Después del tratamiento de ortodoncia, es fundamental un tratamiento de seguimiento que estabilice el resultado y mantenga los dientes en la nueva posición deseada. Este proceso se conoce como «retención» y es una parte fundamental de la terapia de ortodoncia.
Los ortodoncistas suelen recomendar completar los tratamientos con un retenedor, ya que la posición de los dientes puede cambiar significativamente con el paso del tiempo, especialmente durante los primeros años después del tratamiento de ortodoncia. La duración de este tratamiento varía y puede depender de la intensidad de los movimientos dentales que se hayan producido. La tendencia a la recaída a veces persiste de por vida, por lo que a veces se recomienda una estabilización permanente, es decir, retenedores dentales de manera indefinida.
Para ello, en nuestra clínica dental en Barcelona, hemos creado este artículo que hará de guía sobre los retenedores en la ortodoncia.

Tipos de Retenedores Dentales
Los retenedores dentales se dividen entre fijos y removibles:
- Retenedores fijos: También conocidos como permanentes, son barras de alambre que se colocan detrás de los dientes anteriores, especialmente en la arcada inferior, aunque también pueden colocarse en la arcada superior.
- Retenedores removibles: Incluyen las placas de Hawley, cada vez menos frecuentes, pero todavía utilizadas en niños, y los retenedores removibles transparentes, que van ganando popularidad debido a su discreción y comodidad.
Es esencial un buen mantenimiento para alargar la duración de los retenedores dentales ya que los dientes tienden a moverse naturalmente al estar sometidos a diferentes fuerzas en la boca.
¡Los mejores RETENEDORES para después de ortodoncia, en el 2023!
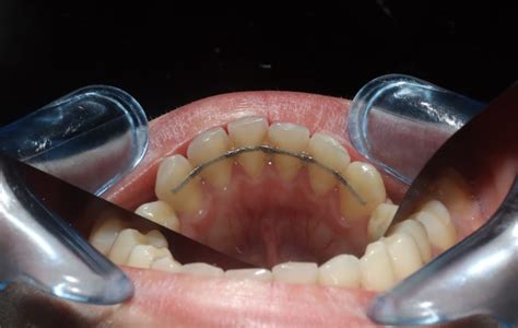
Retenedores Fijos: ¿Cómo Funcionan?
Los retenedores fijos se utilizan directamente después del tratamiento de ortodoncia con brackets. El retenedor fijo consiste en un alambre detrás de los dientes frontales que se adhiere al diente de forma adhesiva. El alambre se puede fijar tanto en la mandíbula superior como en la inferior. En ambos casos, el retenedor fijo no es visible desde el exterior.
Los retenedores fijos en ortodoncia mantienen los dientes en su lugar sin que tengas que hacer nada.
Colocación de Retenedores Fijos: Paso a Paso
La colocación de los retenedores fijos en ortodoncia es un paso clave para garantizar los buenos resultados del tratamiento a largo plazo. Antes de colocar los retenedores fijos en ortodoncia, el profesional dental deberá evaluar la alineación de los dientes, corroborando que estén en la posición correcta al finalizar el tratamiento.
- Limpieza de los dientes: Se limpian las superficies donde irán colocados los retenedores para que se adhieran de forma perfecta.
- Adhesión del alambre en los dientes: El alambre fino se coloca detrás de los dientes incisivos, en la parte posterior y se fijan con un adhesivo especial.
La duración del proceso de la colocación de los retenedores fijos no suele ser más de 30 minutos aproximadamente. A pesar de que son muy rápidos en la colocación, poco molestos y nada invasivos, también tienen que cuidarse y mantenerse.
Mantenimiento y Cuidado de los Retenedores Fijos
El cuidado adecuado de un retenedor fijo es esencial para garantizar su durabilidad y efectividad. Es importante cepillar los dientes con cuidado para evitar que la placa se acumule alrededor del alambre usado como retenedor fijo en ortodoncia.
- Cepillado: Utiliza un cepillo de dientes de cerdas suaves y asegúrate de limpiar también la zona alrededor del alambre, tanto en la parte superior como en la inferior.
- Hilo dental: El uso de hilo dental es esencial para mantener los espacios entre los dientes limpios.
- Visitas regulares al dentista: A pesar de un buen cuidado en casa, las visitas regulares al dentista son imprescindibles. El dentista podrá verificar el estado del retenedor y realizar cualquier ajuste necesario.

¿Qué hacer si se despega el retenedor?
Si has terminado tu tratamiento de ortodoncia y llevas un retenedor dental fijo, seguramente ya sabes lo importante que es para mantener los dientes en su nueva posición. Sin embargo, a veces las cosas no salen como esperamos y te encuentras con un problema: ¡se me ha despegado el retenedor dental fijo!
- Contacta a tu ortodoncista: En cuanto notes que se ha despegado tu retenedor fijo, contactes a tu ortodoncista lo antes posible. Aunque no sientas dolor o molestias, el tiempo es un factor crucial.
- No intentes repararlo tú mismo:Puede ser tentador intentar “pegar” el retenedor por ti mismo, pero es importante que no lo hagas. El material y la técnica utilizados para adherir el retenedor son específicos y solo un profesional cualificado puede asegurarse de que esté correctamente colocado.
- Evita alimentos problemáticos:Mientras esperas tu cita, trata de evitar alimentos que puedan empeorar el problema, como alimentos duros (caramelos, frutos secos, pan crujiente) o pegajosos (chicles, caramelos masticables).
- Usa un retenedor removible temporal:Si dispones de un retenedor removible a medida que te haya proporcionado tu ortodoncista, úsalo de manera temporal hasta que te coloquen nuevamente el retenedor fijo.
Retenedores Removibles: Alternativa al Retenedor Fijo
A diferencia del retenedor fijo, la variante removible no tiene que usarse permanentemente, sino que son generalmente retenedores dentales para dormir. El tiempo de uso depende de cada paciente, pero suele indicarse de manera indefinida.
Los retenedores removibles llamados placas de Hawley son cada vez menos frecuentes, pero todavía se utilizan en niños que han recibido tratamiento con brackets. Este tipo de retenedor está compuesto por ganchos que se colocan en los dientes y un alambre dispuesto en la zona exterior de los dientes. Los retenedores removibles transparentes van ganando popularidad debido a su discreción y comodidad.
La ventaja de los retenedores removibles es que, al poder quitártelos, son más fáciles de limpiar y no presentan el riesgo de despegarse como ocurre con los retenedores fijos. Las desventajas de los retenedores removibles es que al poderse quitar son fáciles de extraviar o de que sufran algún daño fuera de la boca.
Siempre es preferible “pasarse” con la retención y no quedarse corto, por lo cual lo mas aconsejable en temas de retención es llevar retención fija y también removible al final de tu tratamiento.
Higiene de los Retenedores
Debido a las bacterias, la placa y las partículas de alimentos, deben limpiarse ambos retenedores diariamente y de forma rigurosa. Limpiar los retenedores removibles con el uso de pastillas de limpieza es lo más recomendable. Tanto la placa Hawley como los retenedores tipo Essix se pueden retirar para la limpieza diaria.
Asegúrate de limpiar el retenedor tan pronto como te lo quites de la boca, mientras sigue húmedo. Utiliza un cepillo de cerdas blandas, diferente a tu cepillo de dientes, para cepillar suavemente el retenedor con agua tibia después de cada comida. No utilices pastas dentales porque son abrasivas y pueden rayar la superficie del retenedor. Usa un cepillo especial para limpiar prótesis dentales.
En cuanto a la higiene, los retenedores fijos se limpian dentro del protocolo diario de higiene dental del paciente. Dentro de las vistas anuales de control ortodóncico es recomendable que los pacientes se hagan también higienes dentales profesionales para ayudarle a mantener la salud general de su boca.
Duración del Uso del Retenedor
El tiempo durante el cual se debe llevar un retenedor post ortodoncia varía de acuerdo a las necesidades de cada paciente. En general, se mantiene durante un período de al menos un año después de finalizar el tratamiento de ortodoncia. Debe ser retirado o reemplazado si presenta daños, como un alambre roto o aflojado.
Tradicionalmente no se daba la importancia que se le da hoy en día a la retención que se considera una fase más del tratamiento. Y es que o bien porque en su momento no se dio la importancia suficiente a la retención, o bien porque el paciente dejó de utilizarla en algún momento, lo cierto es que, sin este tipo de aparatología, el tratamiento de ortodoncia pierde eficacia con el paso del tiempo.
Siempre es preferible “pasarse” con la retención y no quedarse corto, por lo cual lo mas aconsejable en temas de retención es llevar retención fija y también removible al final de tu tratamiento.
Comodidad de los Retenedores Dentales
La comodidad de los retenedores dentales puede variar según la persona y el tipo de retenedor utilizado. En general, los retenedores dentales son diseñados para ser lo más cómodos posible, pero algunas personas pueden experimentar cierta incomodidad o molestias, especialmente al principio.
- Sensación inicial: Cuando se coloca por primera vez un retenedor dental, puede sentirse extraño en la boca y puede causar cierta molestia o irritación.
- Adaptación: La mayoría de las personas se adaptan gradualmente a la presencia del retenedor en la boca.
- Ajustes: Si experimenta molestias persistentes o problemas con su retenedor, es importante comunicarse con su ortodoncista o dentista.
- Mantenimiento adecuado: El cuidado adecuado de los retenedores es esencial para mantener su comodidad y eficacia.
En resumen, la comodidad de los retenedores dentales puede variar, pero en la mayoría de los casos, las molestias iniciales tienden a disminuir con el tiempo a medida que te acostumbras a usarlos.
Retenedores y Mal Aliento
Los retenedores dentales, ya sean fijos o removibles, pueden contribuir al mal aliento si no se mantienen limpios y cuidados adecuadamente.
- Acumulación de placa: Los retenedores pueden acumular placa bacteriana, al igual que los dientes.
- Limpieza deficiente: Es esencial limpiar regularmente los retenedores siguiendo las recomendaciones de tu ortodoncista o dentista.
- Higiene oral general: Además de cuidar tus retenedores, mantener una buena higiene oral en general es importante para prevenir el mal aliento.
Si experimentas mal aliento persistente a pesar de mantener una buena higiene oral y cuidar adecuadamente tus retenedores, es importante consultar a un dentista u ortodoncista.
| Tipo de Retenedor | Ventajas | Desventajas | Higiene |
|---|---|---|---|
| Fijo | Comodidad constante, no requiere colocación/retiro. | Higiene más complicada, riesgo de acumulación de placa. | Cepillado cuidadoso, uso de hilo dental especializado, visitas regulares al dentista. |
| Removible | Fácil de limpiar, se puede quitar para comer y limpiar. | Requiere disciplina para usarlo, puede extraviarse o dañarse. | Limpieza diaria con cepillo suave y agua tibia, uso de pastillas de limpieza. |