el nombre indica, la falta de alguna pieza dental. El motivo de la agenesia dental es que el diente no se forma y, por lo tanto, hay un hueco entre las piezas dentales contiguas. En algunos casos, la agenesia dental puede requerir solamente un tratamiento de ortodoncia invisible o brackets para solucionarlo.
La Relación Entre los Dientes y los Labios
La relación entre los dientes y los labios es muy estrecha. Los dientes desempeñan un papel clave en el soporte y la forma de los labios, por lo que cualquier cambio en la posición dental puede reflejarse en su apariencia. Antes de colocar los brackets, los labios se adaptan a la posición actual de los dientes. En casos de mordida protrusiva (donde los dientes superiores sobresalen), los labios superiores pueden parecer más pronunciados o incluso dificultar un cierre completo. Por otro lado, si los dientes están inclinados hacia adentro, los labios pueden lucir menos voluminosos o retraídos.
Al colocar los brackets, los labios deben adaptarse a la presencia de estos dispositivos en la superficie de los dientes. Esto puede generar una sensación inicial de volumen adicional o rigidez en los labios, especialmente al hablar o cerrar la boca. Este efecto es más evidente en los primeros meses, mientras los pacientes se acostumbran a los brackets. A medida que el tratamiento avanza y los dientes comienzan a alinearse, los labios también se ajustan progresivamente. Una vez finalizado el tratamiento y retirados los brackets, los labios adoptan su nueva posición en función de la alineación dental lograda. En la mayoría de los casos, esto resulta en una apariencia más equilibrada y armónica.
Los brackets no solo mejoran la estética de la sonrisa, sino que también pueden influir en la funcionalidad de los labios. Una mordida correcta facilita el cierre completo de los labios, lo que puede prevenir problemas como la sequedad bucal o el exceso de saliva.
Cuidados Durante el Tratamiento con Brackets
El uso de brackets requiere una mayor atención a la higiene bucal para prevenir complicaciones que puedan afectar los labios y los tejidos circundantes. En Clínica Belodonte somos expertos en ortodoncia Barcelona y por ello, hoy te daremos consejos para antes, durante y después de la ortodoncia.
- Mantener una higiene exhaustiva. Usa los elásticos, el dentífrico, el colutorio, el hilo dental, y un cepillado especial con perfil en forma de «V», ya que se adapta mejor al aparato.
- Vigilar la alimentación.
- Visitar al dentista.
Consideraciones Finales
El uso de brackets no solo transforma la sonrisa, sino que también puede influir positivamente en la apariencia de los labios y la estética facial general. Aunque durante el tratamiento es normal experimentar ciertos ajustes en la posición y sensación de los labios, los resultados finales suelen ser altamente satisfactorios. Si estás considerando un tratamiento de ortodoncia, no dudes en consultar con un ortodoncista experimentado para resolver tus dudas y garantizar los mejores resultados.