La caries dental es un problema común que puede afectar a personas de todas las edades. Detectar las caries en una etapa temprana es crucial para prevenir complicaciones mayores y mantener una buena salud bucal. En este artículo, exploraremos cómo identificar las caries, especialmente en los dientes frontales, y las medidas que puedes tomar para prevenir y tratar este problema.

¿Qué es la Caries Interproximal?
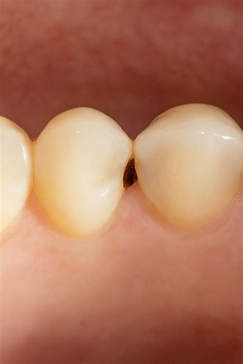
La caries interproximal es aquella que se desarrolla en los espacios entre los dientes. Estas caries son más difíciles de detectar y, al afectar a más de un diente, son especialmente graves. Las personas con apiñamiento de dientes o que llevan ortodoncia o prótesis tienen más riesgo de padecer caries interproximales porque son más propensas a la acumulación de alimentos.
Las caries interdentales, también conocidas como caries interproximales, son aquellas que se desarrollan en los espacios entre los dientes, donde el cepillo dental no llega con facilidad. Estas caries se forman debido a la acumulación de placa bacteriana en zonas de difícil acceso.
Una carie interproximal es una carie entre los dientes. Se produce cuando la placa se queda en el diente y se endurece, y las encías se recubren de sarro. El ácido de la placa elimina los minerales del esmalte externo. Esta erosión provoca que el esmalte se descaste, la cual se denominaría la primera fase de una caries.
¿Cómo Detectar una Caries Interproximal a Tiempo?
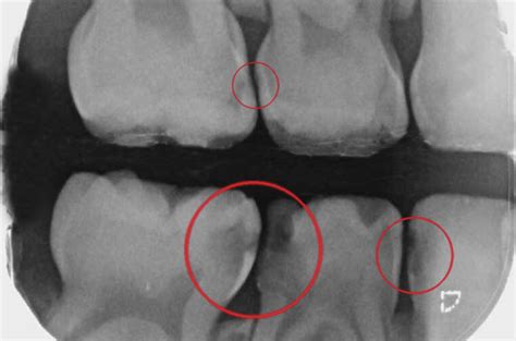
Es muy importante realizar revisiones periódicas en el dentista para poder detectar las caries interproximales de forma precoz. Será el especialista quien, mediante una radiografía, pueda hacer un diagnóstico y aplicar el tratamiento para las caries interproximales más adecuado. Una forma de detectar la caries interproximal es cuando, al pasar el hilo dental, notamos que se engancha y provoca dolor.

¿Cómo saber si tengo caries?
Identificar una caries en sus etapas iniciales resulta bastante complicado, especialmente porque en este punto, rara vez se asocia con dolor. Una de las primeras señales visibles es la aparición de manchas blancas en el esmalte del diente. Otro indicio podría ser una ligera sensación de sensibilidad cuando se consumen alimentos o bebidas dulces, frías o calientes. Finalmente, se puede notar una ligera alteración en la textura del diente al pasar la lengua o al cepillarse.
Visualmente, una caries pequeña puede no ser muy llamativa, pero hay características específicas que ayudan a identificarla. Además de las manchas blancas antes mencionadas, una caries en sus inicios suele mostrar cambios de coloración. En algunas ocasiones, la caries pequeña aparece como una pequeña cavidad o un hoyo en el diente. Estas cavidades son poco profundas al inicio y se localizan frecuentemente en los surcos de los molares o en las áreas cercanas a la línea de las encías en los dientes frontales.
Una buena práctica es usar un espejo dental de mano junto con una buena fuente de luz para examinar tus dientes regularmente. Además, se pueden utilizar algunas herramientas útiles como los reveladores de placa.
¿Cómo tratar una carie interproximal?
El tratamiento dependerá de la gravedad de la caries. Si la caries se detecta muy pronto, el dentista puede aplicar un tratamiento con flúor (en forma de gel, espuma, barniz o líquido). Esto ayudará a restaurar el esmalte y a veces a revertir el daño. Una caries detectada a tiempo puede tratarse con un simple empaste. Se perfora el diente para eliminar la caries y luego se rellena con un material como porcelana, oro, plata, resina o amalgama. Tras el empaste, la cavidad se amplía con más esmalte y el empaste se utiliza para devolver al diente su forma y función normales.
Si la caries es grave y se deja sin detectar y sin tratar durante mucho tiempo, la endodoncia puede ser la mejor opción para salvar el diente. La endodoncia consiste en la extracción de las encías del interior del diente. Se limpia y desinfecta el diente y se sella la forma del empaste en el hueco. Después de la endodoncia se coloca una corona. La corona está hecha de diversos materiales, como cerámica, composite, resina, metal, porcelana o una combinación de ambos.
Las principales opciones de tratamiento son:
- Remineralización dental: En etapas tempranas, se puede revertir el daño con tratamientos de flúor.
- Extracción de la caries: Cuando la caries es más avanzada, habrá que extirpar la zona del diente afectada y reconstruir la pieza dental con un empaste.

¿Qué pasa si tengo caries en los dientes delanteros?
Cuando la caries afecta a los dientes de un niño, puede provocar problemas dentales, una mala salud bucodental e incluso la posible pérdida de los dientes. Cuando la caries afecta a los dientes de los niños, éstos tienen más probabilidades de perder piezas dentales que los adultos. Además, las bacterias que crecen en la boca del niño pueden causar infecciones graves, como abscesos dentales, enfermedades de las encías, abscesos dentales y caries. La caries no tratada también entraña peligros para los niños. Si no se trata, la caries puede provocar problemas dentales más graves e incluso la pérdida de los dientes.
Caries en Dientes de Leche
Las caries en dientes de leche son comunes en los niños y pueden surgir debido a diversas causas. Uno de los factores principales es la mala higiene bucal, lo que permite que las bacterias se acumulen en los dientes y causen la desmineralización del esmalte. Además, la dieta alta en azúcares y carbohidratos también juega un papel crucial, ya que estos alimentos alimentan a las bacterias que producen ácidos que dañan los dientes.
Si un diente de leche tiene caries, no solo se afecta el diente en sí, sino que también puede impactar el desarrollo de los dientes permanentes. Las caries pueden causar dolor, infección y, si no se tratan, pueden llevar a la pérdida prematura del diente de leche.
En muchos casos, las caries en dientes de leche no causan dolor inmediato. Sin embargo, a medida que la caries avanza, puede causar dolor al masticar, beber líquidos fríos o calientes, y provocar molestias constantes.
Es crucial no subestimar la aparición de caries en los dientes de leche porque pueden tener un impacto significativo en la salud bucodental. La formación es similar tanto en los primeros dientes como en los permanentes; sin embargo, hay algunas diferencias claves que hay que considerar sobre su desarrollo. En primer lugar, el esmalte en los dientes de leche es más delgado que en los permanentes. Por lo tanto, la infección avanza y llega a las estructuras internas más rápido.
Los tratamientos que se aplican en los dientes de leche suelen ser conservadores. Por lo general, el dentista optará por usar selladores o restauraciones simples. Sin embargo, la elección del material restaurador y la técnica varían según la edad del niño y la extensión de la infección. Si se trata de casos graves será necesaria la extracción del diente de leche.
Tratamientos de la caries infantil
Hay que tratar la caries infantil aunque aparezcan en los dientes de leche. Existen diversos tratamientos para estas lesiones y el odontopediatra aplicará el más adecuado dependiendo de la gravedad. Un diente cariado se puede reparar si está en sus primeras etapas. Pero en los casos más graves será necesario extraerlo. Veamos cuáles son los tratamientos disponibles para las caries infantiles.
- Aplicación de flúor: Si la caries se detecta en su primera fase, cuando aún es una mancha blanca, el tratamiento es sencillo. El odontopediatra aplicará flúor en la zona afectada para restaurar el esmalte y evitar que la lesión siga avanzando.
- Restauraciones con empaste: Cuando la caries avanza y se forma una cavidad en el diente, no es suficiente aplicar flúor. En este caso el odontopediatra recurrirá a una restauración con empaste.
- Pulpotomía o pulpectomía: Son dos tratamientos distintos que se aplican cuando la caries ha avanzado hasta la pulpa del diente. La aplicación de uno u otro depende de la magnitud del daño que ha provocado en la pulpa del diente.
- Extracción de diente: Si la caries avanza y provoca un daño extenso en el diente de leche, entonces el especialista optará por extraerlo.
Llevar a los niños al dentista a tiempo permitirá detectar cualquier lesión a tiempo. Y con ello, evitar llegar a la extracción del diente cariado.
Hay personas que ignoran las caries en los niños porque están en los dientes de leche. Sin embargo, es un error hacerlo, porque el daño se puede extender a las encías y los dientes permanentes. Una caries no tratada puede provocar que el diente secundario sea más débil o tenga manchas en el esmalte. Además, lo ideal es mantener los dientes de los peques sanos y evitar extraerlos para que cumplan con su función.
Caries de la Primera Infancia
La caries de primera infancia es un tipo de caries que afecta a los dientes de leche en los primeros años de vida. Este problema dental es común en niños pequeños y está relacionado principalmente con el uso frecuente de biberones con bebidas azucaradas o al dejar que los niños se duerman con el biberón en la boca.
La caries de la primera infancia es un problema grave que afecta a muchos niños pequeños. Se trata de un tipo de caries dental, que suele aparecer en los dientes posteriores, y que puede dañar rápidamente la dentadura del niño y perjudicar su salud general.
Tipos de caries en niños
- Caries de biberón: Común en bebés y niños pequeños que usan biberones con líquidos azucarados, como jugos o leche.
- Caries interproximal: Ocurre entre los dientes, especialmente cuando los niños no utilizan hilo dental.
- Caries en los molares: Este tipo de caries afecta a los molares de los niños, que son los primeros dientes que salen.
Para detectar la caries de la primera infancia, los profesionales sanitarios recomendamos que los padres nos visiten regularmente a nuestras consultas con vuestros hijos. Nuestros dentistas especialistas en odontopediatría también podrán aconsejaros a los padres sobre medidas de higiene bucal y dietéticas que pueden prevenir la caries en el futuro.
También es posible que los padres deseéis realizar un examen bucal en casa a su hijo con regularidad. Un examen en casa puede ser realizado por vosotros y evitar, de esta manera, tener que visitar de manera muy regular nuestras consultas dentales.
Una vez detectada la caries en los dientes de un niño, nuestros doctores especialistas en odontopediatría realizarán una endodoncia o un empaste. También es probable que se recomiende al niño una dieta baja en azúcar y rica en calcio, que puede ayudar a prevenir la reaparición de la caries.
Si la caries ha progresado hasta el punto de dañar gravemente los dientes, nuestro dentista puede llegar a recomendar su extracción. La extracción de los dientes puede realizarse mediante diversos métodos, como el láser, el taladro o el tallado de los dientes con un taladro de alta velocidad.
Los padres debéis ayudar a vuestros hijos a cepillarse los dientes de manera correcta y regularmente. Un cepillado demasiado fuerte o frecuente puede dañar los dientes, mientras que un cepillado adecuado puede eliminar la placa y reducir el riesgo de caries.
Los padres también debéis animar a vuestros hijos a beber abundante agua tratada con flúor y a consumir alimentos nutritivos y bajos en azúcar.
Causas de la caries infantil
- Consumo excesivo de azúcares: Cuanto más frecuente sea el consumo de azúcares, mayor será el riesgo de desarrollar caries.
- Falta de higiene bucal: Establecer una rutina de higiene regular en los niños permite eliminar la placa que se acumula en los dientes.
- Factores genéticos y ambientales: Algunos niños pueden tener un esmalte dental más débil o una saliva menos protectora.
- Caries del biberón: un riesgo específico: Dejar que los niños pequeños se duerman con el biberón o lo usen mucho tiempo, agregar miel o azúcar al biberón o al chupete, también influyen en la aparición de las caries tempranas.
- Deficiencias nutricionales: Una dieta baja en calcio, vitaminas y minerales vuelve a los niños más propensos a las caries.
Síntomas de la caries infantil
Desde que aparece el primer diente, los niños son propensos a tener caries. Esta enfermedad aparece de forma sigilosa y si no se trata a tiempo puede llevar a la pérdida del diente. Por ello es necesario que los padres estén atentos a los síntomas de las caries que puedan presentar sus hijos.
- El primer síntoma de la caries es la aparición de manchas blancas en los dientes.
- Esa mancha blanca se puede oscurecer, hasta llegar a formarse una cavidad en el diente.
- Con el tiempo, el daño llega a las capas internas del diente y es cuando aparece el dolor.
- Las encías rojas y el sangrado después de cepillarse los dientes también indican que hay bacterias y que pueden haber comenzado a dañar las piezas dentales.
Es importante que, al aparecer las primeras señales de daño en los dientes, lleves a tus hijos al odontopediatra en Salamanca para que aplique el tratamiento adecuado. Es clave tratar el daño temprano para evitar que se expanda o que provoque la pérdida de la pieza.
¿Cómo prevenir la caries en niños?
Aunque hay tratamientos oportunos e indoloros para tratar la caries infantil, lo mejor es prevenir que aparezcan. Estas recomendaciones que te damos a continuación reducirá las posibilidades de que aparezcan caries en los niños.
- Deben cepillarse los dientes al menos dos veces al día y después de comer cualquier tipo de golosina.
- Enséñale la técnica de cepillado correcta, el dentista te puede ayudar con esto.
- Cómprale una pasta dental con flúor especial para niños.
- No dejes que se vaya a dormir con el biberón, ni tampoco le añadas azúcar o miel a este o al chupete.
- Reduce el consumo de golosinas, alimentos y bebidas azucaradas o ácidas.
- Incentiva el consumo de alimentos crudos y ricos en fibra, como la zanahoria o la manzana.
- Lleva a tu hijo a consulta con el dentista dos veces al año.
Caries Radicular
La caries radicular es un tipo de caries que afecta directamente a la raíz del diente, normalmente en personas con encías retraídas o enfermedades periodontales. A diferencia de las caries comunes que se desarrollan en la corona dental, esta se forma debajo de la encía o cerca de ella, lo que dificulta su detección y tratamiento precoz.
La caries radicular es una lesión que afecta a la superficie de la raíz del diente, es decir, a la parte del diente que normalmente permanece cubierta por la encía. Cuando la encía se retrae por envejecimiento, enfermedades como la periodontitis o incluso por un cepillado agresivo deja expuesta esta zona.
En condiciones normales, el cemento radicular no entra en contacto con bacterias ni ácidos, pero al quedar expuesto, se convierte en un blanco fácil para la caries. Las caries radiculares suelen desarrollarse bajo la línea de la encía, especialmente en personas mayores o con enfermedades como la periodontitis.
Uno de los principales problemas de la caries radicular es que suele pasar desapercibida en sus fases iniciales. Sin embargo, hay ciertas señales que pueden ponerte en alerta. Es importante prestar atención a cualquier cambio en la base de los dientes o en las encías.
Dado que este tipo de caries puede desarrollarse sin síntomas claros, el diagnóstico profesional es indispensable. No todas las caries radiculares tienen el mismo grado de afectación. Es la fase inicial, cuando solo afecta a una pequeña parte de la raíz. Cuando no se detecta a tiempo, puede progresar hacia el interior del diente o incluso al hueso.
Mantener una sonrisa sana implica también cuidar lo que no se ve. La caries radicular puede pasar desapercibida durante meses, pero sus consecuencias pueden ser graves si no se trata a tiempo.
Prevención de las Caries Interdentales
La prevención es siempre la mejor estrategia cuando se trata de caries dentales, y para ello no hay nada mejor que mantener una buena higiene bucal; esto incluye cepillarse los dientes al menos dos veces al día con pasta dental con flúor, usar hilo dental diariamente y enjuagarse con un enjuague bucal antibacteriano.
Las caries interdentales son un problema común pero prevenible. Una buena higiene bucal, revisiones periódicas y una dieta equilibrada son clave para evitarlas.
Las caries interdentales se forman debido a la acumulación de placa bacteriana en zonas de difícil acceso. Varios factores contribuyen a la aparición de caries entre los dientes. El principal motivo es una limpieza dental insuficiente.
Las bacterias que causan las caries se alimentan de los restos de azúcares y almidones presentes en la boca. La saliva ayuda a neutralizar los ácidos bacterianos y remineralizar el esmalte.
Si sospechas que tienes una caries dental pequeña, el primer paso siempre debe ser programar una visita con tu dentista. Así que no esperes hasta que el problema se agrave.