¿Te gustaría volver a lucir una sonrisa blanca y radiante? Una sonrisa blanca y saludable es un reflejo de buena salud y bienestar general. No solo mejora la apariencia, sino que también aumenta la confianza y la autoestima de una persona. Sin embargo, mantener una sonrisa brillante puede ser un desafío debido a varios factores que contribuyen a la aparición de manchas en los dientes.
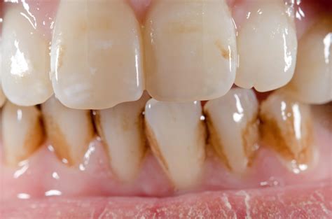
Además de ser poco estético, unos dientes llenos de manchas negras denotan una mala salud dental que puede deberse a diferentes factores. Entre los más comunes se encuentran una pésima higiene dental y tener malos hábitos como fumar tabaco o tomar asiduamente alimentos y productos que van manchando nuestros dientes progresivamente, como el consumo de café, té o bebidas gaseosas oscuras. Afortunadamente, tienes muchas opciones naturales y profesionales para combatir las manchas y conservar tu hermosa y saludable sonrisa.

Para recuperar el color natural de nuestra dentadura, es importante que, además de evitar los factores de riesgo que hemos enumerado, también utilicemos ciertos tratamientos naturales con propiedades blanqueadoras.
Importancia de una sonrisa blanca y saludable
La importancia de una sonrisa blanca y saludable radica en varios aspectos. En primer lugar, los dientes blancos suelen ser un indicativo de una buena higiene bucal. Las personas con dientes blancos tienden a cuidarse mejor la salud dental, lo que reduce el riesgo de caries, enfermedades de las encías y otros problemas bucales. Además, una sonrisa blanca puede mejorar la autoestima y la confianza de una persona, influyendo positivamente en su vida social y profesional. Estudios han demostrado que una sonrisa atractiva puede hacer que una persona sea percibida como más amable, competente y exitosa.
Problemas comunes relacionados con las manchas dentales
Las manchas dentales son un problema común que afecta a muchas personas y pueden tener varias causas. Entre las más comunes se encuentran el consumo de alimentos y bebidas que contienen pigmentos fuertes, como el café, el té, el vino tinto y ciertas frutas y verduras. El tabaquismo también es una causa principal de manchas en los dientes, debido a la nicotina y el alquitrán que se adhieren a la superficie dental. Además, una higiene dental inadecuada puede permitir la acumulación de placa y sarro, que pueden causar decoloración. Factores biológicos como el envejecimiento, que hace que el esmalte dental se vuelva más delgado, y el uso de ciertos medicamentos, también pueden contribuir a la aparición de manchas.
Causas de las manchas en los dientes

Alimentos y bebidas
Café, té, vino tinto: El consumo regular de café, té y vino tinto es una de las causas más comunes de manchas en los dientes. Estas bebidas contienen taninos y cromógenos, compuestos que pueden adherirse al esmalte dental y causar decoloración con el tiempo.
Alimentos con alto contenido en colorantes: Algunos alimentos naturales y procesados, especialmente aquellos con alto contenido en colorantes, también pueden manchar los dientes. Entre estos se incluyen frutas como las moras y granadas, salsas de tomate, y alimentos y bebidas artificialmente coloreados.
Hábitos y estilo de vida
Fumar y uso de tabaco: El fumar y el uso de productos de tabaco son factores principales que contribuyen a las manchas dentales. La nicotina y el alquitrán en el tabaco se adhieren al esmalte dental, causando manchas amarillas o marrones que son difíciles de eliminar con el cepillado regular.
Mala higiene dental: Una higiene dental inadecuada puede llevar a la acumulación de placa y sarro, lo que contribuye a la aparición de manchas en los dientes. No cepillarse correctamente, no usar hilo dental y no realizar limpiezas dentales regulares puede permitir que los residuos de alimentos y bebidas se adhieran a los dientes y los manchen.
Factores médicos y biológicos
Medicamentos: Algunos medicamentos pueden causar manchas en los dientes como efecto secundario. Entre estos se incluyen ciertos antibióticos como la tetraciclina y la doxiciclina, especialmente si se toman durante la infancia cuando los dientes aún están en desarrollo. Otros medicamentos que pueden afectar el color de los dientes son los antihistamínicos, antipsicóticos y medicamentos para la presión arterial.
Envejecimiento: El envejecimiento es un factor natural que contribuye a la decoloración de los dientes. Con el tiempo, el esmalte dental se desgasta, lo que permite que la dentina amarillenta debajo se haga más visible. Este proceso natural puede causar que los dientes se vean más oscuros o amarillos con la edad.
Enfermedades y condiciones médicas: Ciertas enfermedades y condiciones médicas también pueden afectar el color de los dientes. Por ejemplo, enfermedades que afectan el esmalte dental y la dentina pueden causar decoloración. Además, tratamientos médicos como la radiación y la quimioterapia pueden causar manchas en los dientes.
Tipos de manchas dentales
Manchas extrínsecas
Las manchas extrínsecas son aquellas que se forman en la superficie externa del esmalte dental. Estas manchas son causadas principalmente por factores externos como el consumo de ciertos alimentos y bebidas, fumar y una higiene dental deficiente. Entre las sustancias que más comúnmente causan manchas extrínsecas se encuentran el café, el té, el vino tinto y los alimentos con alto contenido en colorantes. Las manchas extrínsecas son generalmente más fáciles de tratar y eliminar mediante la higiene dental adecuada y tratamientos blanqueadores.
Manchas intrínsecas
Las manchas intrínsecas se forman en el interior del diente, afectando la dentina subyacente al esmalte. Estas manchas pueden ser el resultado de varios factores, incluyendo la exposición a ciertos medicamentos como la tetraciclina durante la infancia, traumas dentales, exceso de fluoruro y condiciones genéticas. Las manchas intrínsecas son más difíciles de tratar que las manchas extrínsecas, ya que no responden tan bien a los tratamientos blanqueadores convencionales y a menudo requieren procedimientos dentales profesionales como el blanqueamiento interno o carillas.
Manchas relacionadas con la edad
Las manchas relacionadas con la edad son una combinación de manchas extrínsecas e intrínsecas. A medida que una persona envejece, el esmalte dental se desgasta, lo que permite que la dentina amarillenta debajo se haga más visible. Además, la acumulación de manchas extrínsecas a lo largo de los años contribuye al oscurecimiento general de los dientes. El tratamiento de estas manchas puede requerir una combinación de métodos, incluyendo la higiene dental regular, tratamientos blanqueadores y, en algunos casos, procedimientos dentales profesionales.
Métodos de eliminación de manchas
Remedios caseros
Aunque es posible blanquear los dientes naturalmente en casa, los resultados son limitados comparados con los tratamientos profesionales. Aquí te mostramos algunas opciones:
Bicarbonato de sodio
El bicarbonato de sodio es un abrasivo suave que puede ayudar a eliminar las manchas superficiales de los dientes. Se puede usar mezclando una pequeña cantidad con agua para formar una pasta y cepillando los dientes con esta mezcla una o dos veces por semana. Sin embargo, su uso excesivo puede desgastar el esmalte dental, por lo que es importante usarlo con moderación. Mezcla media cucharadita de bicarbonato con unas gotas de agua hasta formar una pasta. Aplícala suavemente con el cepillo durante máximo 2 minutos, únicamente 2 veces por semana. Si experimentas sensibilidad dental, dolor o notas que tus dientes se ven más translúcidos, suspende inmediatamente el uso.

Carbón activado
El carbón activado es otro remedio casero popular para blanquear los dientes. Se cree que adsorbe las toxinas y las manchas de los dientes. Para usarlo, se puede aplicar el polvo de carbón activado en el cepillo de dientes y cepillarse suavemente durante unos minutos antes de enjuagar bien. Al igual que con el bicarbonato de sodio, el uso excesivo puede ser abrasivo para el esmalte dental. Sin embargo, no hay evidencia científica de su efectividad y es potencialmente abrasivo.
Aceite de coco (oil pulling)
El oil pulling es una técnica tradicional que implica enjuagar la boca con aceite de coco durante unos 15-20 minutos. Se cree que ayuda a eliminar las bacterias y las toxinas de la boca, lo que puede contribuir a un blanqueamiento natural de los dientes. Aunque no hay suficiente evidencia científica que respalde su eficacia para el blanqueamiento, muchas personas reportan beneficios para la salud bucal general. Utiliza una cucharada de aceite de coco virgen, muévelo en la boca sin hacer gárgaras, y escúpelo completamente antes de cepillarte. Esto puede reducir el mal aliento, mejorar la salud de las encías y proporcionar una sensación de limpieza prolongada.

Agua Salada
Aunque no blanquea directamente, el agua salada es excelente para mantener una boca limpia y libre de bacterias que pueden causar manchas. Disuelve media cucharadita de sal marina en un vaso de agua tibia. Realiza enjuagues durante 30 segundos después del cepillado nocturno.
Fresas
Las fresas contienen ácido málico, que puede ayudar a eliminar manchas superficiales muy leves. Tritura 2-3 fresas maduras y aplica la pulpa sobre los dientes durante máximo 5 minutos, una vez por semana.
Remedios caseros NO recomendados
Limón y cítricos: A pesar de su popularidad en internet, los ácidos cítricos erosionan irreversiblemente el esmalte dental.
Vinagre de manzana: Igualmente ácido y destructivo, puede causar sensibilidad extrema y pérdida de esmalte.
Agua oxigenada concentrada: Las concentraciones altas pueden quemar gravemente las encías y causar dolor intenso.
Productos de venta libre
Pastas dentales blanqueadoras
Las pastas dentales blanqueadoras contienen agentes abrasivos suaves y químicos blanqueadores que pueden ayudar a eliminar las manchas superficiales de los dientes. Son una opción conveniente y económica para el blanqueamiento diario. Sin embargo, los resultados pueden variar y no son tan efectivos para manchas profundas o intrínsecas. Busca productos con el sello de aprobación de asociaciones dentales y evita aquellas con índices de abrasión muy altos. Puedes esperar una mejora de 1-2 tonos en el color dental tras uso continuado.
Enjuagues bucales
Los enjuagues bucales blanqueadores contienen ingredientes como el peróxido de hidrógeno que pueden ayudar a blanquear los dientes con el tiempo. Son fáciles de incorporar en la rutina diaria de higiene bucal y pueden proporcionar resultados adicionales al cepillado regular.
Tiras blanqueadoras
Las tiras blanqueadoras son una opción popular de venta libre que contiene agentes blanqueadores como el peróxido de hidrógeno o peróxido de carbamida. Se aplican directamente sobre los dientes y se dejan actuar durante un período de tiempo específico, generalmente de 20 a 30 minutos al día. Son efectivas para eliminar manchas tanto extrínsecas como algunas intrínsecas.
Tratamientos profesionales
Limpieza dental profesional
Una limpieza dental profesional realizada por un dentista puede eliminar la placa y el sarro acumulados que pueden causar manchas. Este procedimiento no solo mejora la apariencia de los dientes, sino que también promueve la salud bucal general.
Blanqueamiento dental en clínica
El blanqueamiento dental en clínica es un procedimiento realizado por un dentista que utiliza agentes blanqueadores más fuertes que los productos de venta libre. Este tratamiento puede proporcionar resultados más rápidos y efectivos, y es adecuado para manchas tanto extrínsecas como intrínsecas.
Tratamientos con láser
El blanqueamiento dental con láser es una técnica avanzada que utiliza luz láser para activar un agente blanqueador aplicado sobre los dientes. Este método puede proporcionar resultados inmediatos y es especialmente efectivo para manchas profundas. Sin embargo, es uno de los tratamientos más costosos y debe ser realizado por un profesional dental.
Cada uno de estos métodos tiene sus ventajas y desventajas, y la elección del tratamiento adecuado dependerá de la naturaleza y la severidad de las manchas, así como de las preferencias y el presupuesto disponible.
Consejos para prevenir manchas en los dientes
Higiene oral adecuada
Una de las formas más efectivas de prevenir las manchas en los dientes es mantener una higiene oral adecuada.
Cepillado regular y uso del hilo dental
Esto incluye cepillarse los dientes al menos dos veces al día con una pasta dental con flúor y usar hilo dental diariamente para eliminar la placa y los restos de alimentos que pueden causar manchas. Asegúrate de cepillar todas las superficies de los dientes y usar técnicas de cepillado adecuadas para una limpieza eficaz.
Uso de enjuague bucal
El uso de enjuague bucal antimicrobiano puede ayudar a reducir la cantidad de bacterias en la boca que contribuyen a la formación de placa y manchas. Algunos enjuagues bucales también contienen agentes blanqueadores suaves que pueden ayudar a mantener los dientes más blancos. Es importante utilizar el enjuague bucal como complemento, no como sustituto, del cepillado y el uso del hilo dental.
Dieta y estilo de vida
Reducir el consumo de alimentos y bebidas que manchan
Para prevenir las manchas en los dientes, es recomendable limitar el consumo de alimentos y bebidas que son conocidos por manchar, como el café, el té, el vino tinto, las bebidas gaseosas oscuras y los alimentos con alto contenido en colorantes. Si consumes estas sustancias, intenta enjuagar tu boca con agua inmediatamente después o usar una pajilla para minimizar el contacto con los dientes.
Evitar fumar
El tabaco es una de las principales causas de manchas dentales. Evitar fumar o usar productos de tabaco no solo ayuda a mantener los dientes blancos, sino que también mejora la salud bucal general y reduce el riesgo de enfermedades graves como el cáncer oral.
Revisiones dentales regulares
Visitar al dentista regularmente para limpiezas y chequeos es esencial para prevenir manchas en los dientes. Los profesionales dentales pueden eliminar la placa y el sarro que no se puede quitar con el cepillado regular y pueden detectar y tratar problemas antes de que se conviertan en serios. Se recomienda realizar una limpieza dental profesional al menos dos veces al año.
Mitos y realidades sobre el blanqueamiento dental
Desmitificando creencias comunes
A continuación, aclaramos algunos mitos comunes sobre el blanqueamiento dental:
Mito 1: El blanqueamiento dental daña el esmalte
Una de las creencias más comunes es que el blanqueamiento dental puede dañar el esmalte de los dientes. Sin embargo, cuando se realiza correctamente, el blanqueamiento dental no causa daño significativo al esmalte. Los productos blanqueadores de calidad están diseñados para ser seguros y efectivos, siempre y cuando se sigan las instrucciones y se utilicen con moderación.
Mito 2: Los resultados del blanqueamiento son permanentes
Muchas personas creen que una vez que se blanquean los dientes, los resultados serán permanentes. En realidad, el blanqueamiento dental no es permanente. Los dientes pueden volver a mancharse con el tiempo, especialmente si se continúan consumiendo alimentos y bebidas que causan manchas, o si se fuma. Para mantener los resultados, es necesario realizar tratamientos de mantenimiento periódicos.
Mito 3: Los remedios caseros son tan efectivos como los tratamientos profesionales
Existen numerosos remedios caseros que se promocionan como efectivos para blanquear los dientes, como el uso de bicarbonato de sodio o carbón activado. Aunque algunos pueden ofrecer resultados modestos, generalmente no son tan efectivos como los tratamientos profesionales. Además, el uso excesivo de algunos remedios caseros puede dañar el esmalte dental y causar otros problemas de salud bucal.
Mito 4: El blanqueamiento dental es doloroso
Algunas personas evitan el blanqueamiento dental porque creen que es un procedimiento doloroso. Si bien algunas personas pueden experimentar sensibilidad dental durante o después del tratamiento, generalmente es temporal y manejable. Los dentistas pueden recomendar productos desensibilizantes para ayudar a reducir cualquier molestia.
Explicación científica de los tratamientos
El blanqueamiento dental se basa en la utilización de agentes blanqueadores, principalmente peróxido de hidrógeno o peróxido de carbamida, que penetran en el esmalte y la dentina para descomponer las moléculas que causan las manchas. A continuación, se detallan algunos de los tratamientos más comunes:
Blanqueamiento en clínica
Este tratamiento se realiza en el consultorio dental y utiliza agentes blanqueadores de alta concentración. A menudo, se emplea una luz o láser para acelerar el proceso de blanqueamiento. Los resultados son visibles rápidamente y pueden ser más drásticos que los tratamientos caseros.
Blanqueamiento en casa supervisado por el dentista
Este método implica el uso de bandejas personalizadas que se ajustan a los dientes del paciente. El dentista proporciona un gel blanqueador de baja concentración para usar en las bandejas durante un período de tiempo específico, generalmente durante la noche. Este tratamiento es más gradual que el blanqueamiento en clínica, pero puede proporcionar resultados efectivos con el tiempo.
Tabla comparativa de métodos de blanqueamiento dental
| Método | Ventajas | Desventajas | Efectividad | Costo |
|---|---|---|---|---|
| Bicarbonato de sodio | Económico, fácil de usar | Puede ser abrasivo, resultados limitados | Baja | Bajo |
| Pastas dentales blanqueadoras | Conveniente, económico | Resultados variables, no efectivo para manchas profundas | Media | Bajo |
| Tiras blanqueadoras | Fácil de usar, resultados visibles | Puede causar sensibilidad, no cubre todas las áreas | Media | Medio |
| Blanqueamiento en clínica | Resultados rápidos y efectivos | Más costoso, puede causar sensibilidad | Alta | Alto |
BLANQUEAMIENTO DENTAL NATURAL EN 2 MINUTOS
Importante: Si tus dientes son amarillos por genética, medicamentos o envejecimiento, los remedios caseros para blanquear dientes solo ofrecerán mejoras muy limitadas. Los tratamientos profesionales pueden lograr mejoras de 4-8 tonos en una sola sesión, algo imposible de conseguir con métodos caseros.
Independientemente del método elegido, mantener los resultados requiere cuidados específicos. Los métodos caseros seguros pueden mejorar 1-2 tonos eliminando manchas superficiales, pero no pueden cambiar el color natural del diente ni blanquear dientes amarillos por genética.
Suspende inmediatamente el método que cause sensibilidad. Usa pasta dental para dientes sensibles durante una semana y consulta a tu dentista si el problema persiste.
Para cambios reales y duraderos: En Cleardent ofrecemos blanqueamiento profesional con tecnología LED que consigue en una sesión lo que los métodos caseros no pueden lograr en meses.