El bruxismo es una patología crónica que afecta cada vez a más personas. Se caracteriza por el hábito involuntario de apretar o rechinar los dientes, ya sea durante el día o mientras se duerme. Es un movimiento nocturno, inconsciente, intenso y rítmico de los músculos de la masticación.

Has escuchado antes lo que es el bruxismo, pero para aquellos que no lo saben, deben ser conscientes de que esta condición implica apretar inconscientemente la mandíbula y rechinar los dientes, lo que hace que se desgasten. En ambos casos, la fuerza ejercida sobre los dientes y las articulaciones supera con creces la de la masticación normal.
¿Qué es el bruxismo?
El bruxismo es un trastorno en el que una persona, de manera involuntaria, aprieta o rechina los dientes. Puede ocurrir durante el día (bruxismo diurno) o por la noche mientras se duerme (bruxismo nocturno).
Causas del bruxismo
Las causas del bruxismo pueden ser varias, desde factores funcionales como una mala mordida, hasta factores emocionales como el estrés, la ansiedad, la depresión… que son capaces de desencadenar una patología dolorosa con dolor facial, dolor de mandíbula, problemas articulares, dolor de cuello, dolor de oído, etc. La principal causa del bruxismo suele ser el estrés o un estado de agitación emocional, durante el cual, ya sea de día o de noche, la persona aprieta los dientes y los hace rechinar de manera involuntaria. No hay una causa única, pero varios factores influyen en el:
- Estrés y ansiedad: el desencadenante más común. Muchas personas canalizan la tensión apretando la mandíbula, especialmente durante el sueño.
- Problemas de oclusión o mordida: Una mala alineación de los dientes o las mandíbulas puede promover el bruxismo.
- Trastornos del sueño: Tales como la apnea del sueño.
- Hábitos neuromusculares: Tales como morderse las uñas, masticar goma en exceso o tensar inconscientemente los músculos del cuello y la cara.
- Bruxismo diurno, caracterizado por emociones como el estrés, la ansiedad, la tensión o incluso la frustración.

Síntomas más comunes
Los signos de bruxismo pueden variar según el tipo y la intensidad, pero los más comunes son:
- Dolor o rigidez en la mandíbula al despertar
- Dolores de cabeza, especialmente en las sienes
- Desgaste dental o aumento de la sensibilidad
- Dolor en el cuello, el oído o la cara
- Chasquidos o bloqueos al abrir la boca
- Dolor de mandíbula: El bruxismo puede causar dolor en los músculos de la mandíbula, especialmente al abrir o cerrar la boca. Esto puede variar desde una leve molestia hasta un dolor intenso que dificulta el movimiento de la mandíbula.
- Dolor de oído: La tensión muscular asociada con el bruxismo puede afectar los músculos que rodean el oído, lo que resulta en dolor en el área del oído. Esto puede confundirse con problemas de oído, pero en realidad se debe a la tensión en los músculos de la mandíbula.
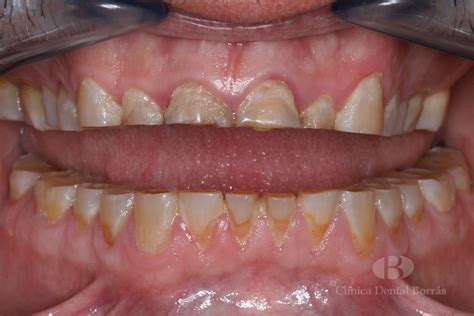
- Desgaste de los dientes: El bruxismo puede causar un desgaste excesivo de los dientes, lo que puede provocar fracturas, astillas o dientes desgastados.
- Dolor de cabeza matutino: Despertarse con dolor de cabeza es común en personas que sufren de bruxismo.
Con el tiempo, el bruxismo no tratado puede afectar seriamente la salud de la articulación temporomandibular (ATM), causar fracturas dentales o incluso afectar la calidad del sueño.
En los dientes se produce un desgaste característico. A nivel de las encías, las debilita de forma que, a la larga, aparecerá inflamación y movilidad en los dientes.
¿Cómo se diagnostica?
Un especialista maxilofacial realiza un diagnóstico adecuado, quien evalúa la articulación, el patrón muscular, la oclusión y los hábitos del paciente. En algunos casos, se puede requerir una radiografía o resonancia magnética para evaluar el estado de la ATM. El diagnóstico del bruxismo no es tan sencillo si la persona no es consciente del problema y nadie se lo ha dicho, sobre todo cuando se trata del tipo nocturno. La mayoría de las veces, al ser el desgaste progresivo pero lento, puede no objetivarse en la consulta en sus momentos iniciales si nadie lo ha reportado.
Como se mencionó anteriormente, algunas personas se dan cuenta de que tienen bruxismo porque alguien más se lo ha señalado, incluso si es solo el hecho de que rechinan los dientes.
Tratamientos disponibles
El tratamiento dependerá del origen y el impacto del bruxismo. Las opciones más comunes incluyen:
- Protectores nocturnos personalizados: Estos protegen los dientes y ayudan a relajar los músculos.
- Nuestros protectores se adaptan al tamaño exacto de sus dientes, estos protectores actúan como un escudo protector durante la noche, previniendo el desgaste dental y reduciendo el estrés en la mandíbula. Su diseño único no solo asegura un ajuste perfecto y una comodidad inigualable, sino que también promueve la alineación adecuada de la mandíbula, facilitando una noche de sueño más reparador y restaurador. Con nuestros protectores personalizados, le invitamos a experimentar noches tranquilas y despertar cada mañana listo para sonreír sin reservas.
- Férulas de descarga: Si el desgaste dental es causado por el bruxismo, una férula de descarga es una solución común. Los protectores dentales y las férulas suelen emplearse para evitar el bruxismo mientras el paciente duerme.
- Terapia física y miofuncional: Especialmente si hay dolor o disfunción articular.
- Toxina botulínica (Botox): En los casos en que el músculo masetero está muy agrandado o el bruxismo es resistente al tratamiento convencional. La aplicación de toxina botulínica (tipo A) en los músculos masticatorios ha demostrado ser una excelente herramienta para combatir los trastornos del bruxismo. La toxina es un potente relajante muscular local que actúa durante un largo período de tiempo (de 3 a 6 meses), relajando los músculos masticatorios afectados.
- Reeducación postural y manejo del estrés: Para abordar los desencadenantes subyacentes.
- Reconstrucción dental: En casos severos de desgaste dental, puede ser necesaria la reconstrucción dental.
Hay diferentes tratamientos para el bruxismo, que deben ser supervisados por un dentista de confianza, ya que son los expertos que conocerán la mejor opción para su caso específico.
- Férula oclusal o nocturna: Este es el tratamiento más comúnmente aplicado, especialmente en los casos en que el problema no está muy avanzado y ocurre principalmente por la noche. Consiste en un aparato hecho a medida que se ajusta a los dientes de la persona.
La elección entre Botox, férulas dentales o una combinación de ambos depende de varios factores, incluyendo la gravedad del bruxismo, la preferencia personal y la presencia de condiciones subyacentes. Es esencial consultar a un especialista dental o un profesional cualificado que pueda evaluar su caso específico y recomendar el tratamiento más adecuado. En la Clínica Dental Cardona, aplicamos esta terapia con precisión y cuidado, asegurando resultados efectivos y satisfactorios.
¡No olvides este importante consejo!: es esencial considerar otros aspectos para tratar de prevenir el bruxismo tanto como sea posible. Si actualmente tiene una emergencia o necesita un chequeo de ortodoncia, no dude en contactarnos sin compromiso.
Todo sobre BRUXISMO - Síntomas, tratamientos y consecuencias de APRETAR los dientes | Dentalk! ©
Tabla Resumen de Tratamientos para el Bruxismo
| Tratamiento | Descripción | Indicaciones |
|---|---|---|
| Férulas Nocturnas | Dispositivos personalizados que protegen los dientes del desgaste. | Bruxismo leve a moderado, especialmente nocturno. |
| Toxina Botulínica (Botox) | Relajante muscular que reduce la actividad de los músculos masticatorios. | Bruxismo severo, hipertrofia muscular. |
| Terapia Física | Ejercicios y técnicas para relajar los músculos y mejorar la función articular. | Dolor y disfunción de la ATM. |
| Reeducación Postural | Corrección de la postura para reducir la tensión en la mandíbula y el cuello. | Bruxismo relacionado con problemas posturales. |
| Manejo del Estrés | Técnicas de relajación y mindfulness para reducir la ansiedad. | Bruxismo causado por estrés emocional. |
El bruxismo no siempre es fácil de detectar, pero sí deja señales. Prestar atención a los síntomas menores y consultar a un especialista a tiempo puede prevenir complicaciones mayores a largo plazo. En el Instituto Maxilofacial, brindamos un enfoque integral del bruxismo, con diagnósticos precisos y tratamientos adaptados a cada paciente, desde la prevención hasta las soluciones más avanzadas.
El origen del bruxismo es desconocido. Implica apretar y rechinar los dientes mientras se duerme. Este rechinamiento involuntario de los dientes daña los dientes, las encías, la lengua, los músculos y la ATM. Causa desgaste del esmalte y fracturas dentales si no se trata. Puede estar relacionado con el síndrome de la ATM. Otras patologías o signos asociados con esta patología son dolores de cabeza, migrañas o contracturas musculares.
Generalmente, los dientes desgastados se ven generalmente en personas mayores, ya que este problema aparece con el tiempo. La fricción constante puede desgastar los dientes. Una dieta desequilibrada puede hacer que los dientes se debiliten y se vuelvan más propensos al desgaste.
El bruxismo puede ocasionar cambio en la mordida.
¡Comparte este post en tus redes sociales!