El chupete, un objeto cotidiano en la crianza de los bebés, ha sido objeto de debate durante años. Si bien el uso del chupete puede ser un bálsamo para los bebés inquietos, este pequeño objeto que puede resultar tan cómodo e, incluso, un salvavidas para los padres, en muchas ocasiones, puede tener un lado menos beneficioso. Por eso, es fundamental comprender los efectos y las consecuencias que puede tener en la salud oral y el desarrollo bucodental de los más pequeños, si se utiliza de manera indebida o más tiempo del recomendado.
No hay duda de que el uso del chupete tiene ventajas. Además de calmar el llanto y reconfortar, puede ayudar a conciliar el sueño y satisfacer el reflejo de succión natural de los bebés. Entre estos beneficios se contabilizan una reducción de la incidencia de la muerte súbita en lactantes y el alivio del dolor que produce en los niños la aparición de las piezas dentales.
Sin embargo, su uso también se ha asociado a problemas en el desarrollo bucodental de los niños. Los posibles problemas se pueden producir principalmente por un uso prolongado del chupete. Durante las etapas clave del desarrollo físico, los maxilares de los bebés y niños se moldean en torno a cualquier objeto retenido de forma repetida en la boca, como un chupete o el dedo. Las consecuencias del uso excesivo del chupete abarcan una variedad de problemas dentales y orales.
En resumen, aunque el uso del chupete puede ser útil y beneficioso en las primeras etapas de la infancia, es importante que los padres sean conscientes de sus potenciales efectos negativos en el desarrollo óseo y dental. Si bien el uso del chupete no está desaconsejado, es crucial limitar su uso y seguir ciertas recomendaciones para prevenir problemas futuros.

¿Cómo Afecta el Chupete a los Dientes y al Desarrollo Oral?
El uso del chupete puede afectar a los dientes y al desarrollo oral. Sin embargo, para ello deben darse unas circunstancias muy concretas, entre las que destacan el uso frecuente y prolongado del chupete (más allá de los tres años). Durante las etapas clave del desarrollo físico, los maxilares de los bebés y niños se moldean en torno a cualquier objeto retenido de forma repetida en la boca, como un chupete o el dedo.
Durante la primera etapa de la infancia, los huesos maxilares (maxilar superior y mandíbula) se encuentran en pleno desarrollo y son muy maleables, por lo que pueden moldearse en función de cualquier objeto retenido de forma repetida en la boca. La succión prolongada del chupete puede hacer que el paladar se moldee de forma anómala, volviéndose más estrecho y alto. Esto se conoce como paladar ojival y tiene lugar cuando el maxilar superior se ha desarrollado menos de lo que debería.
Principales Efectos Negativos del Uso Prolongado del Chupete
- Malformaciones en el paladar: El chupete constante puede influir en la forma del paladar, especialmente si se usa durante un período prolongado.
- Problemas en la alineación dental: El uso del chupete puede afectar la alineación de los dientes, especialmente si se usa más allá de la edad en la que deberían haberse erupcionado los dientes permanentes.
- Alteraciones en el crecimiento de los huesos maxilares: durante la primera etapa de la infancia, los huesos maxilares (maxilar superior y mandíbula) se encuentran en pleno desarrollo y son muy maleables, por lo que pueden moldearse en función de cualquier objeto retenido de forma repetida en la boca.
- Presión sobre los dientes y el paladar: el uso continuo del chupete ejerce presión sobre el paladar y los dientes anteriores (delanteros).
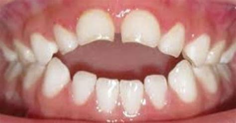
- Mordida abierta anterior: El uso continuo del chupete puede causar una mordida abierta anterior. Esta se da cuando los dientes delanteros superiores e inferiores no se tocan cuando la boca está cerrada.
- Protrusión de los dientes frontales: La protrusión de los dientes frontales no solo afecta a la apariencia estética de la sonrisa, sino que también puede influir en la función masticatoria y el habla.
- Otras maloclusiones dentales: Aunque en menor medida, el uso excesivo del chupete también puede causar otras maloclusiones dentales, como la mordida cruzada.
La succión prolongada de objetos como chupetes y dedos tiene un impacto bien documentado en la estructura oral. La mordida abierta, donde los dientes frontales no logran hacer contacto debido a la deformación del arco dental, puede complicar funciones básicas como masticar y hablar. Además, las deformaciones en el paladar no solo predisponen a mordidas cruzadas sino también pueden influir en el patrón de respiración del niño, favoreciendo la respiración bucal sobre la nasal. Este cambio puede tener consecuencias más allá de la salud dental, afectando el sueño y la concentración por lo que es importante intentar evitar los dientes torcidos por chupete.
El resalte excesivo de los dientes frontales superiores no solo es un asunto estético; aumenta el riesgo de traumas dentales durante caídas o juegos. Asimismo, el retraso en la caída de los dientes de leche y la erupción de los permanentes puede requerir intervenciones ortodónticas posteriores para corregir el desajuste creado.
En los casos en los que sí acaba provocando una malformación, la buena noticia es que suele ser un proceso reversible apenas unos meses después interrumpir su uso. El motivo es que el uso del chupete antes de los tres años no llega a producir malformaciones de la articulación temporomandibular ni deformaciones óseas significativas que modifiquen la arcada dental definitiva.
Impacto del uso nocturno y diurno
El uso adecuado del chupete se refiere a emplearlo de manera estratégica y con moderación, reservándolo para momentos de necesidad real de consuelo, como durante el sueño o situaciones de estrés. En contraste, el uso prolongado implica que el niño tiene el chupete en la boca casi constantemente a lo largo del día, una práctica que puede llevar a dependencia y a los problemas bucodentales previamente mencionados.
El uso nocturno del chupete, especialmente en los primeros meses de vida, puede ser útil para reducir el riesgo de SMSL (síndrome de muerte súbita del lactante), según algunos estudios. Sin embargo, es importante empezar a limitar este hábito a medida que el niño crece, especialmente después del primer año, para evitar alteraciones en el desarrollo dental.
Durante el día, el uso del chupete debe ser aún más restringido. Animar al niño a utilizar el chupete solo durante los momentos de descanso o consuelo y no como una herramienta constante de entretenimiento puede ayudar a evitar la dependencia.
¿Cómo Usar el Chupete Correctamente?
Es importante entender que el uso del chupete, aunque esté muy extendido y parezca inofensivo, debe llevarse a cabo de manera responsable para preservar la salud bucodental de los más pequeños.
Aunque el chupete puede ser útil en ciertas situaciones, es importante emplearlo con moderación y seguir las recomendaciones de uso, higiene y cuidados. También es fundamental estar atentos a cualquier señal de malformación o retraso en el desarrollo de los dientes.
GUIA COMPLETA: El uso correcto del CHUPETE con tu bebé
Aquí hay algunos consejos a tener en cuenta a la hora de usar el chupete:
- Duración adecuada: Es fundamental comprender que el chupete no debe utilizarse de manera prolongada más allá de los 24 meses. A esta edad, aún no se han producido malformaciones mandibulares óseas que afecten la estructura dental definitiva del niño. Limitar el uso del chupete en esta etapa evita posibles complicaciones en el desarrollo bucodental.
- Limpieza rigurosa: Mantener una higiene adecuada es esencial. Los chupetes deben limpiarse regularmente con agua hirviendo y jabón. Este proceso asegura la eliminación de gérmenes y bacterias, contribuyendo a la salud oral general del bebé. Además, es aconsejable evitar técnicas como «chupar» el chupete para limpiarlo, ya que esto puede transferir bacterias de la boca del adulto al chupete.
- Situación oportuna: Los padres deben estar atentos al estado del chupete. Si la goma o el material del chupete muestran signos de deterioro, es imperativo reemplazarlo de inmediato. Un chupete desgastado puede representar riesgos para la salud bucodental y, en algunos casos, convertirse en un peligro de asfixia para el bebé.
- Supervisión odontológica: Realizar un seguimiento regular del desarrollo bucodental del bebé con un odontólogo es una medida preventiva crucial. Un profesional de la salud dental puede evaluar si el uso del chupete está afectando prematuramente la formación de la mandíbula o la alineación de los dientes. La intervención temprana puede corregir posibles problemas y garantizar un desarrollo bucal saludable.
- No usar el chupete como sustituto de la atención: es preferible no usar el chupete para calmar al niño cuando requiere atención.
- Planificar la eliminación gradual del hábito: en general, resulta aconsejable desalentar el uso del chupete entre el primer y el segundo año de vida, así como haber eliminado el hábito por completo cuando el niño cumple los tres años de edad.
- Higienizar el chupete: para reducir el riesgo de caries es fundamental mantener limpio el chupete.
- Observar el impacto del chupete: adicionalmente, es recomendable vigilar cualquier cambio en los dientes o en el comportamiento del bebé.
Al seguir estas pautas, los padres pueden ofrecer el chupete como una herramienta de consuelo sin comprometer la salud oral a largo plazo de sus hijos. La clave radica en un uso consciente y responsable del chupete, respaldado por la orientación de profesionales de la salud dental.
Consejos para un uso moderado
- Introduce el chupete gradualmente: No ofrezcas el chupete de manera preventiva; en su lugar, utilízalo solo cuando otras formas de consuelo, como mecer o cantar, no sean suficientes.
- Establece límites claros: A medida que tu hijo crece, introduce reglas sobre cuándo y dónde se puede usar el chupete. Por ejemplo, puede limitarse solo para la siesta y la hora de dormir.
- Ofrece alternativas: Fomente otras formas de autoconsuelo, como abrazar un peluche o una manta de seguridad, para reducir la dependencia del chupete.
- Observa las señales para dejarlo: A menudo, los niños muestran interés en dejar el chupete por sí mismos. Apoya y anima este proceso natural, sin forzarlo, pero aprovechando la oportunidad para alentar la independencia del chupete.

Tratamiento de Patologías Causadas por el Uso Incorrecto del Chupete
El tratamiento de las patologías derivadas de un mal uso del chupete se centra en corregir las maloclusiones, así como en abordar cualquier deformidad en el desarrollo bucodental del niño.
- Ortodoncia: La ortodoncia puede ser necesaria para corregir maloclusiones, desplazamientos dentales y problemas de alineación causados por el uso prolongado del chupete. Los tratamientos ortodónticos, como los brackets o alineadores transparentes, ayudan a reposicionar los dientes y a alinear adecuadamente la mandíbula.
- Aparatos correctivos: En casos más graves, pueden ser necesarios aparatos correctivos para abordar malformaciones maxilares o mandibulares. Estos dispositivos pueden incluir expansores palatinos para corregir estrecheces en el paladar o aparatos funcionales que influyen en el desarrollo de la mandíbula.
- Extracciones dentales: En situaciones donde la maloclusión es significativa, la extracción de dientes temporales puede ser una medida necesaria para permitir el crecimiento adecuado de los dientes permanentes y corregir la alineación dental.
- Seguimiento profesional continuo: La clave para un tratamiento exitoso es el seguimiento continuo con un odontólogo especializado en odontopediatría u ortodoncia. Los profesionales evaluarán la evolución del desarrollo bucodental del niño y ajustarán el plan de tratamiento según sea necesario.
- Terapia de logopedia: En casos en los que el uso del chupete ha afectado negativamente la función del habla, la terapia de logopedia puede ser beneficiosa. Los logopedas trabajan en conjunto con otros profesionales de la salud para abordar cualquier dificultad en la articulación del habla.
- Educación y cambio de hábitos: Es esencial educar a los padres sobre prácticas saludables para prevenir y abordar problemas derivados del uso del chupete.
El Chupete y el Hábito de Chuparse el Dedo
A muchos padres les preocupan los efectos del chupete en los dientes de sus hijos. Sin embargo, chuparse el dedo, además, no está exento de riesgos en lo que se refiere a problemas de alineación dental. Es decir, quienes crean que esta es una consecuencia del uso del chupete que pueden evitar, están equivocados, porque puede darse igualmente si el niño se chupa el dedo.
Por un lado, las tetinas y chupetes son más fácilmente esterilizables que las manos de los niños; en contacto permanente con agentes contaminantes. Aparte de favorecer la mordida abierta, la presión que ejerce el pequeño al succionar el propio dedo, repercute en una elevación excesiva de la bóveda del paladar, al tiempo que se va estrechando paulatinamente la arcada maxilar.
De hecho, estas alteraciones no revierten espontáneamente y suelen requerir la intervención del odontopediatra más pronto o más tarde. Así pues, los riesgos de chuparse el dedo son superiores a los del chupete. Además, las manos de los niños están en contacto permanente con gérmenes, favoreciendo las infecciones.
Conclusiones
En resumen, diferentes estudios y asociaciones odontológicas profesionales señalan que el chupete no debe ser una preocupación siempre que no se use más de lo necesario y tengamos claro que llegado el momento de la retirada hay que ser firmes.
El chupete puede ser un aliado en la crianza durante los primeros años de vida de un niño, ofreciendo consuelo y apoyo en momentos clave. Sin embargo, su uso debe ser equilibrado y consciente, tomando en cuenta el desarrollo bucodental a largo plazo del niño.
| Aspecto | Recomendación |
|---|---|
| Duración del uso | Limitar el uso a los primeros 24 meses. |
| Higiene | Limpiar regularmente con agua hirviendo y jabón. |
| Estado del chupete | Reemplazar si muestra signos de deterioro. |
| Supervisión | Realizar seguimiento odontológico regular. |
| Alternativas | Fomentar otras formas de consuelo. |