Someterse a un tratamiento de ortodoncia es una decisión importante que busca mejorar tanto la estética como la funcionalidad de tu boca. Pero, ¿cómo saber si el tratamiento está dando los resultados esperados? Identificar si tu ortodoncia quedó bien es crucial para asegurar resultados óptimos y duraderos.

Indicadores de una Ortodoncia Exitosa
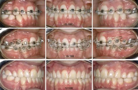
Cuando te sometes a un tratamiento de ortodoncia, es fundamental que los resultados sean efectivos y duraderos. Aquí te presentamos algunos indicadores clave para evaluar el éxito de tu tratamiento:
1. Alineación de los Dientes
Un indicador clave es la alineación de tus dientes. Deben estar en una posición correcta y en armonía con tu mordida. Deben encajar de manera uniforme al morder, sin espacios vacíos notables ni superposiciones incómodas. Si notas que tus dientes están torcidos, separados o apiñados, esto puede ser una clara señal de que tu hijo necesita ortodoncia.
2. Estabilidad de la Mordida
La estabilidad de la mordida es otro indicador clave. Después de la retirada de los aparatos, los dientes deberían encajar correctamente al morder. Los dientes deben mantener su nueva posición de manera constante después de la retirada de los aparatos.
3. Estética Dental
La apariencia estética es un factor relevante. Observa tus dientes en un espejo y asegúrate de que te sientas satisfecho con la apariencia de tu sonrisa. Tu sonrisa debe ser estéticamente agradable y aumentar tu confianza.
4. Funcionalidad Oral
La ortodoncia mejora la alineación de los dientes y la mordida. La mordida debe ser funcional y cómoda, permitiéndote masticar y hablar sin restricciones ni molestias.
Evaluar la alineación y mordida después de un tratamiento de ortodoncia es un paso esencial para asegurarse de que el proceso haya sido exitoso.
COMO SABER SI NECESITO USAR BRACKETS| ORTODONCIA🦷
¿Qué Hacer Después del Tratamiento?
Tras la ortodoncia, es crucial seguir ciertos pasos para mantener los resultados obtenidos:
1. Cita de Seguimiento
Tras la ortodoncia, programa una cita de seguimiento con tu ortodoncista. Durante la consulta, evaluarán tus dientes, mordida y sonrisa. Expresa tus inquietudes y, si es necesario, realizarán ajustes.
2. Comunicación con el Ortodoncista
Habla abiertamente con tu ortodoncista sobre tus preocupaciones. Programa una cita, explica tus inquietudes y no dudes en hacer preguntas. Escucha y sigue el feedback de tu ortodoncista para el éxito de tu tratamiento.
3. Higiene Bucal
Mantener una buena higiene bucal después de la ortodoncia es esencial para preservar los resultados obtenidos y garantizar la salud bucal a largo plazo. El cepillado cuidadoso y regular es fundamental. Utiliza un cepillo de cerdas suaves y accede a todas las áreas, incluyendo alrededor de los brackets o alineadores.

Consejos para la Higiene Bucal:
- Utiliza un cepillo de cerdas suaves.
- Pasa el hilo dental entre los brackets y alrededor de los dientes.
- Enjuágate con un enjuague bucal sin alcohol.
- Evita alimentos pegajosos o duros.
- Visitas regulares al dentista y al ortodoncista.
La Importancia de la Ortodoncia en la Salud Dental
La ortodoncia desempeña un papel vital en el cuidado de la salud dental. Esta especialidad no solo se ocupa de la estética, sino que también es fundamental para prevenir problemas bucodentales que pueden surgir debido a una mala alineación.
Beneficios de una Correcta Alineación de los Dientes
Una alineación adecuada de los dientes contribuye a una mejor función masticatoria. La correcta disposición de las piezas dentales facilita el proceso de masticar, optimizando la digestión y reduciendo el esfuerzo en las articulaciones mandibulares.
- Mejor higiene bucal, ya que los dientes alineados son más fáciles de limpiar.
- Reducción del riesgo de caries y enfermedades periodontales.
- Minimización de problemas mandibulares y dolores asociados.
- Mejora de la autoestima y la confianza en la imagen personal.
Problemas Asociados a una Mala Alineación
La desalineación dental puede acarrear múltiples complicaciones en la salud oral. Algunas de las preocupaciones más comunes incluyen:
- Desgaste irregular de los dientes, lo que puede provocar fracturas o desgaste prematuro.
- Problemas de mordida, que pueden producir tensión en la mandíbula y llevar a problemas más serios como el bruxismo.
- Dificultades en la masticación, que pueden repercutir en la digestión y la salud general.
- Acumulación de placa y sarro, que incrementa el riesgo de enfermedades en las encías.
¿Cómo Saber si Necesitas Brackets?
Identificar si es necesario un tratamiento ortodóntico puede ser fundamental para mejorar la salud bucal y la calidad de vida. A continuación, se describen los signos y síntomas que sugieren la necesidad de recibir brackets.
Signos y Síntomas que Indican la Necesidad de Brackets
- Dientes mal alineados y apiñados.
- Problemas de mordida: sobremordida, mordida cruzada y abierta.
- Dolor de mandíbula y dolores de cabeza frecuentes.
- Dificultades al cerrar la boca o al masticar.

Tipos de Brackets y Tratamientos de Ortodoncia
La ortodoncia abarca una serie de métodos y dispositivos que permiten la alineación de los dientes y la corrección de problemas de mordida. Es fundamental conocer los diferentes tipos de brackets y el proceso implicado en el tratamiento.
Tipos de Brackets
- Brackets metálicos: Son los más comunes y reconocibles, hechos de acero inoxidable y eficaces para tratar una amplia gama de problemas.
- Brackets estéticos: De cerámica o zafiro, ofrecen una opción más discreta y son similares en eficacia a los metálicos.
- Ortodoncia invisible: Utiliza alineadores transparentes y removibles, ideales para quienes prefieren un tratamiento menos visible.
Fases del Tratamiento
- Colocación de los brackets.
- Ajustes regulares cada 4-6 semanas para monitorear el avance.
- Retiro de los brackets y colocación de retenedores.
La duración total del tratamiento ortodóntico varía en función de la complejidad del caso y el tipo de aparato utilizado, oscilando entre 12 meses a 3 años.
Manejo del Dolor y Cuidados Durante el Tratamiento
Es común experimentar molestias tras la colocación de brackets. Aquí te damos algunos consejos para manejar el dolor y mantener una buena higiene:
Cómo Manejar el Dolor Inicial
- Tomar analgésicos recomendados por el ortodoncista.
- Aplicar compresas frías en la zona externa de la mandíbula.
- Consumir alimentos suaves y fríos.
- Evitar la masticación de alimentos duros o pegajosos en las primeras semanas.
Cuidados y Limpieza con Brackets
- Cepillar los dientes al menos tres veces al día.
- Usar hilo dental para limpiar entre los dientes y debajo de los arcos metálicos.
- Evitar alimentos duros o pegajosos.
Importancia de los Retenedores Post Tratamiento
Una vez que se retiran los brackets, el uso de retenedores es fundamental para mantener la nueva alineación dental. Sin ellos, los dientes pueden volver a su posición original.