El bruxismo es una patología cada vez más frecuente, caracterizada por el rechinar involuntario de dientes, que afecta a una parte importante de la población. En los últimos años, el bruxismo ha empezado a ocupar una parte importante de las patologías más comunes en nuestra sociedad.
En este artículo, te explicamos las causas del bruxismo, cómo identificarlo y, lo más importante, prevenirlo y tratarlo. Este movimiento inconsciente de las mandíbulas puede darse tanto durante el día como durante la noche.
Causas, síntomas y tratamientos del Bruxismo
¿Qué es el Bruxismo?
Si te estás preguntando qué es el bruxismo, consiste en un movimiento de la mandíbula que provoca presión o fricción entre nuestros dientes. El bruxismo comprende desde el hecho de apretar los dientes y producir tensión mandibular y dental, como el deslizamiento y la fricción.

Causas del Bruxismo
Hay mucho debate sobre qué produce el bruxismo y cuál es su origen. El bruxismo puede estar provocado por una combinación de factores físicos, psicológicos y genéticos, aunque no se asocia con ninguna enfermedad grave.
En este sentido, el estrés, la ansiedad y los problemas de sueño suelen utilizarse como causas principales del bruxismo. Esta patología es más común en personas con niveles altos de estrés.
Está demostrado que una de las principales causas del bruxismo es la acumulación de estrés y ansiedad. Cuando nos estresamos, todo nuestro cuerpo se tensa, incluidos los músculos de la ATM. Esto favorece la rigidez de la mandíbula y ese roce constante de las arcadas dentarias.
El bruxismo nocturno puede deberse a múltiples factores, tanto físicos como emocionales:
- Estrés y ansiedad: El estrés es una de las principales causas del bruxismo nocturno. Muchas personas liberan la tensión acumulada durante el día apretando los dientes mientras duermen.
- Trastornos del sueño: El bruxismo nocturno se asocia con otros problemas del sueño, como el insomnio, la apnea del sueño y el síndrome de piernas inquietas.
- Consumo de sustancias estimulantes: El consumo de cafeína, alcohol y tabaco antes de dormir puede aumentar la actividad muscular y provocar episodios de bruxismo.
- Factores genéticos: El bruxismo nocturno también puede tener un componente hereditario.
Tipos de Bruxismo
Si hablamos de bruxismo, podemos distinguir entre dos tipos:
- Bruxismo diurno: Es aquel que sufrimos durante el día de forma inconsciente, haciendo rechinar los dientes por costumbre o tensión. Puede ser causado por diversos factores, desde el estrés hasta la mala postura.
- Bruxismo nocturno: Es el rechinamiento de dientes que ocurre durante la noche mientras estamos dormidos. A menudo, ni siquiera nos damos cuenta de que estamos haciéndolo. El bruxismo nocturno puede ser causado por una variedad de factores, incluyendo el estrés, la ansiedad, la cafeína y los problemas de las articulaciones temporomandibulares. Si el bruxismo nocturno es severo, puede causar daños a los dientes y a las encías.
Síntomas del Bruxismo
Es variada la sintomatología del bruxismo en las personas y muchas veces es el dentista especialista quien se da cuenta de que el paciente lo padece. Como el bruxismo suele darse durante las horas de sueño, los síntomas pueden resultar más difíciles de identificar. Cuanto antes los detectes, menores serán las consecuencias.
¿Cuántas veces te has levantado por la mañana con dolor de cabeza, sensación de cansancio o con molestias en la boca? Concretamente, el bruxismo es una disfunción de la articulación temporomandibular o ATM (el conjunto de músculos y estructuras que unen la mandíbula al cráneo). Si percibes alguno de estos síntomas, acude al dentista para que diagnostique esta patología y pueda ponerle solución.
¿Te despiertas con dolor en la mandíbula, la cabeza o el cuello o sientes que tus dientes están desgastados? Es posible que sufras de bruxismo, un hábito involuntario de apretar o rechinar los dientes que puede afectar tanto tu salud bucal como tu bienestar general.
Principales síntomas del bruxismo:
- El dolor mandibular y el dolor de cabeza.
- Palpando los laterales de la mandíbula podemos notar si tenemos tensión o la musculatura contracturada.
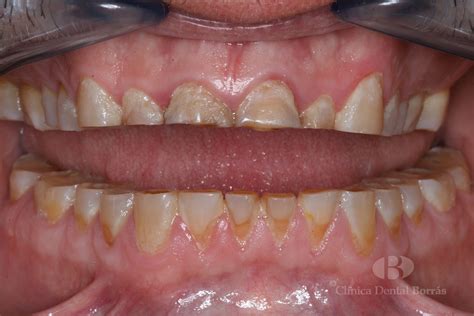
Uno de los síntomas más frecuentes del bruxismo nocturno es la sensación de tensión o dolor en la mandíbula al despertar. El desgaste dental es uno de los signos más claros de bruxismo. Si tu pareja o familiares han notado que haces ruidos de rechinamiento mientras duermes, esta es una señal evidente de bruxismo nocturno.
El apretamiento constante puede desgastar el esmalte de los dientes, especialmente al nivel de las encías (el cuello de los dientes) lo que aumenta la sensibilidad al frío, calor o alimentos dulces. Alineación dental: una mordida desalineada puede contribuir al apretamiento involuntario.
Si no fuera por los síntomas del bruxismo nocturno, muchas personas no sabrían que padecen este problema, ya que sucede mientras dormimos. Identificar estos signos a tiempo es clave para prevenir daños en los dientes y la articulación temporomandibular (ATM).
Signos y síntomas del bruxismo nocturno:
- Desgaste dental y sensibilidad en los dientes: El rechinamiento constante desgasta el esmalte dental, provocando que los dientes se vuelvan más sensibles al frío, calor o alimentos dulces.
- Dolores de cabeza frecuentes: Las personas con bruxismo nocturno suelen experimentar dolores de cabeza tensionales al despertar.
- Ruido de rechinamiento: En muchos casos, el bruxismo nocturno es escuchado por la pareja o familiares.
- Dificultad para abrir y cerrar la boca: El esfuerzo excesivo que realizan los músculos de la mandíbula durante la noche puede provocar rigidez en la articulación temporomandibular (ATM).
- Dolor en cuello y oídos: Esto se debe a que la articulación temporomandibular está conectada a otros músculos y estructuras del cráneo.
Los síntomas del bruxismo nocturno no solo causa molestias temporales, sino que puede generar daños progresivos en la salud bucal si no se trata. Apretar y rechinar los dientes constantemente durante la noche puede provocar desgaste dental, fracturas, problemas en la articulación temporomandibular (ATM) y afectaciones en las encías.
El esmalte es la capa más dura y protectora de los dientes. Pero el bruxismo nocturno puede desgastarlo rápidamente debido a la fricción constante entre los dientes superiores e inferiores. La presión excesiva que genera el bruxismo nocturno puede causar microfisuras en los dientes, las cuales pueden volverse fracturas más grandes con el tiempo.
El bruxismo nocturno afecta directamente la articulación temporomandibular (ATM), que es la encargada de conectar la mandíbula con el cráneo. La fuerza ejercida al apretar los dientes puede afectar las encías y el tejido de soporte dental, provocando recesión gingival.
Los síntomas del bruxismo nocturno indican un trastorno multifactorial que puede estar influenciado por factores físicos, emocionales y del estilo de vida. Aunque cualquier persona puede desarrollar este problema, hay ciertos factores que aumentan el riesgo de rechinar o apretar los dientes mientras duerme.
Las personas con desalineación dental o mordidas irregulares pueden ser más propensas al bruxismo nocturno. El bruxismo nocturno está estrechamente relacionado con trastornos del sueño como la apnea obstructiva del sueño; una condición en la que la respiración se interrumpe repetidamente mientras la persona duerme.
Los hábitos de consumo antes de acostarse pueden influir en la aparición del bruxismo nocturno. Sustancias estimulantes como la cafeína y la nicotina pueden aumentar la actividad muscular y provocar episodios de rechinamiento dental. Algunos fármacos, especialmente los antidepresivos y medicamentos para el sistema nervioso central, pueden aumentar la incidencia de bruxismo nocturno.
Si presentas síntomas recurrentes, es fundamental acudir a un odontólogo para evitar complicaciones graves. Uno de los signos más evidentes del bruxismo nocturno es el dolor en la mandíbula, los dientes o la articulación temporomandibular (ATM) al despertar. Esta molestia se debe a la tensión acumulada durante la noche, cuando los músculos maxilares trabajan en exceso.
El rechinamiento constante de los dientes puede provocar desgaste en el esmalte dental, dejando los dientes más vulnerables a la sensibilidad, caries y fracturas. El bruxismo nocturno puede afectar la movilidad de la mandíbula y dificultar acciones básicas como masticar, bostezar o abrir completamente la boca.
Los pacientes con bruxismo nocturno pueden experimentar chasquidos, crujidos o ruidos articulares al mover la mandíbula. Estos sonidos pueden ser una señal de que la ATM está afectada y requiere atención especializada.

Tratamiento del Bruxismo
Para encontrar un buen tratamiento para el bruxismo, es importante encontrar el origen de esta patología. Desde las clínicas dentales apostamos por tratamientos que puedan ayudarte a reducir los efectos negativos del bruxismo.
El tratamiento más eficaz para el bruxismo consiste en llevar unas férulas de descarga mientras dormimos, para evitar que los dientes rechinen cuando entran en contacto. Como especialistas, acostumbramos a apostar por las férulas de descarga.
La férula de descarga nos ayuda a relajar la articulación ATM y así reducir el rechinamiento que produce el gesto mandibular. Al igual que la fisioterapia para rehabilitar o descontracturar la musculatura, también evita las consecuencias nocivas del bruxismo sobre tu musculatura o boca, pero no evita el bruxismo.
El tratamiento más común y eficaz son las férulas de descarga, es decir, unos protectores dentales realizados a medida para mantener la mandíbula relajada y evitar una lesión dentaria.
Una férula de descarga o Férula Michigan es un dispositivo confeccionado digitalmente y a medida que se coloca sobre los dientes para protegerlos del desgaste causado por el bruxismo. Si presentas varios de los síntomas mencionados anteriormente, es probable que necesites una férula de descarga.

Medidas Adicionales
Si bien el bruxismo nocturno puede tener múltiples causas, existen medidas que puedes adoptar en casa para reducir su intensidad y evitar complicaciones. Estos hábitos ayudan a relajar los músculos de la mandíbula, mejorar la calidad del sueño y disminuir la presión sobre los dientes.
El consumo de café, té, bebidas energéticas y alcohol antes de dormir puede aumentar la actividad muscular involuntaria y empeorar el bruxismo nocturno. El calor ayuda a relajar los músculos de la mandíbula y reducir la tensión acumulada durante el día. El estrés y la ansiedad son factores clave en la aparición del bruxismo nocturno.
La postura corporal influye en la salud de la mandíbula y la articulación temporomandibular (ATM).
Técnicas como la meditación, yoga o fisioterapia pueden ayudar a reducir la tensión en la mandíbula. En muchos casos, el paciente puede necesitar medicación genérica o específica para calmar o poder tratar el bruxismo dental como como analgésicos y antiinflamatorios, o incluso las infiltraciones de bótox en la ATM.
Evita el consumo excesivo de cafeína, alcohol y otras sustancias estimulantes.
Prevención del Bruxismo
Visitar a tu dentista cada 6 meses es una de tus mejores herramientas de prevención para la detección precoz del bruxismo y cualquier anomalía. Como siempre decimos, es fundamental mantener una buena salud oral.
Acudir al dentista a tiempo es clave para evitar complicaciones graves del bruxismo nocturno. Si sientes dolor en la mandíbula, notas desgaste en tus dientes, tienes dificultades para masticar o experimentas ruidos articulares, debes consultar a un especialista.